Suppr超能文献

使用计算机辅助设计/计算机辅助制造(CAD/CAM)制造的插入导板用于单纯微型种植体支持的快速上颌扩弓器的操作

Procedure using CAD/CAM-manufactured insertion guides for purely mini-implant-borne rapid maxillary expanders.

作者信息

Wilmes Benedict, Tarraf Nour Eldin, de Gabriele Renzo, Dallatana Gianluca, Drescher Dieter

机构信息

Department of Orthodontics, University of Duesseldorf, Moorenstr. 5, 40225, Duesseldorf, Germany.

Private Specialist Orthodontic Practice, Sydney, Australia.

出版信息

J Orofac Orthop. 2022 Jul;83(4):277-284. doi: 10.1007/s00056-022-00375-w. Epub 2022 Feb 21.

Abstract

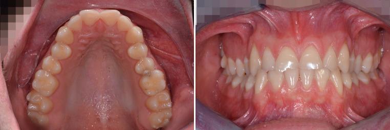
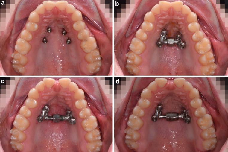
With traditional rapid palatal expansion (RPE), orthopaedic forces are transmitted to the skeletal structures via the anchor teeth potentially leading to several unwanted dental side effects. To prevent these issues, tooth-bone-borne or purely bone-borne expanders were introduced using mini-implants in the palate. In this paper, the digitally planned Quadexpander is described which permits palatal expansion with only skeletal anchorage. The use of virtual insertion planning allows for insertion in areas of ideal bone, while avoiding roots and vital structures as well as the possibility of insertion into sites which would otherwise not be considered usable. A second advantage of digital planning is that mini-implants and the expander can be inserted in just one appointment.

摘要

传统的快速腭扩展术(RPE)通过锚固牙将矫形力传递至骨骼结构,这可能会导致一些不良的牙齿副作用。为防止这些问题,人们采用腭部微型种植体引入了牙-骨支撑式或纯骨支撑式扩弓器。本文介绍了数字化规划的Quadexpander扩弓器,它仅通过骨骼锚固实现腭部扩展。虚拟植入规划的应用使得扩弓器能够植入理想骨区域,同时避开牙根和重要结构,也避免了植入原本被认为不可用部位的可能性。数字化规划的另一个优势在于,微型种植体和扩弓器可以在一次就诊时完成植入。

https://cdn.ncbi.nlm.nih.gov/pmc/blobs/ccec/9225979/387c04ec4c82/56_2022_375_Fig1_HTML.jpg

文献检索

告别复杂PubMed语法,用中文像聊天一样搜索,搜遍4000万医学文献。AI智能推荐,让科研检索更轻松。

立即免费搜索

文件翻译

保留排版,准确专业,支持PDF/Word/PPT等文件格式,支持 12+语言互译。

免费翻译文档

深度研究

AI帮你快速写综述,25分钟生成高质量综述,智能提取关键信息,辅助科研写作。

立即免费体验