• 文献检索
  • 文档翻译
  • 深度研究
  • 学术资讯
  • Suppr Zotero 插件Zotero 插件
  • 邀请有礼
  • 套餐&价格
  • 历史记录
应用&插件
Suppr Zotero 插件Zotero 插件浏览器插件Mac 客户端Windows 客户端微信小程序
定价
高级版会员购买积分包购买API积分包
服务
文献检索文档翻译深度研究API 文档MCP 服务
关于我们
关于 Suppr公司介绍联系我们用户协议隐私条款
关注我们

Suppr 超能文献

核心技术专利:CN118964589B侵权必究
粤ICP备2023148730 号-1Suppr @ 2026

文献检索

告别复杂PubMed语法,用中文像聊天一样搜索,搜遍4000万医学文献。AI智能推荐,让科研检索更轻松。

立即免费搜索

文件翻译

保留排版,准确专业,支持PDF/Word/PPT等文件格式,支持 12+语言互译。

免费翻译文档

深度研究

AI帮你快速写综述,25分钟生成高质量综述,智能提取关键信息,辅助科研写作。

立即免费体验

新冠病毒病中艾迪生病的暴露

Unmasking of Addison's disease in COVID-19.

作者信息

Bhattarai Pallav, Allen Holley, Aggarwal Abhimanyu, Madden Daniel, Dalton Kristen

机构信息

Division of Pediatric Critical Care Medicine, University of Massachusetts Medical School-Baystate Medical Center, Springfield, MA, USA.

Division of Pediatric Endocrinology, University of Massachusetts Medical School-Baystate Medical Center, Springfield, MA, USA.

出版信息

SAGE Open Med Case Rep. 2021 Jun 23;9:2050313X211027758. doi: 10.1177/2050313X211027758. eCollection 2021.

DOI:10.1177/2050313X211027758
PMID:35154776
原文链接:https://pmc.ncbi.nlm.nih.gov/articles/PMC8826098/
Abstract

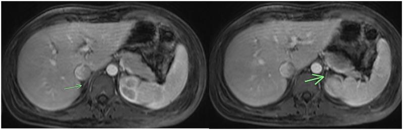
This case report highlights the initial presentation of Addison's disease in a 19-year-old individual with coronavirus disease. Coronavirus disease is an infectious disease, which often presents with fever and respiratory and gastrointestinal symptoms. Here, we describe a challenging case of a patient with coronavirus disease, who initially presented with altered mental status, hyponatremia, and cerebral edema, with subsequent workup leading to the diagnosis of Addison's disease.

摘要

本病例报告重点介绍了一名19岁冠状病毒病患者艾迪生病的初始表现。冠状病毒病是一种传染病,常表现为发热以及呼吸道和胃肠道症状。在此,我们描述了一例冠状病毒病患者的具有挑战性的病例,该患者最初表现为精神状态改变、低钠血症和脑水肿,随后的检查确诊为艾迪生病。

https://cdn.ncbi.nlm.nih.gov/pmc/blobs/6cd0/8826098/57a7c46cb772/10.1177_2050313X211027758-fig1.jpg
https://cdn.ncbi.nlm.nih.gov/pmc/blobs/6cd0/8826098/57a7c46cb772/10.1177_2050313X211027758-fig1.jpg
https://cdn.ncbi.nlm.nih.gov/pmc/blobs/6cd0/8826098/57a7c46cb772/10.1177_2050313X211027758-fig1.jpg

相似文献

1
Unmasking of Addison's disease in COVID-19.新冠病毒病中艾迪生病的暴露
SAGE Open Med Case Rep. 2021 Jun 23;9:2050313X211027758. doi: 10.1177/2050313X211027758. eCollection 2021.
2
The neuropsychiatric aspect of Addison's disease: a case report.艾迪生病的神经精神方面:一例报告
Innov Clin Neurosci. 2012 Oct;9(10):34-6.
3
Neuropsychiatric Manifestation of Addison's Disease: A Rare Case Report.艾迪生病的神经精神表现:一例罕见病例报告
Cureus. 2019 Apr 1;11(4):e4356. doi: 10.7759/cureus.4356.
4
COVID-19 and Adrenal Insufficiency: Unmasking the Link.2019冠状病毒病与肾上腺功能不全:揭示两者之间的联系
Cureus. 2023 Oct 29;15(10):e47920. doi: 10.7759/cureus.47920. eCollection 2023 Oct.
5
Can COVID-19 lead to Addison's disease in individual living with HIV? A case report and literature review.新型冠状病毒肺炎会导致感染艾滋病毒的个体患艾迪生病吗?一例病例报告及文献综述。
J Family Med Prim Care. 2022 Nov;11(11):7456-7459. doi: 10.4103/jfmpc.jfmpc_985_22. Epub 2022 Dec 16.
6
Addison's disease in pregnancy: Case report, management, and review of the literature.妊娠期艾迪生病:病例报告、处理及文献复习
J Neonatal Perinatal Med. 2020;13(2):275-278. doi: 10.3233/NPM-190231.
7
Addison's Disease Caused by Tuberculosis: Diagnostic and Therapeutic Difficulties.由结核病引起的艾迪生病:诊断与治疗难题
Eur J Case Rep Intern Med. 2018 Aug 28;5(8):000911. doi: 10.12890/2018_000911. eCollection 2018.
8
An Unusual Presentation of Addison's Disease-A Case Report.艾迪生病的一种不寻常表现——病例报告
Clin Pediatr Endocrinol. 2011 Jul;20(3):57-60. doi: 10.1297/cpe.20.57. Epub 2011 Oct 7.
9
A patient diagnosed with new-onset type 1 diabetes and Addison's disease at initial presentation.一名患者在初次就诊时被诊断为新发1型糖尿病和艾迪生病。
Endocrinol Diabetes Metab Case Rep. 2024 May 13;2024(2). doi: 10.1530/EDM-23-0106. Print 2024 Apr 1.
10
Addison's Disease Presenting With Idiopathic Intracranial Hypertension in a Young Female.一名年轻女性患艾迪生病伴特发性颅内高压
Cureus. 2021 May 23;13(5):e15195. doi: 10.7759/cureus.15195.

引用本文的文献

1
Case Report: Primary adrenal insufficiency due to bilateral adrenal infarction and antiphospholipid syndrome in Covid19 - A complicate case of cardiogenic shock.病例报告:新冠病毒感染所致双侧肾上腺梗死和抗磷脂综合征引发的原发性肾上腺功能不全——一例心源性休克的复杂病例
Front Endocrinol (Lausanne). 2025 Apr 2;16:1554009. doi: 10.3389/fendo.2025.1554009. eCollection 2025.
2
COVID-19 and Adrenal Insufficiency: Unmasking the Link.2019冠状病毒病与肾上腺功能不全:揭示两者之间的联系
Cureus. 2023 Oct 29;15(10):e47920. doi: 10.7759/cureus.47920. eCollection 2023 Oct.
3
The Impact of COVID-19 on the Cardiovascular Health of Emerging Adults Aged 18-25: Findings From a Scoping Review.

本文引用的文献

1
A case of adrenal infarction in a patient with COVID 19 infection.一名新冠肺炎感染患者发生肾上腺梗死的病例。
BJR Case Rep. 2020 Jun 4;6(3):20200075. doi: 10.1259/bjrcr.20200075. eCollection 2020 Sep 1.
2
The angiotensin-converting enzyme 2 (ACE2) receptor in the prevention and treatment of COVID-19 are distinctly different paradigms.血管紧张素转换酶2(ACE2)受体在新冠病毒疾病(COVID-19)预防和治疗中的作用是截然不同的模式。
Clin Hypertens. 2020 Jul 15;26:14. doi: 10.1186/s40885-020-00147-x. eCollection 2020.
3
Features of 20 133 UK patients in hospital with covid-19 using the ISARIC WHO Clinical Characterisation Protocol: prospective observational cohort study.
新冠疫情对18至25岁青年心血管健康的影响:一项范围综述的结果
CJC Pediatr Congenit Heart Dis. 2022 Dec 1;2(1):33-50. doi: 10.1016/j.cjcpc.2022.11.005. eCollection 2023 Feb.
4
Evaluation of the hypothalamo-pituitary-adrenal axis during the post-COVID-19 period in patients treated with steroids during the illness.评估 COVID-19 后时期接受类固醇治疗的患者的下丘脑-垂体-肾上腺轴。
Arch Endocrinol Metab. 2023 Nov 10;68:e220207. doi: 10.20945/2359-4292-2022-0207.
5
Sequence similarity between SARS-CoV-2 nucleocapsid and multiple sclerosis-associated proteins provides insight into viral neuropathogenesis following infection.SARS-CoV-2 核衣壳蛋白与多发性硬化症相关蛋白之间的序列相似性为病毒感染后神经发病机制提供了新的认识。
Sci Rep. 2023 Jan 8;13(1):389. doi: 10.1038/s41598-022-27348-8.
6
Newly diagnosed autoimmune Addison's disease in a patient with COVID-19 with autoimmune disseminated encephalomyelitis.COVID-19 合并自身免疫性播散性脑脊髓炎患者新发自身免疫性艾迪生病。
BMJ Case Rep. 2022 Dec 5;15(12):e250749. doi: 10.1136/bcr-2022-250749.
7
Adrenal Crisis Mimicking COVID-19 Encephalopathy in a Teenager with Craniopharyngioma.一名患有颅咽管瘤的青少年出现类似新冠脑病的肾上腺危象。
Children (Basel). 2022 Aug 17;9(8):1238. doi: 10.3390/children9081238.
8
[Practical recommendations for screening and management of functional disorders of the adrenal cortex in cases of SARS-CoV-2 infections].[关于新型冠状病毒肺炎(SARS-CoV-2感染)病例中肾上腺皮质功能障碍筛查与管理的实用建议]
Internist (Berl). 2022 Jan;63(1):4-11. doi: 10.1007/s00108-021-01236-1. Epub 2021 Dec 20.
使用 ISARIC WHO 临床特征协议住院的 20133 例英国新冠患者的特征:前瞻性观察队列研究。
BMJ. 2020 May 22;369:m1985. doi: 10.1136/bmj.m1985.
4
COVID-19 diagnosis and management: a comprehensive review.COVID-19 的诊断与管理:全面综述。
J Intern Med. 2020 Aug;288(2):192-206. doi: 10.1111/joim.13091. Epub 2020 May 13.
5
COVID-19 infection and glucocorticoids: update from the Italian Society of Endocrinology Expert Opinion on steroid replacement in adrenal insufficiency.2019冠状病毒病感染与糖皮质激素:来自意大利内分泌学会关于肾上腺功能不全激素替代治疗专家意见的更新
J Endocrinol Invest. 2020 Aug;43(8):1141-1147. doi: 10.1007/s40618-020-01266-w. Epub 2020 Apr 25.
6
Tumor necrosis factor and interleukin-1 are potent inhibitors of angiotensin-II-induced aldosterone synthesis.肿瘤坏死因子和白细胞介素-1是血管紧张素II诱导的醛固酮合成的有效抑制剂。
Endocrinology. 1989 Dec;125(6):3084-9. doi: 10.1210/endo-125-6-3084.