• 文献检索
  • 文档翻译
  • 深度研究
  • 学术资讯
  • Suppr Zotero 插件Zotero 插件
  • 邀请有礼
  • 套餐&价格
  • 历史记录
应用&插件
Suppr Zotero 插件Zotero 插件浏览器插件Mac 客户端Windows 客户端微信小程序
定价
高级版会员购买积分包购买API积分包
服务
文献检索文档翻译深度研究API 文档MCP 服务
关于我们
关于 Suppr公司介绍联系我们用户协议隐私条款
关注我们

Suppr 超能文献

核心技术专利:CN118964589B侵权必究
粤ICP备2023148730 号-1Suppr @ 2026

文献检索

告别复杂PubMed语法,用中文像聊天一样搜索,搜遍4000万医学文献。AI智能推荐,让科研检索更轻松。

立即免费搜索

文件翻译

保留排版,准确专业,支持PDF/Word/PPT等文件格式,支持 12+语言互译。

免费翻译文档

深度研究

AI帮你快速写综述,25分钟生成高质量综述,智能提取关键信息,辅助科研写作。

立即免费体验

脑 CT 可预测认知障碍老年人群的低瘦体组织量:一项社区居住者研究。

Brain CT can predict low lean mass in the elderly with cognitive impairment: a community-dwelling study.

机构信息

Department of Diagnostic Radiology, Kaohsiung Chang Gung Memorial Hospital, Chang Gung University College of Medicine, No. 123 Ta-Pei Road, Niao-Sung Dist, Kaohsiung City, 83305, Taiwan.

Department of Medical Imaging and Intervention, Keelung Chang Gung Memorial Hospital, Chang Gung University College of Medicine, No. 222, Maijin Road, Anle Dist, Keelung City, 204201, Taiwan.

出版信息

BMC Geriatr. 2022 Jan 3;22(1):3. doi: 10.1186/s12877-021-02626-8.

DOI:10.1186/s12877-021-02626-8
PMID:34979925
原文链接:https://pmc.ncbi.nlm.nih.gov/articles/PMC8722183/
Abstract

BACKGROUND

The coexistence of sarcopenia and dementia in aging populations is not uncommon, and they may share common risk factors and pathophysiological pathways. This study aimed to evaluate the relationship between brain atrophy and low lean mass in the elderly with impaired cognitive function.

METHODS

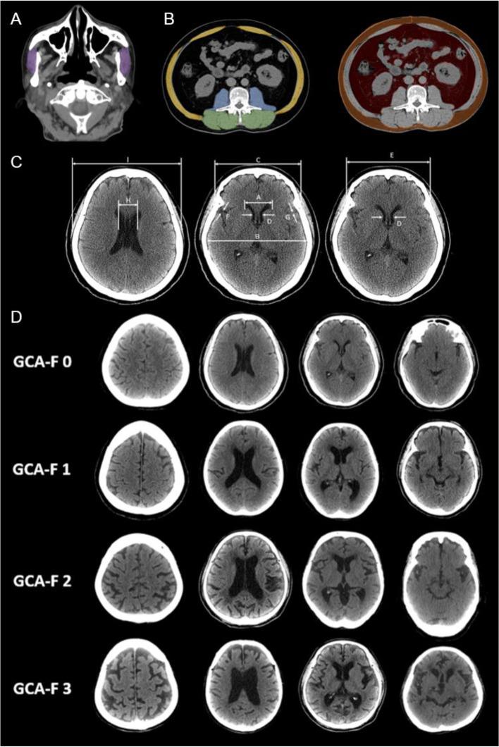
This cross-sectional study included 168 elderly patients who visited the multi-disciplinary dementia outpatient clinic at Kaohsiung Chang Gung Memorial Hospital for memory issues, between 2017 and 2019. The body composition was assessed by dual energy X-ray absorptiometry (DEXA) and CT based skeletal muscle index including L3 skeletal muscle index (L3SMI) and masseter muscle mass index (MSMI). The brain atrophy assessment was measured by CT based visual rating scale. Possible predictors of low lean mass in the elderly with cognitive impairement were identified by binary logistic regression. ROC curves were generated from binary logistic regression.

RESULTS

Among the 81 participants, 43 (53%) remained at a normal appendicular skeletal muscle index (ASMI), whereas 38 (47%) showed low ASMI. Compared with the normal ASMI group, subjects with low ASMI exhibited significantly lower BMI, L3SMI, and MSMI (all p < 0.05), and showed significant brain atrophy as assessed by visual rating scale (p < 0.001). The accuracy of predictive models for low ASMI in the elderly with cognitive impairment were 0.875, (Area under curve (AUC) = 0.926, 95% confidence interval [CI] 0.844-0.972) in model 1 (combination of BMI, GCA and L3SMI) and 0.885, (Area under curve (AUC) = 0.931, [CI] 0.857-0.979) in model 2 (combination of BMI, GCA and MSMI).

CONCLUSIONS

Global cortical atrophy and body mass index combined with either L3 skeletal muscle index or masseter skeletal muscle index can predict low lean mass in the elderly with cognitive impairment.

摘要

背景

在老龄化人口中,肌少症和痴呆并存并不罕见,它们可能具有共同的危险因素和病理生理途径。本研究旨在评估认知功能受损的老年人中脑萎缩与低瘦体重之间的关系。

方法

本横断面研究纳入了 2017 年至 2019 年间因记忆力问题到高雄长庚纪念医院多学科痴呆门诊就诊的 168 名老年患者。采用双能 X 射线吸收法(DEXA)和基于 CT 的骨骼肌指数(包括 L3 骨骼肌指数(L3SMI)和咬肌肌肉质量指数(MSMI))评估身体成分。采用 CT 基于视觉评分量表评估脑萎缩。通过二元逻辑回归确定认知障碍老年人低瘦体重的可能预测因素。从二元逻辑回归中生成 ROC 曲线。

结果

在 81 名参与者中,43 名(53%)的四肢骨骼肌指数(ASMI)正常,38 名(47%)的 ASMI 较低。与 ASMI 正常组相比,低 ASMI 组的 BMI、L3SMI 和 MSMI 明显较低(均 P<0.05),并且视觉评分量表评估的脑萎缩明显(P<0.001)。用于预测认知障碍老年人低 ASMI 的预测模型的准确性在模型 1(BMI、GCA 和 L3SMI 的组合)中为 0.875(曲线下面积(AUC)=0.926,95%置信区间 [CI] 0.844-0.972)和模型 2(BMI、GCA 和 MSMI 的组合)中为 0.885(AUC=0.931,[CI] 0.857-0.979)。

结论

总体皮质萎缩和体重指数结合 L3 骨骼肌指数或咬肌骨骼肌指数可预测认知障碍老年人的低瘦体重。

https://cdn.ncbi.nlm.nih.gov/pmc/blobs/fc55/8722183/55c916b82d01/12877_2021_2626_Fig3_HTML.jpg
https://cdn.ncbi.nlm.nih.gov/pmc/blobs/fc55/8722183/63ec48094e1a/12877_2021_2626_Fig1_HTML.jpg
https://cdn.ncbi.nlm.nih.gov/pmc/blobs/fc55/8722183/22d4472fdbb7/12877_2021_2626_Fig2_HTML.jpg
https://cdn.ncbi.nlm.nih.gov/pmc/blobs/fc55/8722183/55c916b82d01/12877_2021_2626_Fig3_HTML.jpg
https://cdn.ncbi.nlm.nih.gov/pmc/blobs/fc55/8722183/63ec48094e1a/12877_2021_2626_Fig1_HTML.jpg
https://cdn.ncbi.nlm.nih.gov/pmc/blobs/fc55/8722183/22d4472fdbb7/12877_2021_2626_Fig2_HTML.jpg
https://cdn.ncbi.nlm.nih.gov/pmc/blobs/fc55/8722183/55c916b82d01/12877_2021_2626_Fig3_HTML.jpg

相似文献

1
Brain CT can predict low lean mass in the elderly with cognitive impairment: a community-dwelling study.脑 CT 可预测认知障碍老年人群的低瘦体组织量:一项社区居住者研究。
BMC Geriatr. 2022 Jan 3;22(1):3. doi: 10.1186/s12877-021-02626-8.
2
Assessment of muscle mass using chest computed tomography-based quantitative and qualitative measurements in patients with systemic sclerosis: A retrospective study with cross-sectional and longitudinal analyses.采用基于胸部 CT 的定量和定性测量评估系统性硬化症患者的肌肉量:一项回顾性研究,包含横断面和纵向分析。
Semin Arthritis Rheum. 2023 Apr;59:152168. doi: 10.1016/j.semarthrit.2023.152168. Epub 2023 Jan 19.
3
Arm lean mass determined by dual-energy X-ray absorptiometry is superior to characterize skeletal muscle and predict sarcopenia-related mortality in cirrhosis.双能 X 射线吸收法测定的上肢瘦体重优于特征化骨骼肌,并可预测肝硬化相关的肌肉减少症死亡率。
Am J Physiol Gastrointest Liver Physiol. 2021 May 1;320(5):G729-G740. doi: 10.1152/ajpgi.00478.2020. Epub 2021 Mar 17.
4
Diagnosis of sarcopenia by evaluating skeletal muscle mass by adjusted bioimpedance analysis validated with dual-energy X-ray absorptiometry.采用经双能 X 射线吸收法校正的生物阻抗分析法评估骨骼肌质量诊断肌肉减少症。
J Cachexia Sarcopenia Muscle. 2021 Dec;12(6):2163-2173. doi: 10.1002/jcsm.12825. Epub 2021 Oct 4.
5
The longitudinal associations between bone mineral density and appendicular skeletal muscle mass in Chinese community-dwelling middle aged and elderly men.中国社区居住的中老年男性骨密度与四肢骨骼肌质量的纵向关联
PeerJ. 2021 Jan 19;9:e10753. doi: 10.7717/peerj.10753. eCollection 2021.
6
Association of low muscle mass with cognitive function and mortality in USA seniors: results from NHANES 1999-2002.美国老年人低肌肉量与认知功能和死亡率的关联:NHANES 1999-2002 研究结果。
BMC Geriatr. 2024 May 11;24(1):420. doi: 10.1186/s12877-024-05035-9.
7
Diagnosing Sarcopenia in Male Patients With Cirrhosis by Dual-Energy X-Ray Absorptiometry Estimates of Appendicular Skeletal Muscle Mass.应用双能 X 射线吸收法估计四肢骨骼肌质量诊断肝硬化男性患者的肌肉减少症。
JPEN J Parenter Enteral Nutr. 2018 Jan;42(1):24-36. doi: 10.1177/0148607117701400. Epub 2017 Dec 6.
8
Low muscle mass and sarcopenia: common and predictive of osteopenia in inflammatory bowel disease.低肌肉量与肌肉减少症:炎症性肠病中常见且可预测骨质减少。
Aliment Pharmacol Ther. 2015 May;41(9):895-906. doi: 10.1111/apt.13156. Epub 2015 Mar 5.
9
Assessment of muscle mass depletion in chronic liver disease: Dual-energy x-ray absorptiometry compared with computed tomography.评估慢性肝病患者的肌肉减少症:双能 X 射线吸收法与计算机断层扫描比较。
Nutrition. 2019 May;61:93-98. doi: 10.1016/j.nut.2018.10.031. Epub 2018 Nov 14.
10
Dietary protein intake and changes in muscle mass measurements in community-dwelling middle-aged and older adults: A prospective cohort study.膳食蛋白质摄入量与社区中老年人群肌肉质量测量变化的前瞻性队列研究。
Clin Nutr. 2023 Dec;42(12):2503-2511. doi: 10.1016/j.clnu.2023.10.017. Epub 2023 Oct 22.

引用本文的文献

1
Causal association of sarcopenia-related traits with brain cortical structure: a bidirectional Mendelian randomization study.肌肉减少症相关特征与脑皮质结构的因果关联:一项双向孟德尔随机化研究。
Aging Clin Exp Res. 2025 Feb 27;37(1):57. doi: 10.1007/s40520-025-02977-x.
2
Clinical Significance of Sarcopenia Defined by the Cross-Sectional Area of the Masseter Muscle in Cerebrovascular Events: A Retrospective Cohort Study.咬肌横截面积定义的肌肉减少症在脑血管事件中的临床意义:一项回顾性队列研究
Medicina (Kaunas). 2025 Feb 4;61(2):268. doi: 10.3390/medicina61020268.
3
Association of changes in predicted body composition with subsequent risk of dementia.

本文引用的文献

1
Neuroinflammation in neurodegenerative disorders: the roles of microglia and astrocytes.神经退行性疾病中的神经炎症:小胶质细胞和星形胶质细胞的作用。
Transl Neurodegener. 2020 Nov 26;9(1):42. doi: 10.1186/s40035-020-00221-2.
2
Six Visual Rating Scales as A Biomarker for Monitoring Atrophied Brain Volume in Parkinson's Disease.六种视觉评分量表作为监测帕金森病脑萎缩体积的生物标志物
Aging Dis. 2020 Oct 1;11(5):1082-1090. doi: 10.14336/AD.2019.1103. eCollection 2020 Oct.
3
Dementia prevention, intervention, and care: 2020 report of the Lancet Commission.
预测身体成分变化与随后痴呆风险的关联。
Ann Clin Transl Neurol. 2024 Aug;11(8):1952-1963. doi: 10.1002/acn3.52096. Epub 2024 Jul 15.
4
Casual associations between brain structure and sarcopenia: A large-scale genetic correlation and mendelian randomization study.大脑结构与肌肉减少症之间的偶然关联:一项大规模的遗传相关性和孟德尔随机化研究。
Aging Cell. 2024 Oct;23(10):e14252. doi: 10.1111/acel.14252. Epub 2024 Jun 17.
5
Meta-analysis on the interrelationship between sarcopenia and mild cognitive impairment, Alzheimer's disease and other forms of dementia.肌肉减少症与轻度认知障碍、阿尔茨海默病及其他形式痴呆症之间相互关系的荟萃分析。
J Cachexia Sarcopenia Muscle. 2024 Aug;15(4):1240-1253. doi: 10.1002/jcsm.13485. Epub 2024 May 7.
6
Prevalence and Factors Influencing Sarcopenia Among Community-Dwelling Older Adults Using the Asian Working Group for Sarcopenia Definition.采用亚洲肌少症工作组定义的社区居住老年人肌少症的流行率及影响因素。
Clin Interv Aging. 2022 Nov 29;17:1707-1727. doi: 10.2147/CIA.S388319. eCollection 2022.
《痴呆症的预防、干预与照护:柳叶刀委员会2020年报告》
Lancet. 2020 Aug 8;396(10248):413-446. doi: 10.1016/S0140-6736(20)30367-6. Epub 2020 Jul 30.
4
Imaging biomarkers in neurodegeneration: current and future practices.神经退行性疾病的影像学生物标志物:当前和未来的实践。
Alzheimers Res Ther. 2020 Apr 27;12(1):49. doi: 10.1186/s13195-020-00612-7.
5
Assessment of body composition and impact of sarcopenia and sarcopenic obesity in patients with gastric cancer.胃癌患者身体成分评估以及肌肉减少症和肌肉减少性肥胖的影响
Transl Gastroenterol Hepatol. 2020 Apr 5;5:22. doi: 10.21037/tgh.2019.10.13. eCollection 2020.
6
Asian Working Group for Sarcopenia: 2019 Consensus Update on Sarcopenia Diagnosis and Treatment.亚洲肌少症工作组:2019年肌少症诊断与治疗共识更新
J Am Med Dir Assoc. 2020 Mar;21(3):300-307.e2. doi: 10.1016/j.jamda.2019.12.012. Epub 2020 Feb 4.
7
Applicability of the masseter muscle as a nutritional biomarker.咬肌作为营养生物标志物的适用性。
Medicine (Baltimore). 2020 Feb;99(6):e19069. doi: 10.1097/MD.0000000000019069.
8
A Method to Estimate Brain Volume from Head CT Images and Application to Detect Brain Atrophy in Alzheimer Disease.一种基于头部 CT 图像估算脑容量的方法及其在阿尔茨海默病脑萎缩检测中的应用。
AJNR Am J Neuroradiol. 2020 Feb;41(2):224-230. doi: 10.3174/ajnr.A6402. Epub 2020 Jan 30.
9
Prevalence of sarcopenia as a comorbid disease: A systematic review and meta-analysis.肌少症作为合并症的患病率:系统评价和荟萃分析。
Exp Gerontol. 2020 Mar;131:110801. doi: 10.1016/j.exger.2019.110801. Epub 2019 Dec 28.
10
Dietary interventions in mild cognitive impairment and dementia.轻度认知障碍和痴呆症的饮食干预措施。
Dialogues Clin Neurosci. 2019 Mar;21(1):69-82. doi: 10.31887/DCNS.2019.21.1/nscarmeas.