• 文献检索
  • 文档翻译
  • 深度研究
  • 学术资讯
  • Suppr Zotero 插件Zotero 插件
  • 邀请有礼
  • 套餐&价格
  • 历史记录
应用&插件
Suppr Zotero 插件Zotero 插件浏览器插件Mac 客户端Windows 客户端微信小程序
定价
高级版会员购买积分包购买API积分包
服务
文献检索文档翻译深度研究API 文档MCP 服务
关于我们
关于 Suppr公司介绍联系我们用户协议隐私条款
关注我们

Suppr 超能文献

核心技术专利:CN118964589B侵权必究
粤ICP备2023148730 号-1Suppr @ 2026

文献检索

告别复杂PubMed语法,用中文像聊天一样搜索,搜遍4000万医学文献。AI智能推荐,让科研检索更轻松。

立即免费搜索

文件翻译

保留排版,准确专业,支持PDF/Word/PPT等文件格式,支持 12+语言互译。

免费翻译文档

深度研究

AI帮你快速写综述,25分钟生成高质量综述,智能提取关键信息,辅助科研写作。

立即免费体验

水飞蓟素对盐酸诱导的大鼠急性肺损伤的改善作用;Nrf-2/HO-1信号通路的作用

Ameliorative effects of silymarin on HCl-induced acute lung injury in rats; role of the Nrf-2/HO-1 pathway.

作者信息

Ahmed Rasha F, Moussa Rabab A, Eldemerdash Reda S, Zakaria Mahmoud M, Abdel-Gaber Seham A

机构信息

Department of Medical Biochemistry, Faculty of Medicine, Minia University, 61511 Minia, Egypt.

Department of Pathology, Faculty of Medicine, Minia University, 61511 Minia, Egypt.

出版信息

Iran J Basic Med Sci. 2019 Dec;22(12):1483-1492. doi: 10.22038/IJBMS.2019.14069.

DOI:10.22038/IJBMS.2019.14069
PMID:32133068
原文链接:https://pmc.ncbi.nlm.nih.gov/articles/PMC7043873/
Abstract

OBJECTIVES

Aspiration is a common cause of acute lung injury (ALI), which lacks an effective treatment. Inflammation and oxidative stress play key roles in ALI development. Silymarin is an active extract of Silybum marianum plant seeds (milk thistle). Silymarin has potent anti-inflammatory and antioxidant effects; however its role in aspiration induced ALI has not been investigated. The aim of this study is to investigate the role of silymarin in the treatment of hydrochloric acid (HCl) aspiration induced ALI and explores its mechanisms of action.

MATERIALS AND METHODS

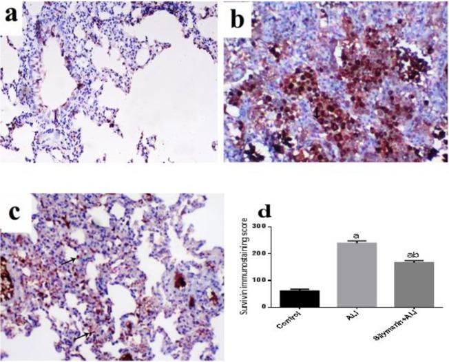
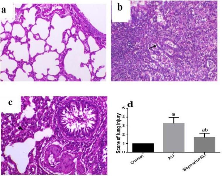
The study included three groups of rats: Control non-treated group, ALI group (intra-tracheal HCl injected), and silymarin treated ALI group. White blood cells (WBCs) with differential count, oxidative stress parameters, B-cell lymphoma 2 (Bcl-2), transforming growth factor-beta (TGF-β), cyclooxygenase 2 (COX-2), nuclear factor erythroid 2-related factor-2 (Nrf-2), and heme oxygenase-1 (HO-1) were investigated. Lung tissue histopathology and immunohistochemical expression of survivin and proliferating cell nuclear antigen (PCNA) were also examined.

RESULTS

The results of the study showed that HCL caused histopathological changes in ALI with leukocytopenia and increased oxidative stress biomarkers. It increased TGF-β, up-regulated mRNA expression of COX-2, Nrf-2, and HO-1 and increased survivin and PCNA but decreased Bcl-2. Silymarin ameliorated the histopathological lung injury with further up-regulation of Nrf-2 and HO-1 mRNA and decreased the inflammatory and fibrotic parameters together with up-regulation of the anti-apoptotic and the proliferation parameters.

CONCLUSION

The protective effect of silymarin against ALI is mediated by Nrf-2/HO-1 pathway with subsequent antioxidant, anti-inflammatory, antiapoptotic, and proliferating activities.

摘要

目的

误吸是急性肺损伤(ALI)的常见病因,目前缺乏有效治疗方法。炎症和氧化应激在ALI的发生发展中起关键作用。水飞蓟素是水飞蓟植物种子(奶蓟)的活性提取物。水飞蓟素具有强大的抗炎和抗氧化作用;然而,其在误吸诱导的ALI中的作用尚未得到研究。本研究旨在探讨水飞蓟素在治疗盐酸(HCl)误吸诱导的ALI中的作用,并探索其作用机制。

材料与方法

本研究包括三组大鼠:对照组(未处理)、ALI组(气管内注射HCl)和水飞蓟素治疗的ALI组。检测白细胞(WBC)及其分类计数、氧化应激参数、B细胞淋巴瘤2(Bcl-2)、转化生长因子-β(TGF-β)、环氧化酶2(COX-2)、核因子红细胞2相关因子2(Nrf-2)和血红素加氧酶-1(HO-1)。还检查了肺组织的组织病理学以及生存素和增殖细胞核抗原(PCNA)的免疫组化表达。

结果

研究结果表明,HCl导致ALI出现组织病理学变化,伴有白细胞减少和氧化应激生物标志物增加。它增加了TGF-β,上调了COX-2、Nrf-2和HO-1的mRNA表达,增加了生存素和PCNA,但降低了Bcl-2。水飞蓟素改善了肺组织病理学损伤,进一步上调了Nrf-2和HO-1 mRNA,并降低了炎症和纤维化参数,同时上调了抗凋亡和增殖参数。

结论

水飞蓟素对ALI的保护作用是通过Nrf-2/HO-1途径介导的,随后具有抗氧化、抗炎、抗凋亡和增殖活性。

https://cdn.ncbi.nlm.nih.gov/pmc/blobs/48ef/7043873/89131e2850e6/IJBMS-22-1483-g006.jpg
https://cdn.ncbi.nlm.nih.gov/pmc/blobs/48ef/7043873/40364c800e92/IJBMS-22-1483-g001.jpg
https://cdn.ncbi.nlm.nih.gov/pmc/blobs/48ef/7043873/66c8f0c34704/IJBMS-22-1483-g002.jpg
https://cdn.ncbi.nlm.nih.gov/pmc/blobs/48ef/7043873/e2109d48b183/IJBMS-22-1483-g003.jpg
https://cdn.ncbi.nlm.nih.gov/pmc/blobs/48ef/7043873/b99a70d063bc/IJBMS-22-1483-g004.jpg
https://cdn.ncbi.nlm.nih.gov/pmc/blobs/48ef/7043873/2ea4ca57e685/IJBMS-22-1483-g005.jpg
https://cdn.ncbi.nlm.nih.gov/pmc/blobs/48ef/7043873/89131e2850e6/IJBMS-22-1483-g006.jpg
https://cdn.ncbi.nlm.nih.gov/pmc/blobs/48ef/7043873/40364c800e92/IJBMS-22-1483-g001.jpg
https://cdn.ncbi.nlm.nih.gov/pmc/blobs/48ef/7043873/66c8f0c34704/IJBMS-22-1483-g002.jpg
https://cdn.ncbi.nlm.nih.gov/pmc/blobs/48ef/7043873/e2109d48b183/IJBMS-22-1483-g003.jpg
https://cdn.ncbi.nlm.nih.gov/pmc/blobs/48ef/7043873/b99a70d063bc/IJBMS-22-1483-g004.jpg
https://cdn.ncbi.nlm.nih.gov/pmc/blobs/48ef/7043873/2ea4ca57e685/IJBMS-22-1483-g005.jpg
https://cdn.ncbi.nlm.nih.gov/pmc/blobs/48ef/7043873/89131e2850e6/IJBMS-22-1483-g006.jpg

相似文献

1
Ameliorative effects of silymarin on HCl-induced acute lung injury in rats; role of the Nrf-2/HO-1 pathway.水飞蓟素对盐酸诱导的大鼠急性肺损伤的改善作用;Nrf-2/HO-1信号通路的作用
Iran J Basic Med Sci. 2019 Dec;22(12):1483-1492. doi: 10.22038/IJBMS.2019.14069.
2
Inhibition of endotoxin-induced acute lung injury in rats by bone marrow-derived mesenchymal stem cells: Role of Nrf2/HO-1 signal axis in inhibition of NLRP3 activation.骨髓间充质干细胞抑制内毒素诱导的大鼠急性肺损伤:Nrf2/HO-1 信号轴在抑制 NLRP3 活化中的作用。
Biochem Biophys Res Commun. 2021 Apr 30;551:7-13. doi: 10.1016/j.bbrc.2021.03.009. Epub 2021 Mar 10.
3
Silymarin attenuates paraquat-induced lung injury via Nrf2-mediated pathway in vivo and in vitro.水飞蓟素通过Nrf2介导的途径在体内和体外减轻百草枯诱导的肺损伤。
Clin Exp Pharmacol Physiol. 2015 Sep;42(9):988-998. doi: 10.1111/1440-1681.12448.
4
Alleviation of Acute Lung Injury in Rats with Sepsis by Resveratrol via the Phosphatidylinositol 3-Kinase/Nuclear Factor-Erythroid 2 Related Factor 2/Heme Oxygenase-1 (PI3K/Nrf2/HO-1) Pathway.白藜芦醇通过磷脂酰肌醇 3-激酶/核因子红细胞 2 相关因子 2/血红素加氧酶-1(PI3K/Nrf2/HO-1)通路减轻脓毒症大鼠急性肺损伤。
Med Sci Monit. 2018 May 30;24:3604-3611. doi: 10.12659/MSM.910245.
5
Mesenchymal stem cells alleviate hydrochloric acid-induced lung injury through suppression of inflammation, oxidative stress and apoptosis in comparison to moxifloxacin and sildenafil.与莫西沙星和西地那非相比,间充质干细胞通过抑制炎症、氧化应激和细胞凋亡来减轻盐酸诱导的肺损伤。
Heliyon. 2019 Dec 3;5(12):e02710. doi: 10.1016/j.heliyon.2019.e02710. eCollection 2019 Dec.
6
Mesenchymal stem cells overexpressing heme oxygenase-1 ameliorate lipopolysaccharide-induced acute lung injury in rats.过表达血红素氧合酶-1 的间充质干细胞改善脂多糖诱导的大鼠急性肺损伤。
J Cell Physiol. 2019 May;234(5):7301-7319. doi: 10.1002/jcp.27488. Epub 2018 Oct 26.
7
Crocetin Suppresses Uterine Ischemia/Reperfusion-induced Inflammation and Apoptosis through the Nrf-2/HO-1 Pathway.西红花酸通过 Nrf-2/HO-1 通路抑制子宫缺血再灌注诱导的炎症和细胞凋亡。
Curr Mol Med. 2023;23(6):527-535. doi: 10.2174/1566524022666220520141943.
8
Nerolidol Suppresses the Inflammatory Response during Lipopolysaccharide-Induced Acute Lung Injury via the Modulation of Antioxidant Enzymes and the AMPK/Nrf-2/HO-1 Pathway.橙花叔醇通过调节抗氧化酶和 AMPK/Nrf-2/HO-1 通路抑制脂多糖诱导的急性肺损伤中的炎症反应。
Oxid Med Cell Longev. 2019 Nov 16;2019:9605980. doi: 10.1155/2019/9605980. eCollection 2019.
9
Protective Effects of Rhizoma on Lipopolysaccharide-Induced Acute Lung Injury via TLR4/NF-κB and Keap1/Nrf2 Signaling Pathways In Vitro and In Vivo.体外和体内研究姜黄根茎对 TLR4/NF-κB 和 Keap1/Nrf2 信号通路介导的脂多糖诱导的急性肺损伤的保护作用。
Int J Mol Sci. 2022 Dec 17;23(24):16134. doi: 10.3390/ijms232416134.
10
The hepatoprotective effect of sitagliptin against hepatic ischemia reperfusion-induced injury in rats involves Nrf-2/HO-1 pathway.西他列汀对大鼠肝缺血再灌注损伤的肝保护作用涉及 Nrf-2/HO-1 通路。
Pharmacol Rep. 2019 Dec;71(6):1044-1049. doi: 10.1016/j.pharep.2019.06.006. Epub 2019 Jun 14.

引用本文的文献

1
Bioimpedance measurements of fibrotic and acutely injured lung tissues.纤维化和急性损伤肺组织的生物电阻抗测量。
Acta Biomater. 2025 Mar 1;194:270-287. doi: 10.1016/j.actbio.2025.01.039. Epub 2025 Jan 25.
2
The clinical anti-inflammatory effects and underlying mechanisms of silymarin.水飞蓟素的临床抗炎作用及其潜在机制。
iScience. 2024 Oct 9;27(11):111109. doi: 10.1016/j.isci.2024.111109. eCollection 2024 Nov 15.
3
Silymarin and Inflammation: Food for Thoughts.水飞蓟素与炎症:值得思考的问题。

本文引用的文献

1
Mechanism mediating the protective effect of diacerein in ischemia-reperfusion-induced testicular injury in rats.二乙酰氨己酸介导二乙酰氨己酸在大鼠缺血再灌注诱导的睾丸损伤中的保护作用机制。
Life Sci. 2018 Sep 15;209:57-62. doi: 10.1016/j.lfs.2018.07.060. Epub 2018 Aug 1.
2
Characterization of the seven-day course of pulmonary response following unilateral lung acid injury in rats.大鼠单侧肺酸伤后 7 天肺部反应过程的特征。
PLoS One. 2018 Jun 4;13(6):e0198440. doi: 10.1371/journal.pone.0198440. eCollection 2018.
3
Cordycepin alleviates lipopolysaccharide-induced acute lung injury via Nrf2/HO-1 pathway.
Antioxidants (Basel). 2024 Jan 14;13(1):98. doi: 10.3390/antiox13010098.
4
The Radiosensitizing Potentials of Silymarin/Silibinin in Cancer: A Systematic Review.水飞蓟素/水飞蓟宾在癌症放射增敏中的作用:系统评价。
Curr Med Chem. 2024;31(42):6992-7014. doi: 10.2174/0109298673248404231006052436.
5
Evaluation of the Protective Effect of Citral, Silymarin, and Thymoquinone on Methotrexate-Induced Lung Injury in Rats.柠檬醛、水飞蓟宾和百里醌对甲氨蝶呤诱导的大鼠肺损伤的保护作用评估
J Pharmacopuncture. 2023 Jun 30;26(2):184-191. doi: 10.3831/KPI.2023.26.2.184.
6
A systematic review of the protective effects of silymarin/silibinin against doxorubicin-induced cardiotoxicity.水飞蓟素/水飞蓟宾对阿霉素诱导的心脏毒性保护作用的系统评价。
Cancer Cell Int. 2023 May 10;23(1):88. doi: 10.1186/s12935-023-02936-4.
7
Combined Silymarin and Cotrimoxazole Therapy Attenuates Pulmonary Fibrosis in Experimental Paracoccidioidomycosis.水飞蓟素与复方新诺明联合治疗减轻实验性副球孢子菌病中的肺纤维化。
J Fungi (Basel). 2022 Sep 27;8(10):1010. doi: 10.3390/jof8101010.
8
Design and optimization of silymarin loaded in lyophilized fast melt tablets to attenuate lung toxicity induced HgCl in rats.水飞蓟宾冻干速溶片的设计与优化,以减轻 HgCl 诱导的大鼠肺毒性。
Drug Deliv. 2022 Dec;29(1):1299-1311. doi: 10.1080/10717544.2022.2068696.
9
Amelioration of Endotoxin-Induced Acute Lung Injury and Alveolar Epithelial Cells Apoptosis by Simvastatin Is Associated with Up-Regulation of Survivin/NF-kB/p65 Pathway.辛伐他汀通过上调 Survivin/NF-κB/p65 通路改善内毒素诱导的急性肺损伤和肺泡上皮细胞凋亡。
Int J Mol Sci. 2022 Feb 26;23(5):2596. doi: 10.3390/ijms23052596.
10
Effect of Silymarin Supplementation in Lung and Liver Histological Modifications during Exercise Training in a Rodent Model.水飞蓟素补充剂对啮齿动物模型运动训练期间肺和肝脏组织学改变的影响。
J Funct Morphol Kinesiol. 2021 Aug 30;6(3):72. doi: 10.3390/jfmk6030072.
虫草素通过 Nrf2/HO-1 通路减轻脂多糖诱导的急性肺损伤。
Int Immunopharmacol. 2018 Jul;60:18-25. doi: 10.1016/j.intimp.2018.04.032. Epub 2018 Apr 24.
4
Neutrophil extracellular traps contribute to the pathogenesis of acid-aspiration-induced ALI/ARDS.中性粒细胞胞外诱捕网参与酸吸入诱导的急性肺损伤/急性呼吸窘迫综合征的发病机制。
Oncotarget. 2017 Nov 28;9(2):1772-1784. doi: 10.18632/oncotarget.22744. eCollection 2018 Jan 5.
5
Protective effects of silymarin on triptolide-induced acute hepatotoxicity in rats.水飞蓟素对雷公藤内酯醇诱导的大鼠急性肝毒性的保护作用。
Mol Med Rep. 2018 Jan;17(1):789-800. doi: 10.3892/mmr.2017.7958. Epub 2017 Nov 3.
6
Silymarin mitigates lung impairments in a rat model of acute respiratory distress syndrome.水飞蓟素可减轻急性呼吸窘迫综合征大鼠模型的肺部损伤。
Inflammopharmacology. 2018 Jun;26(3):747-754. doi: 10.1007/s10787-017-0407-3. Epub 2017 Nov 2.
7
Polydeoxyribonucleotide Ameliorates Lipopolysaccharide-Induced Lung Injury by Inhibiting Apoptotic Cell Death in Rats.聚脱氧核糖核苷酸通过抑制大鼠细胞凋亡减轻脂多糖诱导的肺损伤。
Int J Mol Sci. 2017 Aug 24;18(9):1847. doi: 10.3390/ijms18091847.
8
Quercetin and tin protoporphyrin attenuate hepatic ischemia reperfusion injury: role of HO-1.槲皮素和锡原卟啉减轻肝缺血再灌注损伤:HO-1 的作用。
Naunyn Schmiedebergs Arch Pharmacol. 2017 Sep;390(9):871-881. doi: 10.1007/s00210-017-1389-9. Epub 2017 Jun 6.
9
Flavonolignan 2,3-dehydrosilydianin activates Nrf2 and upregulates NAD(P)H:quinone oxidoreductase 1 in Hepa1c1c7 cells.黄酮木脂素2,3-脱氢水飞蓟宾激活Nrf2并上调Hepa1c1c7细胞中的NAD(P)H:醌氧化还原酶1 。
Fitoterapia. 2017 Jun;119:115-120. doi: 10.1016/j.fitote.2017.04.012. Epub 2017 Apr 24.
10
Activating transcription factor 3 (ATF3) protects against lipopolysaccharide-induced acute lung injury via inhibiting the expression of TL1A.活化转录因子3(ATF3)通过抑制TL1A的表达来预防脂多糖诱导的急性肺损伤。
J Cell Physiol. 2017 Dec;232(12):3727-3734. doi: 10.1002/jcp.25849. Epub 2017 May 15.