• 文献检索
  • 文档翻译
  • 深度研究
  • 学术资讯
  • Suppr Zotero 插件Zotero 插件
  • 邀请有礼
  • 套餐&价格
  • 历史记录
应用&插件
Suppr Zotero 插件Zotero 插件浏览器插件Mac 客户端Windows 客户端微信小程序
定价
高级版会员购买积分包购买API积分包
服务
文献检索文档翻译深度研究API 文档MCP 服务
关于我们
关于 Suppr公司介绍联系我们用户协议隐私条款
关注我们

Suppr 超能文献

核心技术专利:CN118964589B侵权必究
粤ICP备2023148730 号-1Suppr @ 2026

文献检索

告别复杂PubMed语法,用中文像聊天一样搜索,搜遍4000万医学文献。AI智能推荐,让科研检索更轻松。

立即免费搜索

文件翻译

保留排版,准确专业,支持PDF/Word/PPT等文件格式,支持 12+语言互译。

免费翻译文档

深度研究

AI帮你快速写综述,25分钟生成高质量综述,智能提取关键信息,辅助科研写作。

立即免费体验

紫草素通过激活Nrf2-ARE信号通路减轻耳蜗螺旋神经节神经元退变。

Shikonin Attenuates Cochlear Spiral Ganglion Neuron Degeneration by Activating Nrf2-ARE Signaling Pathway.

作者信息

Du Hongjie, Zhou Xuanchen, Shi Lei, Xia Ming, Wang Yajie, Guo Na, Hu Houyang, Zhang Pan, Yang Huiming, Zhu Fangyuan, Teng Zhenxiao, Liu Chengcheng, Zhao Miaoqing

机构信息

Department of Otolaryngology, Shandong Provincial Hospital Affiliated to Shandong First Medical University, Jinan, China.

Qilu Pharmaceutical Co., Ltd., Jinan, China.

出版信息

Front Mol Neurosci. 2022 Feb 24;15:829642. doi: 10.3389/fnmol.2022.829642. eCollection 2022.

DOI:10.3389/fnmol.2022.829642
PMID:35283722
原文链接:https://pmc.ncbi.nlm.nih.gov/articles/PMC8908960/
Abstract

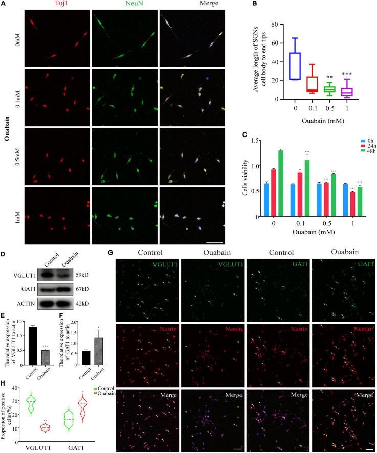
The molecular mechanisms that regulate the proliferation and differentiation of inner ear spiral ganglion cells (SGCs) remain largely unknown. Shikonin (a naphthoquinone pigment isolated from the traditional Chinese herbal medicine comfrey root) has anti-oxidation, anti-apoptosis and promoting proliferation and differentiation effects on neural progenitor cells. To study the protective effect of shikonin on auditory nerve damage, we isolated spiral ganglion neuron cells (SGNs) and spiral ganglion Schwann cells (SGSs) that provide nutrients and pretreated them with shikonin. We found that shikonin can reduce ouabain, a drug that can selectively destroy SGNs and induce auditory nerve damage, caused SGNs proliferation decreased, neurite outgrowth inhibition, cells apoptosis and mitochondrial depolarization. In addition, we found that shikonin can increase the expression of Nrf2 and its downstream molecules HO-1 and NQO1, thereby enhancing the antioxidant capacity of SGNs and SGSs, promoting cells proliferation, and inhibiting cells apoptosis by activating the Nrf2/antioxidant response elements (ARE) signal pathway. However, knockdown of Nrf2 rescued the protective effect of shikonin on SGNs and SGSs damage. In addition, we injected shikonin pretreatment into mouse that ouabain-induced hearing loss and found that shikonin pretreatment has a defensive effect on auditory nerve damage. In summary, the results of this study indicate that shikonin could attenuate the level of oxidative stress in SGNs and SGSs through the Nrf2-ARE signaling pathway activated, induce the proliferation and differentiation of SGNs, and thereby improve the neurological hearing damage in mice. Therefore, shikonin may be a candidate therapeutic drug for endogenous antioxidants that can be used to treat neurological deafness.

摘要

调节内耳螺旋神经节细胞(SGCs)增殖和分化的分子机制在很大程度上仍不清楚。紫草素(一种从传统中药紫草根部分离出的萘醌色素)对神经祖细胞具有抗氧化、抗凋亡以及促进增殖和分化的作用。为了研究紫草素对听神经损伤的保护作用,我们分离了提供营养的螺旋神经节神经元细胞(SGNs)和螺旋神经节雪旺细胞(SGSs),并用紫草素对它们进行预处理。我们发现紫草素可以减轻哇巴因(一种能选择性破坏SGNs并诱导听神经损伤的药物)导致的SGNs增殖减少、神经突生长抑制、细胞凋亡和线粒体去极化。此外,我们发现紫草素可以增加Nrf2及其下游分子HO-1和NQO1的表达,从而增强SGNs和SGSs的抗氧化能力,促进细胞增殖,并通过激活Nrf2/抗氧化反应元件(ARE)信号通路抑制细胞凋亡。然而,敲低Nrf2可挽救紫草素对SGNs和SGSs损伤的保护作用。此外,我们将紫草素预处理注射到哇巴因诱导听力损失的小鼠体内,发现紫草素预处理对听神经损伤具有防御作用。总之,本研究结果表明,紫草素可通过激活Nrf2-ARE信号通路减轻SGNs和SGSs中的氧化应激水平,诱导SGNs的增殖和分化,从而改善小鼠的神经性听力损伤。因此,紫草素可能是一种内源性抗氧化剂候选治疗药物,可用于治疗神经性耳聋。

https://cdn.ncbi.nlm.nih.gov/pmc/blobs/ea83/8908960/90e1e1445111/fnmol-15-829642-g008.jpg
https://cdn.ncbi.nlm.nih.gov/pmc/blobs/ea83/8908960/480567ee891c/fnmol-15-829642-g001.jpg
https://cdn.ncbi.nlm.nih.gov/pmc/blobs/ea83/8908960/53553fe34adf/fnmol-15-829642-g002.jpg
https://cdn.ncbi.nlm.nih.gov/pmc/blobs/ea83/8908960/2da777da86f8/fnmol-15-829642-g003.jpg
https://cdn.ncbi.nlm.nih.gov/pmc/blobs/ea83/8908960/a05075656ade/fnmol-15-829642-g004.jpg
https://cdn.ncbi.nlm.nih.gov/pmc/blobs/ea83/8908960/1599d648cfc7/fnmol-15-829642-g005.jpg
https://cdn.ncbi.nlm.nih.gov/pmc/blobs/ea83/8908960/010b86f64585/fnmol-15-829642-g006.jpg
https://cdn.ncbi.nlm.nih.gov/pmc/blobs/ea83/8908960/63a92028a23f/fnmol-15-829642-g007.jpg
https://cdn.ncbi.nlm.nih.gov/pmc/blobs/ea83/8908960/90e1e1445111/fnmol-15-829642-g008.jpg
https://cdn.ncbi.nlm.nih.gov/pmc/blobs/ea83/8908960/480567ee891c/fnmol-15-829642-g001.jpg
https://cdn.ncbi.nlm.nih.gov/pmc/blobs/ea83/8908960/53553fe34adf/fnmol-15-829642-g002.jpg
https://cdn.ncbi.nlm.nih.gov/pmc/blobs/ea83/8908960/2da777da86f8/fnmol-15-829642-g003.jpg
https://cdn.ncbi.nlm.nih.gov/pmc/blobs/ea83/8908960/a05075656ade/fnmol-15-829642-g004.jpg
https://cdn.ncbi.nlm.nih.gov/pmc/blobs/ea83/8908960/1599d648cfc7/fnmol-15-829642-g005.jpg
https://cdn.ncbi.nlm.nih.gov/pmc/blobs/ea83/8908960/010b86f64585/fnmol-15-829642-g006.jpg
https://cdn.ncbi.nlm.nih.gov/pmc/blobs/ea83/8908960/63a92028a23f/fnmol-15-829642-g007.jpg
https://cdn.ncbi.nlm.nih.gov/pmc/blobs/ea83/8908960/90e1e1445111/fnmol-15-829642-g008.jpg

相似文献

1
Shikonin Attenuates Cochlear Spiral Ganglion Neuron Degeneration by Activating Nrf2-ARE Signaling Pathway.紫草素通过激活Nrf2-ARE信号通路减轻耳蜗螺旋神经节神经元退变。
Front Mol Neurosci. 2022 Feb 24;15:829642. doi: 10.3389/fnmol.2022.829642. eCollection 2022.
2
Exogenous neuritin restores auditory following cochlear spiral ganglion neuron denervation of gerbils.外源性神经黏附蛋白可恢复沙土鼠耳蜗螺旋神经节神经元去神经支配后的听觉。
Neurosci Res. 2024 Mar;200:8-19. doi: 10.1016/j.neures.2023.11.001. Epub 2023 Nov 4.
3
Wnt Signaling Activates TP53-Induced Glycolysis and Apoptosis Regulator and Protects Against Cisplatin-Induced Spiral Ganglion Neuron Damage in the Mouse Cochlea.Wnt 信号激活 TP53 诱导的糖酵解和凋亡调节剂,保护小鼠耳蜗中的顺铂诱导的螺旋神经节神经元损伤。
Antioxid Redox Signal. 2019 Apr 10;30(11):1389-1410. doi: 10.1089/ars.2017.7288. Epub 2018 May 4.
4
Atrial Natriuretic Peptide Promotes Neurite Outgrowth and Survival of Cochlear Spiral Ganglion Neurons Through NPR-A/cGMP/PKG Signaling.心房利钠肽通过NPR-A/cGMP/PKG信号通路促进耳蜗螺旋神经节神经元的轴突生长和存活。
Front Cell Dev Biol. 2021 Jun 23;9:681421. doi: 10.3389/fcell.2021.681421. eCollection 2021.
5
RIP3-mediated necroptosis was essential for spiral ganglion neuron damage.RIP3介导的坏死性凋亡对于螺旋神经节神经元损伤至关重要。
Neurosci Lett. 2021 Jan 23;744:135565. doi: 10.1016/j.neulet.2020.135565. Epub 2020 Dec 23.
6
Considering the protective effect of exendin-4 against oxidative stress in spiral ganglion neurons.考虑到艾塞那肽-4对螺旋神经节神经元氧化应激的保护作用。
Iran J Basic Med Sci. 2023;26(12):1423-1430. doi: 10.22038/IJBMS.2023.69190.15076.
7
Ouabain-induced cochlear degeneration in rat.哇巴因诱导的大鼠耳蜗退行性变。
Neurotox Res. 2012 Aug;22(2):158-69. doi: 10.1007/s12640-012-9320-0. Epub 2012 Apr 3.
8
Valproic acid promotes the neuronal differentiation of spiral ganglion neural stem cells with robust axonal growth.丙戊酸促进螺旋神经节神经干细胞的神经元分化,具有强大的轴突生长。
Biochem Biophys Res Commun. 2018 Sep 18;503(4):2728-2735. doi: 10.1016/j.bbrc.2018.08.032. Epub 2018 Aug 16.
9
Glutathione Peroxidase 1 Protects Against Peroxynitrite-Induced Spiral Ganglion Neuron Damage Through Attenuating NF-κB Pathway Activation.谷胱甘肽过氧化物酶1通过减弱核因子κB途径的激活来保护螺旋神经节神经元免受过氧亚硝酸根诱导的损伤。
Front Cell Neurosci. 2022 Mar 23;16:841731. doi: 10.3389/fncel.2022.841731. eCollection 2022.
10
Regulation of Spiral Ganglion Neuron Regeneration as a Therapeutic Strategy in Sensorineural Hearing Loss.螺旋神经节神经元再生的调控作为感音神经性听力损失的一种治疗策略。
Front Mol Neurosci. 2022 Jan 20;14:829564. doi: 10.3389/fnmol.2021.829564. eCollection 2021.

引用本文的文献

1
Presbycusis: Pathology, Signal Pathways, and Therapeutic Strategy.老年性聋:病理学、信号通路及治疗策略
Adv Sci (Weinh). 2025 Aug;12(29):e2410413. doi: 10.1002/advs.202410413. Epub 2025 May 11.
2
Shikonin attenuates blood-brain barrier injury and oxidative stress in rats with subarachnoid hemorrhage by activating Sirt1/Nrf2/HO-1 signaling.紫草素通过激活Sirt1/Nrf2/HO-1信号通路减轻蛛网膜下腔出血大鼠的血脑屏障损伤和氧化应激。
Korean J Physiol Pharmacol. 2025 May 1;29(3):283-291. doi: 10.4196/kjpp.24.182.
3
Shikonin alleviates doxorubicin-induced cardiotoxicity via Mst1/Nrf2 pathway in mice.

本文引用的文献

1
Stem Cell-Based Therapies in Hearing Loss.基于干细胞的听力损失治疗方法
Front Cell Dev Biol. 2021 Oct 21;9:730042. doi: 10.3389/fcell.2021.730042. eCollection 2021.
2
Autophagy Regulates the Survival of Hair Cells and Spiral Ganglion Neurons in Cases of Noise, Ototoxic Drug, and Age-Induced Sensorineural Hearing Loss.自噬调节噪声、耳毒性药物和年龄引起的感音神经性听力损失情况下毛细胞和螺旋神经节神经元的存活。
Front Cell Neurosci. 2021 Oct 13;15:760422. doi: 10.3389/fncel.2021.760422. eCollection 2021.
3
Cochlear implant-based electric-acoustic stimulation modulates neural stem cell-derived neural regeneration.
紫草素通过 Mst1/Nrf2 通路减轻小鼠多柔比星诱导的心脏毒性。
Sci Rep. 2024 Jan 9;14(1):924. doi: 10.1038/s41598-024-51675-7.
4
Elaboration and validation of a prognostic signature associated with disulfidoptosis in lung adenocarcinoma, consolidated with integration of single-cell RNA sequencing and bulk RNA sequencing techniques.一项与肺腺癌中二硫键过氧化相关的预后标志物的构建和验证,结合单细胞 RNA 测序和批量 RNA 测序技术。
Front Immunol. 2023 Oct 27;14:1278496. doi: 10.3389/fimmu.2023.1278496. eCollection 2023.
5
Identification of Phytogenic Compounds with Antioxidant Action That Protect Porcine Intestinal Epithelial Cells from Hydrogen Peroxide Induced Oxidative Damage.鉴定具有抗氧化作用的植物源化合物,其可保护猪肠道上皮细胞免受过氧化氢诱导的氧化损伤。
Antioxidants (Basel). 2022 Oct 28;11(11):2134. doi: 10.3390/antiox11112134.
6
Shikonin inhibited glycolysis and sensitized cisplatin treatment in non-small cell lung cancer cells via the exosomal pyruvate kinase M2 pathway.紫草素通过外泌体丙酮酸激酶 M2 途径抑制非小细胞肺癌细胞的糖酵解并增强顺铂治疗效果。
Bioengineered. 2022 May;13(5):13906-13918. doi: 10.1080/21655979.2022.2086378.
基于人工耳蜗的电-声刺激调节神经干细胞源性神经再生。
J Mater Chem B. 2021 Sep 29;9(37):7793-7804. doi: 10.1039/d1tb01029h.
4
The Detrimental and Beneficial Functions of Macrophages After Cochlear Injury.耳蜗损伤后巨噬细胞的有害与有益功能
Front Cell Dev Biol. 2021 Aug 11;9:631904. doi: 10.3389/fcell.2021.631904. eCollection 2021.
5
Topographically Conductive Butterfly Wing Substrates for Directed Spiral Ganglion Neuron Growth.用于定向螺旋神经节神经元生长的地形导电蝴蝶翅膀基底。
Small. 2021 Sep;17(38):e2102062. doi: 10.1002/smll.202102062. Epub 2021 Aug 19.
6
Mechanism and Prevention of Ototoxicity Induced by Aminoglycosides.氨基糖苷类药物所致耳毒性的机制与防治
Front Cell Neurosci. 2021 Jun 15;15:692762. doi: 10.3389/fncel.2021.692762. eCollection 2021.
7
Deficiency of Klc2 Induces Low-Frequency Sensorineural Hearing Loss in C57BL/6 J Mice and Human.Klc2缺陷导致C57BL/6 J小鼠和人类出现低频感音神经性听力损失。
Mol Neurobiol. 2021 Sep;58(9):4376-4391. doi: 10.1007/s12035-021-02422-w. Epub 2021 May 20.
8
FOXG1 promotes aging inner ear hair cell survival through activation of the autophagy pathway.FOXG1 通过激活自噬途径促进衰老内耳毛细胞的存活。
Autophagy. 2021 Dec;17(12):4341-4362. doi: 10.1080/15548627.2021.1916194. Epub 2021 May 19.
9
Generation of mature and functional hair cells by co-expression of Gfi1, Pou4f3, and Atoh1 in the postnatal mouse cochlea.在出生后小鼠耳蜗中共同表达 Gfi1、Pou4f3 和 Atoh1 生成成熟且功能正常的毛细胞。
Cell Rep. 2021 Apr 20;35(3):109016. doi: 10.1016/j.celrep.2021.109016.
10
PRDX1 activates autophagy via the PTEN-AKT signaling pathway to protect against cisplatin-induced spiral ganglion neuron damage.PRDX1 通过 PTEN-AKT 信号通路激活自噬来保护顺铂诱导的螺旋神经节神经元损伤。
Autophagy. 2021 Dec;17(12):4159-4181. doi: 10.1080/15548627.2021.1905466. Epub 2021 Apr 12.