Suppr超能文献

自发性双侧基底节出血的罕见病例。

Unusual case of spontaneous bilateral basal ganglia bleed.

作者信息

Kayastha Jessica, Rajbhandari Pravesh, Gurung Pritam, Shrestha Bishal, Dabadi Sambardhan, Pant Basant

机构信息

Department of biomedical engineering Annapurna Neurological Institute and Allied Sciences Kathmandu Nepal.

出版信息

Clin Case Rep. 2022 Feb 15;10(2):e05437. doi: 10.1002/ccr3.5437. eCollection 2022 Feb.

Abstract

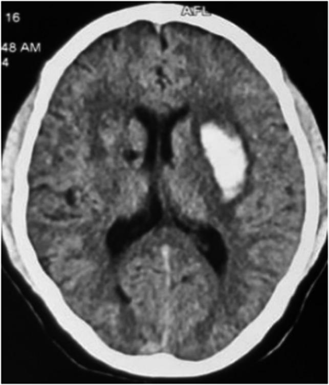
Hypertension is the most prevalent determinant condition embarking on the development of spontaneous intracerebral hemorrhage. Usually, the presentation is a unilateral hematoma. Spontaneous bilateral intracerebral hemorrhage is an outstandingly infrequent context, and not a lot of cases have been reported till date. Ensuing hypertension, trauma inflicted on the brain case is another common cause that out turn into the sequelae of bilateral intracerebral hemorrhage. Lately, a few cases of bilateral basal ganglia bleed have been revealed, as a repercussion of COVID-19 infection. Globally, <40 such cases have been reported. A 39-year-old man presented with complaints of acute onset of weakness of right half of the body. Additionally, facial deviation was noticed by his family members. He then sought medical help from a local healthcare center where CT scan of head was advised. Unexpectedly, the scan demonstrated bilateral intracerebral hemorrhage. He was then managed conservatively with oral medications and rehabilitation. The course of his hospital stay was uneventful and was eventually discharged after 9 days. He then presented to our institution for further evaluation. Thereupon, he had slurring of speech but was able to walk with minimal support. Simultaneous Bilateral Basal Ganglia Hemorrhage (SBBGH) is an exceptionally rare ailment. This genre of cerebrovascular accident embraces a comprehensive span of morbidity and mortality. In an acute setting, CT scan of head is the most relevant imaging modality. Nonetheless, MRI is the gold standard for definitive diagnosis and should be performed urgently to further typify and delineate the lesion.

摘要

高血压是自发性脑出血发展过程中最常见的决定性因素。通常,表现为单侧血肿。自发性双侧脑出血极为罕见,迄今为止报道的病例不多。继高血压之后,脑外伤是导致双侧脑出血后遗症的另一个常见原因。最近,有几例双侧基底节出血病例被发现,是新冠病毒感染的后果。全球范围内,已报道的此类病例不到40例。一名39岁男性因右侧身体急性无力前来就诊。此外,其家人发现他有面部偏斜。随后他前往当地医疗中心寻求帮助,在那里医生建议对头进行CT扫描。出乎意料的是,扫描显示双侧脑出血。随后他接受了口服药物保守治疗和康复治疗。他住院期间病情平稳,9天后最终出院。然后他到我们机构进行进一步评估。当时,他说话含糊不清,但在极少的帮助下能够行走。同时性双侧基底节出血(SBBGH)是一种极其罕见的疾病。这种类型的脑血管意外涵盖了广泛的发病率和死亡率。在急性情况下,头部CT扫描是最相关的影像学检查方法。尽管如此,MRI是明确诊断的金标准,应紧急进行以进一步明确和描绘病变。

https://cdn.ncbi.nlm.nih.gov/pmc/blobs/ac8e/8847410/13af7dace40e/CCR3-10-e05437-g004.jpg

文献检索

告别复杂PubMed语法,用中文像聊天一样搜索,搜遍4000万医学文献。AI智能推荐,让科研检索更轻松。

立即免费搜索

文件翻译

保留排版,准确专业,支持PDF/Word/PPT等文件格式,支持 12+语言互译。

免费翻译文档

深度研究

AI帮你快速写综述,25分钟生成高质量综述,智能提取关键信息,辅助科研写作。

立即免费体验