Department of Medical Oncology, Sun Yat-sen University Cancer Center, State Key Laboratory of Oncology in South China, Collaborative Innovation Center for Cancer Medicine, Sun Yat-sen University, 510060, Guangzhou, P. R. China.
Research Unit of Precision Diagnosis and Treatment for Gastrointestinal Cancer, Chinese Academy of Medical Sciences, 510060, Guangzhou, P. R. China.
Signal Transduct Target Ther. 2022 Feb 28;7(1):54. doi: 10.1038/s41392-022-00889-0.
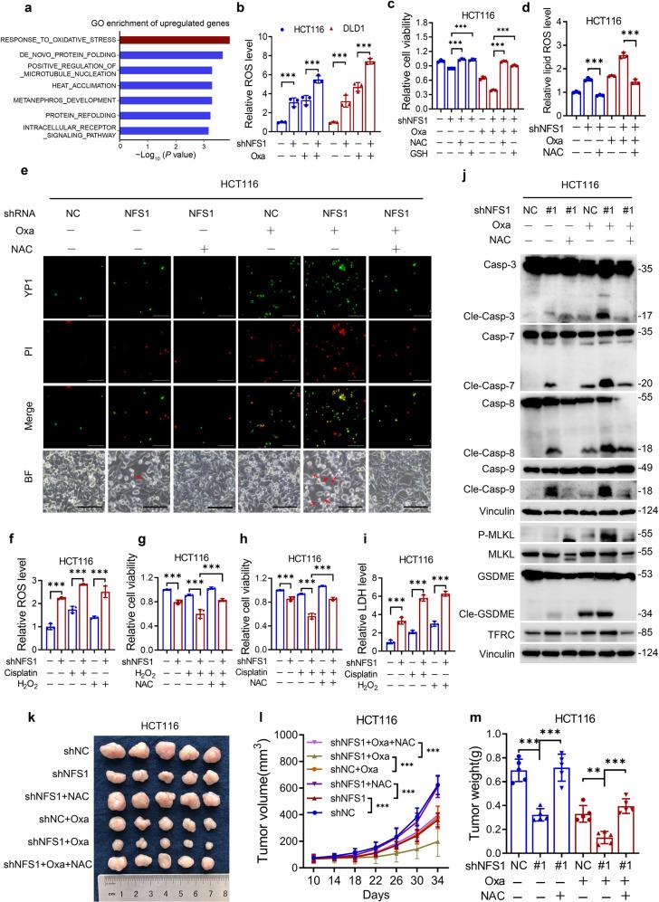
Metabolic enzymes have an indispensable role in metabolic reprogramming, and their aberrant expression or activity has been associated with chemosensitivity. Hence, targeting metabolic enzymes remains an attractive approach for treating tumors. However, the influence and regulation of cysteine desulfurase (NFS1), a rate-limiting enzyme in iron-sulfur (Fe-S) cluster biogenesis, in colorectal cancer (CRC) remain elusive. Here, using an in vivo metabolic enzyme gene-based clustered regularly interspaced short palindromic repeats (CRISPR)-Cas9 library screen, we revealed that loss of NFS1 significantly enhanced the sensitivity of CRC cells to oxaliplatin. In vitro and in vivo results showed that NFS1 deficiency synergizing with oxaliplatin triggered PANoptosis (apoptosis, necroptosis, pyroptosis, and ferroptosis) by increasing the intracellular levels of reactive oxygen species (ROS). Furthermore, oxaliplatin-based oxidative stress enhanced the phosphorylation level of serine residues of NFS1, which prevented PANoptosis in an S293 phosphorylation-dependent manner during oxaliplatin treatment. In addition, high expression of NFS1, transcriptionally regulated by MYC, was found in tumor tissues and was associated with poor survival and hyposensitivity to chemotherapy in patients with CRC. Overall, the findings of this study provided insights into the underlying mechanisms of NFS1 in oxaliplatin sensitivity and identified NFS1 inhibition as a promising strategy for improving the outcome of platinum-based chemotherapy in the treatment of CRC.
代谢酶在代谢重编程中起着不可或缺的作用,其异常表达或活性与化疗敏感性有关。因此,靶向代谢酶仍然是治疗肿瘤的一种有吸引力的方法。然而,半胱氨酸脱硫酶(NFS1)在铁硫(Fe-S)簇生物发生中的作用及其调节在结直肠癌(CRC)中仍不清楚。在这里,我们使用基于体内代谢酶基因的成簇规律间隔短回文重复(CRISPR)-Cas9 文库筛选,揭示了 NFS1 的缺失显著增强了 CRC 细胞对奥沙利铂的敏感性。体外和体内结果表明,NFS1 缺乏与奥沙利铂协同作用,通过增加活性氧(ROS)的细胞内水平,触发 PANoptosis(细胞凋亡、坏死性凋亡、细胞焦亡和铁死亡)。此外,奥沙利铂诱导的氧化应激增强了 NFS1 丝氨酸残基的磷酸化水平,这在奥沙利铂治疗过程中以 S293 磷酸化依赖的方式阻止了 PANoptosis。此外,高表达 NFS1,受 MYC 转录调控,在肿瘤组织中发现,并与 CRC 患者的不良生存和对化疗的低敏感性相关。总的来说,这项研究的结果提供了对 NFS1 在奥沙利铂敏感性中的潜在机制的深入了解,并确定了抑制 NFS1 作为改善基于铂类化疗治疗 CRC 患者的铂类化疗效果的有前途的策略。