Suppr超能文献

366例口腔白斑病的人口统计学研究及免疫组织化学分析——一项机构性研究。

Demographic study of 366 cases of oral leukoplakia and immunohistochemical analysis - An institutional study.

作者信息

Ahire Manisha Sardar, D Souza Zaneta Ivy, Chettiankandy Tabita Joy, Nagar Saurabh R, Sinha Anuradha, Tupkari Jagdish V

机构信息

Department of Oral Pathology and Microbiology, Government Dental College and Hospital, St. George Hospital Campus, Mumbai, Maharashtra, India.

Department of Pathology, Advanced Centre for Treatment, Research and Education in Cancer, Tata Memorial Centre, Homi Bhabha National Institute, Mumbai, Maharashtra, India.

出版信息

J Oral Maxillofac Pathol. 2021 Sep-Dec;25(3):478-484. doi: 10.4103/jomfp.jomfp_228_21. Epub 2022 Jan 11.

Abstract

BACKGROUND

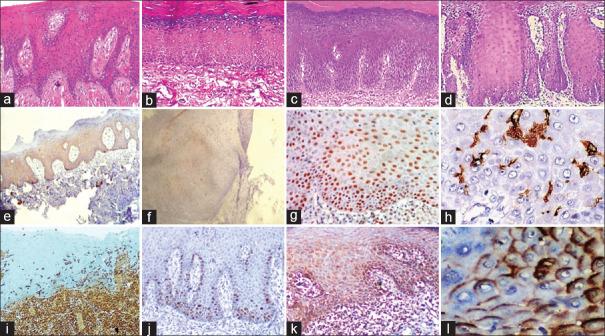
It has been reported that oral squamous cell carcinoma (OSCC) is associated with the presence of potentially malignant disorders (PMDs) in 15%-48% of cases. Among PMDs, oral leukoplakia (OL) is the most common, with 16%-62% of cases associated with OSCC. Hence, in the present study, we have analyzed demographic data and re-evaluated immunohistochemical (IHC) data of OL cases and aimed to correlate the clinical, histopathological and IHC aspects of OL.

MATERIALS AND METHODS

The data of histopathologically diagnosed cases of OL were retrieved from the archives. These data were further evaluated for age, gender, duration, site, size, side, habits, clinical staging and histopathological grading. IHC re-evaluation of OL tissues was done using epithelial cadherin (E-cadherin), = 20; human MutL homolog 1 (hMLH1), = 30; CD1a ( = 30); vimentin ( = 30); Ki-67 ( = 30); heat shock protein-70 (HSP-70), = 30; p16, = 20; and mucin-1 (MUC1), = 30. All the results and observations were subjected to descriptive statistical analysis.

RESULTS

The male: female ratio was 7.5:1; right side and buccal mucosa were more commonly affected. The duration of the lesion ranged from 1 to 30 years. One hundred and twelve patients were habituated to tobacco chewing, while 171 patients came with a combined habit of smoke and smokeless tobacco usage. Clinically, most of the lesions were of stage 2 while histopathologically they were of mild dysplasia. There was a decrease in the immunoexpression of E-cadherin, hMLH1 and CD1a, while there was an increase in the immunoexpression of vimentin, Ki-67, HSP-70, MUC1 and p16.

CONCLUSION

The study of different biomarkers such as cytoplasmic, membranous and nuclear in OL will help in better understanding and application of a reliable marker for diagnostic and prognostic purpose.

摘要

背景

据报道,在15%-48%的口腔鳞状细胞癌(OSCC)病例中,其与潜在恶性疾病(PMD)的存在有关。在PMD中,口腔白斑(OL)最为常见,16%-62%的OL病例与OSCC相关。因此,在本研究中,我们分析了OL病例的人口统计学数据并重新评估了免疫组化(IHC)数据,旨在关联OL的临床、组织病理学和IHC方面。

材料与方法

从档案中检索组织病理学诊断为OL的病例数据。进一步评估这些数据的年龄、性别、病程、部位、大小、侧别、习惯、临床分期和组织病理学分级。使用上皮钙黏蛋白(E-cadherin)(n = 20)、人MutL同源蛋白1(hMLH1)(n = 30)、CD1a(n = 30)、波形蛋白(n = 30)、Ki-67(n = 30)、热休克蛋白-70(HSP-70)(n = 30)、p16(n = 20)和黏蛋白-1(MUC1)(n = 30)对OL组织进行IHC重新评估。所有结果和观察均进行描述性统计分析。

结果

男女比例为7.5:1;右侧和颊黏膜更常受累。病变病程为1至30年。112例患者有咀嚼烟草的习惯,171例患者有吸烟和无烟烟草联合使用的习惯。临床上,大多数病变为2期,而组织病理学上为轻度发育异常。E-cadherin、hMLH1和CD1a的免疫表达降低,而波形蛋白、Ki-67、HSP-70、MUC1和p16的免疫表达增加。

结论

对OL中细胞质、细胞膜和细胞核等不同生物标志物的研究将有助于更好地理解和应用可靠的标志物用于诊断和预后目的。

https://cdn.ncbi.nlm.nih.gov/pmc/blobs/c501/8859585/89a23a62dac2/JOMFP-25-478-g001.jpg

文献检索

告别复杂PubMed语法,用中文像聊天一样搜索,搜遍4000万医学文献。AI智能推荐,让科研检索更轻松。

立即免费搜索

文件翻译

保留排版,准确专业,支持PDF/Word/PPT等文件格式,支持 12+语言互译。

免费翻译文档

深度研究

AI帮你快速写综述,25分钟生成高质量综述,智能提取关键信息,辅助科研写作。

立即免费体验