• 文献检索
  • 文档翻译
  • 深度研究
  • 学术资讯
  • Suppr Zotero 插件Zotero 插件
  • 邀请有礼
  • 套餐&价格
  • 历史记录
应用&插件
Suppr Zotero 插件Zotero 插件浏览器插件Mac 客户端Windows 客户端微信小程序
定价
高级版会员购买积分包购买API积分包
服务
文献检索文档翻译深度研究API 文档MCP 服务
关于我们
关于 Suppr公司介绍联系我们用户协议隐私条款
关注我们

Suppr 超能文献

核心技术专利:CN118964589B侵权必究
粤ICP备2023148730 号-1Suppr @ 2026

文献检索

告别复杂PubMed语法,用中文像聊天一样搜索,搜遍4000万医学文献。AI智能推荐,让科研检索更轻松。

立即免费搜索

文件翻译

保留排版,准确专业,支持PDF/Word/PPT等文件格式,支持 12+语言互译。

免费翻译文档

深度研究

AI帮你快速写综述,25分钟生成高质量综述,智能提取关键信息,辅助科研写作。

立即免费体验

辛伐他汀通过上调 Survivin/NF-κB/p65 通路改善内毒素诱导的急性肺损伤和肺泡上皮细胞凋亡。

Amelioration of Endotoxin-Induced Acute Lung Injury and Alveolar Epithelial Cells Apoptosis by Simvastatin Is Associated with Up-Regulation of Survivin/NF-kB/p65 Pathway.

机构信息

Department of Pharmacology, Toxicology and Clinical Pharmacology, Faculty of Medicine, University of Banja Luka, 14 Save Mrkalja St., 78000 Banja Luka, Bosnia and Herzegovina.

Center for Biomedical Research, Faculty of Medicine, University of Banja Luka, 14 Save Mrkalja St., 78000 Banja Luka, Bosnia and Herzegovina.

出版信息

Int J Mol Sci. 2022 Feb 26;23(5):2596. doi: 10.3390/ijms23052596.

DOI:10.3390/ijms23052596
PMID:35269738
原文链接:https://pmc.ncbi.nlm.nih.gov/articles/PMC8910433/
Abstract

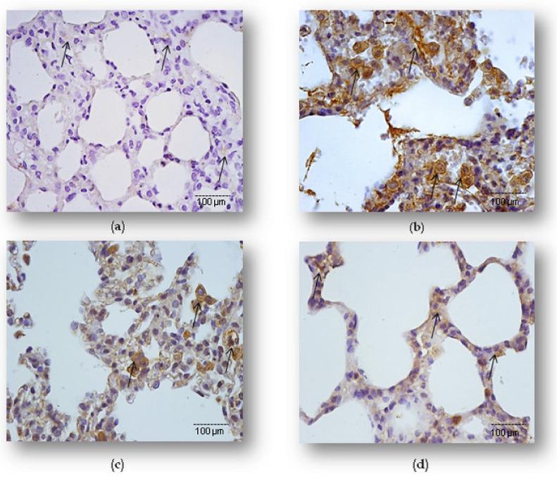
Disruption of the alveolar−endothelial barrier caused by inflammation leads to the progression of septic acute lung injury (ALI). In the present study, we investigated the beneficial effects of simvastatin on the endotoxin lipopolysaccharide (LPS)-induced ALI and its related mechanisms. A model of ALI was induced within experimental sepsis developed by intraperitoneal injection of a single non-lethal LPS dose after short-term simvastatin pretreatment (10−40 mg/kg orally). The severity of the lung tissue inflammatory injury was expressed as pulmonary damage scores (PDS). Alveolar epithelial cell apoptosis was confirmed by TUNEL assay (DNA fragmentation) and expressed as an apoptotic index (AI), and immunohistochemically for cleaved caspase-3, cytochrome C, and anti-apoptotic Bcl-xL, an inhibitor of apoptosis, survivin, and transcriptional factor, NF-kB/p65. Severe inflammatory injury of pulmonary parenchyma (PDS 3.33 ± 0.48) was developed after the LPS challenge, whereas simvastatin significantly and dose-dependently protected lung histology after LPS (p < 0.01). Simvastatin in a dose of 40 mg/kg showed the most significant effects in amelioration alveolar epithelial cells apoptosis, demonstrating this as a marked decrease of AI (p < 0.01 vs. LPS), cytochrome C, and cleaved caspase-3 expression. Furthermore, simvastatin significantly enhanced the expression of Bcl-xL and survivin. Finally, the expression of survivin and its regulator NF-kB/p65 in the alveolar epithelium was in strong positive correlation across the groups. Simvastatin could play a protective role against LPS-induced ALI and apoptosis of the alveolar−endothelial barrier. Taken together, these effects were seemingly mediated by inhibition of caspase 3 and cytochrome C, a finding that might be associated with the up-regulation of cell-survival survivin/NF-kB/p65 pathway and Bcl-xL.

摘要

炎症导致的肺泡-内皮屏障破坏可导致脓毒症性急性肺损伤(ALI)进展。在本研究中,我们研究了辛伐他汀对脂多糖(LPS)诱导的 ALI 的有益作用及其相关机制。在通过腹腔注射单次非致死性 LPS 剂量建立实验性脓毒症后,用短期辛伐他汀预处理(口服 10-40mg/kg)来诱导 ALI 模型。肺组织炎症损伤的严重程度用肺损伤评分(PDS)表示。用 TUNEL 检测(DNA 片段化)和凋亡指数(AI)来确认肺泡上皮细胞凋亡,并通过免疫组化检测裂解的 caspase-3、细胞色素 C 和凋亡抑制因子 Bcl-xL、凋亡抑制剂 survivin、转录因子 NF-kB/p65。LPS 攻击后,肺实质出现严重的炎症损伤(PDS 3.33±0.48),而辛伐他汀能显著地、剂量依赖性地减轻 LPS 后的肺组织病理学损伤(p<0.01)。40mg/kg 辛伐他汀在改善肺泡上皮细胞凋亡方面表现出最显著的效果,表现为 AI(p<0.01 与 LPS 相比)、细胞色素 C 和裂解的 caspase-3 表达明显降低。此外,辛伐他汀还显著增强了 Bcl-xL 和 survivin 的表达。最后,各组间肺泡上皮细胞中 survivin 及其调节因子 NF-kB/p65 的表达呈强正相关。辛伐他汀可对 LPS 诱导的 ALI 和肺泡-内皮屏障的凋亡发挥保护作用。总之,这些作用似乎是通过抑制 caspase 3 和细胞色素 C 介导的,这可能与细胞存活的 survivin/NF-kB/p65 途径和 Bcl-xL 的上调有关。

https://cdn.ncbi.nlm.nih.gov/pmc/blobs/8425/8910433/b4729c703c32/ijms-23-02596-g011.jpg
https://cdn.ncbi.nlm.nih.gov/pmc/blobs/8425/8910433/699d7ad4c023/ijms-23-02596-g001.jpg
https://cdn.ncbi.nlm.nih.gov/pmc/blobs/8425/8910433/95693e8ad7f2/ijms-23-02596-g002.jpg
https://cdn.ncbi.nlm.nih.gov/pmc/blobs/8425/8910433/b87c685d8fa7/ijms-23-02596-g003a.jpg
https://cdn.ncbi.nlm.nih.gov/pmc/blobs/8425/8910433/4bc0327f4b9e/ijms-23-02596-g004.jpg
https://cdn.ncbi.nlm.nih.gov/pmc/blobs/8425/8910433/7b9a565d0ce8/ijms-23-02596-g005.jpg
https://cdn.ncbi.nlm.nih.gov/pmc/blobs/8425/8910433/03a8fedfa51f/ijms-23-02596-g006.jpg
https://cdn.ncbi.nlm.nih.gov/pmc/blobs/8425/8910433/7119cabca0ad/ijms-23-02596-g007.jpg
https://cdn.ncbi.nlm.nih.gov/pmc/blobs/8425/8910433/b5244e557841/ijms-23-02596-g008.jpg
https://cdn.ncbi.nlm.nih.gov/pmc/blobs/8425/8910433/57ec3ecfab88/ijms-23-02596-g009.jpg
https://cdn.ncbi.nlm.nih.gov/pmc/blobs/8425/8910433/2821d2c1126c/ijms-23-02596-g010.jpg
https://cdn.ncbi.nlm.nih.gov/pmc/blobs/8425/8910433/b4729c703c32/ijms-23-02596-g011.jpg
https://cdn.ncbi.nlm.nih.gov/pmc/blobs/8425/8910433/699d7ad4c023/ijms-23-02596-g001.jpg
https://cdn.ncbi.nlm.nih.gov/pmc/blobs/8425/8910433/95693e8ad7f2/ijms-23-02596-g002.jpg
https://cdn.ncbi.nlm.nih.gov/pmc/blobs/8425/8910433/b87c685d8fa7/ijms-23-02596-g003a.jpg
https://cdn.ncbi.nlm.nih.gov/pmc/blobs/8425/8910433/4bc0327f4b9e/ijms-23-02596-g004.jpg
https://cdn.ncbi.nlm.nih.gov/pmc/blobs/8425/8910433/7b9a565d0ce8/ijms-23-02596-g005.jpg
https://cdn.ncbi.nlm.nih.gov/pmc/blobs/8425/8910433/03a8fedfa51f/ijms-23-02596-g006.jpg
https://cdn.ncbi.nlm.nih.gov/pmc/blobs/8425/8910433/7119cabca0ad/ijms-23-02596-g007.jpg
https://cdn.ncbi.nlm.nih.gov/pmc/blobs/8425/8910433/b5244e557841/ijms-23-02596-g008.jpg
https://cdn.ncbi.nlm.nih.gov/pmc/blobs/8425/8910433/57ec3ecfab88/ijms-23-02596-g009.jpg
https://cdn.ncbi.nlm.nih.gov/pmc/blobs/8425/8910433/2821d2c1126c/ijms-23-02596-g010.jpg
https://cdn.ncbi.nlm.nih.gov/pmc/blobs/8425/8910433/b4729c703c32/ijms-23-02596-g011.jpg

相似文献

1
Amelioration of Endotoxin-Induced Acute Lung Injury and Alveolar Epithelial Cells Apoptosis by Simvastatin Is Associated with Up-Regulation of Survivin/NF-kB/p65 Pathway.辛伐他汀通过上调 Survivin/NF-κB/p65 通路改善内毒素诱导的急性肺损伤和肺泡上皮细胞凋亡。
Int J Mol Sci. 2022 Feb 26;23(5):2596. doi: 10.3390/ijms23052596.
2
Protective Effects of Simvastatin on Endotoxin-Induced Acute Kidney Injury through Activation of Tubular Epithelial Cells' Survival and Hindering Cytochrome C-Mediated Apoptosis.辛伐他汀通过激活肾小管上皮细胞的存活和抑制细胞色素 C 介导的凋亡对内毒素诱导的急性肾损伤的保护作用。
Int J Mol Sci. 2020 Sep 30;21(19):7236. doi: 10.3390/ijms21197236.
3
Simvastatin Protects Cardiomyocytes Against Endotoxin-induced Apoptosis and Up-regulates Survivin/NF-κB/p65 Expression.辛伐他汀通过上调 Survivin/NF-κB/p65 表达对心肌细胞发挥抗内毒素诱导的凋亡作用。
Sci Rep. 2018 Oct 2;8(1):14652. doi: 10.1038/s41598-018-32376-4.
4
Simvastatin Inhibits Endotoxin-Induced Apoptosis in Liver and Spleen Through Up-Regulation of Survivin/NF-κB/p65 Expression.辛伐他汀通过上调生存素/NF-κB/p65表达抑制内毒素诱导的肝脏和脾脏细胞凋亡。
Front Pharmacol. 2019 Feb 15;10:54. doi: 10.3389/fphar.2019.00054. eCollection 2019.
5
Regulatory mechanism of NOV/CCN3 in the inflammation and apoptosis of lung epithelial alveolar cells upon lipopolysaccharide stimulation.NOV/CCN3 在脂多糖刺激肺上皮肺泡细胞炎症和凋亡中的调控机制。
Mol Med Rep. 2020 Apr;21(4):1872-1880. doi: 10.3892/mmr.2019.10655. Epub 2019 Sep 9.
6
Shufeng Jiedu capsule inhibits inflammation and apoptosis by activating A2AAR and inhibiting NF-κB to alleviate LPS-induced ALI.疏风解毒胶囊通过激活 A2AAR 和抑制 NF-κB 抑制炎症和凋亡,从而减轻 LPS 诱导的 ALI。
J Ethnopharmacol. 2022 Nov 15;298:115661. doi: 10.1016/j.jep.2022.115661. Epub 2022 Aug 21.
7
Jinhua Qinggan granules attenuates acute lung injury by promotion of neutrophil apoptosis and inhibition of TLR4/MyD88/NF-κB pathway.金花清肝颗粒通过促进中性粒细胞凋亡和抑制 TLR4/MyD88/NF-κB 通路减轻急性肺损伤。
J Ethnopharmacol. 2023 Jan 30;301:115763. doi: 10.1016/j.jep.2022.115763. Epub 2022 Sep 29.
8
Lianhuaqingwen alleviates p53-mediated apoptosis in alveolar epithelial cells to prevent LPS-induced ALI.连花清瘟通过减轻 p53 介导的肺泡上皮细胞凋亡预防 LPS 诱导的 ALI。
J Pharm Pharmacol. 2022 Aug 19;74(8):1117-1124. doi: 10.1093/jpp/rgac035.
9
Reticulocalbin 3 deficiency in alveolar epithelium attenuated LPS-induced ALI via NF-κB signaling.肺泡上皮细胞中网状钙结合蛋白 3 缺乏通过 NF-κB 信号通路减轻 LPS 诱导的 ALI。
Am J Physiol Lung Cell Mol Physiol. 2021 Apr 1;320(4):L627-L639. doi: 10.1152/ajplung.00526.2020. Epub 2021 Feb 24.
10
S100A9 exacerbates sepsis-induced acute lung injury via the IL17-NFκB-caspase-3 signaling pathway.S100A9 通过 IL17-NFκB-caspase-3 信号通路加重脓毒症诱导的急性肺损伤。
Biochem Biophys Res Commun. 2024 May 28;710:149832. doi: 10.1016/j.bbrc.2024.149832. Epub 2024 Mar 26.

引用本文的文献

1
Alveolar epithelial cells in bacterial sepsis-associated acute lung injury: mechanisms and therapeutic strategies.细菌败血症相关急性肺损伤中的肺泡上皮细胞:机制与治疗策略
Front Immunol. 2025 Aug 6;16:1605797. doi: 10.3389/fimmu.2025.1605797. eCollection 2025.
2
Effects of simvastatin pretreatment on platelet activation and hypercoagulable state in septic mice.辛伐他汀预处理对脓毒症小鼠血小板活化和高凝状态的影响。
Eur J Med Res. 2025 May 27;30(1):422. doi: 10.1186/s40001-025-02677-2.
3
Stem cell therapy for intervertebral disc degeneration: Clinical progress with exosomes and gene vectors.

本文引用的文献

1
Pravastatin attenuates sepsis-induced acute lung injury through decreasing pulmonary microvascular permeability via inhibition of Cav-1/eNOS pathway.普伐他汀通过抑制Cav-1/eNOS途径降低肺微血管通透性,从而减轻脓毒症诱导的急性肺损伤。
Int Immunopharmacol. 2021 Nov;100:108077. doi: 10.1016/j.intimp.2021.108077. Epub 2021 Aug 28.
2
The Immunopathological and Histological Landscape of COVID-19-Mediated Lung Injury.新型冠状病毒病介导的肺损伤的免疫病理和组织学特征。
Int J Mol Sci. 2021 Jan 19;22(2):974. doi: 10.3390/ijms22020974.
3
The Role of Structure and Biophysical Properties in the Pleiotropic Effects of Statins.
用于椎间盘退变的干细胞疗法:外泌体和基因载体的临床进展
World J Stem Cells. 2025 Apr 26;17(4):102945. doi: 10.4252/wjsc.v17.i4.102945.
4
Advances in anti-inflammatory treatment of sepsis-associated acute respiratory distress syndrome.脓毒症相关急性呼吸窘迫综合征抗炎治疗的进展
Inflamm Res. 2025 Apr 29;74(1):74. doi: 10.1007/s00011-025-02043-2.
5
Simvastatin mitigates ventilator-induced lung injury in mice with acute respiratory distress syndrome via a mechanism partly dependent on neutrophil extracellular traps.辛伐他汀通过一种部分依赖于中性粒细胞胞外陷阱的机制减轻急性呼吸窘迫综合征小鼠的呼吸机诱导性肺损伤。
Eur J Med Res. 2025 Apr 17;30(1):302. doi: 10.1186/s40001-025-02544-0.
6
L. alleviates acute lung injury in human A-549 cells by reducing NF-κB and NLRP3 inflammasome signaling.L通过降低NF-κB和NLRP3炎性小体信号传导减轻人A-549细胞中的急性肺损伤。
Pharm Biol. 2025 Dec;63(1):1-13. doi: 10.1080/13880209.2024.2433994. Epub 2024 Dec 13.
7
CircRBM33 competitively binds miR-15a-5p to mediate EZH1 expression to ameliorate sepsis-induced acute lung injury.环状RNA RBM33通过竞争性结合miR-15a-5p来介导EZH1表达,从而改善脓毒症诱导的急性肺损伤。
Clinics (Sao Paulo). 2024 Dec 11;80:100550. doi: 10.1016/j.clinsp.2024.100550. eCollection 2025.
8
OAS3 Deubiquitination Due to E3 Ligase TRIM21 Downregulation Promotes Epithelial Cell Apoptosis and Drives Sepsis-induced Acute Lung Injury.OAS3 通过去泛素化酶 E3 连接酶 TRIM21 的下调促进上皮细胞凋亡并驱动脓毒症诱导的急性肺损伤。
Int J Biol Sci. 2024 Oct 14;20(14):5594-5607. doi: 10.7150/ijbs.96089. eCollection 2024.
9
Liraglutide Protects Cardiomyocytes against Isoprenaline-Induced Apoptosis in Experimental Takotsubo Syndrome.利拉鲁肽在实验性应激性心肌病中保护心肌细胞免受异丙肾上腺素诱导的凋亡。
Biomedicines. 2024 May 29;12(6):1207. doi: 10.3390/biomedicines12061207.
10
Saponins from Attenuate Endothelial Inflammation and Acute Lung Injury via the NF-κB/VCAM-1 Pathway.三萜皂苷通过 NF-κB/VCAM-1 通路减轻内皮炎症和急性肺损伤。
Molecules. 2024 Mar 11;29(6):1239. doi: 10.3390/molecules29061239.
他汀类药物多效性的结构和生物物理特性作用。
Int J Mol Sci. 2020 Nov 19;21(22):8745. doi: 10.3390/ijms21228745.
4
Protective Effects of Simvastatin on Endotoxin-Induced Acute Kidney Injury through Activation of Tubular Epithelial Cells' Survival and Hindering Cytochrome C-Mediated Apoptosis.辛伐他汀通过激活肾小管上皮细胞的存活和抑制细胞色素 C 介导的凋亡对内毒素诱导的急性肾损伤的保护作用。
Int J Mol Sci. 2020 Sep 30;21(19):7236. doi: 10.3390/ijms21197236.
5
Ameliorative effects of silymarin on HCl-induced acute lung injury in rats; role of the Nrf-2/HO-1 pathway.水飞蓟素对盐酸诱导的大鼠急性肺损伤的改善作用;Nrf-2/HO-1信号通路的作用
Iran J Basic Med Sci. 2019 Dec;22(12):1483-1492. doi: 10.22038/IJBMS.2019.14069.
6
Cardiomyopathy induced by T-2 toxin in rats.T-2 毒素致大鼠心肌病。
Food Chem Toxicol. 2020 Mar;137:111138. doi: 10.1016/j.fct.2020.111138. Epub 2020 Jan 22.
7
Acute Toxic Injuries of Rat's Visceral Tissues Induced by Different Oximes.不同肟类化合物致大鼠内脏组织急性毒损伤。
Sci Rep. 2019 Nov 11;9(1):16425. doi: 10.1038/s41598-019-52768-4.
8
Efficacy of methylprednisolone on T-2 toxin-induced cardiotoxicity in vivo: A pathohistological study.甲泼尼龙对 T-2 毒素体内诱导的心脏毒性的疗效:一项病理组织学研究。
Environ Toxicol Pharmacol. 2019 Oct;71:103221. doi: 10.1016/j.etap.2019.103221. Epub 2019 Jul 19.
9
The Structural Biology of Bcl-x.Bcl-x 的结构生物学
Int J Mol Sci. 2019 May 7;20(9):2234. doi: 10.3390/ijms20092234.
10
Simvastatin Inhibits Endotoxin-Induced Apoptosis in Liver and Spleen Through Up-Regulation of Survivin/NF-κB/p65 Expression.辛伐他汀通过上调生存素/NF-κB/p65表达抑制内毒素诱导的肝脏和脾脏细胞凋亡。
Front Pharmacol. 2019 Feb 15;10:54. doi: 10.3389/fphar.2019.00054. eCollection 2019.