Suppr超能文献

病例报告:新辅助放化疗在合并累及外阴皮肤的肛周佩吉特病的肛管腺癌中的应用。

Case report: The application of neoadjuvant chemoradiotherapy in anal adenocarcinoma combined with perianal Paget disease involving vulvar skin.

作者信息

Li Gan-Bin, Qiu Xiao-Yuan, Zhang Xiao, Zhang Ning, Lin Guo-le

机构信息

Department of General Surgery, Peking Union Medical College Hospital, Peking Union Medical College, Beijing, China.

出版信息

Front Oncol. 2023 Dec 15;13:1327173. doi: 10.3389/fonc.2023.1327173. eCollection 2023.

Abstract

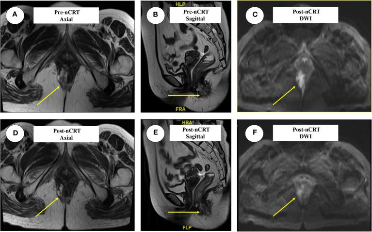
Anal adenocarcinoma combined with perianal Paget's disease (PPD) involving the vulva is rare, and there is no established standard treatment. We present the case of a 69-year-old woman with symptoms of intermittent hematochezia and perianal discomfort for 7 months. Upon examination, we discovered a plaque-like hard mass on the right posterior wall of the anal canal, which extended to encompass the anus and dentate line. The lesion skin also extended forward from the gluteal groove, involving the bilateral labial area. Colonoscopy revealed an extensive protruding lesion on the dentate line, which was confirmed as anal adenocarcinoma (mrT4N0M0). The presence of Paget's cells in perianal and vulvar skins led to the diagnosis of PPD. The strategy of neoadjuvant chemoradiotherapy (nCRT) followed by radical surgery was then made after multi-disciplinary discuss. The scope and extent of perianal and vulvar disease were significantly diminished after nCRT. The patient underwent laparoscopic abdominoperineal resection and vulvar lesion resection, confirming the diagnosis of anal adenocarcinoma (ypT2N0). No evidence of tumor cells was found in perianal and vulvar skin, indicating a complete response. The patient is regularly monitored without recurrence or metastasis.

摘要

肛管腺癌合并累及外阴的肛周佩吉特病(PPD)较为罕见,目前尚无既定的标准治疗方法。我们报告了一例69岁女性患者,她有间歇性便血和肛周不适症状达7个月。经检查,我们在肛管右后壁发现一个斑块状硬块,该硬块延伸至肛门和齿状线。病变皮肤还从臀沟向前延伸,累及双侧阴唇区域。结肠镜检查显示齿状线处有广泛的突出病变,确诊为肛管腺癌(mrT4N0M0)。肛周和外阴皮肤中存在佩吉特细胞,从而诊断为PPD。经过多学科讨论后,制定了新辅助放化疗(nCRT)后行根治性手术的策略。nCRT后,肛周和外阴疾病的范围和程度明显缩小。患者接受了腹腔镜腹会阴切除术和外阴病变切除术,确诊为肛管腺癌(ypT2N0)。在肛周和外阴皮肤中未发现肿瘤细胞迹象,表明完全缓解。患者接受定期监测,无复发或转移。

https://cdn.ncbi.nlm.nih.gov/pmc/blobs/2536/10755467/84c79f2fcd86/fonc-13-1327173-g001.jpg

文献AI研究员

20分钟写一篇综述,助力文献阅读效率提升50倍。

立即体验

用中文搜PubMed

大模型驱动的PubMed中文搜索引擎

马上搜索

文档翻译

学术文献翻译模型,支持多种主流文档格式。

立即体验