Institute for Environmental Medicine and Department of Physiology, University of Pennsylvania Perelman School of Medicine, 3620 Hamilton Walk, Philadelphia, PA, 19104, USA.
Department of Pathology, University of Pennsylvania School of Medicine, Philadelphia, PA, 19104, USA.
Respir Res. 2022 Feb 10;23(1):25. doi: 10.1186/s12931-022-01944-8.
Pulmonary hyperinflammation is a key event with SARS-CoV-2 infection. Acute respiratory distress syndrome (ARDS) that often accompanies COVID-19 appears to have worse outcomes than ARDS from other causes. To date, numerous lung histological studies in cases of COVID-19 have shown extensive inflammation and injury, but the extent to which these are a COVID-19 specific, or are an ARDS and/or mechanical ventilation (MV) related phenomenon is not clear. Furthermore, while lung hyperinflammation with ARDS (COVID-19 or from other causes) has been well studied, there is scarce documentation of vascular inflammation in COVID-19 lungs.
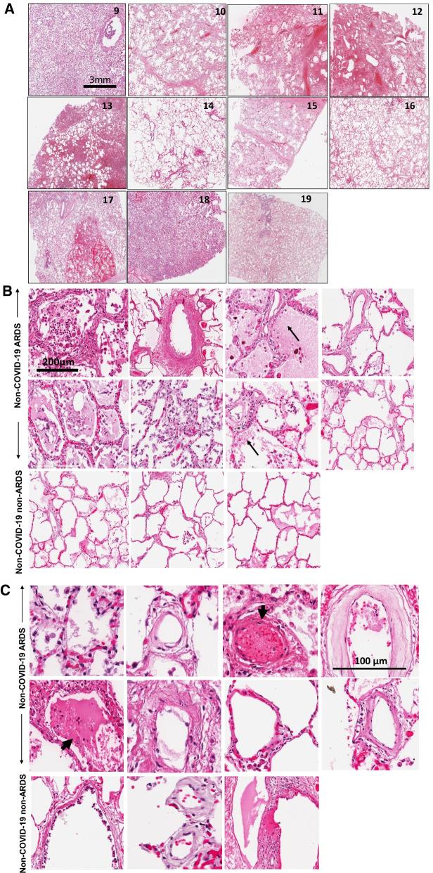
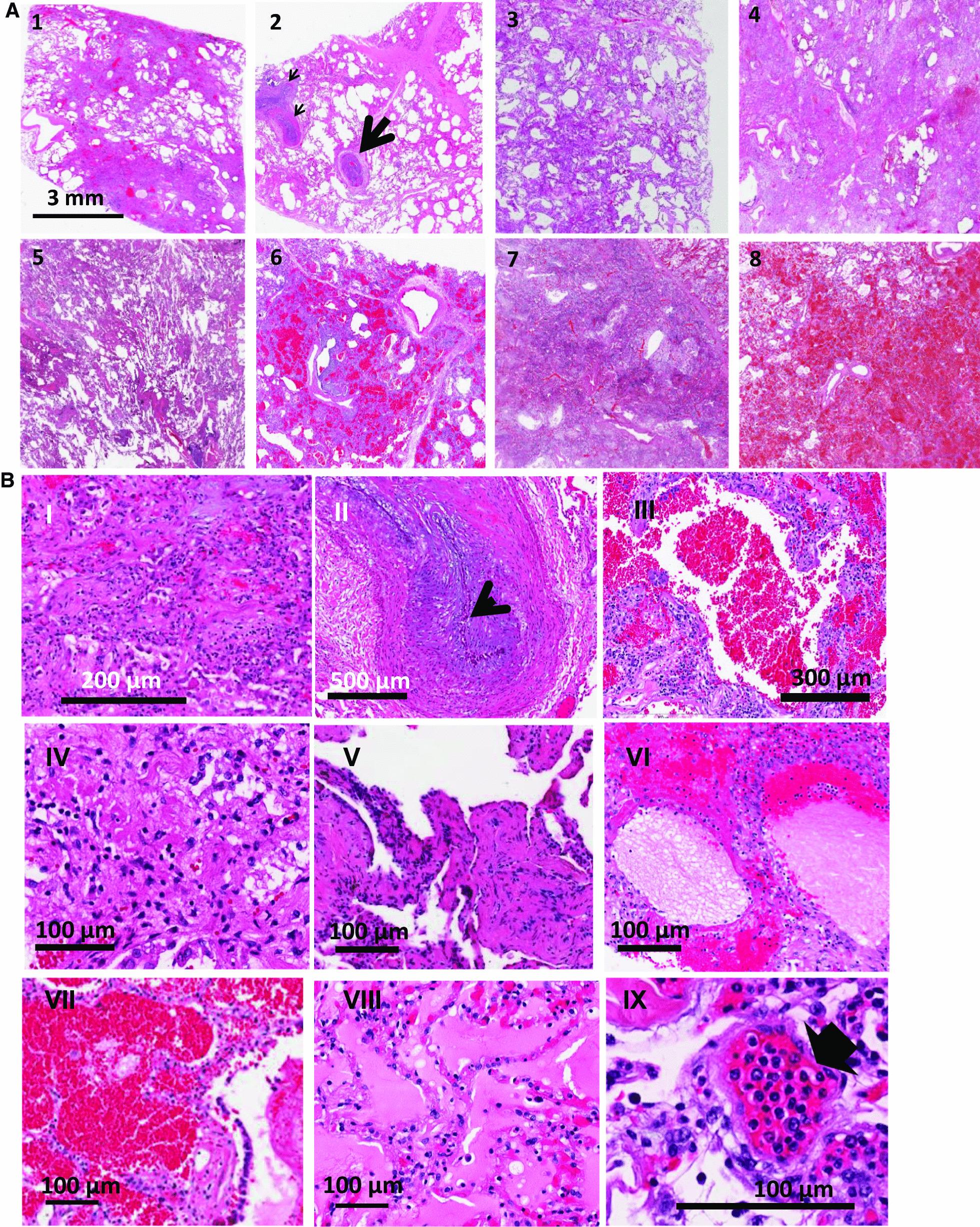
Lung sections from 8 COVID-19 affected and 11 non-COVID-19 subjects, of which 8 were acute respiratory disease syndrome (ARDS) affected (non-COVID-19 ARDS) and 3 were from subjects with non-respiratory diseases (non-COVID-19 non-ARDS) were H&E stained to ascertain histopathological features. Inflammation along the vessel wall was also monitored by expression of NLRP3 and caspase 1.
In lungs from COVID-19 affected subjects, vascular changes in the form of microthrombi in small vessels, arterial thrombosis, and organization were extensive as compared to lungs from non-COVID-19 (i.e., non-COVID-19 ARDS and non-COVID-19 non-ARDS) affected subjects. The expression of NLRP3 pathway components was higher in lungs from COVID-19 ARDS subjects as compared to non-COVID-19 non-ARDS cases. No differences were observed between COVID-19 ARDS and non-COVID-19 ARDS lungs.
Vascular changes as well as NLRP3 inflammasome pathway activation were not different between COVID-19 and non-COVID-19 ARDS suggesting that these responses are not a COVID-19 specific phenomenon and are possibly more related to respiratory distress and associated strategies (such as MV) for treatment.
肺部过度炎症是 SARS-CoV-2 感染的一个关键事件。急性呼吸窘迫综合征(ARDS)常伴随 COVID-19 出现,其结果似乎比其他原因引起的 ARDS 更差。迄今为止,COVID-19 病例的大量肺组织学研究表明存在广泛的炎症和损伤,但这些是 COVID-19 特有的,还是 ARDS 和/或机械通气(MV)相关的现象尚不清楚。此外,虽然伴有 ARDS(COVID-19 或其他原因)的肺部过度炎症已得到充分研究,但 COVID-19 肺部血管炎症的文献却很少。
对 8 例 COVID-19 受累和 11 例非 COVID-19 患者的肺组织切片进行 H&E 染色,以确定组织病理学特征。同时通过 NLRP3 和半胱天冬酶 1 的表达监测血管壁炎症。
与非 COVID-19(即非 COVID-19 ARDS 和非 COVID-19 非 ARDS)受累患者相比,COVID-19 受累患者的肺部血管变化形式为小血管微血栓形成、动脉血栓形成和组织化。COVID-19 ARDS 患者肺部 NLRP3 通路成分的表达高于非 COVID-19 非 ARDS 病例。COVID-19 ARDS 与非 COVID-19 ARDS 肺部之间未观察到差异。
COVID-19 和非 COVID-19 ARDS 之间的血管变化以及 NLRP3 炎性小体通路激活没有差异,这表明这些反应不是 COVID-19 特有的现象,可能与呼吸窘迫和相关治疗策略(如 MV)更相关。