Suppr超能文献

青光眼视觉系统的高级扩散磁共振成像:从实验动物模型到人类

Advanced Diffusion MRI of the Visual System in Glaucoma: From Experimental Animal Models to Humans.

作者信息

Mendoza Monica, Shotbolt Max, Faiq Muneeb A, Parra Carlos, Chan Kevin C

机构信息

Department of Biomedical Engineering, Tandon School of Engineering, New York University, New York, NY 11201, USA.

Department of Ophthalmology, NYU Grossman School of Medicine, NYU Langone Health, New York University, New York, NY 10017, USA.

出版信息

Biology (Basel). 2022 Mar 16;11(3):454. doi: 10.3390/biology11030454.

Abstract

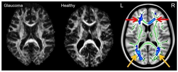
Glaucoma is a group of ophthalmologic conditions characterized by progressive retinal ganglion cell death, optic nerve degeneration, and irreversible vision loss. While intraocular pressure is the only clinically modifiable risk factor, glaucoma may continue to progress at controlled intraocular pressure, indicating other major factors in contributing to the disease mechanisms. Recent studies demonstrated the feasibility of advanced diffusion magnetic resonance imaging (dMRI) in visualizing the microstructural integrity of the visual system, opening new possibilities for non-invasive characterization of glaucomatous brain changes for guiding earlier and targeted intervention besides intraocular pressure lowering. In this review, we discuss dMRI methods currently used in visual system investigations, focusing on the eye, optic nerve, optic tract, subcortical visual brain nuclei, optic radiations, and visual cortex. We evaluate how conventional diffusion tensor imaging, higher-order diffusion kurtosis imaging, and other extended dMRI techniques can assess the neuronal and glial integrity of the visual system in both humans and experimental animal models of glaucoma, among other optic neuropathies or neurodegenerative diseases. We also compare the pros and cons of these methods against other imaging modalities. A growing body of dMRI research indicates that this modality holds promise in characterizing early glaucomatous changes in the visual system, determining the disease severity, and identifying potential neurotherapeutic targets, offering more options to slow glaucoma progression and to reduce the prevalence of this world's leading cause of irreversible but preventable blindness.

摘要

青光眼是一组眼科疾病,其特征为视网膜神经节细胞进行性死亡、视神经变性以及不可逆的视力丧失。虽然眼压是唯一可在临床上进行调节的风险因素,但青光眼在眼压得到控制的情况下仍可能继续发展,这表明还有其他主要因素参与了疾病机制。最近的研究表明,先进的扩散磁共振成像(dMRI)能够可视化视觉系统的微观结构完整性,为青光眼性脑改变的非侵入性特征描述开辟了新的可能性,从而除了降低眼压之外还能指导更早且有针对性的干预。在这篇综述中,我们讨论目前在视觉系统研究中使用的dMRI方法,重点关注眼睛、视神经、视束、皮层下视觉脑核、视辐射和视觉皮层。我们评估传统的扩散张量成像、高阶扩散峰度成像以及其他扩展的dMRI技术如何能够在青光眼以及其他视神经病变或神经退行性疾病的人类和实验动物模型中评估视觉系统的神经元和神经胶质完整性。我们还将这些方法与其他成像方式的优缺点进行比较。越来越多的dMRI研究表明,这种成像方式在表征视觉系统早期青光眼性改变、确定疾病严重程度以及识别潜在的神经治疗靶点方面具有前景,为减缓青光眼进展以及降低这种全球不可逆但可预防失明的主要原因的患病率提供了更多选择。

https://cdn.ncbi.nlm.nih.gov/pmc/blobs/bf5b/8945790/bda672384922/biology-11-00454-g001.jpg

文献检索

告别复杂PubMed语法,用中文像聊天一样搜索,搜遍4000万医学文献。AI智能推荐,让科研检索更轻松。

立即免费搜索

文件翻译

保留排版,准确专业,支持PDF/Word/PPT等文件格式,支持 12+语言互译。

免费翻译文档

深度研究

AI帮你快速写综述,25分钟生成高质量综述,智能提取关键信息,辅助科研写作。

立即免费体验