Suppr超能文献

修复型 M2 样巨噬细胞衍生的外泌体通过 IL-10 mRNA 预防小鼠牙周炎模型中的骨丢失。

Exosomes derived from reparative M2-like macrophages prevent bone loss in murine periodontitis models via IL-10 mRNA.

机构信息

Department of Implant Dentistry, School of Stomatology, Fourth Military Medical University, Xi'an, 710032, Shaanxi, China.

Department of Immunology, Fourth Military Medical University, Xi'an, 710032, Shaanxi, China.

出版信息

J Nanobiotechnology. 2022 Mar 5;20(1):110. doi: 10.1186/s12951-022-01314-y.

Abstract

BACKGROUND

Periodontitis is characterized by progressive inflammation and alveolar bone loss resulting in tooth loss finally. Macrophages including pro-inflammatory M1-like macrophages and reparative M2-like macrophages play a vital role in inflammation and tissue homeostasis in periodontitis. Among them, reparative M2-like macrophages have been shown to promote tissue repair and prevent bone loss. However, the mechanism of reparative M2 macrophages-induced osteoprotective effect remains elusive.

RESULTS

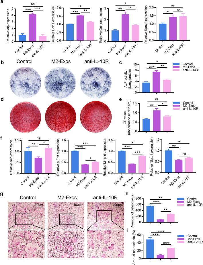
Exosomes from reparative M2-like macrophages (M2-Exos) were isolated and identified successfully. M2-Exos could promote bone marrow stromal cells (BMSCs) osteogenic differentiation while suppressing bone marrow derived macrophage (BMDM) osteoclast formation, and prohibit pathological alveolar bone resorption because of the intercellular communication via exosomes. High expression level of IL-10 mRNA was detected not only in reparative M2-like macrophages but also in M2-Exos. Meanwhile, IL-10 expression level in BMSCs or BMDM was also upregulated significantly after co-culturing with M2-Exos in a concentration-dependent manner. In vitro, recombinant IL-10 proteins had the ability to selectively promote osteogenic differentiation of BMSCs and hinder osteoclast differentiation of BMDM. Moreover, after treatment with M2-Exos and IL-10R antibody together, the capacity of promoting osteogenesis and suppressing osteoclastogenesis of M2-Exos was significantly reversed. In vivo experiments further showed that M2-Exos reduced alveolar bone resorption in mice with periodontitis via IL-10/IL-10R pathway.

CONCLUSION

In conclusion, our results demonstrate that the reparative M2-like macrophages could promote osteogenesis while inhibiting osteoclastogenesis in vitro as well as protect alveolar bone against resorption in vivo significantly. M2-Exos could upregulate the IL-10 cytokines expression of BMSCs and BMDM via delivering exosomal IL-10 mRNA to cells directly, leading to activation of the cellular IL-10/IL-10R pathway to regulate cells differentiation and bone metabolism. These results might partly account for the mechanism of osteoprotective effect of reparative M2-like macrophages and provide a novel perspective and a potential therapeutic approach on improving alveolar resorption by M2-Exos.

摘要

背景

牙周炎的特征是进行性炎症和牙槽骨丧失,最终导致牙齿脱落。巨噬细胞包括促炎 M1 样巨噬细胞和修复性 M2 样巨噬细胞,在牙周炎的炎症和组织稳态中发挥着重要作用。其中,修复性 M2 样巨噬细胞已被证明可促进组织修复并防止骨丢失。然而,修复性 M2 巨噬细胞诱导的护骨作用的机制仍不清楚。

结果

成功分离并鉴定了修复性 M2 样巨噬细胞(M2-Exos)来源的外泌体。M2-Exos 可促进骨髓基质细胞(BMSCs)成骨分化,同时抑制骨髓来源的巨噬细胞(BMDM)破骨细胞形成,并通过外泌体介导的细胞间通讯抑制病理性牙槽骨吸收。不仅在修复性 M2 样巨噬细胞中,而且在 M2-Exos 中,IL-10 mRNA 的高表达水平均被检测到。同时,BMSCs 或 BMDM 与 M2-Exos 共培养后,IL-10 表达水平也呈浓度依赖性显著上调。在体外,重组 IL-10 蛋白具有选择性促进 BMSCs 成骨分化和抑制 BMDM 破骨细胞分化的能力。此外,在同时使用 M2-Exos 和 IL-10R 抗体处理后,M2-Exos 促进成骨和抑制破骨的能力显著逆转。体内实验进一步表明,M2-Exos 通过 IL-10/IL-10R 途径减少牙周炎小鼠的牙槽骨吸收。

结论

总之,我们的研究结果表明,修复性 M2 样巨噬细胞在体外可促进成骨,抑制破骨,体内可显著保护牙槽骨免受吸收。M2-Exos 可通过向细胞直接传递外泌体 IL-10 mRNA 来上调 BMSCs 和 BMDM 的 IL-10 细胞因子表达,从而激活细胞内的 IL-10/IL-10R 途径,调节细胞分化和骨代谢。这些结果部分解释了修复性 M2 样巨噬细胞的护骨作用机制,并为通过 M2-Exos 改善牙槽骨吸收提供了新的视角和潜在的治疗方法。

https://cdn.ncbi.nlm.nih.gov/pmc/blobs/ca29/8898524/52911816a809/12951_2022_1314_Fig1_HTML.jpg

文献检索

告别复杂PubMed语法,用中文像聊天一样搜索,搜遍4000万医学文献。AI智能推荐,让科研检索更轻松。

立即免费搜索

文件翻译

保留排版,准确专业,支持PDF/Word/PPT等文件格式,支持 12+语言互译。

免费翻译文档

深度研究

AI帮你快速写综述,25分钟生成高质量综述,智能提取关键信息,辅助科研写作。

立即免费体验