• 文献检索
  • 文档翻译
  • 深度研究
  • 学术资讯
  • Suppr Zotero 插件Zotero 插件
  • 邀请有礼
  • 套餐&价格
  • 历史记录
应用&插件
Suppr Zotero 插件Zotero 插件浏览器插件Mac 客户端Windows 客户端微信小程序
定价
高级版会员购买积分包购买API积分包
服务
文献检索文档翻译深度研究API 文档MCP 服务
关于我们
关于 Suppr公司介绍联系我们用户协议隐私条款
关注我们

Suppr 超能文献

核心技术专利:CN118964589B侵权必究
粤ICP备2023148730 号-1Suppr @ 2026

文献检索

告别复杂PubMed语法,用中文像聊天一样搜索,搜遍4000万医学文献。AI智能推荐,让科研检索更轻松。

立即免费搜索

文件翻译

保留排版,准确专业,支持PDF/Word/PPT等文件格式,支持 12+语言互译。

免费翻译文档

深度研究

AI帮你快速写综述,25分钟生成高质量综述,智能提取关键信息,辅助科研写作。

立即免费体验

类风湿关节炎患者肺部、肝脏和肾脏同时发生结节性增生病,间质性肺炎急性加重:尸检病例报告。

Simultaneous occurrence of accelerated nodulosis in lungs, liver, and kidneys, and acute exacerbation of interstitial pneumonia in a patient with rheumatoid arthritis: an autopsy case report.

机构信息

Department of Rheumatology, Mitsui Memorial Hospital, 1 Kanda-izumi-cho Chiyoda-ku, Tokyo, 101-8643, Japan.

Center for Rheumatology and Joint Surgery, Kawakita General Hospital, Tokyo, Japan.

出版信息

BMC Pulm Med. 2022 Jan 5;22(1):10. doi: 10.1186/s12890-021-01806-x.

DOI:10.1186/s12890-021-01806-x
PMID:34983485
原文链接:https://pmc.ncbi.nlm.nih.gov/articles/PMC8728930/
Abstract

BACKGROUND

Accelerated nodulosis (ARN) is a rare variant of rheumatoid nodules (RNs) that is characterized by a rapid onset or the worsening of RNs. It generally develops at the fingers in patients with rheumatoid arthritis (RA) receiving methotrexate (MTX). Few case reports have described ARN at an extracutaneous location.

CASE PRESENTATION

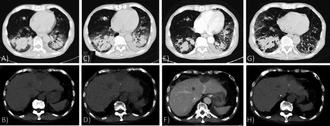
An elderly patient with long-standing RA was admitted to our hospital with acute respiratory failure. Computed tomography upon admission showed diffuse ground-glass opacities superimposed with subpleural reticular shadowing and honeycombing and multiple nodules in the lungs and liver. Despite the discontinuation of MTX and introduction of an immunosuppressive regimen with pulse methylprednisolone followed by a tapering dose of prednisolone and intravenous cyclophosphamide, the patient died due to the acute exacerbation (AE) of RA-related interstitial lung disease (ILD) following the parallel waxing and waning of a diffuse interstitial shadow and pulmonary and liver nodules. At autopsy, RNs were scattered throughout both lung fields in addition to extensive interstitial changes. RNs were also detected in the liver and kidneys. The foci of cryptococcosis were mainly identified in alveolar spaces. Based on the clinical and pathological findings, these nodules were most consistent with ARN because of acute increases in the size and number of previously detected pulmonary nodules.

CONCLUSION

The present case is noteworthy because ARN was concurrently detected in multiple internal organs and may be associated with the AE of RA-related ILD.

摘要

背景

加速结节形成(ARN)是类风湿结节(RNs)的一种罕见变异,其特征为 RNs 的快速发作或恶化。它通常发生在接受甲氨蝶呤(MTX)治疗的类风湿关节炎(RA)患者的手指上。少数病例报告描述了位于皮肤外的 ARN。

病例介绍

一位患有长期 RA 的老年患者因急性呼吸衰竭而入院。入院时的计算机断层扫描显示弥漫性磨玻璃影伴胸膜下网状影和蜂巢影,肺部和肝脏有多发性结节。尽管停用了 MTX,并采用脉冲甲基强的松龙联合逐渐减量的泼尼松龙和静脉环磷酰胺的免疫抑制方案治疗,但由于 RA 相关间质性肺病(ILD)的急性加重(AE),患者最终死亡,ILD 的表现为弥漫性间质影以及肺部和肝脏结节的平行消长。尸检时,除了广泛的间质改变外,双肺野还散布着 RNs。肝脏和肾脏也发现了 RNs。隐球菌病的病灶主要位于肺泡腔。基于临床和病理发现,这些结节最符合 ARN,因为先前发现的肺部结节的大小和数量急性增加。

结论

本病例值得注意,因为在多个内脏器官中同时检测到 ARN,并且可能与 RA 相关 ILD 的 AE 有关。

https://cdn.ncbi.nlm.nih.gov/pmc/blobs/2e53/8728930/22ab01008a3a/12890_2021_1806_Fig4_HTML.jpg
https://cdn.ncbi.nlm.nih.gov/pmc/blobs/2e53/8728930/2f6952b6536c/12890_2021_1806_Fig1_HTML.jpg
https://cdn.ncbi.nlm.nih.gov/pmc/blobs/2e53/8728930/14994c851aef/12890_2021_1806_Fig2_HTML.jpg
https://cdn.ncbi.nlm.nih.gov/pmc/blobs/2e53/8728930/640accf9df2e/12890_2021_1806_Fig3_HTML.jpg
https://cdn.ncbi.nlm.nih.gov/pmc/blobs/2e53/8728930/22ab01008a3a/12890_2021_1806_Fig4_HTML.jpg
https://cdn.ncbi.nlm.nih.gov/pmc/blobs/2e53/8728930/2f6952b6536c/12890_2021_1806_Fig1_HTML.jpg
https://cdn.ncbi.nlm.nih.gov/pmc/blobs/2e53/8728930/14994c851aef/12890_2021_1806_Fig2_HTML.jpg
https://cdn.ncbi.nlm.nih.gov/pmc/blobs/2e53/8728930/640accf9df2e/12890_2021_1806_Fig3_HTML.jpg
https://cdn.ncbi.nlm.nih.gov/pmc/blobs/2e53/8728930/22ab01008a3a/12890_2021_1806_Fig4_HTML.jpg

相似文献

1
Simultaneous occurrence of accelerated nodulosis in lungs, liver, and kidneys, and acute exacerbation of interstitial pneumonia in a patient with rheumatoid arthritis: an autopsy case report.类风湿关节炎患者肺部、肝脏和肾脏同时发生结节性增生病,间质性肺炎急性加重:尸检病例报告。
BMC Pulm Med. 2022 Jan 5;22(1):10. doi: 10.1186/s12890-021-01806-x.
2
Accelerated nodulosis during low dose methotrexate therapy for rheumatoid arthritis. An analysis of ten cases.类风湿关节炎低剂量甲氨蝶呤治疗期间的加速性结节病。十例分析。
J Rheumatol. 1992 Jun;19(6):867-71.
3
[An autopsy case of rheumatoid arthritis accompanied with acute exacerbation of interstitial pneumonia].[一例类风湿关节炎伴间质性肺炎急性加重的尸检病例]
Nihon Rinsho Meneki Gakkai Kaishi. 1998 Jun;21(3):129-36. doi: 10.2177/jsci.21.129.
4
Rheumatoid arthritis with diffuse pulmonary rheumatoid nodules.伴有弥漫性肺类风湿结节的类风湿关节炎
Pathol Int. 2004 Oct;54(10):798-802. doi: 10.1111/j.1440-1827.2004.01758.x.
5
Acute exacerbation of interstitial pneumonia associated with rheumatoid arthritis during the course of treatment for Pneumocystis jirovecii pneumonia: a case report.耶氏肺孢子菌肺炎治疗过程中并发类风湿关节炎相关间质性肺炎急性加重:一例报告
BMC Res Notes. 2016 Apr 26;9:240. doi: 10.1186/s13104-016-2052-0.
6
Rheumatoid lung nodulosis and osteopathy associated with leflunomide therapy.与来氟米特治疗相关的类风湿性肺结节病和骨病
Clin Rheumatol. 2006 May;25(3):384-8. doi: 10.1007/s10067-005-0024-1. Epub 2005 Oct 7.
7
Leflunomide-related acute interstitial pneumonia in two patients with rheumatoid arthritis: autopsy findings with a mosaic pattern of acute and organizing diffuse alveolar damage.两例类风湿关节炎患者出现来氟米特相关急性间质性肺炎:尸检发现急性和机化性弥漫性肺泡损伤的镶嵌模式
Mod Rheumatol. 2006;16(5):316-20. doi: 10.1007/s10165-006-0506-2.
8
The clinical significance of HRCT in evaluation of patients with rheumatoid arthritis-associated interstitial lung disease: a report from China.高分辨率 CT 对类风湿关节炎相关间质性肺疾病的临床意义:来自中国的报告。
Rheumatol Int. 2012 Mar;32(3):669-73. doi: 10.1007/s00296-010-1665-1. Epub 2010 Dec 5.
9
Acute exacerbation of rheumatoid arthritis-associated interstitial lung disease: clinical features and prognosis.类风湿关节炎相关间质性肺疾病急性加重:临床特征和预后。
Rheumatology (Oxford). 2021 May 14;60(5):2348-2354. doi: 10.1093/rheumatology/keaa608.
10
Differences in clinical Pneumocystis pneumonia in rheumatoid arthritis and other connective tissue diseases suggesting a rheumatoid-specific interstitial lung injury spectrum.类风湿关节炎和其他结缔组织疾病中临床肺囊虫肺炎的差异表明存在类风湿关节炎特异性间质性肺损伤谱。
Clin Rheumatol. 2018 Aug;37(8):2269-2274. doi: 10.1007/s10067-018-4157-4. Epub 2018 Jun 6.

引用本文的文献

1
Rheumatoid arthritis with pulmonary accelerated rheumatoid nodules treated by baricitinib: a case-based review.巴瑞替尼治疗伴有肺部加速型类风湿结节的类风湿关节炎:基于病例的综述。
Clin Rheumatol. 2024 Feb;43(2):775-784. doi: 10.1007/s10067-023-06773-8. Epub 2023 Sep 23.

本文引用的文献

1
Prognostic differences among patients with idiopathic interstitial pneumonias with acute exacerbation of varying pathogenesis: a retrospective study.不同发病机制特发性间质性肺炎急性加重患者的预后差异:一项回顾性研究。
Respir Res. 2019 Dec 18;20(1):287. doi: 10.1186/s12931-019-1247-z.
2
Rheumatoid Nodule Formation in the Kidney: A Diagnosis of Exclusion and a Rare Manifestation of Rheumatoid Arthritis Involving the Kidney.
Kidney Int Rep. 2019 Jan 28;4(5):745-748. doi: 10.1016/j.ekir.2019.01.017. eCollection 2019 May.
3
Acute exacerbation of idiopathic pulmonary fibrosis triggered by empyema.脓胸引发的特发性肺纤维化急性加重
Respir Med Case Rep. 2018 Jan 31;23:103-106. doi: 10.1016/j.rmcr.2018.01.004. eCollection 2018.
4
Rheumatoid Nodules.类风湿结节
Dermatol Clin. 2015 Jul;33(3):361-71. doi: 10.1016/j.det.2015.03.004.
5
Pulmonary cryptococcosis that mimicked rheumatoid nodule in rheumatoid arthritis lesion.在类风湿关节炎病变中表现为类似类风湿结节的肺隐球菌病。
Tuberc Respir Dis (Seoul). 2014 Dec;77(6):266-70. doi: 10.4046/trd.2014.77.6.266. Epub 2014 Dec 31.
6
Occurrence of pulmonary rheumatoid nodules following biological therapies.
Clin Rheumatol. 2015 Sep;34(9):1639-42. doi: 10.1007/s10067-014-2789-6. Epub 2014 Sep 30.
7
Rheumatoid granuloma of the cervix and vagina: a challenging diagnosis and treatment.宫颈和阴道类风湿性肉芽肿:具有挑战性的诊断和治疗。
Obstet Gynecol. 2010 Aug;116 Suppl 2:501-503. doi: 10.1097/AOG.0b013e3181d992d0.
8
Rheumatoid nodule.类风湿结节。
Semin Cutan Med Surg. 2007 Jun;26(2):100-7. doi: 10.1016/j.sder.2007.02.007.
9
Rheumatoid arthritis with diffuse pulmonary rheumatoid nodules.伴有弥漫性肺类风湿结节的类风湿关节炎
Pathol Int. 2004 Oct;54(10):798-802. doi: 10.1111/j.1440-1827.2004.01758.x.
10
Rheumatoid nodules in liver.
Histopathology. 1986 Nov;10(11):1211-3. doi: 10.1111/j.1365-2559.1986.tb02563.x.