Suppr超能文献

在一名老年女性接种第二剂新冠mRNA疫苗后诊断出嗜酸性粒细胞肉芽肿性多血管炎

Eosinophilic Granulomatosis With Polyangiitis Diagnosed in an Elderly Female After the Second Dose of mRNA Vaccine Against COVID-19.

作者信息

Ibrahim Hanan, Alkhatib Ayad, Meysami Alireza

机构信息

Department of Rheumatology, Henry Ford Health System, Detroit, USA.

出版信息

Cureus. 2022 Jan 12;14(1):e21176. doi: 10.7759/cureus.21176. eCollection 2022 Jan.

Abstract

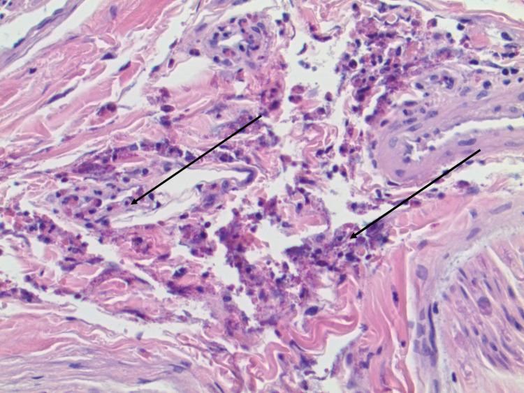
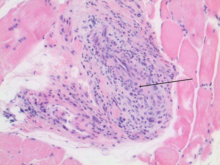
Eosinophilic granulomatosis with polyangiitis is a type of medium and small-vessel vasculitis that is characterized by asthma, polyneuropathy, peripheral eosinophilia, rhinosinusitis, and other organ involvement, such as the lung and skin. Here, we present an interesting case of eosinophilic granulomatosis with polyangiitis after the mRNA-1273 (Moderna) vaccine against coronavirus disease 2019 (COVID-19). The patient presented with progressive weakness and paresthesia in the upper and lower extremities. She was found to have peripheral eosinophilia and elevated anti-myeloperoxidase antibodies. Nerve and muscle biopsies showed focal vasculitis with infiltration by eosinophils. The patient was started on steroids and a steroid-sparing agent shortly after that and had marked improvement of her symptoms.

摘要

嗜酸性肉芽肿性多血管炎是一种中小血管血管炎,其特征为哮喘、多发性神经病、外周血嗜酸性粒细胞增多、鼻窦炎以及其他器官受累,如肺和皮肤。在此,我们报告1例接种2019冠状病毒病(COVID-19)mRNA-1273(Moderna)疫苗后发生嗜酸性肉芽肿性多血管炎的有趣病例。该患者出现双上肢和双下肢进行性无力及感觉异常。发现其外周血嗜酸性粒细胞增多且抗髓过氧化物酶抗体升高。神经和肌肉活检显示局灶性血管炎伴嗜酸性粒细胞浸润。此后不久,患者开始使用类固醇及一种类固醇节约剂治疗,症状有显著改善。

https://cdn.ncbi.nlm.nih.gov/pmc/blobs/2570/8831231/11e422295831/cureus-0014-00000021176-i01.jpg

文献AI研究员

20分钟写一篇综述,助力文献阅读效率提升50倍。

立即体验

用中文搜PubMed

大模型驱动的PubMed中文搜索引擎

马上搜索

文档翻译

学术文献翻译模型,支持多种主流文档格式。

立即体验