Suppr超能文献

可卡因诱发的垂体及硬膜下脑脓肿与治疗挑战

Cocaine-Induced Pituitary and Subdural Brain Abscesses and the Treatment Challenges.

作者信息

Zafar Mansoor, Vaughan Samuel, Khuu Bao, Shrestha Sophiya, Porruvecchio Elisabetta, Hadid Abubakar

机构信息

Gastroenterology and Hepatology, Conquest Hospital, East Sussex Healthcare NHS Trust, St. Leonards-on-Sea, GBR.

Radiology St4, Conquest Hospital, St. Leonards-on-Sea, GBR.

出版信息

Cureus. 2021 Dec 30;13(12):e20821. doi: 10.7759/cureus.20821. eCollection 2021 Dec.

Abstract

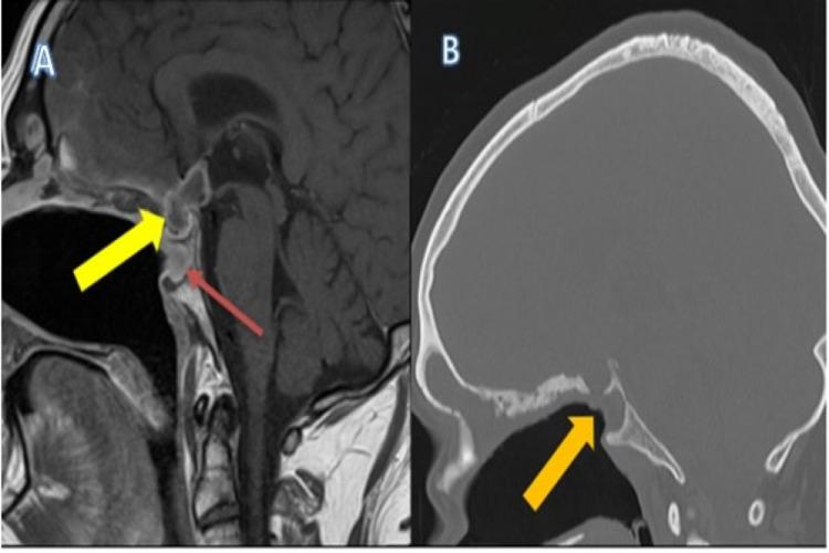
Cocaine is a well-known recreational drug with stimulant effects associated with relevant social, economic, and clinical implications. The most common route of abuse is via snorting. It has high addictive potential. Furthermore, one of the most well-known symptoms of a chronic user is chronic rhinitis. In the medical journals, there are numerous reports of complications, including lesions affecting the nasal septum, nasal sinuses, and even brain abscesses. We came across a 41-year-old male patient with severe manifestations of chronic cocaine use involving nasal, paranasal, and visual symptoms and signs. However, the most devastating was the complication of pituitary abscess, as a sequela to chronic cocaine sniffing. This case highlights the clinical, diagnostic, and management challenges with a multi-disciplinary approach. Last but not least, was the role of patient counselling and education. This ensured compliance towards management with a favourable outcome, which was rewarding for both the patient and the medical team involved in the care of the patient. It would hopefully create more awareness and assist in abstinence. We also hope it would incite more effort towards data collection and analysis, as well as allow us to explore the actual incidence of its use and devastating complications, which to date, for reasons of disguise and denial, remain somewhat ambiguous.

摘要

可卡因是一种广为人知的消遣性药物,具有刺激作用,会带来相关的社会、经济和临床影响。最常见的滥用途径是鼻吸。它具有很高的成瘾潜力。此外,慢性使用者最广为人知的症状之一是慢性鼻炎。在医学期刊上,有许多关于并发症的报道,包括影响鼻中隔、鼻窦甚至脑脓肿的病变。我们遇到了一名41岁的男性患者,他有慢性可卡因使用的严重表现,涉及鼻腔、鼻窦和视觉症状及体征。然而,最具破坏性的是垂体脓肿并发症,这是慢性可卡因鼻吸的后遗症。该病例凸显了采用多学科方法应对的临床、诊断和管理挑战。最后但同样重要的是患者咨询和教育的作用。这确保了患者对治疗的依从性,并取得了良好的结果,这对患者和参与患者护理的医疗团队来说都是值得的。这有望提高更多认识并有助于戒毒。我们还希望这能促使人们加大数据收集和分析的力度,并让我们能够探究其使用情况和破坏性并发症的实际发生率,迄今为止,由于伪装和否认等原因,这些情况仍有些模糊不清。

https://cdn.ncbi.nlm.nih.gov/pmc/blobs/748d/8717109/7a22daac0a4d/cureus-0013-00000020821-i01.jpg

文献检索

告别复杂PubMed语法,用中文像聊天一样搜索,搜遍4000万医学文献。AI智能推荐,让科研检索更轻松。

立即免费搜索

文件翻译

保留排版,准确专业,支持PDF/Word/PPT等文件格式,支持 12+语言互译。

免费翻译文档

深度研究

AI帮你快速写综述,25分钟生成高质量综述,智能提取关键信息,辅助科研写作。

立即免费体验