• 文献检索
  • 文档翻译
  • 深度研究
  • 学术资讯
  • Suppr Zotero 插件Zotero 插件
  • 邀请有礼
  • 套餐&价格
  • 历史记录
应用&插件
Suppr Zotero 插件Zotero 插件浏览器插件Mac 客户端Windows 客户端微信小程序
定价
高级版会员购买积分包购买API积分包
服务
文献检索文档翻译深度研究API 文档MCP 服务
关于我们
关于 Suppr公司介绍联系我们用户协议隐私条款
关注我们

Suppr 超能文献

核心技术专利:CN118964589B侵权必究
粤ICP备2023148730 号-1Suppr @ 2026

文献检索

告别复杂PubMed语法,用中文像聊天一样搜索,搜遍4000万医学文献。AI智能推荐,让科研检索更轻松。

立即免费搜索

文件翻译

保留排版,准确专业,支持PDF/Word/PPT等文件格式,支持 12+语言互译。

免费翻译文档

深度研究

AI帮你快速写综述,25分钟生成高质量综述,智能提取关键信息,辅助科研写作。

立即免费体验

一位狂热自行车爱好者的头晕:一个常见问题的不寻常表现。

Dizziness in an avid cyclist: an unusual presentation of a common problem.

作者信息

Sinha Aish, Demir Ozan M, Ellis Howard, Perera Divaka

机构信息

British Heart Foundation Centre of Excellence and National Institute for Health Research Biomedical Research Centre at the School of Cardiovascular Medicine and Sciences, King's College London, Westminster Bridge Rd, London SE1 7EH, UK.

出版信息

Eur Heart J Case Rep. 2021 Dec 6;5(12):ytab459. doi: 10.1093/ehjcr/ytab459. eCollection 2021 Dec.

DOI:10.1093/ehjcr/ytab459
PMID:34993402
原文链接:https://pmc.ncbi.nlm.nih.gov/articles/PMC8728714/
Abstract

BACKGROUND

Presyncope and syncope are common presentations with a wide range of differential diagnoses; when it occurs primarily on exertion, a cardiovascular cause is more likely. Structural abnormalities and primary rhythm disturbances are the usual culprits in these patients.

CASE SUMMARY

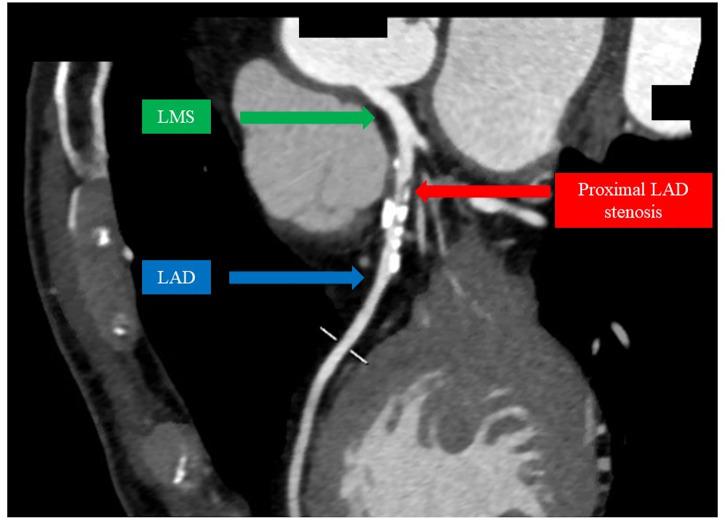
A 75-year-old gentleman presented with a history of progressive exertional presyncope. His investigations demonstrated normal cardiac structure, function, and rhythm. He underwent an exercise stress test, which demonstrated a significant reduction in peak blood pressure with equivocal electrocardiogram changes and absence of ischaemic symptoms. In view of his age and gender, a computerized tomography coronary angiogram (CTCA) was organized to exclude obstructive coronary artery disease (CAD). Intriguingly, the CTCA demonstrated a severe proximal left anterior descending (LAD) artery stenosis. This stenosis was confirmed to be functionally significant using invasive coronary physiology and was treated with percutaneous coronary intervention. At follow-up, there was no recurrence of exertional presyncope and the patient was continuing to return to his baseline function.

CONCLUSION

Presyncope and/or syncope as the sole manifestation of obstructive CAD, in the presence of normal ventricular function and valves, has rarely been reported. Myocardial ischaemia-mediated presyncope and/or syncope may be secondary to numerous mechanisms, which are described in this case report. Revascularization of the functionally significant proximal LAD stenosis resulted in cessation of exertional presyncope in our patient. The long-term outcome of revascularization in patients with presyncope and syncope needs to be further investigated.

摘要

背景

先兆晕厥和晕厥是常见症状,有多种鉴别诊断;当主要在运动时发生时,更可能是心血管原因。结构异常和原发性节律紊乱是这些患者的常见病因。

病例摘要

一名75岁男性有进行性运动性先兆晕厥病史。他的检查显示心脏结构、功能和节律正常。他接受了运动负荷试验,结果显示峰值血压显著降低,心电图改变不明确且无缺血症状。鉴于他的年龄和性别,安排了计算机断层扫描冠状动脉造影(CTCA)以排除阻塞性冠状动脉疾病(CAD)。有趣的是,CTCA显示左前降支(LAD)动脉近端严重狭窄。使用侵入性冠状动脉生理学方法证实该狭窄具有功能意义,并接受了经皮冠状动脉介入治疗。随访时,运动性先兆晕厥未复发,患者继续恢复到基线功能。

结论

在心室功能和瓣膜正常的情况下,阻塞性CAD仅表现为先兆晕厥和/或晕厥的情况鲜有报道。心肌缺血介导的先兆晕厥和/或晕厥可能继发于多种机制,本病例报告对此进行了描述。对具有功能意义的LAD近端狭窄进行血运重建,使我们的患者运动性先兆晕厥停止。先兆晕厥和晕厥患者血运重建的长期结果需要进一步研究。

https://cdn.ncbi.nlm.nih.gov/pmc/blobs/fae2/8728714/e86077c2dddd/ytab459f4.jpg
https://cdn.ncbi.nlm.nih.gov/pmc/blobs/fae2/8728714/efb4a12d7116/ytab459f1.jpg
https://cdn.ncbi.nlm.nih.gov/pmc/blobs/fae2/8728714/08826bcd06a4/ytab459f2.jpg
https://cdn.ncbi.nlm.nih.gov/pmc/blobs/fae2/8728714/391520f665c1/ytab459f3.jpg
https://cdn.ncbi.nlm.nih.gov/pmc/blobs/fae2/8728714/e86077c2dddd/ytab459f4.jpg
https://cdn.ncbi.nlm.nih.gov/pmc/blobs/fae2/8728714/efb4a12d7116/ytab459f1.jpg
https://cdn.ncbi.nlm.nih.gov/pmc/blobs/fae2/8728714/08826bcd06a4/ytab459f2.jpg
https://cdn.ncbi.nlm.nih.gov/pmc/blobs/fae2/8728714/391520f665c1/ytab459f3.jpg
https://cdn.ncbi.nlm.nih.gov/pmc/blobs/fae2/8728714/e86077c2dddd/ytab459f4.jpg

相似文献

1
Dizziness in an avid cyclist: an unusual presentation of a common problem.一位狂热自行车爱好者的头晕:一个常见问题的不寻常表现。
Eur Heart J Case Rep. 2021 Dec 6;5(12):ytab459. doi: 10.1093/ehjcr/ytab459. eCollection 2021 Dec.
2
Unusual Presentation of Obstructive Atherosclerotic Coronary Artery Disease With Chronic, Persistent Neck and Shoulder Pain: A Case Report.以慢性持续性颈部和肩部疼痛为表现的阻塞性动脉粥样硬化性冠状动脉疾病:一例报告
Cureus. 2025 Mar 9;17(3):e80298. doi: 10.7759/cureus.80298. eCollection 2025 Mar.
3
A 45-year old man with recurrent syncope: an unusual presentation of coronary artery disease.一名45岁复发性晕厥男性:冠状动脉疾病的不寻常表现。
Pan Afr Med J. 2013 Feb 19;14:71. doi: 10.11604/pamj.2013.14.71.2166. Print 2013.
4
Chest Pain at Rest With Unremarkable ECG and Cardiac Enzymes: Case Study Emphasising the Importance of Clinical Suspicion in the Diagnosis of Coronary Artery Disease.静息时胸痛伴心电图及心肌酶无异常:病例研究强调临床怀疑在冠状动脉疾病诊断中的重要性。
In Vivo. 2025 Jan-Feb;39(1):524-531. doi: 10.21873/invivo.13856.
5
Rest-Only Myocardial CT Perfusion in Acute Chest Pain.急性胸痛时仅静息状态下的心肌CT灌注成像
South Med J. 2015 Nov;108(11):688-94. doi: 10.14423/SMJ.0000000000000372.
6
Left anterior descending/right coronary artery bifurcation angioplasty in a rare case of single coronary artery: a case report.单支冠状动脉罕见病例中的左前降支/右冠状动脉分叉处血管成形术:一例报告
Eur Heart J Case Rep. 2021 Apr 21;5(4):ytab047. doi: 10.1093/ehjcr/ytab047. eCollection 2021 Apr.
7
[Myocardial perfusion scintigraphy with Tc-99m MIBI in patients with left bundle branch block: Visual quantification of the anteroseptal perfusion imaging for the diagnosis of left anterior descending artery stenosis].左束支传导阻滞患者的锝-99m甲氧基异丁基异腈心肌灌注显像:前间隔灌注显像的视觉定量分析用于诊断左前降支动脉狭窄
Cardiovasc J S Afr. 2005 Mar-Apr;16(2):95-101.
8
Coronary vasospasm-induced syncope with dynamic changes of regional wall motion abnormalities confirmed real-time: a case report.冠状动脉痉挛诱发晕厥伴区域壁运动异常动态变化的实时确认:一例报告
Eur Heart J Case Rep. 2020 Nov 8;4(6):1-5. doi: 10.1093/ehjcr/ytaa237. eCollection 2020 Dec.
9
A Case of ST-Elevation Myocardial Infarction With Right Bundle Branch Block, an Ominous Sign of Critical Coronary Occlusion.一例伴有右束支传导阻滞的ST段抬高型心肌梗死,冠状动脉严重闭塞的不祥征兆。
Cureus. 2022 Jan 13;14(1):e21216. doi: 10.7759/cureus.21216. eCollection 2022 Jan.
10
A multi-centre randomised controlled trial of minimally invasive direct coronary bypass grafting versus percutaneous transluminal coronary angioplasty with stenting for proximal stenosis of the left anterior descending coronary artery.一项关于微创直接冠状动脉旁路移植术与经皮冠状动脉腔内血管成形术加支架置入术治疗左前降支冠状动脉近端狭窄的多中心随机对照试验。
Health Technol Assess. 2004 Apr;8(16):1-43. doi: 10.3310/hta8160.

本文引用的文献

1
2018 ESC Guidelines for the diagnosis and management of syncope.2018年欧洲心脏病学会晕厥诊断和管理指南。
Eur Heart J. 2018 Jun 1;39(21):1883-1948. doi: 10.1093/eurheartj/ehy037.
2
Presence and extent of cardiac computed tomography angiography defined coronary artery disease in patients presenting with syncope.心脏计算机断层扫描血管造影术确定的冠心病在晕厥患者中的存在情况及范围。
Neth Heart J. 2017 Jun;25(6):376-387. doi: 10.1007/s12471-017-0970-7.
3
2017 ACC/AHA/HRS Guideline for the Evaluation and Management of Patients With Syncope: Executive Summary: A Report of the American College of Cardiology/American Heart Association Task Force on Clinical Practice Guidelines and the Heart Rhythm Society.
2017美国心脏病学会/美国心脏协会/美国心律学会晕厥患者评估与管理指南:执行摘要:美国心脏病学会/美国心脏协会临床实践指南工作组及心律学会报告
Circulation. 2017 Aug 1;136(5):e25-e59. doi: 10.1161/CIR.0000000000000498. Epub 2017 Mar 9.
4
Syncope and risk of sudden cardiac arrest in coronary artery disease.冠心病中的晕厥与心脏骤停风险
Int J Cardiol. 2017 Mar 15;231:26-30. doi: 10.1016/j.ijcard.2016.12.021. Epub 2016 Dec 12.
5
Clinical value of post-percutaneous coronary intervention fractional flow reserve value: A systematic review and meta-analysis.经皮冠状动脉介入治疗后血流储备分数值的临床价值:一项系统评价与荟萃分析。
Am Heart J. 2017 Jan;183:1-9. doi: 10.1016/j.ahj.2016.10.005. Epub 2016 Oct 11.
6
Percutaneous coronary intervention for older adults who present with syncope and coronary artery disease? Insights from the National Cardiovascular Data Registry.针对伴有晕厥和冠状动脉疾病的老年人进行经皮冠状动脉介入治疗?来自国家心血管数据注册库的见解。
Am Heart J. 2016 Jun;176:1-9. doi: 10.1016/j.ahj.2016.02.017. Epub 2016 Feb 27.
7
Exercise standards for testing and training: a scientific statement from the American Heart Association.测试与训练的运动标准:美国心脏协会的科学声明。
Circulation. 2013 Aug 20;128(8):873-934. doi: 10.1161/CIR.0b013e31829b5b44. Epub 2013 Jul 22.
8
An approach to the evaluation and management of syncope in adults.成人晕厥的评估与管理方法。
BMJ. 2010 Feb 19;340:c880. doi: 10.1136/bmj.c880.
9
Incidence and prognosis of syncope.晕厥的发病率与预后
N Engl J Med. 2002 Sep 19;347(12):878-85. doi: 10.1056/NEJMoa012407.