• 文献检索
  • 文档翻译
  • 深度研究
  • 学术资讯
  • Suppr Zotero 插件Zotero 插件
  • 邀请有礼
  • 套餐&价格
  • 历史记录
应用&插件
Suppr Zotero 插件Zotero 插件浏览器插件Mac 客户端Windows 客户端微信小程序
定价
高级版会员购买积分包购买API积分包
服务
文献检索文档翻译深度研究API 文档MCP 服务
关于我们
关于 Suppr公司介绍联系我们用户协议隐私条款
关注我们

Suppr 超能文献

核心技术专利:CN118964589B侵权必究
粤ICP备2023148730 号-1Suppr @ 2026

文献检索

告别复杂PubMed语法,用中文像聊天一样搜索,搜遍4000万医学文献。AI智能推荐,让科研检索更轻松。

立即免费搜索

文件翻译

保留排版,准确专业,支持PDF/Word/PPT等文件格式,支持 12+语言互译。

免费翻译文档

深度研究

AI帮你快速写综述,25分钟生成高质量综述,智能提取关键信息,辅助科研写作。

立即免费体验

9 岁男孩先天性食管裂孔疝 IV 型迟发:病例报告。

Late presentation of congenital type IV esophageal hiatus hernia in a 9-year-old boy: a case report.

机构信息

Department of Pediatric, Clinical Research Development Center of Children Hospital, Hormozgan University of Medical Sciences, Bandar Abbas, Iran.

Student Research Committee, Faculty of Medicine, Hormozgan University of Medical Sciences, Bandar Abbas, Iran.

出版信息

J Med Case Rep. 2022 Mar 15;16(1):104. doi: 10.1186/s13256-022-03331-9.

DOI:10.1186/s13256-022-03331-9
PMID:35287701
原文链接:https://pmc.ncbi.nlm.nih.gov/articles/PMC8922897/
Abstract

BACKGROUND

Congenital diaphragmatic hernia affects 1 in every 2000-5000 live births. The mediastinum shifts to the opposite side, the lungs are hypoplastic, and the arterioles are abnormal, resulting in pulmonary hypertension. Respiratory and cardiovascular functions are severely impaired at birth, resulting in significant mortality and morbidity as a result of the associated malformations.

CASE PRESENTATION

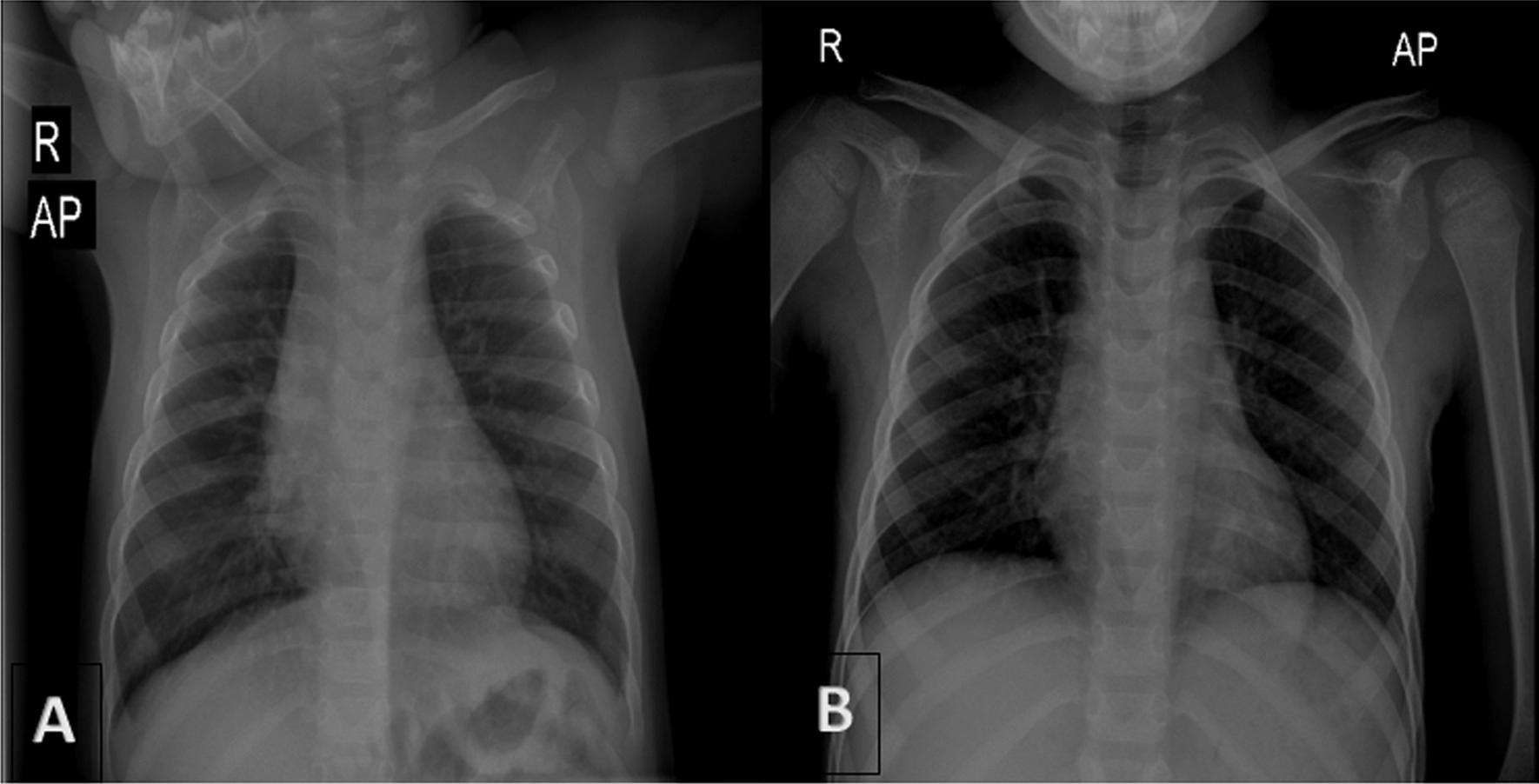
A 9-year-old persian boy was referred with complaint of intermittent abdominal pain in the left lower quadrant and an episode of vomiting. The patient was tachypneic, and the abdomen was nontender on examination. Lung sounds on the left side were considerably decreased, whereas heart sounds on the right side were louder. There was no history of underlying disease in the patient. Initial laboratory blood tests, chest x-ray, spiral computed tomography scan, and chest sonography were requested. Blood tests were normal, and chest x-ray revealed a round-shaped lesion with relatively clear boundaries containing air-fluid level and shift of the heart and mediastinum to the right. A spiral computed tomography scan of the lungs demonstrated the shift of the heart and mediastinum to the right side was due to dilated stomach and colon pressure, and chest sonography revealed that half of the stomach was inside the thorax. Laparotomy surgery was performed. The patient had no complications following surgery.

CONCLUSIONS

Herniation of abdominal contents through the diaphragmatic hiatus should be suspected in patients with tachypnea and mediastinal shift to the right side. Rapid diagnosis and early surgical treatment are necessary to avert any potentially life-threatening complications.

摘要

背景

先天性膈疝的发病率为每 2000-5000 例活产儿中就有 1 例。纵隔向对侧移位,肺发育不全,小动脉异常,导致肺动脉高压。出生时呼吸和心血管功能严重受损,导致严重的死亡率和发病率,这是由于相关畸形引起的。

病例介绍

一名 9 岁的波斯男孩因左侧下腹部间歇性疼痛和呕吐就诊。患者呼吸急促,腹部检查无压痛。左侧肺部听诊明显减弱,而右侧心音增强。患者无潜在疾病史。最初要求进行实验室血液检查、胸部 X 射线检查、螺旋 CT 扫描和胸部超声检查。血液检查正常,胸部 X 射线显示圆形病变,边界相对清晰,内含气液平面,伴有心脏和纵隔向右侧移位。肺部螺旋 CT 扫描显示心脏和纵隔向右侧移位是由于扩张的胃和结肠压力所致,胸部超声显示一半的胃在胸腔内。行剖腹手术。术后患者无并发症。

结论

对于呼吸急促和纵隔向右侧移位的患者,应怀疑有腹部内容物通过横膈裂孔疝出。快速诊断和早期手术治疗对于避免任何潜在的危及生命的并发症是必要的。

https://cdn.ncbi.nlm.nih.gov/pmc/blobs/1afc/8922897/e7f49eb1c42d/13256_2022_3331_Fig5_HTML.jpg
https://cdn.ncbi.nlm.nih.gov/pmc/blobs/1afc/8922897/4fefbcfc728c/13256_2022_3331_Fig1_HTML.jpg
https://cdn.ncbi.nlm.nih.gov/pmc/blobs/1afc/8922897/43f8c45de289/13256_2022_3331_Fig2_HTML.jpg
https://cdn.ncbi.nlm.nih.gov/pmc/blobs/1afc/8922897/fcc83b07eff4/13256_2022_3331_Fig3_HTML.jpg
https://cdn.ncbi.nlm.nih.gov/pmc/blobs/1afc/8922897/6be609398c35/13256_2022_3331_Fig4_HTML.jpg
https://cdn.ncbi.nlm.nih.gov/pmc/blobs/1afc/8922897/e7f49eb1c42d/13256_2022_3331_Fig5_HTML.jpg
https://cdn.ncbi.nlm.nih.gov/pmc/blobs/1afc/8922897/4fefbcfc728c/13256_2022_3331_Fig1_HTML.jpg
https://cdn.ncbi.nlm.nih.gov/pmc/blobs/1afc/8922897/43f8c45de289/13256_2022_3331_Fig2_HTML.jpg
https://cdn.ncbi.nlm.nih.gov/pmc/blobs/1afc/8922897/fcc83b07eff4/13256_2022_3331_Fig3_HTML.jpg
https://cdn.ncbi.nlm.nih.gov/pmc/blobs/1afc/8922897/6be609398c35/13256_2022_3331_Fig4_HTML.jpg
https://cdn.ncbi.nlm.nih.gov/pmc/blobs/1afc/8922897/e7f49eb1c42d/13256_2022_3331_Fig5_HTML.jpg

相似文献

1
Late presentation of congenital type IV esophageal hiatus hernia in a 9-year-old boy: a case report.9 岁男孩先天性食管裂孔疝 IV 型迟发:病例报告。
J Med Case Rep. 2022 Mar 15;16(1):104. doi: 10.1186/s13256-022-03331-9.
2
A tale of two unconventional adult diaphragmatic hernias.两个非典型成人膈疝的病例报告。
Ann R Coll Surg Engl. 2023 May;105(5):484-488. doi: 10.1308/rcsann.2022.0107. Epub 2022 Oct 14.
3
Delayed presentation of congenital diaphragmatic hernia: a case report.先天性膈疝延迟表现:病例报告。
Pan Afr Med J. 2021 Dec 21;40:242. doi: 10.11604/pamj.2021.40.242.32113. eCollection 2021.
4
Chest X-ray findings in late-onset congenital diaphragmatic hernia, a rare emergency easily misdiagnosed as hydropneumothorax: a case report.迟发性先天性膈疝的胸部X线表现:1例报告,一种易误诊为液气胸的罕见急症
J Med Case Rep. 2015 Dec 22;9:291. doi: 10.1186/s13256-015-0755-9.
5
[A successfully operated case of a rare type of incarcerated diaphragmatic hernia].[一例罕见类型嵌顿性膈疝的成功手术病例]
Orv Hetil. 2022 Jun 26;163(26):1047-1051. doi: 10.1556/650.2022.32524.
6
Symptomatic congenital Morgagni hernia presenting as a chest pain: a case report.表现为胸痛的有症状先天性莫尔加尼疝:一例病例报告。
J Med Case Rep. 2020 Jan 18;14(1):13. doi: 10.1186/s13256-019-2336-9.
7
An Incidental Case of Morgagni Hernia With Beaver Tail Liver in an Adult.一例成人 Morgagni 疝合并獭尾肝的偶然病例。
Cureus. 2023 Dec 1;15(12):e49769. doi: 10.7759/cureus.49769. eCollection 2023 Dec.
8
Late presentation of congenital diaphragmatic hernia.先天性膈疝的延迟表现。
Turk J Pediatr. 2015 Nov-Dec;57(6):642-645.
9
Right-sided strangulating diaphragmatic hernia in an adult without history of trauma: a case report.成人右侧绞窄性膈疝,无创伤史:病例报告。
J Med Case Rep. 2021 Jul 13;15(1):372. doi: 10.1186/s13256-021-02861-y.
10
Exacerbation of a maternal hiatus hernia in early pregnancy presenting with symptoms of hyperemesis gravidarum: case report and review of the literature.早孕期母体食管裂孔疝加重并出现妊娠剧吐症状:病例报告及文献复习。
Arch Gynecol Obstet. 2011 Mar;283(3):409-14. doi: 10.1007/s00404-010-1719-3. Epub 2010 Nov 2.

引用本文的文献

1
Sigmoid Volvulus in the Setting of Type 4 Hiatal Hernia: An Uncommon Presentation and Literature Review.4型食管裂孔疝背景下的乙状结肠扭转:一种罕见表现及文献综述
Cureus. 2024 Jul 1;16(7):e63595. doi: 10.7759/cureus.63595. eCollection 2024 Jul.

本文引用的文献

1
Minding the Gap: Clinical Manifestations of a Rare Type IV Hiatal Hernia.留意差距:一种罕见的IV型食管裂孔疝的临床表现
Cureus. 2020 Jul 19;12(7):e9275. doi: 10.7759/cureus.9275.
2
The management of hiatal hernia: an update on diagnosis and treatment.食管裂孔疝的管理:诊断与治疗的最新进展
Med Pharm Rep. 2019 Oct;92(4):321-325. doi: 10.15386/mpr-1323. Epub 2019 Oct 25.
3
Morphology of the Esophageal Hiatus: Is It Different in 3 Types of Hiatus Hernias?食管裂孔的形态学:三种类型的食管裂孔疝是否存在差异?
J Neurogastroenterol Motil. 2020 Jan 30;26(1):51-60. doi: 10.5056/jnm18208.
4
Esophageal hiatal hernia: risk, diagnosis and management.食管裂孔疝:风险、诊断与管理。
Expert Rev Gastroenterol Hepatol. 2018 Apr;12(4):319-329. doi: 10.1080/17474124.2018.1441711. Epub 2018 Feb 22.
5
Paraesophageal Hernia as a Cause of Chronic Asymptomatic Anemia in a 6 Years Old Boy; Case Report and Review of the Literature.食管旁疝作为一名6岁男孩慢性无症状性贫血的病因;病例报告及文献综述
Acta Medica (Hradec Kralove). 2017;60(2):76-81. doi: 10.14712/18059694.2017.97.
6
Bowel in Chest: Type IV Hiatal Hernia.胸腔内肠管:IV型食管裂孔疝
Clin Med Res. 2016 Jun;14(2):93-6. doi: 10.3121/cmr.2016.1332.
7
Treatment and controversies in paraesophageal hernia repair.食管旁疝修补术的治疗及争议
Front Surg. 2015 Apr 20;2:13. doi: 10.3389/fsurg.2015.00013. eCollection 2015.
8
Management of large para-esophageal hiatal hernias.大裂孔食管旁疝的治疗。
J Visc Surg. 2013 Dec;150(6):395-402. doi: 10.1016/j.jviscsurg.2013.07.002. Epub 2013 Sep 21.
9
Guidelines for the management of hiatal hernia.食管裂孔疝管理指南。
Surg Endosc. 2013 Dec;27(12):4409-28. doi: 10.1007/s00464-013-3173-3. Epub 2013 Sep 10.
10
An evidence-based review of the current treatment of congenital diaphragmatic hernia.先天性膈疝当前治疗方法的循证综述。
Clin Pediatr (Phila). 2013 Feb;52(2):115-24. doi: 10.1177/0009922812472249.