Suppr超能文献

脊柱手术后的肺血栓栓塞症:临床怀疑是关键。

Pulmonary Thromboembolism Following Spine Surgery: Clinical Suspicion is the Key.

作者信息

Mottaghi Kamran, Safari Farhad, Nashibi Masoud, Sezari Parisa

机构信息

Department of Anesthesiology, Shahid Beheshti University of Medical Sciences, Loghman Hakim Hospital, Tehran, Iran.

出版信息

Tanaffos. 2021 Feb;20(2):184-187.

Abstract

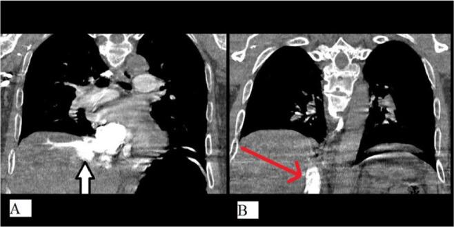
Pulmonary thromboembolism following spine surgery, although rare, could end into devastating outcome. Gold standard for it diagnosis is pulmonary CT angiography but in operating theatre, clinical suspicion is the key to diagnose. Here we report a case of pulmonary embolism with classic clinical findings which approved using pulmonary CT angiography and echocardiography.

摘要

脊柱手术后发生肺血栓栓塞症,虽然罕见,但可能导致灾难性后果。其诊断的金标准是肺部CT血管造影,但在手术室中,临床怀疑是诊断的关键。在此我们报告一例具有典型临床症状的肺栓塞病例,该病例经肺部CT血管造影和超声心动图得以确诊。

https://cdn.ncbi.nlm.nih.gov/pmc/blobs/40c5/8710222/24b2af7a56c7/Tanaffos-20-184-g001.jpg

文献检索

告别复杂PubMed语法,用中文像聊天一样搜索,搜遍4000万医学文献。AI智能推荐,让科研检索更轻松。

立即免费搜索

文件翻译

保留排版,准确专业,支持PDF/Word/PPT等文件格式,支持 12+语言互译。

免费翻译文档

深度研究

AI帮你快速写综述,25分钟生成高质量综述,智能提取关键信息,辅助科研写作。

立即免费体验