Medical College, Soochow University, Suzhou 215006, China.
The Second People's Hospital of Jingdezhen, Jingdezhen 333000, China.
Biomed Res Int. 2022 Jan 28;2022:9631036. doi: 10.1155/2022/9631036. eCollection 2022.
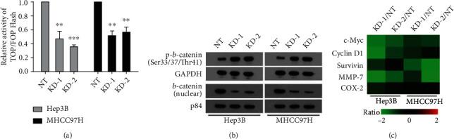
Hepatocellular carcinoma (HCC) is a lethal malignancy whereas the molecular mechanisms remain poorly understood. Recently, long noncoding RNAs (lncRNA) have been shown to regulate HCC progression. However, the involved lncRNAs remain to be fully explored. Here, we showed the expression pattern and biological function of a recently identified lncRNA, LINC02273, in HCC. LINC02273 played a critical role in HCC progression via stabilizing -catenin. Knockdown of LINC02237 remarkably inhibited the proliferation, stemness, migration, and invasion abilities, whereas it increased the apoptosis of HCC cells. Overall, we characterized the functions of LINC02273 in HCC and its potential as a novel HCC targeting candidate.
肝细胞癌(HCC)是一种致命的恶性肿瘤,但其分子机制仍知之甚少。最近,长链非编码 RNA(lncRNA)已被证明可以调节 HCC 的进展。然而,涉及的 lncRNA 仍有待充分探索。在这里,我们展示了最近鉴定的 lncRNA LINC02273 在 HCC 中的表达模式和生物学功能。LINC02273 通过稳定β-catenin 在 HCC 进展中发挥关键作用。LINC02273 的敲低显著抑制 HCC 细胞的增殖、干性、迁移和侵袭能力,而增加其凋亡。总的来说,我们描述了 LINC02273 在 HCC 中的功能及其作为 HCC 新型靶向候选物的潜力。