Laassila Salma, Aboulem Ghita, Chtaou Naima, Belahsen Mohammed Faouzi
Department of Neurology, Hassan II University Teaching Hospital, Fez, Morocco, Faculty of Medicine and Pharmacy, Sidi Mohammed Ben Abdellah University, Fez, salma laassila, Morocco.
Laboratory of Epidemiology, Clinical Research and Health Community, Sidi Mohammed Ben Abdellah University, Fez, salma laassila, Morocco.
Radiol Case Rep. 2022 Mar 2;17(5):1416-1420. doi: 10.1016/j.radcr.2022.02.018. eCollection 2022 May.
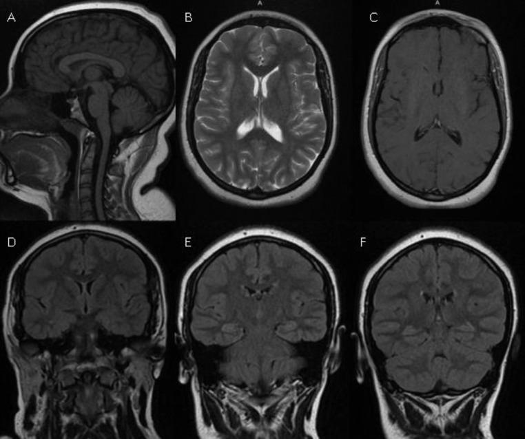
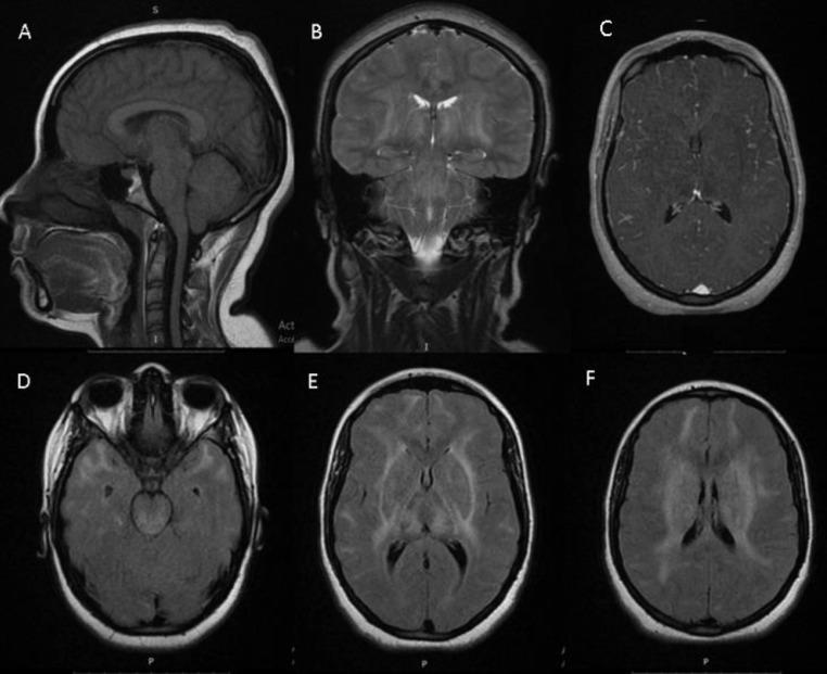
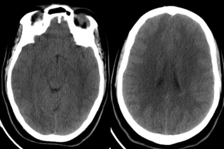
We described in this article a 19-year-old girl with an intracranial hypertension as an initial presentation of neuropsychiatric lupus. The brain MRI showed diffuse, bilateral and symmetrical white and grey matter hyperintensities. These lesions completely disappeared after 3 months of treatment. Diffuse cerebral edema with or without leukoencephalopathy in neuropsychiatric systemic lupus erythematosus is an extremely rare entity.
我们在本文中描述了一名19岁女孩,其以颅内高压作为神经精神性狼疮的初始表现。脑部磁共振成像显示弥漫性、双侧对称的白质和灰质高信号。经过3个月的治疗,这些病变完全消失。神经精神性系统性红斑狼疮中伴有或不伴有白质脑病的弥漫性脑水肿是一种极其罕见的情况。