Suppr超能文献

基于 PD-L1 表达分析 HPV 阳性口咽鳞状细胞癌的免疫特征和基因组改变。

Analysis of Immunological Characteristics and Genomic Alterations in HPV-Positive Oropharyngeal Squamous Cell Carcinoma Based on PD-L1 Expression.

机构信息

Department of Oral and Maxillofacial-Head Neck Oncology, Ninth People's Hospital, Shanghai Jiao Tong University School of Medicine, Shanghai, China.

National Clinical Research Center for Oral Diseases, National Center for Stomatology, Shanghai, China.

出版信息

Front Immunol. 2022 Jan 25;12:798424. doi: 10.3389/fimmu.2021.798424. eCollection 2021.

Abstract

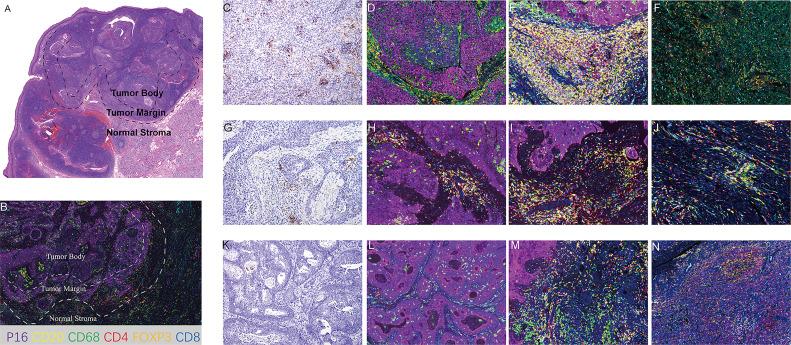
Programmed death-ligand 1 (PD-L1) expression has been approved as an immune checkpoint inhibitor (ICI) response predictive biomarker; however, the clinicopathological and molecular features of HPV-positive oropharyngeal squamous cell carcinoma [HPV(+)OPSCC] based on PD-L1 expression are not well studied. We aimed to characterize clinicopathological, tumor immune microenvironmental, and molecular features of HPV(+)OPSCC with different PD-L1 expression scored by combined positive score (CPS). A total of 112 cases were collected from 2008-2021 and received PD-L1 and CD8 immunohistochemistry (IHC) staining. 71 samples received DNA sequencing out of which 32 samples received RNA sequencing for immune-related gene alterations or expression analysis. The 32 samples were also subjected to analysis of CD20, CD4, CD8, CD68, Foxp3 and P16 by multiplex immunofluorescence (mIF) staining, and the immune markers were evaluated in the tumor body (TB), tumor margin (TM) and normal stroma (NS) regions separately. Our results showed that of 112 HPV(+)OPSCC tumors, high(CPS≥20), intermediate(1≤CPS<20), and low(CPS<1) PD-L1 expression was seen in 29.5%, 43.8% and 26.8% cases respectively. Non-smoking patients and patients with tumors occurring at the tonsils or having rich lymphocytes infiltration had significantly higher PD-L1 expression. Patients with CPS≥20 had significantly higher tumor mutation burden (TMB, p=0.0058), and PD-L1 expression correlated significantly with CD8 T cells infiltration, which were ample in tumor regions than in NS in mIF. CD20, CD4, CD68, Foxp3CD4 cells were demonstrated to infiltrate higher in TM while CD20 and CD68 cells were also enriched in NS and TB regions respectively. However, none of them showed correlations with PD-L1 expression. ARID1A, STK11 alterations were enriched in the low PD-L1 group significantly, while anti-viral immune associated APOBEC mutation signature and immune-related genes expression such as XCL1 and IL11 were positively associated with PD-L1 expression (p<0.05). This is a comprehensive investigation revealing immune and molecular features of HPV(+)OPSCC based on PD-L1 expression. Our study suggested that 73.2% of HPV(+)OPSCC patients may benefit from immunotherapy, and high PD-L1 expression reflects immune-active status of HPV(+)OPSCC accompanied by higher immune effect factors such as TMB, CD8 cytotoxic T cells and immune-related genomic alterations. Our study offers valuable information for understanding the immune features of HPV(+)OPSCC.

摘要

程序性死亡配体 1(PD-L1)表达已被批准为免疫检查点抑制剂(ICI)反应预测生物标志物;然而,基于 PD-L1 表达的 HPV 阳性口咽鳞状细胞癌 [HPV(+)OPSCC]的临床病理和分子特征尚未得到很好的研究。我们旨在描述 HPV(+)OPSCC 的临床病理、肿瘤免疫微环境和分子特征,这些特征基于 PD-L1 表达的组合阳性评分(CPS)进行评分。总共从 2008 年至 2021 年收集了 112 例病例,并进行了 PD-L1 和 CD8 免疫组织化学(IHC)染色。71 例样本进行了 DNA 测序,其中 32 例样本进行了 RNA 测序,以进行免疫相关基因改变或表达分析。这 32 例样本还接受了 CD20、CD4、CD8、CD68、Foxp3 和 P16 的多重免疫荧光(mIF)染色分析,并分别在肿瘤体(TB)、肿瘤边缘(TM)和正常基质(NS)区域评估免疫标志物。我们的结果表明,在 112 例 HPV(+)OPSCC 肿瘤中,高(CPS≥20)、中(1≤CPS<20)和低(CPS<1)PD-L1 表达分别见于 29.5%、43.8%和 26.8%的病例。不吸烟的患者和肿瘤发生在扁桃体或富含淋巴细胞浸润的患者具有显著更高的 PD-L1 表达。CPS≥20 的患者具有显著更高的肿瘤突变负担(TMB,p=0.0058),并且 PD-L1 表达与 CD8 T 细胞浸润显著相关,在 mIF 中,CD8 T 细胞在肿瘤区域的浸润量显著高于 NS。在 TM 中,CD20、CD4、CD68 和 Foxp3CD4 细胞被证明浸润较高,而 CD20 和 CD68 细胞在 NS 和 TB 区域也分别富集。然而,它们都与 PD-L1 表达没有相关性。ARID1A、STK11 改变在低 PD-L1 组中明显富集,而抗病毒免疫相关 APOBEC 突变特征和免疫相关基因表达,如 XCL1 和 IL11,与 PD-L1 表达呈正相关(p<0.05)。这是一项全面的调查,揭示了基于 PD-L1 表达的 HPV(+)OPSCC 的免疫和分子特征。我们的研究表明,73.2%的 HPV(+)OPSCC 患者可能受益于免疫治疗,高 PD-L1 表达反映了 HPV(+)OPSCC 的免疫活跃状态,伴随着更高的免疫效应因子,如 TMB、CD8 细胞毒性 T 细胞和免疫相关的基因改变。我们的研究为理解 HPV(+)OPSCC 的免疫特征提供了有价值的信息。

https://cdn.ncbi.nlm.nih.gov/pmc/blobs/8e97/8821172/56d04de54c3e/fimmu-12-798424-g001.jpg

文献AI研究员

20分钟写一篇综述,助力文献阅读效率提升50倍。

立即体验

用中文搜PubMed

大模型驱动的PubMed中文搜索引擎

马上搜索

文档翻译

学术文献翻译模型,支持多种主流文档格式。

立即体验