Suppr超能文献

在欧洲落叶松(Larix decidua)减数分裂前期,涉及 Cajal 体的前体 mRNA 的功能性核保留。

Functional nuclear retention of pre-mRNA involving Cajal bodies during meiotic prophase in European larch (Larix decidua).

机构信息

Department of Cellular and Molecular Biology, Nicolaus Copernicus University, Torun 87-100, Poland.

Centre for Modern Interdisciplinary Technologies, Nicolaus Copernicus University, Torun 87-100, Poland.

出版信息

Plant Cell. 2022 May 24;34(6):2404-2423. doi: 10.1093/plcell/koac091.

Abstract

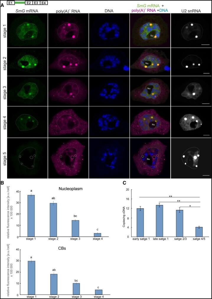
Gene regulation ensures that the appropriate genes are expressed at the proper time. Nuclear retention of incompletely spliced or mature mRNAs is emerging as a novel, previously underappreciated layer of posttranscriptional regulation. Studies on this phenomenon indicated that it exerts a significant influence on the regulation of gene expression by regulating export and translation delay, which allows the synthesis of specific proteins in response to a stimulus or at strictly controlled time points, for example, during cell differentiation or development. Here, we show that transcription in microsporocytes of European larch (Larix decidua) occurs in a pulsatile manner during prophase of the first meiotic division. Transcriptional activity was then silenced after each pulse. However, the transcripts synthesized were not exported immediately to the cytoplasm but were retained in the nucleoplasm and Cajal bodies (CBs). In contrast to the nucleoplasm, we did not detect mature transcripts in CBs, which only stored nonfully spliced transcripts with retained introns. Notably, the retained introns were spliced at precisely defined times, and fully mature mRNAs were released into the cytoplasm for translation. As similar processes have been observed during spermatogenesis in animals, our results illustrate an evolutionarily conserved mechanism of gene expression regulation during generative cells development in Eukaryota.

摘要

基因调控确保在适当的时间表达适当的基因。核内保留不完全剪接或成熟的 mRNA 正在成为一种新的、以前未被充分认识的转录后调控层。对这一现象的研究表明,它通过调节出口和翻译延迟对基因表达的调控产生了重大影响,从而允许特定蛋白质在受到刺激或在严格控制的时间点(例如,在细胞分化或发育过程中)合成。在这里,我们表明欧洲落叶松(Larix decidua)小孢子母细胞中的转录在第一次减数分裂前期以脉冲方式发生。每次脉冲后转录活性都被沉默。然而,合成的转录物不会立即被输出到细胞质,而是保留在核质和 Cajal 体(CB)中。与核质不同,我们在 CB 中没有检测到成熟的转录物,CB 中只储存带有保留内含子的非完全剪接转录物。值得注意的是,保留的内含子在精确定义的时间被剪接,并且完全成熟的 mRNA 被释放到细胞质中进行翻译。由于在动物的精子发生过程中观察到类似的过程,我们的结果说明了真核生物生殖细胞发育过程中基因表达调控的一种进化保守机制。

https://cdn.ncbi.nlm.nih.gov/pmc/blobs/b2ff/9134060/47a653031341/koac091f1.jpg

文献检索

告别复杂PubMed语法,用中文像聊天一样搜索,搜遍4000万医学文献。AI智能推荐,让科研检索更轻松。

立即免费搜索

文件翻译

保留排版,准确专业,支持PDF/Word/PPT等文件格式,支持 12+语言互译。

免费翻译文档

深度研究

AI帮你快速写综述,25分钟生成高质量综述,智能提取关键信息,辅助科研写作。

立即免费体验