Suppr超能文献

通过胎盘病理学诊断妊娠期播散性球孢子菌病:一例报告

Diagnosis of disseminated coccidioidomycosis in pregnancy through placental pathology: A case report.

作者信息

Hernandez Lopez Adrian L, Cheung Mon-Lai, Fassett Michael J

机构信息

Department of Obstetrics and Gynecology, Kaiser Permanente Southern California, Los Angeles Medical Center, 4900 Sunset Blvd 5 Floor, Los Angeles, CA 90027, USA.

Department of Obstetrics and Gynecology, Kaiser Permanente Southern California, Discovery Plaza Medical Offices, 1200 Discovery Drive, Bakersfield, CA 90027, USA.

出版信息

Case Rep Womens Health. 2022 Feb 16;34:e00399. doi: 10.1016/j.crwh.2022.e00399. eCollection 2022 Apr.

Abstract

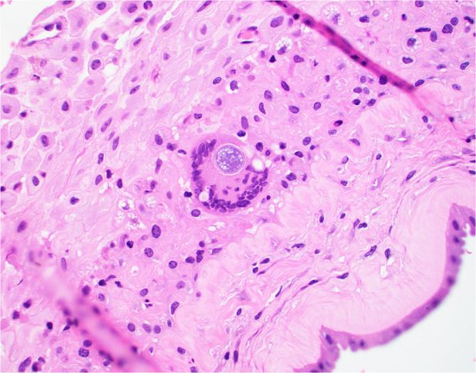
There are more than 150,000 new cases of coccidioidomycosis annually in the United States and the incidence is increasing. Although the majority of cases result in mild or no symptoms, pregnancy is a risk factor for complicated and disseminated disease. Overall, coccidioidomycosis is rare in pregnancy and there have been few reports in the literature of dissemination into the placenta. This report describes a 31-year-old primigravida with coccidioidomycosis diagnosed by placental examination. In retrospect, she had mild symptoms in the antepartum period but otherwise had no immediate complications due to the infection apart from the adhesive pelvic disease. The clinician should have a high index of suspicion for coccidioidomycosis in a pregnant woman presenting with a persistent respiratory illness who resides in, or who has recently recent travelled to, an endemic area. Additionally, a diagnosis of disseminated coccidioidomycosis should be considered for a woman with adhesive pelvic disease residing in an endemic region and one should consider microscopic placental examination if these findings are noted at cesarean delivery.

摘要

在美国,每年有超过15万例新的球孢子菌病病例,且发病率正在上升。虽然大多数病例症状轻微或无症状,但妊娠是发生复杂和播散性疾病的一个危险因素。总体而言,球孢子菌病在妊娠期间较为罕见,文献中关于其播散至胎盘的报道很少。本报告描述了一名31岁初产妇,通过胎盘检查诊断为球孢子菌病。回顾来看,她在产前有轻微症状,但除此之外,除了粘连性盆腔疾病外,感染未引起其他即刻并发症。对于居住在或近期前往过流行地区、患有持续性呼吸道疾病的孕妇,临床医生应高度怀疑球孢子菌病。此外,对于居住在流行地区且患有粘连性盆腔疾病的女性,应考虑播散性球孢子菌病的诊断,如果在剖宫产时发现这些情况,应考虑进行胎盘显微镜检查。

https://cdn.ncbi.nlm.nih.gov/pmc/blobs/231b/8881680/ccfb39ca95ba/gr1.jpg

文献检索

告别复杂PubMed语法,用中文像聊天一样搜索,搜遍4000万医学文献。AI智能推荐,让科研检索更轻松。

立即免费搜索

文件翻译

保留排版,准确专业,支持PDF/Word/PPT等文件格式,支持 12+语言互译。

免费翻译文档

深度研究

AI帮你快速写综述,25分钟生成高质量综述,智能提取关键信息,辅助科研写作。

立即免费体验