Suppr超能文献

模拟脉络膜黑色素瘤的后巩膜炎:病例报告

Posterior Scleritis Simulating Choroidal Melanoma: A Case Report.

作者信息

Khadka Simanta, Byanju Raghunandan, Pradhan Sangita

机构信息

Department of Vitreo-Retina, Bharatpur Eye Hospital, Chitwan, Nepal.

出版信息

Beyoglu Eye J. 2021 Jun 8;6(2):133-139. doi: 10.14744/bej.2021.56338. eCollection 2021.

Abstract

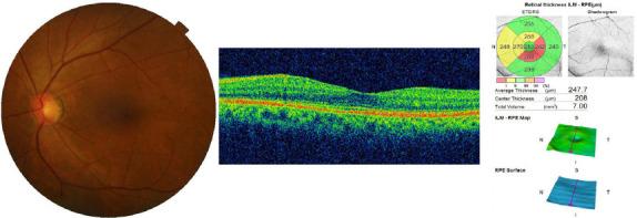
Nodular posterior scleritis (NPS) is rare; however, it is critical to differentiate it from similar intraocular pathologies to prevent inappropriate and potentially irreversible treatment. Multimodal imaging is beneficial in the diagnosis of NPS. This report describes the diagnosis and management of a case of NPS with corticosteroid therapy that led to complete resolution.

摘要

结节性后巩膜炎(NPS)较为罕见;然而,将其与类似的眼内病变相鉴别以避免不恰当且可能不可逆转的治疗至关重要。多模态成像对NPS的诊断有益。本报告描述了一例采用皮质类固醇治疗后完全缓解的NPS病例的诊断与处理。

https://cdn.ncbi.nlm.nih.gov/pmc/blobs/bdd0/8651019/d9a9102edac2/BEJ-6-133-g001.jpg

文献检索

告别复杂PubMed语法,用中文像聊天一样搜索,搜遍4000万医学文献。AI智能推荐,让科研检索更轻松。

立即免费搜索

文件翻译

保留排版,准确专业,支持PDF/Word/PPT等文件格式,支持 12+语言互译。

免费翻译文档

深度研究

AI帮你快速写综述,25分钟生成高质量综述,智能提取关键信息,辅助科研写作。

立即免费体验