• 文献检索
  • 文档翻译
  • 深度研究
  • 学术资讯
  • Suppr Zotero 插件Zotero 插件
  • 邀请有礼
  • 套餐&价格
  • 历史记录
应用&插件
Suppr Zotero 插件Zotero 插件浏览器插件Mac 客户端Windows 客户端微信小程序
定价
高级版会员购买积分包购买API积分包
服务
文献检索文档翻译深度研究API 文档MCP 服务
关于我们
关于 Suppr公司介绍联系我们用户协议隐私条款
关注我们

Suppr 超能文献

核心技术专利:CN118964589B侵权必究
粤ICP备2023148730 号-1Suppr @ 2026

文献检索

告别复杂PubMed语法,用中文像聊天一样搜索,搜遍4000万医学文献。AI智能推荐,让科研检索更轻松。

立即免费搜索

文件翻译

保留排版,准确专业,支持PDF/Word/PPT等文件格式,支持 12+语言互译。

免费翻译文档

深度研究

AI帮你快速写综述,25分钟生成高质量综述,智能提取关键信息,辅助科研写作。

立即免费体验

急性胆囊炎以感染性休克作为老年患者的首发表现

Acute Cholecystitis Presenting With Septic Shock as the First Presentation in an Elderly Patient.

作者信息

Auda Ahmed, Al Abdullah Rashid, Khalid Mohammed O, Alrasheed Wedyan Y, Alsulaiman Sumaiyah A, Almulhem Fai T, Almaideni Meriam F, Alhikan Aisha

机构信息

General and Laparoscopic Surgery, Prince Saud Bin Jalawi Hospital, Al Ahsa, SAU.

Infectious Disease, Prince Saud Bin Jalawi Hospital, Al Ahsa, SAU.

出版信息

Cureus. 2022 Jan 6;14(1):e20981. doi: 10.7759/cureus.20981. eCollection 2022 Jan.

DOI:10.7759/cureus.20981
PMID:35004094
原文链接:https://pmc.ncbi.nlm.nih.gov/articles/PMC8733902/
Abstract

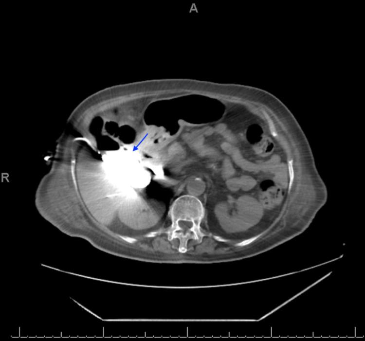
Gangrenous cholecystitis (GC), a severe complication of acute cholecystitis, is associated with higher morbidity and mortality rates than uncomplicated cholecystitis. In this report, we present the case of an 81-year-old female with diabetes mellitus and hypertension who presented in the emergency department complaining of severe generalized abdominal pain for 10 days. The pain was associated with nausea and vomiting. She had septic shock, prompting admission, and was eventually diagnosed with perforated GC. Interventional radiology was conducted, and a cholecystostomy tube was placed under radiology guidance with continuous daily irrigation and intravenous antibiotic coverage for four weeks. Subsequently, the patient's condition improved, and she was finally discharged.

摘要

坏疽性胆囊炎(GC)是急性胆囊炎的一种严重并发症,与非复杂性胆囊炎相比,其发病率和死亡率更高。在本报告中,我们介绍了一名81岁患有糖尿病和高血压的女性病例,她因严重的全腹痛10天而到急诊科就诊。疼痛伴有恶心和呕吐。她出现感染性休克,因此入院,最终被诊断为GC穿孔。进行了介入放射学检查,并在放射学引导下放置了胆囊造瘘管,每天持续冲洗,并静脉使用抗生素治疗四周。随后,患者病情好转,最终出院。

https://cdn.ncbi.nlm.nih.gov/pmc/blobs/f691/8733902/d73df69ec393/cureus-0014-00000020981-i02.jpg
https://cdn.ncbi.nlm.nih.gov/pmc/blobs/f691/8733902/6332fc0c2f8c/cureus-0014-00000020981-i01.jpg
https://cdn.ncbi.nlm.nih.gov/pmc/blobs/f691/8733902/d73df69ec393/cureus-0014-00000020981-i02.jpg
https://cdn.ncbi.nlm.nih.gov/pmc/blobs/f691/8733902/6332fc0c2f8c/cureus-0014-00000020981-i01.jpg
https://cdn.ncbi.nlm.nih.gov/pmc/blobs/f691/8733902/d73df69ec393/cureus-0014-00000020981-i02.jpg

相似文献

1
Acute Cholecystitis Presenting With Septic Shock as the First Presentation in an Elderly Patient.急性胆囊炎以感染性休克作为老年患者的首发表现
Cureus. 2022 Jan 6;14(1):e20981. doi: 10.7759/cureus.20981. eCollection 2022 Jan.
2
Distinguishing Between Gangrenous Cholecystitis and Ascending Cholangitis: A Case Study.坏疽性胆囊炎与急性化脓性胆管炎的鉴别:病例报告
Cureus. 2022 Aug 23;14(8):e28322. doi: 10.7759/cureus.28322. eCollection 2022 Aug.
3
Old man gallbladder syndrome: Gangrenous cholecystitis in the unsuspected patient population.老年胆囊综合征:未被怀疑人群中的坏疽性胆囊炎
Int J Surg Case Rep. 2015;11:46-49. doi: 10.1016/j.ijscr.2015.03.057. Epub 2015 Apr 18.
4
Laparoscopic cholecystectomy for gangrenous cholecystitis in around nineties: Two case reports.九十年代左右腹腔镜胆囊切除术治疗坏疽性胆囊炎:两例病例报告。
World J Clin Cases. 2021 May 16;9(14):3424-3431. doi: 10.12998/wjcc.v9.i14.3424.
5
A Case Report of Sepsis Secondary to Perforated Cholecystitis in the Presence of Severe Aortic Stenosis: Diagnosis and Management.一例伴有严重主动脉瓣狭窄的穿孔性胆囊炎继发脓毒症的病例报告:诊断与处理
Cureus. 2024 May 15;16(5):e60382. doi: 10.7759/cureus.60382. eCollection 2024 May.
6
Percutaneous cholecystostomy is an effective treatment for high-risk patients with acute cholecystitis.经皮胆囊造瘘术是治疗急性胆囊炎高危患者的一种有效方法。
Am Surg. 2000 Jan;66(1):33-7.
7
Emergency cholecystostomy and subsequent cholecystectomy for acute gallstone cholecystitis in the elderly.老年急性结石性胆囊炎的急诊胆囊造瘘术及后续胆囊切除术
Br J Surg. 1999 Dec;86(12):1521-5. doi: 10.1046/j.1365-2168.1999.01284.x.
8
Is C-reactive protein a useful adjunct in selecting patients for emergency cholecystectomy by predicting severe/gangrenous cholecystitis?C 反应蛋白是否有助于预测严重/坏疽性胆囊炎,从而选择行急诊胆囊切除术的患者?
Int J Surg. 2014;12(7):649-53. doi: 10.1016/j.ijsu.2014.05.040. Epub 2014 May 20.
9
[Percutaneous cholecystostomy as treatment for acute cholecystitis at Landspitali University Hospital 2010 - 2016].[2010 - 2016年在兰斯皮塔利大学医院经皮胆囊造瘘术治疗急性胆囊炎]
Laeknabladid. 2019 Apr;105(4):171-176. doi: 10.17992/lbl.2019.04.226.
10
Palliative Chemotherapy: Does It Only Provide False Hope? The Role of Palliative Care in a Young Patient With Newly Diagnosed Metastatic Adenocarcinoma.姑息性化疗:它只是提供虚假希望吗?姑息治疗在一名新诊断为转移性腺癌的年轻患者中的作用。
J Adv Pract Oncol. 2017 May-Jun;8(4):382-386. Epub 2017 May 1.

引用本文的文献

1
A Rare Bacteremia in a Patient With Osteomyelitis and Sacral Ulcer: A Case Report of Tissierella praeacuta and Parvimonas micra.一名患有骨髓炎和骶骨溃疡患者的罕见菌血症:急性前蒂西埃拉菌和微小消化链球菌病例报告
Cureus. 2024 Nov 23;16(11):e74314. doi: 10.7759/cureus.74314. eCollection 2024 Nov.
2
Updates on Antibiotic Regimens in Acute Cholecystitis.急性胆囊炎抗生素治疗方案的最新进展。
Medicina (Kaunas). 2024 Jun 25;60(7):1040. doi: 10.3390/medicina60071040.
3
Early Management of Severe Biliary Infection in the Era of the Tokyo Guidelines.

本文引用的文献

1
Perforated Gangrenous Gallbladder in an Asymptomatic Patient.无症状患者的坏疽性穿孔性胆囊炎
Cureus. 2020 Apr 18;12(4):e7728. doi: 10.7759/cureus.7728.
2
The Treatment of Gallstone Disease.胆石病的治疗。
Dtsch Arztebl Int. 2020 Feb 28;117(9):148-158. doi: 10.3238/arztebl.2020.0148.
3
Risk factors for gallstone disease in Shanghai: An observational study.上海胆结石疾病的危险因素:一项观察性研究。
《东京指南》时代严重胆道感染的早期管理
J Clin Med. 2023 Jul 16;12(14):4711. doi: 10.3390/jcm12144711.
4
A Case of Complicated Pneumonia Caused by Klebsiella ozaenae.一例由臭鼻克雷伯菌引起的复杂性肺炎病例。
Cureus. 2022 Mar 9;14(3):e23001. doi: 10.7759/cureus.23001. eCollection 2022 Mar.
Medicine (Baltimore). 2020 Jan;99(3):e18754. doi: 10.1097/MD.0000000000018754.
4
2017 WSES and SICG guidelines on acute calcolous cholecystitis in elderly population.2017 WSES 和 SICG 老年人群急性结石性胆囊炎诊治指南。
World J Emerg Surg. 2019 Mar 4;14:10. doi: 10.1186/s13017-019-0224-7. eCollection 2019.
5
Gangrenous cholecystitis: A silent but potential fatal disease in patients with diabetic neuropathy. A case report.坏疽性胆囊炎:糖尿病性神经病变患者中一种隐匿但可能致命的疾病。病例报告。
World J Clin Cases. 2018 Dec 6;6(15):1007-1011. doi: 10.12998/wjcc.v6.i15.1007.
6
New determinants for gallstone disease?
.胆结石疾病的新决定因素?
Dan Med J. 2018 Feb;65(2).
7
An update on the pathogenesis of cholesterol gallstone disease.胆固醇结石病发病机制的最新进展。
Curr Opin Gastroenterol. 2018 Mar;34(2):71-80. doi: 10.1097/MOG.0000000000000423.
8
Abdominal Pain in the Geriatric Patient.老年患者的腹痛
Emerg Med Clin North Am. 2016 May;34(2):363-75. doi: 10.1016/j.emc.2015.12.009. Epub 2016 Mar 23.
9
Abdominal emergencies in the geriatric patient.老年患者的腹部急症
Int J Emerg Med. 2014 Oct 21;7:43. doi: 10.1186/s12245-014-0043-2. eCollection 2014.
10
Surgical and nonsurgical management of gallstones.胆囊结石的手术和非手术治疗。
Am Fam Physician. 2014 May 15;89(10):795-802.