• 文献检索
  • 文档翻译
  • 深度研究
  • 学术资讯
  • Suppr Zotero 插件Zotero 插件
  • 邀请有礼
  • 套餐&价格
  • 历史记录
应用&插件
Suppr Zotero 插件Zotero 插件浏览器插件Mac 客户端Windows 客户端微信小程序
定价
高级版会员购买积分包购买API积分包
服务
文献检索文档翻译深度研究API 文档MCP 服务
关于我们
关于 Suppr公司介绍联系我们用户协议隐私条款
关注我们

Suppr 超能文献

核心技术专利:CN118964589B侵权必究
粤ICP备2023148730 号-1Suppr @ 2026

文献检索

告别复杂PubMed语法,用中文像聊天一样搜索,搜遍4000万医学文献。AI智能推荐,让科研检索更轻松。

立即免费搜索

文件翻译

保留排版,准确专业,支持PDF/Word/PPT等文件格式,支持 12+语言互译。

免费翻译文档

深度研究

AI帮你快速写综述,25分钟生成高质量综述,智能提取关键信息,辅助科研写作。

立即免费体验

由于环境肠道功能障碍和与大肠组织病理学的关联,导致幼年恒河猴生长速度减缓。

Reduced infant rhesus macaque growth rates due to environmental enteric dysfunction and association with histopathology in the large intestine.

机构信息

Division of Neuroscience, Oregon National Primate Research Center, Oregon Health & Science University, Beaverton, OR, 97006, USA.

Division of Comparative Medicine, Oregon National Primate Research Center, Oregon Health & Science University, Beaverton, OR, USA.

出版信息

Nat Commun. 2022 Jan 11;13(1):234. doi: 10.1038/s41467-021-27925-x.

DOI:10.1038/s41467-021-27925-x
PMID:35017515
原文链接:https://pmc.ncbi.nlm.nih.gov/articles/PMC8752659/
Abstract

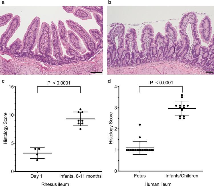
Environmental enteric dysfunction is associated with malnutrition as well as infant growth stunting and has been classically defined by villous blunting, decreased crypt-to-villus ratio, and inflammation in the small intestine. Here, we characterized environmental enteric dysfunction among infant rhesus macaques that are naturally exposed to enteric pathogens commonly linked to human growth stunting. Remarkably, despite villous atrophy and histological abnormalities observed in the small intestine, poor growth trajectories and low serum tryptophan levels were correlated with increased histopathology in the large intestine. This work provides insight into the mechanisms underlying this disease and indicates that the large intestine may be an important target for therapeutic intervention.

摘要

环境肠道功能障碍与营养不良以及婴儿生长迟缓有关,其经典定义为小肠绒毛变钝、隐窝-绒毛比降低和炎症。在这里,我们描述了自然暴露于与人类生长迟缓相关的肠道病原体的幼年恒河猴中的环境肠道功能障碍。值得注意的是,尽管小肠观察到绒毛萎缩和组织学异常,但生长轨迹不良和血清色氨酸水平低与大肠组织病理学增加相关。这项工作提供了对该疾病潜在机制的深入了解,并表明大肠可能是治疗干预的重要靶点。

https://cdn.ncbi.nlm.nih.gov/pmc/blobs/ed40/8752659/bb0c0a914b9f/41467_2021_27925_Fig6_HTML.jpg
https://cdn.ncbi.nlm.nih.gov/pmc/blobs/ed40/8752659/93256aafee4e/41467_2021_27925_Fig1_HTML.jpg
https://cdn.ncbi.nlm.nih.gov/pmc/blobs/ed40/8752659/c724080b4051/41467_2021_27925_Fig2_HTML.jpg
https://cdn.ncbi.nlm.nih.gov/pmc/blobs/ed40/8752659/60e3bd61ef31/41467_2021_27925_Fig3_HTML.jpg
https://cdn.ncbi.nlm.nih.gov/pmc/blobs/ed40/8752659/d00464fa9348/41467_2021_27925_Fig4_HTML.jpg
https://cdn.ncbi.nlm.nih.gov/pmc/blobs/ed40/8752659/4249cab76e69/41467_2021_27925_Fig5_HTML.jpg
https://cdn.ncbi.nlm.nih.gov/pmc/blobs/ed40/8752659/bb0c0a914b9f/41467_2021_27925_Fig6_HTML.jpg
https://cdn.ncbi.nlm.nih.gov/pmc/blobs/ed40/8752659/93256aafee4e/41467_2021_27925_Fig1_HTML.jpg
https://cdn.ncbi.nlm.nih.gov/pmc/blobs/ed40/8752659/c724080b4051/41467_2021_27925_Fig2_HTML.jpg
https://cdn.ncbi.nlm.nih.gov/pmc/blobs/ed40/8752659/60e3bd61ef31/41467_2021_27925_Fig3_HTML.jpg
https://cdn.ncbi.nlm.nih.gov/pmc/blobs/ed40/8752659/d00464fa9348/41467_2021_27925_Fig4_HTML.jpg
https://cdn.ncbi.nlm.nih.gov/pmc/blobs/ed40/8752659/4249cab76e69/41467_2021_27925_Fig5_HTML.jpg
https://cdn.ncbi.nlm.nih.gov/pmc/blobs/ed40/8752659/bb0c0a914b9f/41467_2021_27925_Fig6_HTML.jpg

相似文献

1
Reduced infant rhesus macaque growth rates due to environmental enteric dysfunction and association with histopathology in the large intestine.由于环境肠道功能障碍和与大肠组织病理学的关联,导致幼年恒河猴生长速度减缓。
Nat Commun. 2022 Jan 11;13(1):234. doi: 10.1038/s41467-021-27925-x.
2
Intestinal and neuronal myenteric adaptations in the small intestine induced by a high-fat diet in mice.高脂饮食诱导的小鼠小肠肠道和神经肌层适应性变化
BMC Gastroenterol. 2015 Jan 22;15:3. doi: 10.1186/s12876-015-0228-z.
3
Rapid mucosal CD4(+) T-cell depletion and enteropathy in simian immunodeficiency virus-infected rhesus macaques.感染猿猴免疫缺陷病毒的恒河猴中黏膜CD4(+) T细胞的快速耗竭与肠病
Gastroenterology. 1999 May;116(5):1115-23. doi: 10.1016/s0016-5085(99)70014-4.
4
Contractile and non-contractile proteins and nucleic acids in the stomach, whole jejunum and seromuscular layers of the duodenum, jejunum, ileum and large intestine in response to chronic ethanol feeding.胃、十二指肠、空肠、回肠和大肠全层空肠以及十二指肠、空肠、回肠和大肠浆肌层中收缩性和非收缩性蛋白质及核酸对长期乙醇喂养的反应。
Alcohol Alcohol. 1991;26(5-6):549-57. doi: 10.1093/oxfordjournals.alcalc.a045158.
5
Characterizing the metabolic phenotype of intestinal villus blunting in Zambian children with severe acute malnutrition and persistent diarrhea.描述赞比亚患有严重急性营养不良和持续性腹泻的儿童中肠绒毛变钝的代谢表型。
PLoS One. 2018 Mar 2;13(3):e0192092. doi: 10.1371/journal.pone.0192092. eCollection 2018.
6
Comparison of two techniques for a comprehensive gut histopathological analysis: Swiss Roll versus Intestine Strips.两种全面肠道组织病理分析技术的比较:瑞士卷切片与肠切片。
Exp Mol Pathol. 2019 Dec;111:104302. doi: 10.1016/j.yexmp.2019.104302. Epub 2019 Aug 26.
7
Bangladesh Environmental Enteric Dysfunction (BEED) study: protocol for a community-based intervention study to validate non-invasive biomarkers of environmental enteric dysfunction.孟加拉国环境性肠道功能障碍(BEED)研究:一项基于社区的干预性研究方案,用于验证环境性肠道功能障碍的非侵入性生物标志物。
BMJ Open. 2017 Aug 11;7(8):e017768. doi: 10.1136/bmjopen-2017-017768.
8
[Morphological picture of alimentary tract in the process of food allergy in children].[儿童食物过敏过程中消化道的形态学图片]
Wiad Lek. 2001;54(9-10):544-50.
9
White scours in piglets. I. Stereomicroscopy of the mucosa of the small intestine.仔猪白痢。一、小肠黏膜的实体显微镜检查
Vet Pathol. 1971;8(4):364-80. doi: 10.1177/030098587100800407.
10
Environmental enteric dysfunction and systemic inflammation predict reduced weight but not length gain in rural Bangladeshi children.环境肠道功能障碍和全身炎症可预测农村孟加拉国儿童体重减轻,但不会影响其身高增长。
Br J Nutr. 2018 Feb;119(4):407-414. doi: 10.1017/S0007114517003683.

引用本文的文献

1
A cross-sectional study of associations between the C-sucrose breath test, the lactulose rhamnose assay, and growth in children at high risk of environmental enteropathy.一项关于C-蔗糖呼气试验、乳果糖鼠李糖测定与环境肠病高危儿童生长之间关联的横断面研究。
Am J Clin Nutr. 2024 Dec;120(6):1354-1363. doi: 10.1016/j.ajcnut.2024.10.001. Epub 2024 Oct 9.
2
Is there dietary macronutrient malabsorption in children with environmental enteropathy?患有环境肠病的儿童是否存在膳食常量营养素吸收不良?
Eur J Clin Nutr. 2025 Mar;79(3):181-194. doi: 10.1038/s41430-024-01510-z. Epub 2024 Oct 8.
3
Immunogenicity and safety of an adjuvanted protein vaccine candidate (LecA+GLA-3M-052 liposomes) in rhesus macaques.

本文引用的文献

1
Vaccine-mediated protection against -associated enteric disease.疫苗介导的针对相关肠道疾病的保护作用。
Sci Adv. 2020 Jun 24;6(26):eaba4511. doi: 10.1126/sciadv.aba4511. eCollection 2020 Jun.
2
Campylobacter infection and household factors are associated with childhood growth in urban Bangladesh: An analysis of the MAL-ED study.空肠弯曲菌感染和家庭因素与孟加拉国城市儿童生长有关:MAL-ED 研究分析。
PLoS Negl Trop Dis. 2020 May 14;14(5):e0008328. doi: 10.1371/journal.pntd.0008328. eCollection 2020 May.
3
A novel histological index for evaluation of environmental enteric dysfunction identifies geographic-specific features of enteropathy among children with suboptimal growth.
佐剂蛋白疫苗候选物(LecA+GLA-3M-052 脂质体)在恒河猴中的免疫原性和安全性。
Hum Vaccin Immunother. 2024 Dec 31;20(1):2374147. doi: 10.1080/21645515.2024.2374147. Epub 2024 Aug 1.
4
Maintenance of caecal homeostasis by diverse adaptive immune cells in the rhesus macaque.恒河猴中多种适应性免疫细胞对盲肠内环境稳态的维持
Clin Transl Immunology. 2024 May 2;13(5):e1508. doi: 10.1002/cti2.1508. eCollection 2024.
5
Infant diarrheal disease in rhesus macaques impedes microbiome maturation and is linked to uncultured Campylobacter species.恒河猴婴儿腹泻病阻碍微生物组成熟,并与未培养的弯曲杆菌属物种有关。
Commun Biol. 2024 Jan 5;7(1):37. doi: 10.1038/s42003-023-05695-0.
6
Evidence of potential zooanthroponosis in captive macaque populations.圈养猕猴种群中潜在的动物传染病证据。
Microb Genom. 2023 Oct;9(10). doi: 10.1099/mgen.0.001121.
7
Campylobacter vaccination reduces diarrheal disease and infant growth stunting among rhesus macaques.空肠弯曲菌疫苗接种可减少猕猴的腹泻病和婴幼儿生长迟缓。
Nat Commun. 2023 Jun 26;14(1):3806. doi: 10.1038/s41467-023-39433-1.
8
Inflammation: the driver of poor outcomes among children with severe acute malnutrition?炎症:严重急性营养不良儿童预后不良的驱动因素?
Nutr Rev. 2023 Nov 10;81(12):1636-1652. doi: 10.1093/nutrit/nuad030.
一种用于评估环境肠道功能障碍的新组织学指标,可识别生长不良儿童中具有地域特异性的肠病特征。
PLoS Negl Trop Dis. 2020 Jan 13;14(1):e0007975. doi: 10.1371/journal.pntd.0007975. eCollection 2020 Jan.
4
Environmental enteric dysfunction: a review of potential mechanisms, consequences and management strategies.环境肠道功能障碍:潜在机制、后果和管理策略的综述。
BMC Med. 2019 Nov 25;17(1):181. doi: 10.1186/s12916-019-1417-3.
5
Determinants of Campylobacter infection and association with growth and enteric inflammation in children under 2 years of age in low-resource settings.资源匮乏环境下 2 岁以下儿童空肠弯曲菌感染的决定因素及其与生长和肠内炎症的关系。
Sci Rep. 2019 Nov 20;9(1):17124. doi: 10.1038/s41598-019-53533-3.
6
Maturation of the infant rhesus macaque gut microbiome and its role in the development of diarrheal disease.婴儿恒河猴肠道微生物组的成熟及其在腹泻病发病机制中的作用。
Genome Biol. 2019 Aug 26;20(1):173. doi: 10.1186/s13059-019-1789-x.
7
Childhood growth and neurocognition are associated with distinct sets of metabolites.儿童生长和神经认知与不同的代谢物有关。
EBioMedicine. 2019 Jun;44:597-606. doi: 10.1016/j.ebiom.2019.05.043. Epub 2019 May 25.
8
The colon as an energy salvage organ for children with short bowel syndrome.结肠作为短肠综合征患儿的能量回收器官。
Am J Clin Nutr. 2019 Apr 1;109(4):1112-1118. doi: 10.1093/ajcn/nqy367.
9
Children from a rural region in The Chiapas Highlands, Mexico, show an increased risk of stunting and intestinal parasitoses when compared with urban children.与城市儿童相比,墨西哥恰帕斯高地农村地区的儿童发育迟缓及感染肠道寄生虫病的风险更高。
Bol Med Hosp Infant Mex. 2019;76(1):18-26. doi: 10.24875/BMHIM.18000069.
10
Use of quantitative molecular diagnostic methods to investigate the effect of enteropathogen infections on linear growth in children in low-resource settings: longitudinal analysis of results from the MAL-ED cohort study.利用定量分子诊断方法研究资源匮乏环境下肠道病原体感染对儿童线性生长的影响:MAL-ED 队列研究结果的纵向分析。
Lancet Glob Health. 2018 Dec;6(12):e1319-e1328. doi: 10.1016/S2214-109X(18)30351-6. Epub 2018 Oct 1.