• 文献检索
  • 文档翻译
  • 深度研究
  • 学术资讯
  • Suppr Zotero 插件Zotero 插件
  • 邀请有礼
  • 套餐&价格
  • 历史记录
应用&插件
Suppr Zotero 插件Zotero 插件浏览器插件Mac 客户端Windows 客户端微信小程序
定价
高级版会员购买积分包购买API积分包
服务
文献检索文档翻译深度研究API 文档MCP 服务
关于我们
关于 Suppr公司介绍联系我们用户协议隐私条款
关注我们

Suppr 超能文献

核心技术专利:CN118964589B侵权必究
粤ICP备2023148730 号-1Suppr @ 2026

文献检索

告别复杂PubMed语法,用中文像聊天一样搜索,搜遍4000万医学文献。AI智能推荐,让科研检索更轻松。

立即免费搜索

文件翻译

保留排版,准确专业,支持PDF/Word/PPT等文件格式,支持 12+语言互译。

免费翻译文档

深度研究

AI帮你快速写综述,25分钟生成高质量综述,智能提取关键信息,辅助科研写作。

立即免费体验

髋关节快速进展性骨关节炎:在东南亚人群中建立并验证诊断标准

Rapidly progressive osteoarthritis of hip: establishing and validating diagnostic criteria in the Southeast Asian population.

作者信息

Man Lok-Chun, Yeung Yip-Kan, Ho Sheung-Tung, Chiu Ming-Yu, Pan Nin-Yuan

机构信息

Department of Orthopaedics and Traumatology, Caritas Medical Centre, 111 Wing Hong Street, Hong Kong, China.

Department of Radiology, Caritas Medical Centre, 111 Wing Hong Street, Hong Kong, HKSAR, China.

出版信息

Arthroplasty. 2022 Feb 3;4(1):5. doi: 10.1186/s42836-021-00107-2.

DOI:10.1186/s42836-021-00107-2
PMID:35236512
原文链接:https://pmc.ncbi.nlm.nih.gov/articles/PMC8812151/
Abstract

BACKGROUND

The study aimed to establish quantitative diagnostic criteria for rapidly progressive osteoarthritis (RPOA) of the hip and to compare the criteria with those for other pathological hip entities in the Asian population.

METHODS

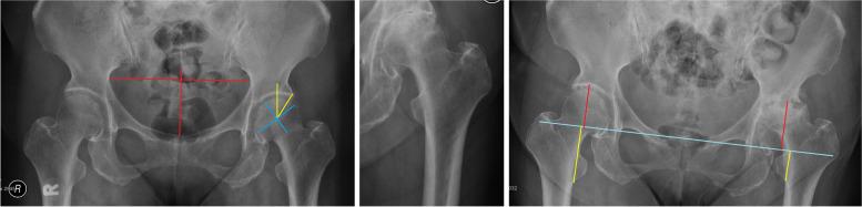
From July 2011 to September 2019, 126 patients who had undergone hip replacement were retrospectively recruited from a fast-track joint replacement list. Patient demographics and radiological parameters were evaluated. Diagnosis of hip RPOA was established based on Lequesne et al's criteria. The patients with RPOA, hip dysplasia, avascular necrosis, and primary osteoarthritis were allocated to the corresponding groups separately and compared. The diagnostic criteria of RPOA were established and validated in the sample population.

RESULTS

Diagnosis of hip RPOA was confirmed in 18 patients. Their mean age at surgery (72 years) was significantly higher in this group than in the dysplasia and avascular necrosis groups. The mean pelvic tilt parameter (0.485) of RPOA group was significantly lower than those of other groups. The mean initial Tonnis angle (8.35°) of RPOA group was significantly higher than those of avascular necrosis and osteoarthritis groups. The differences were statistically significant between RPOA and non-RPOA groups in limb shortening rate, superior joint space narrowing, acetabular destruction, and head destruction (P < 0.05). Tonnis angle and lateral subluxation also increased significantly during the disease progression.

CONCLUSION

Posterior pelvic tilt and increased Tonnis angle may contribute to the pathogenesis of RPOA, leading to progressive acquired acetabular obliquity and lateral subluxation. We propose the modern comprehensive diagnostic criteria be based on the existing literature and the current findings. Further external validation is recommended.

摘要

背景

本研究旨在建立髋关节快速进展性骨关节炎(RPOA)的定量诊断标准,并将该标准与亚洲人群中其他病理性髋关节疾病的诊断标准进行比较。

方法

从2011年7月至2019年9月,从快速关节置换名单中回顾性招募了126例接受髋关节置换的患者。评估患者的人口统计学特征和放射学参数。基于勒凯斯内等人的标准对髋关节RPOA进行诊断。将RPOA、髋关节发育不良、股骨头缺血性坏死和原发性骨关节炎患者分别归入相应组并进行比较。在样本人群中建立并验证RPOA的诊断标准。

结果

18例患者被确诊为髋关节RPOA。该组患者的平均手术年龄(72岁)显著高于发育不良和股骨头缺血性坏死组。RPOA组的平均骨盆倾斜参数(0.485)显著低于其他组。RPOA组的平均初始托尼角(8.35°)显著高于股骨头缺血性坏死组和骨关节炎组。RPOA组与非RPOA组在肢体短缩率、上关节间隙变窄、髋臼破坏和股骨头破坏方面存在显著差异(P<0.05)。在疾病进展过程中,托尼角和外侧半脱位也显著增加。

结论

骨盆后倾和托尼角增加可能是RPOA发病机制的一部分,导致获得性髋臼倾斜和外侧半脱位逐渐加重。我们建议根据现有文献和当前研究结果制定现代综合诊断标准。建议进一步进行外部验证。

https://cdn.ncbi.nlm.nih.gov/pmc/blobs/3b82/8812151/cc1b282971ad/42836_2021_107_Fig3_HTML.jpg
https://cdn.ncbi.nlm.nih.gov/pmc/blobs/3b82/8812151/2e6f9b75c767/42836_2021_107_Fig1_HTML.jpg
https://cdn.ncbi.nlm.nih.gov/pmc/blobs/3b82/8812151/d3cbb0b2c57d/42836_2021_107_Fig2_HTML.jpg
https://cdn.ncbi.nlm.nih.gov/pmc/blobs/3b82/8812151/cc1b282971ad/42836_2021_107_Fig3_HTML.jpg
https://cdn.ncbi.nlm.nih.gov/pmc/blobs/3b82/8812151/2e6f9b75c767/42836_2021_107_Fig1_HTML.jpg
https://cdn.ncbi.nlm.nih.gov/pmc/blobs/3b82/8812151/d3cbb0b2c57d/42836_2021_107_Fig2_HTML.jpg
https://cdn.ncbi.nlm.nih.gov/pmc/blobs/3b82/8812151/cc1b282971ad/42836_2021_107_Fig3_HTML.jpg

相似文献

1
Rapidly progressive osteoarthritis of hip: establishing and validating diagnostic criteria in the Southeast Asian population.髋关节快速进展性骨关节炎:在东南亚人群中建立并验证诊断标准
Arthroplasty. 2022 Feb 3;4(1):5. doi: 10.1186/s42836-021-00107-2.
2
One-third of Hips After Periacetabular Osteotomy Survive 30 Years With Good Clinical Results, No Progression of Arthritis, or Conversion to THA.髋臼周围截骨术后三分之一的髋关节在30年时仍保持良好临床效果,无关节炎进展或无需转换为全髋关节置换术。
Clin Orthop Relat Res. 2017 Apr;475(4):1154-1168. doi: 10.1007/s11999-016-5169-5.
3
Rapidly Progressive Osteoarthritis: a Review of the Clinical and Radiologic Presentation.快速进展性骨关节炎:临床与影像学表现综述
Curr Rheumatol Rep. 2017 Jul;19(7):42. doi: 10.1007/s11926-017-0665-5.
4
Hip dysplasia is more severe in Charcot-Marie-Tooth disease than in developmental dysplasia of the hip.髋关节发育不良在夏科-马里-图思病中比在发育性髋关节发育不良中更为严重。
Clin Orthop Relat Res. 2014 Feb;472(2):665-73. doi: 10.1007/s11999-013-3127-z.
5
Total hip arthroplasty in rapidly progressive osteoarthritis of the hip: clinical and radiological outcome of a consecutive series of patients.髋关节置换术治疗髋关节快速进展性骨关节炎:连续系列患者的临床和影像学结果。
J Biol Regul Homeost Agents. 2018 Nov-Dec;32(6 Suppl. 1):201-207.
6
A Possible New Radiographic Predictor of Progression of Osteoarthritis in Developmental Dysplasia of the Hip: The Center Gap.髋关节发育不良性骨关节炎进展的一种可能的新影像学预测指标:中央间隙。
Clin Orthop Relat Res. 2018 Nov;476(11):2157-2166. doi: 10.1097/CORR.0000000000000458.
7
Does Acetabular Coverage Vary Between the Supine and Standing Positions in Patients with Hip Dysplasia?髋臼覆盖在髋关节发育不良患者的仰卧位和站立位之间是否不同?
Clin Orthop Relat Res. 2019 Nov;477(11):2455-2466. doi: 10.1097/CORR.0000000000000898.
8
Chiari pelvic osteotomy for advanced osteoarthritis in patients with hip dysplasia.Chiari骨盆截骨术治疗髋关节发育不良患者的晚期骨关节炎。
J Bone Joint Surg Am. 2004 Jul;86(7):1439-45. doi: 10.2106/00004623-200407000-00011.
9
[Development of Hip Joints Treated Non-operatively for Developmental Dysplasia of the Hip by Overhead Traction - Clinical and Radiographic Assessment after Reaching Skeletal Maturity].[通过头端牵引非手术治疗发育性髋关节发育不良的髋关节发育情况——骨骼成熟后的临床及影像学评估]
Acta Chir Orthop Traumatol Cech. 2020;87(6):381-386.
10
Chiari pelvic osteotomy in the management of developmental hip dysplasia: a long term follow-up.Chiari骨盆截骨术治疗发育性髋关节发育不良的长期随访
Bratisl Lek Listy. 2003;104(1):7-13.

本文引用的文献

1
Rapidly Progressive Osteoarthritis and Acetabular Bone Loss Outcomes for Patients Undergoing Primary Total Hip Replacement.初次全髋关节置换患者的快速进展性骨关节炎和髋臼骨质流失结果
Arthroplast Today. 2020 Jun 1;6(3):289-295. doi: 10.1016/j.artd.2020.04.005. eCollection 2020 Sep.
2
Characterization of rapidly progressive osteoarthritis of the hip in its early stage.髋关节快速进展性骨关节炎早期特征
Eur J Rheumatol. 2020 Jul;7(3):130-134. doi: 10.5152/eurjrheum.2020.19159. Epub 2020 Apr 28.
3
Rapid destructive osteoarthritis of the hip after intra-articular steroid injection.
关节内注射类固醇后髋关节快速破坏性骨关节炎
Arthroplast Today. 2018 Feb 15;4(2):184-186. doi: 10.1016/j.artd.2018.01.002. eCollection 2018 Jun.
4
Osteoarthritis of the hip joint in elderly patients is most commonly atrophic, with low parameters of acetabular dysplasia and possible involvement of osteoporosis.老年患者髋关节骨关节炎最常见的是萎缩性的,髋臼发育不良参数较低,且可能伴有骨质疏松。
Arch Osteoporos. 2017 Dec;12(1):30. doi: 10.1007/s11657-017-0325-4. Epub 2017 Mar 22.
5
Clinico-radiological diagnosis and grading of rapidly progressive osteoarthritis of the hip.髋关节快速进展性骨关节炎的临床放射学诊断与分级
Medicine (Baltimore). 2017 Mar;96(12):e6395. doi: 10.1097/MD.0000000000006395.
6
Rapidly progressive osteoarthrosis of the hip.髋关节快速进展性骨关节炎
Hip Int. 2004 Oct-Dec;14(4):217-222. doi: 10.1177/112070000401400401.
7
Using hip measures to avoid misdiagnosing early rapid onset osteoarthritis for osteonecrosis.使用髋关节测量来避免误诊早期快速发作的骨关节炎为骨坏死。
J Arthroplasty. 2014 Jun;29(6):1243-7. doi: 10.1016/j.arth.2013.11.010. Epub 2013 Nov 22.
8
Differentiation, diagnosis, and treatment of osteoarthritis, osteonecrosis, and rapidly progressive osteoarthritis.骨关节炎、骨坏死及快速进展性骨关节炎的鉴别、诊断与治疗。
Orthopedics. 2013 Feb;36(2):118-25. doi: 10.3928/01477447-20130122-04.
9
A systematic approach to the plain radiographic evaluation of the young adult hip.一种针对年轻成人髋关节X线平片评估的系统方法。
J Bone Joint Surg Am. 2008 Nov;90 Suppl 4(Suppl 4):47-66. doi: 10.2106/JBJS.H.00756.
10
Rapidly destructive osteoarthritis of the hip joint: a case series.髋关节快速破坏性骨关节炎:病例系列。
J Orthop Surg Res. 2008 Jan 11;3:3. doi: 10.1186/1749-799X-3-3.