• 文献检索
  • 文档翻译
  • 深度研究
  • 学术资讯
  • Suppr Zotero 插件Zotero 插件
  • 邀请有礼
  • 套餐&价格
  • 历史记录
应用&插件
Suppr Zotero 插件Zotero 插件浏览器插件Mac 客户端Windows 客户端微信小程序
定价
高级版会员购买积分包购买API积分包
服务
文献检索文档翻译深度研究API 文档MCP 服务
关于我们
关于 Suppr公司介绍联系我们用户协议隐私条款
关注我们

Suppr 超能文献

核心技术专利:CN118964589B侵权必究
粤ICP备2023148730 号-1Suppr @ 2026

文献检索

告别复杂PubMed语法,用中文像聊天一样搜索,搜遍4000万医学文献。AI智能推荐,让科研检索更轻松。

立即免费搜索

文件翻译

保留排版,准确专业,支持PDF/Word/PPT等文件格式,支持 12+语言互译。

免费翻译文档

深度研究

AI帮你快速写综述,25分钟生成高质量综述,智能提取关键信息,辅助科研写作。

立即免费体验

一名4期肾细胞癌患者腰骶部转移采用微创手术(MIS)系统进行单侧固定。

Unilateral fixation utilizing minimally invasive surgery (MIS) system for lumbosacral metastasis in a patient with stage 4 renal cell carcinoma.

作者信息

Serikyaku Hisashi, Higa Shoichiro, Yara Tetsuya, Oshiro Takuma

机构信息

Department of Orthopedic Surgery, Naha City Hospital, Okinawa, Japan.

Department of Orthopedic Surgery, Naha City Hospital, Okinawa, Japan.

出版信息

Int J Surg Case Rep. 2022 Apr;93:106848. doi: 10.1016/j.ijscr.2022.106848. Epub 2022 Mar 1.

DOI:10.1016/j.ijscr.2022.106848
PMID:35298982
原文链接:https://pmc.ncbi.nlm.nih.gov/articles/PMC8924311/
Abstract

INTRODUCTION AND IMPORTANCE

To summarize the clinical manifestations and treatment of a patient with lumbar metastases from renal cell carcinoma who underwent unilateral fixation of lumbosacral spine utilizing minimally invasive surgery systems.

CASE PRESENTATION

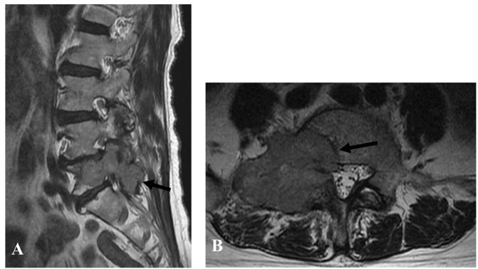
A 71-year-old woman presented to a local hospital with complaints of low back pain. Computed tomography (CT) at the hospital revealed metastases to the lung, occipital bone, right ribs and fifth lumbar vertebrae from a primary left renal cancer. A lumbar Magnetic resonance imaging (MRI) performed at local clinic revealed an enlarged metastatic tumor invading the right body, transverse process and pedicle of fifth lumbar vertebra. Transmyofascial insertion of pedicle screws and connection with rod utilizing minimally invasive surgery (MIS) systems were made on the left L4.5.S1 vertebrae under fluoroscopy. The operating time was 36 min, the intraoperative blood loss was 30 g and fluoroscopic time was 56 s. Postoperative course was uneventful. She could walk with a single cane on the twenty postoperative days but passed away of systemic metastasis approximately10 months after the spinal fixation. An x-ray taken just before death showed no spinal instrumentation failure.

DISCUSSION

Surgery for spinal metastasis from hypervascular tumor may result in profuse intraoperative bleeding that is difficult to control. It might be preferable to operate with MIS if patients with spinal metastases are candidate for either MIS or conventional methods. It has been reported that unilateral fixation could be as effective as bilateral fixation in up to two-segment lumbar spinal fusion.

CONCLUSION

Unilateral fixation utilizing MIS systems may be effective in cases whom placing an instrumentation on the side with tumor extending posteriorly may cause massive bleeding.

摘要

引言与重要性

总结一名肾细胞癌腰椎转移患者的临床表现及治疗情况,该患者采用微创手术系统对腰骶椎进行单侧固定。

病例介绍

一名71岁女性因腰痛就诊于当地医院。医院的计算机断层扫描(CT)显示,原发性左肾癌已转移至肺部、枕骨、右肋骨和第五腰椎。当地诊所进行的腰椎磁共振成像(MRI)显示,一个增大的转移瘤侵犯了第五腰椎的右侧椎体、横突和椎弓根。在荧光透视下,采用微创手术(MIS)系统经肌筋膜在左侧L4、5、S1椎体置入椎弓根螺钉并连接棒。手术时间为36分钟,术中失血30克,透视时间为56秒。术后过程顺利。术后20天她可以单拐行走,但在脊柱固定后约10个月因全身转移去世。临终前拍摄的X线片显示脊柱内固定无失败。

讨论

高血运肿瘤脊柱转移手术可能导致术中大量出血且难以控制。如果脊柱转移患者适合微创手术或传统手术方法,采用微创手术可能更可取。据报道,在多达两节段的腰椎融合术中,单侧固定与双侧固定效果相当。

结论

对于肿瘤向后延伸一侧置入内固定可能导致大量出血的病例,采用微创手术系统进行单侧固定可能有效。

https://cdn.ncbi.nlm.nih.gov/pmc/blobs/d18c/8924311/8d7c8e1950d8/gr3.jpg
https://cdn.ncbi.nlm.nih.gov/pmc/blobs/d18c/8924311/0609336e21f3/gr1.jpg
https://cdn.ncbi.nlm.nih.gov/pmc/blobs/d18c/8924311/5e9dcfa74b32/gr2.jpg
https://cdn.ncbi.nlm.nih.gov/pmc/blobs/d18c/8924311/8d7c8e1950d8/gr3.jpg
https://cdn.ncbi.nlm.nih.gov/pmc/blobs/d18c/8924311/0609336e21f3/gr1.jpg
https://cdn.ncbi.nlm.nih.gov/pmc/blobs/d18c/8924311/5e9dcfa74b32/gr2.jpg
https://cdn.ncbi.nlm.nih.gov/pmc/blobs/d18c/8924311/8d7c8e1950d8/gr3.jpg

相似文献

1
Unilateral fixation utilizing minimally invasive surgery (MIS) system for lumbosacral metastasis in a patient with stage 4 renal cell carcinoma.一名4期肾细胞癌患者腰骶部转移采用微创手术(MIS)系统进行单侧固定。
Int J Surg Case Rep. 2022 Apr;93:106848. doi: 10.1016/j.ijscr.2022.106848. Epub 2022 Mar 1.
2
Unilateral versus bilateral percutaneous pedicle screw fixation in minimally invasive transforaminal lumbar interbody fusion.单侧与双侧经皮椎弓根螺钉固定微创经椎间孔腰椎体间融合术。
Neurosurg Focus. 2013 Aug;35(2):E11. doi: 10.3171/2013.2.FOCUS12398.
3
Mid-term clinical results of minimally invasive decompression and posterolateral fusion with percutaneous pedicle screws versus conventional approach for degenerative spondylolisthesis with spinal stenosis.微创减压和经皮椎弓根螺钉后路融合与传统入路治疗退行性腰椎滑脱伴椎管狭窄的中期临床结果比较。
Eur Spine J. 2012 Jun;21(6):1171-7. doi: 10.1007/s00586-011-2114-x. Epub 2011 Dec 16.
4
Unilateral versus bilateral pedicle screw instrumentation for single-level minimally invasive transforaminal lumbar interbody fusion.单节段微创经椎间孔腰椎椎体间融合术的单侧与双侧椎弓根螺钉内固定术
J Clin Neurosci. 2014 Sep;21(9):1612-6. doi: 10.1016/j.jocn.2013.11.055. Epub 2014 May 9.
5
[A feasibility research of minimally invasive transforaminal lumbar interbody fusion using unilateral incision and hybrid internal fixation for dural-level lumbar degenerative disease].[单侧切口及混合内固定微创经椎间孔腰椎椎间融合术治疗硬脊膜节段性腰椎退变性疾病的可行性研究]
Zhongguo Xiu Fu Chong Jian Wai Ke Za Zhi. 2013 Aug;27(8):955-9.
6
Radiographic Analysis of One-level Minimally Invasive Transforaminal Lumbar Interbody Fusion (MI-TLIF) With Unilateral Pedicle Screw Fixation for Lumbar Degenerative Diseases.单节段微创经椎间孔腰椎椎体间融合术(MI-TLIF)联合单侧椎弓根螺钉固定治疗腰椎退行性疾病的影像学分析
Clin Spine Surg. 2016 Feb;29(1):E1-8. doi: 10.1097/BSD.0000000000000042.
7
[Treatment of grade I and II degree degenerative lumbar spondylolisthesis with minimally invasive surgery-transforaminal lumbar interbody fusion under Quadrant channel].[象限通道下微创经椎间孔腰椎椎体间融合术治疗Ⅰ、Ⅱ度退行性腰椎滑脱症]
Zhongguo Gu Shang. 2019 Mar 25;32(3):199-206. doi: 10.3969/j.issn.1003-0034.2019.03.002.
8
Minimally invasive transforaminal lumbar interbody fusion: one surgeon's learning curve.微创经椎间孔腰椎椎间融合术:一位外科医生的学习曲线
Spine J. 2014 Aug 1;14(8):1460-5. doi: 10.1016/j.spinee.2013.08.045. Epub 2013 Oct 3.
9
[Unilateral versus bilateral pedicle screw fixation in minimally invasive transforaminal lumbar interbody fusion(MIS-TLIF): a Meta analysis].[微创经椎间孔腰椎椎间融合术(MIS-TLIF)中单侧与双侧椎弓根螺钉固定:一项Meta分析]
Zhongguo Gu Shang. 2016 Oct 25;29(10):954-962. doi: 10.3969/j.issn.1003-0034.2016.10.015.
10
[Unilateral pedicle screw fixation versus its combination with contralateral translaminar facet screw fixation for the treatment of single segmental lower lumbar vertebra diseases].[单侧椎弓根螺钉固定与联合对侧经椎板关节突螺钉固定治疗单节段下腰椎疾病]
Zhongguo Gu Shang. 2015 Apr;28(4):306-12.

引用本文的文献

1
Posterior limited unilateral fenestration approach for treating patients with single-segment thoracic and lumbar tuberculosis.后路有限单侧开窗入路治疗单节段胸腰椎结核患者
Acta Neurochir (Wien). 2022 Oct;164(10):2637-2644. doi: 10.1007/s00701-022-05342-3. Epub 2022 Sep 7.