• 文献检索
  • 文档翻译
  • 深度研究
  • 学术资讯
  • Suppr Zotero 插件Zotero 插件
  • 邀请有礼
  • 套餐&价格
  • 历史记录
应用&插件
Suppr Zotero 插件Zotero 插件浏览器插件Mac 客户端Windows 客户端微信小程序
定价
高级版会员购买积分包购买API积分包
服务
文献检索文档翻译深度研究API 文档MCP 服务
关于我们
关于 Suppr公司介绍联系我们用户协议隐私条款
关注我们

Suppr 超能文献

核心技术专利:CN118964589B侵权必究
粤ICP备2023148730 号-1Suppr @ 2026

文献检索

告别复杂PubMed语法,用中文像聊天一样搜索,搜遍4000万医学文献。AI智能推荐,让科研检索更轻松。

立即免费搜索

文件翻译

保留排版,准确专业,支持PDF/Word/PPT等文件格式,支持 12+语言互译。

免费翻译文档

深度研究

AI帮你快速写综述,25分钟生成高质量综述,智能提取关键信息,辅助科研写作。

立即免费体验

鼻侧壁神经鞘瘤:一例报告。

Schwannoma of the lateral nasal wall: A case report.

作者信息

Barati Behrouz, Mohseni Malihe, Asadi Mahboobe, Mangeli Forogh

机构信息

Otolaryngology Department Shahid Beheshti University of Medical Sciences Tehran Iran.

Pathology Department Shahid Beheshti University of Medical Sciences Tehran Iran.

出版信息

Clin Case Rep. 2022 Feb 15;10(2):e05451. doi: 10.1002/ccr3.5451. eCollection 2022 Feb.

DOI:10.1002/ccr3.5451
PMID:35223014
原文链接:https://pmc.ncbi.nlm.nih.gov/articles/PMC8847405/
Abstract

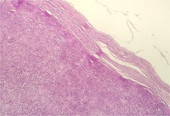
Nasal schwannomas account for about 4% of head and neck schwannomas. We report a rare case of lateral nasal wall schwannoma presenting as a nasal mass in a 70-year-old man.

摘要

鼻神经鞘瘤约占头颈部神经鞘瘤的4%。我们报告一例罕见的外侧鼻壁神经鞘瘤病例,该病例表现为一名70岁男性的鼻腔肿物。

https://cdn.ncbi.nlm.nih.gov/pmc/blobs/cb2b/8847405/8f01525d239e/CCR3-10-e05451-g005.jpg
https://cdn.ncbi.nlm.nih.gov/pmc/blobs/cb2b/8847405/a67f0ce5e164/CCR3-10-e05451-g004.jpg
https://cdn.ncbi.nlm.nih.gov/pmc/blobs/cb2b/8847405/79d6c33f95e3/CCR3-10-e05451-g002.jpg
https://cdn.ncbi.nlm.nih.gov/pmc/blobs/cb2b/8847405/0c311e07cf6f/CCR3-10-e05451-g001.jpg
https://cdn.ncbi.nlm.nih.gov/pmc/blobs/cb2b/8847405/8f01525d239e/CCR3-10-e05451-g005.jpg
https://cdn.ncbi.nlm.nih.gov/pmc/blobs/cb2b/8847405/a67f0ce5e164/CCR3-10-e05451-g004.jpg
https://cdn.ncbi.nlm.nih.gov/pmc/blobs/cb2b/8847405/79d6c33f95e3/CCR3-10-e05451-g002.jpg
https://cdn.ncbi.nlm.nih.gov/pmc/blobs/cb2b/8847405/0c311e07cf6f/CCR3-10-e05451-g001.jpg
https://cdn.ncbi.nlm.nih.gov/pmc/blobs/cb2b/8847405/8f01525d239e/CCR3-10-e05451-g005.jpg

相似文献

1
Schwannoma of the lateral nasal wall: A case report.鼻侧壁神经鞘瘤:一例报告。
Clin Case Rep. 2022 Feb 15;10(2):e05451. doi: 10.1002/ccr3.5451. eCollection 2022 Feb.
2
Nasal Cavity Schwannoma-A Case Report and Review of the Literature.鼻腔神经鞘瘤——一例报告及文献复习
Ear Nose Throat J. 2024 Jan;103(1):19-24. doi: 10.1177/01455613211034598. Epub 2021 Jul 28.
3
A surprising cause of unilateral nasal obstruction and epistaxis: nasal septal schwannoma.单侧鼻塞和鼻出血的一个惊人原因:鼻中隔施万细胞瘤。
J Surg Case Rep. 2014 Mar 21;2014(3):rju023. doi: 10.1093/jscr/rju023.
4
An Extensive Unilateral Nasal Mass: Septal Schwannoma-Case Report.一例广泛的单侧鼻腔肿物:鼻中隔施万细胞瘤——病例报告
Indian J Otolaryngol Head Neck Surg. 2022 Oct;74(Suppl 2):1540-1543. doi: 10.1007/s12070-021-02635-4. Epub 2021 Jun 10.
5
Dumbbell Shaped Schwannoma of the Lateral Chest Wall masquandering as a soft tissue sarcoma.误诊为软组织肉瘤的胸壁外侧哑铃形施万瘤
Indian J Surg Oncol. 2015 Sep;6(3):307-10. doi: 10.1007/s13193-015-0435-7. Epub 2015 Jun 25.
6
Extracranial non-vestibular head and neck schwannomas: a case series with the review of literature.颅外非前庭头颈部神经鞘瘤:病例系列及文献复习。
Braz J Otorhinolaryngol. 2022 Nov-Dec;88 Suppl 4(Suppl 4):S9-S17. doi: 10.1016/j.bjorl.2021.05.013. Epub 2021 Jun 9.
7
[Nasal schwannoma: a report of two cases].[鼻神经鞘瘤:两例报告]
Kulak Burun Bogaz Ihtis Derg. 2004;13(1-2):46-50.
8
A Rare Case of Cervical Vagal Nerve Schwannoma in a 30-Year-Old Ethiopian Man.一名30岁埃塞俄比亚男子患颈迷走神经鞘瘤的罕见病例。
Int Med Case Rep J. 2023 Mar 11;16:141-151. doi: 10.2147/IMCRJ.S401858. eCollection 2023.
9
Sinonasal Schwannoma - A Case Report.鼻窦神经鞘瘤——一例报告
J Clin Diagn Res. 2017 May;11(5):ED22-ED23. doi: 10.7860/JCDR/2017/21532.9851. Epub 2017 May 1.
10
External Oblique Muscle Schwannoma: A Rare Anatomical Presentation.腹外斜肌施万瘤:一种罕见的解剖学表现。
Case Rep Surg. 2019 Sep 3;2019:9290821. doi: 10.1155/2019/9290821. eCollection 2019.

引用本文的文献

1
A rare case of ancient schwannoma of nasal vestibule causing complete nasal obstruction: A case report and brief review of literature.一例罕见的引起完全性鼻阻塞的鼻前庭古老型神经鞘瘤:病例报告及文献简要回顾
Int J Surg Case Rep. 2025 Aug;133:111623. doi: 10.1016/j.ijscr.2025.111623. Epub 2025 Jul 5.
2
Subcutaneous Nasal Schwannoma in a Pediatric Patient: A Rare Case Report with Emphasis on Histopathology's Role in Differential Diagnosis.小儿皮下鼻腔神经鞘瘤 1 例:重视组织病理学在鉴别诊断中的作用
Am J Case Rep. 2023 Oct 25;24:e941440. doi: 10.12659/AJCR.941440.

本文引用的文献

1
Endoscopic transnasal resection of the CP angle schwannoma.经鼻内镜下切除桥小脑角神经鞘瘤。
Neurosurg Focus Video. 2020 Apr 1;2(2):V13. doi: 10.3171/2020.4.FocusVid.19891. eCollection 2020 Apr.
2
Pathomechanisms in schwannoma development and progression.神经鞘瘤发生和进展中的病理机制。
Oncogene. 2020 Aug;39(32):5421-5429. doi: 10.1038/s41388-020-1374-5. Epub 2020 Jul 2.
3
Encapsulated Sinonasal Schwannoma.
Ear Nose Throat J. 2019 Apr-May;98(4):205-206. doi: 10.1177/0145561318823321. Epub 2019 Mar 5.
4
A rare case of nasal septal schwannoma: Case report and literature review.鼻中隔神经鞘瘤1例罕见病例报告及文献复习
Int J Surg Case Rep. 2019;55:149-151. doi: 10.1016/j.ijscr.2019.01.027. Epub 2019 Jan 30.
5
Molecular aspects of pancreatic β-cell dysfunction: Oxidative stress, microRNA, and long noncoding RNA.胰腺β细胞功能障碍的分子机制:氧化应激、microRNA 和长非编码 RNA。
J Cell Physiol. 2019 Jun;234(6):8411-8425. doi: 10.1002/jcp.27755. Epub 2018 Nov 22.
6
Differential Diagnosis Between Nasal Septal Schwannoma and Nasal Septal Neurofibroma.鼻中隔施万瘤与鼻中隔神经纤维瘤的鉴别诊断
J Craniofac Surg. 2017 Oct;28(7):1780-1783. doi: 10.1097/SCS.0000000000003748.
7
Schwannoma of the membranous nasal septum.鼻中隔膜性神经鞘瘤
Braz J Otorhinolaryngol. 2013 Nov-Dec;79(6):789. doi: 10.5935/1808-8694.20130140.
8
Schwannoma of the nasal septum: evaluation of unilateral nasal mass.鼻中隔神经鞘瘤:单侧鼻腔肿物的评估
Braz J Otorhinolaryngol. 2013 May-Jun;79(3):403. doi: 10.5935/1808-8694.20130070.
9
Unilateral sinonasal symptoms.单侧鼻窦症状。
J Craniofac Surg. 2010 Nov;21(6):2019-22. doi: 10.1097/SCS.0b013e3181f5389a.
10
Oxidative stress is related to the formation of Antoni B patterns and eosinophilic hyaline droplets in schwannomas.
Neuropathology. 2007 Jun;27(3):237-44. doi: 10.1111/j.1440-1789.2007.00772.x.