Suppr超能文献

恶性皮肤肿瘤的影像学表现:放射学与病理学的相关性

Imaging findings of malignant skin tumors: radiological-pathological correlation.

作者信息

Kawaguchi Masaya, Kato Hiroki, Noda Yoshifumi, Kobayashi Kazuhiro, Miyazaki Tatsuhiko, Hyodo Fuminori, Matsuo Masayuki

机构信息

Department of Radiology, Gifu University, 1-1 Yanagido, Gifu, 501-1194, Japan.

Department of Pathology, Gifu University, Gifu, Japan.

出版信息

Insights Imaging. 2022 Mar 22;13(1):52. doi: 10.1186/s13244-022-01205-8.

Abstract

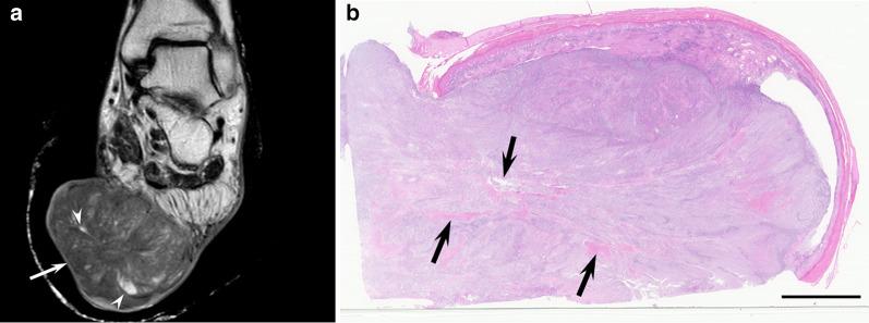
Sometimes, radiologists encounter malignant skin tumors (MSTs) during image interpretation. As MSTs require different clinical management modalities for each histological subtype, accurate preoperative diagnosis is essential. The histological subtypes of MST can be easily assessed by visual inspection or biopsy. Therefore, the significant role of radiological imaging in MSTs is to evaluate the extent of local invasion, nodal involvement, and distant metastasis, and the histological estimation of MSTs by radiological imaging has not been reported until a few years ago. However, recent studies have revealed characteristic radiological features for differential diagnosis of MSTs, such as configuration, intratumoral homogeneity, signal intensity, cyst formation, and hemorrhage. Other important clinical data for determining the histological subtype of MST include age, gender, and site of occurrence. MSTs can be categorized as epidermal, melanocytic, adnexal, and mesenchymal tumors based on the origin and have distinctive characteristics. Hence, this review article was designed to describe the clinical and radiological features of MSTs.

摘要

有时,放射科医生在影像解读过程中会遇到恶性皮肤肿瘤(MSTs)。由于MSTs的每种组织学亚型都需要不同的临床管理模式,准确的术前诊断至关重要。MST的组织学亚型可以通过肉眼检查或活检轻松评估。因此,放射影像学在MSTs中的重要作用是评估局部侵袭范围、淋巴结受累情况和远处转移,而直到几年前,通过放射影像学对MSTs进行组织学评估的报道还很少。然而,最近的研究已经揭示了用于MSTs鉴别诊断的特征性放射学特征,如形态、肿瘤内均匀性、信号强度、囊肿形成和出血。其他用于确定MST组织学亚型的重要临床数据包括年龄、性别和发病部位。根据起源,MSTs可分为表皮肿瘤、黑素细胞肿瘤、附属器肿瘤和间充质肿瘤,且各有独特特征。因此,这篇综述文章旨在描述MSTs的临床和放射学特征。

https://cdn.ncbi.nlm.nih.gov/pmc/blobs/03cf/8941041/8955272ec548/13244_2022_1205_Fig1_HTML.jpg

相似文献

1
Imaging findings of malignant skin tumors: radiological-pathological correlation.
Insights Imaging. 2022 Mar 22;13(1):52. doi: 10.1186/s13244-022-01205-8.
2
Extragastrointestinal stromal tumors: Computed tomography and magnetic resonance imaging findings.
Oncol Lett. 2015 Jan;9(1):201-208. doi: 10.3892/ol.2014.2705. Epub 2014 Nov 12.
4
Radiographic imaging for skin cancer.
Semin Cutan Med Surg. 2016 Mar;35(1):42-8. doi: 10.12788/j.sder.2016.011.
7
Imaging of primary malignant tumors in non-cirrhotic liver.
Diagn Interv Imaging. 2020 Sep;101(9):519-535. doi: 10.1016/j.diii.2020.01.010. Epub 2020 Feb 3.
8
Rectal gastrointestinal stromal tumors: imaging features with clinical and pathological correlation.
World J Gastroenterol. 2013 May 28;19(20):3108-16. doi: 10.3748/wjg.v19.i20.3108.
9
Diagnostic and radiological management of cystic pancreatic lesions: important features for radiologists.
Clin Radiol. 2012 Aug;67(8):727-37. doi: 10.1016/j.crad.2012.02.008. Epub 2012 Apr 18.
10
Malignant Superficial Mesenchymal Tumors in Children.
Cancers (Basel). 2022 Apr 26;14(9):2160. doi: 10.3390/cancers14092160.

引用本文的文献

1
An unusual pathology of a nasal tip mass in a 28-year-old female.
Radiol Case Rep. 2025 Jan 23;20(4):1972-1974. doi: 10.1016/j.radcr.2024.12.061. eCollection 2025 Apr.
2
A Rare Case of Eccrine Carcinoma Demonstrating Intracranial Invasion in a Patient With Advanced Hepatocellular Carcinoma.
Cureus. 2024 Jul 3;16(7):e63760. doi: 10.7759/cureus.63760. eCollection 2024 Jul.
4
Merkel Cell Carcinoma of the Trunk: Two Case Reports and Imaging Review.
J Korean Soc Radiol. 2023 Sep;84(5):1134-1139. doi: 10.3348/jksr.2022.0148. Epub 2023 May 18.
5
Management of Non-Melanoma Skin Cancer: Radiologists Challenging and Risk Assessment.
Diagnostics (Basel). 2023 Feb 20;13(4):793. doi: 10.3390/diagnostics13040793.

本文引用的文献

1
2
Automated Skin Lesion Classification on Ultrasound Images.
Diagnostics (Basel). 2021 Jul 3;11(7):1207. doi: 10.3390/diagnostics11071207.
3
Imaging findings of trichilemmal cyst and proliferating trichilemmal tumour.
Neuroradiol J. 2021 Dec;34(6):615-621. doi: 10.1177/19714009211017789. Epub 2021 Jun 1.
4
Magnetic Resonance Imaging Characteristics of Poroma and Porocarcinoma.
J Comput Assist Tomogr. 2021;45(3):447-451. doi: 10.1097/RCT.0000000000001146.
5
Imaging findings of cutaneous angiosarcoma of the scalp: Comparison with cutaneous squamous cell carcinoma.
Neuroradiol J. 2021 Aug;34(4):329-334. doi: 10.1177/1971400921998941. Epub 2021 Mar 3.
6
The incidence and clinical analysis of non-melanoma skin cancer.
Sci Rep. 2021 Feb 22;11(1):4337. doi: 10.1038/s41598-021-83502-8.
8
Hidradenocarcinoma: a rare but challenging diagnosis.
Clin Imaging. 2021 Jul;75:138-142. doi: 10.1016/j.clinimag.2021.01.024. Epub 2021 Feb 2.
9
Basal Cell Carcinoma: From Pathophysiology to Novel Therapeutic Approaches.
Biomedicines. 2020 Oct 23;8(11):449. doi: 10.3390/biomedicines8110449.
10
MR imaging findings for differentiating cutaneous malignant melanoma from squamous cell carcinoma.
Eur J Radiol. 2020 Nov;132:109212. doi: 10.1016/j.ejrad.2020.109212. Epub 2020 Sep 16.

文献AI研究员

20分钟写一篇综述,助力文献阅读效率提升50倍。

立即体验

用中文搜PubMed

大模型驱动的PubMed中文搜索引擎

马上搜索

文档翻译

学术文献翻译模型,支持多种主流文档格式。

立即体验