• 文献检索
  • 文档翻译
  • 深度研究
  • 学术资讯
  • Suppr Zotero 插件Zotero 插件
  • 邀请有礼
  • 套餐&价格
  • 历史记录
应用&插件
Suppr Zotero 插件Zotero 插件浏览器插件Mac 客户端Windows 客户端微信小程序
定价
高级版会员购买积分包购买API积分包
服务
文献检索文档翻译深度研究API 文档MCP 服务
关于我们
关于 Suppr公司介绍联系我们用户协议隐私条款
关注我们

Suppr 超能文献

核心技术专利:CN118964589B侵权必究
粤ICP备2023148730 号-1Suppr @ 2026

文献检索

告别复杂PubMed语法,用中文像聊天一样搜索,搜遍4000万医学文献。AI智能推荐,让科研检索更轻松。

立即免费搜索

文件翻译

保留排版,准确专业,支持PDF/Word/PPT等文件格式,支持 12+语言互译。

免费翻译文档

深度研究

AI帮你快速写综述,25分钟生成高质量综述,智能提取关键信息,辅助科研写作。

立即免费体验

子宫动脉栓塞术失败后需行次全子宫切除术:一例病例报告

Unsuccessful Uterine Artery Embolization Requiring Subtotal Hysterectomy: A Case Report.

作者信息

Kontomanolis Emmanuel, Stylianou Chrysovalantis, Mitropoulou Styliani, Balomenos Vasileios, Souftas Vasileios

机构信息

Obstetrics and Gynecology, University Hospital of Alexandroupolis, Alexandroupolis, GRC.

Radiology and Interventional Radiology, University Hospital of Alexandroupolis, Alexandroupolis, GRC.

出版信息

Cureus. 2021 Dec 6;13(12):e20210. doi: 10.7759/cureus.20210. eCollection 2021 Dec.

DOI:10.7759/cureus.20210
PMID:35004030
原文链接:https://pmc.ncbi.nlm.nih.gov/articles/PMC8727335/
Abstract

INTRODUCTION

The purpose of this case report is to present the case of a 49-year-old female individual with uterine fibroids, who underwent a subtotal hysterectomy after prior unsuccessful uterine artery embolization. Uterine artery embolization is a minimally-invasive technique used as an additional option for the treatment of symptomatic fibroids. The method is a promising technique, indicated for female individuals of reproductive age wishing to preserve their uteri.

CASE PRESENTATION

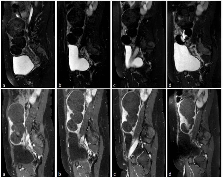
The patient presented symptoms of bloating and menorrhagia. Magnetic Resonance Imaging revealed uterine enlargement and elongation, with several fibroids and urinary bladder deformation caused by the enlarged uterus and the numerous fibroids compressing the uterine apex. She was referred for uterine artery embolization. In the three-year follow-up imaging, no alteration of the uterus' size was observed, while two fibroids were noted, suggesting necrosis or malignancy based on imaging findings, which led to the conduction of partial hysterectomy while leaving the cervix intact.

DISCUSSION

Uterine artery embolization is regarded as a safe and successful procedure. However, in case of ineffectiveness, full or partial hysterectomy is considered as the ultimate treatment of choice.

CONCLUSION

According to the available literature, uterine artery embolization is promoted to be an efficient alternative option to surgery. Patients should be offered adequate medical consultation on all the treatment options and possible complications.

摘要

引言

本病例报告的目的是介绍一名49岁患有子宫肌瘤的女性患者的情况,该患者在先前子宫动脉栓塞术失败后接受了次全子宫切除术。子宫动脉栓塞术是一种微创技术,用作治疗有症状子宫肌瘤的另一种选择。该方法是一种有前景的技术,适用于希望保留子宫的育龄女性。

病例介绍

患者出现腹胀和月经过多的症状。磁共振成像显示子宫增大和伸长,有多个肌瘤,且因子宫增大和众多肌瘤压迫子宫顶端导致膀胱变形。她被转诊接受子宫动脉栓塞术。在三年的随访成像中,未观察到子宫大小有变化,但发现有两个肌瘤,根据成像结果提示有坏死或恶性病变,这导致在保留宫颈完整的情况下进行了部分子宫切除术。

讨论

子宫动脉栓塞术被认为是一种安全且成功的手术。然而,如果无效,全子宫切除术或部分子宫切除术被视为最终的治疗选择。

结论

根据现有文献,子宫动脉栓塞术被推广为一种有效的手术替代方案。应就所有治疗选择和可能的并发症为患者提供充分的医疗咨询。

https://cdn.ncbi.nlm.nih.gov/pmc/blobs/f65d/8727335/e7f10c282983/cureus-0013-00000020210-i02.jpg
https://cdn.ncbi.nlm.nih.gov/pmc/blobs/f65d/8727335/1e92d00784f3/cureus-0013-00000020210-i01.jpg
https://cdn.ncbi.nlm.nih.gov/pmc/blobs/f65d/8727335/e7f10c282983/cureus-0013-00000020210-i02.jpg
https://cdn.ncbi.nlm.nih.gov/pmc/blobs/f65d/8727335/1e92d00784f3/cureus-0013-00000020210-i01.jpg
https://cdn.ncbi.nlm.nih.gov/pmc/blobs/f65d/8727335/e7f10c282983/cureus-0013-00000020210-i02.jpg

相似文献

1
Unsuccessful Uterine Artery Embolization Requiring Subtotal Hysterectomy: A Case Report.子宫动脉栓塞术失败后需行次全子宫切除术:一例病例报告
Cureus. 2021 Dec 6;13(12):e20210. doi: 10.7759/cureus.20210. eCollection 2021 Dec.
2
The management of uterine leiomyomas.子宫平滑肌瘤的管理
J Obstet Gynaecol Can. 2015 Feb;37(2):157-178. doi: 10.1016/S1701-2163(15)30338-8.
3
The management of uterine leiomyomas.子宫平滑肌瘤的管理
J Obstet Gynaecol Can. 2003 May;25(5):396-418; quiz 419-22.
4
A multi-centre retrospective cohort study comparing the efficacy, safety and cost-effectiveness of hysterectomy and uterine artery embolisation for the treatment of symptomatic uterine fibroids. The HOPEFUL study.一项多中心回顾性队列研究,比较子宫切除术和子宫动脉栓塞术治疗有症状子宫肌瘤的疗效、安全性和成本效益。HOPEFUL研究。
Health Technol Assess. 2008 Mar;12(5):1-248, iii. doi: 10.3310/hta12050.
5
Uterine artery embolization vs hysterectomy in the treatment of symptomatic uterine fibroids: 10-year outcomes from the randomized EMMY trial.子宫动脉栓塞术与子宫切除术治疗有症状子宫肌瘤的疗效比较:随机EMMY试验的10年结果
Am J Obstet Gynecol. 2016 Dec;215(6):745.e1-745.e12. doi: 10.1016/j.ajog.2016.06.051. Epub 2016 Jul 5.
6
Uterine artery embolization for symptomatic uterine fibroids.子宫动脉栓塞术治疗有症状的子宫肌瘤。
Cochrane Database Syst Rev. 2006 Jan 25(1):CD005073. doi: 10.1002/14651858.CD005073.pub2.
7
Uterine artery embolization for ureteric obstruction secondary to fibroids.子宫肌瘤继发输尿管梗阻的子宫动脉栓塞术
Cardiovasc Intervent Radiol. 2008 Nov-Dec;31(6):1094-9. doi: 10.1007/s00270-008-9381-x. Epub 2008 Jun 24.
8
Uterine artery embolization for symptomatic uterine fibroids.症状性子宫肌瘤的子宫动脉栓塞术。
Cochrane Database Syst Rev. 2012 May 16(5):CD005073. doi: 10.1002/14651858.CD005073.pub3.
9
Expulsion of Infarcted Myoma Following Ultrasound-Guided Uterine Artery Embolization: A Fertility-Preserving Approach.超声引导下子宫动脉栓塞术后梗死肌瘤的排出:一种保留生育功能的方法。
Cureus. 2022 Nov 5;14(11):e31129. doi: 10.7759/cureus.31129. eCollection 2022 Nov.
10
Uterine artery embolization as a treatment option for uterine myomas.子宫动脉栓塞术作为子宫肌瘤的一种治疗选择。
Obstet Gynecol Clin North Am. 2006 Mar;33(1):125-44. doi: 10.1016/j.ogc.2005.12.009.

本文引用的文献

1
Current Role of Uterine Artery Embolization in the Management of Uterine Fibroids.子宫动脉栓塞术在子宫肌瘤治疗中的当前作用
Clin Obstet Gynecol. 2016 Mar;59(1):93-102. doi: 10.1097/GRF.0000000000000162.
2
Complication rates and effectiveness of uterine artery embolization in the treatment of symptomatic leiomyomas: a systematic review and meta-analysis.子宫动脉栓塞术治疗症状性子宫肌瘤的并发症发生率和疗效:系统评价和荟萃分析。
AJR Am J Roentgenol. 2012 Nov;199(5):1153-63. doi: 10.2214/AJR.11.8362.
3
The Ontario Uterine Fibroid Embolization Trial. Part 1. Baseline patient characteristics, fibroid burden, and impact on life.
安大略子宫肌瘤栓塞试验。第1部分。基线患者特征、肌瘤负荷及其对生活的影响。
Fertil Steril. 2003 Jan;79(1):112-9. doi: 10.1016/s0015-0282(02)04539-9.
4
Labial necrosis after uterine artery embolization for leiomyomata.
Obstet Gynecol. 2002 Nov;100(5 Pt 1):881-2. doi: 10.1016/s0029-7844(02)02273-1.
5
Uterine restoration after repeated expulsion of myomas after uterine artery embolization.子宫动脉栓塞术后肌瘤反复排出后的子宫恢复情况。
J Am Assoc Gynecol Laparosc. 2001 Aug;8(3):442-4. doi: 10.1016/s1074-3804(05)60347-7.
6
Transient ovarian failure: a complication of uterine artery embolization.短暂性卵巢功能衰竭:子宫动脉栓塞术的一种并发症。
Fertil Steril. 2001 Feb;75(2):438-9. doi: 10.1016/s0015-0282(00)01678-2.
7
Uterine artery embolization for symptomatic uterine myomas.
Fertil Steril. 2000 Nov;74(5):855-69. doi: 10.1016/s0015-0282(00)01572-7.
8
Symptomatic fibroleiomyomata: MR imaging of the uterus before and after uterine arterial embolization.
Radiology. 2000 Oct;217(1):228-35. doi: 10.1148/radiology.217.1.r00se49228.
9
Ovarian failure after uterine artery embolization for treatment of myomas.
J Am Assoc Gynecol Laparosc. 2000 Aug;7(3):395-400. doi: 10.1016/s1074-3804(05)60485-9.
10
Arterial embolisation to treat uterine myomata.动脉栓塞术治疗子宫肌瘤。
Lancet. 1995 Sep 9;346(8976):671-2. doi: 10.1016/s0140-6736(95)92282-2.