• 文献检索
  • 文档翻译
  • 深度研究
  • 学术资讯
  • Suppr Zotero 插件Zotero 插件
  • 邀请有礼
  • 套餐&价格
  • 历史记录
应用&插件
Suppr Zotero 插件Zotero 插件浏览器插件Mac 客户端Windows 客户端微信小程序
定价
高级版会员购买积分包购买API积分包
服务
文献检索文档翻译深度研究API 文档MCP 服务
关于我们
关于 Suppr公司介绍联系我们用户协议隐私条款
关注我们

Suppr 超能文献

核心技术专利:CN118964589B侵权必究
粤ICP备2023148730 号-1Suppr @ 2026

文献检索

告别复杂PubMed语法,用中文像聊天一样搜索,搜遍4000万医学文献。AI智能推荐,让科研检索更轻松。

立即免费搜索

文件翻译

保留排版,准确专业,支持PDF/Word/PPT等文件格式,支持 12+语言互译。

免费翻译文档

深度研究

AI帮你快速写综述,25分钟生成高质量综述,智能提取关键信息,辅助科研写作。

立即免费体验

长链非编码 RNA SNHG5 通过调控 UPF1 和 Wnt 信号通路促进肝癌的增殖和肿瘤干细胞样特性。

LncRNA SNHG5 promotes the proliferation and cancer stem cell-like properties of HCC by regulating UPF1 and Wnt-signaling pathway.

机构信息

Department of Gastroenterology, the First Affiliated Hospital of Xi'an Jiaotong University, Xi'an, Shaanxi, 710061, P.R. China.

出版信息

Cancer Gene Ther. 2022 Oct;29(10):1373-1383. doi: 10.1038/s41417-022-00456-3. Epub 2022 Mar 25.

DOI:10.1038/s41417-022-00456-3
PMID:35338348
原文链接:https://pmc.ncbi.nlm.nih.gov/articles/PMC9576592/
Abstract

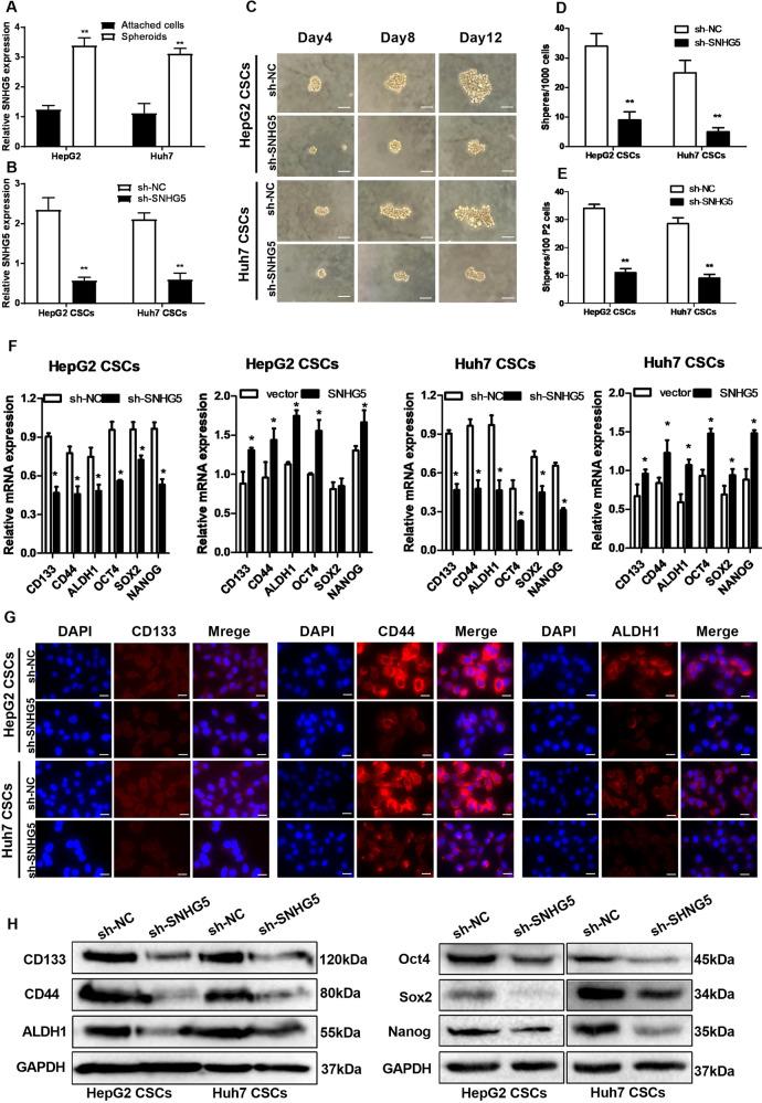
The role of long noncoding RNA (lncRNAs) had been demonstrated in different types of cancer, including hepatocellular carcinoma. This study was intended to investigate the role of lncRNA small nucleolar RNA host gene 5 (SNHG5) in HCC proliferation and the liver CSC-like properties. Through functional experiments, we determined that knockdown of SNHG5 repressed HCC cell proliferation and CSC-like properties, while over-expression of SNHG5 promoted cell growth. At the same time, CSC markers (CD44, CD133, and ALDH1) and related transcription factors (OCT4, SOX2, and NANOG) were downregulated when SNHG5 was knocked down. Mechanically, RNA immunoprecipitation (RIP) and RNA pulldown assay showed that SNHG5 regulated the proliferation and CSC-like properties of HCC by binding UPF1. Further investigations showed that expression of critical components of Wnt/β-catenin pathway (β-catenin, TCF4, c-myc, cyclinD1, and c-Jun) were upregulated with depletion of UPF1 in liver CSCs, which were downregulated with depletion of SNHG5. After use of the inhibitor of Wnt/β-catenin pathway, the formation of liver CSCs sphere decreased. Taken together, SNHG5 plays a critical role to promote HCC cell proliferation and cancer stem cell-like properties via UPF1 and Wnt/β-catenin pathway.

摘要

长链非编码 RNA(lncRNA)在多种类型的癌症中发挥作用,包括肝细胞癌。本研究旨在探讨 lncRNA 小核仁 RNA 宿主基因 5(SNHG5)在 HCC 增殖和肝 CSC 样特性中的作用。通过功能实验,我们确定敲低 SNHG5 抑制 HCC 细胞增殖和 CSC 样特性,而过表达 SNHG5 促进细胞生长。同时,当 SNHG5 被敲低时,CSC 标志物(CD44、CD133 和 ALDH1)和相关转录因子(OCT4、SOX2 和 NANOG)下调。在机制上,RNA 免疫沉淀(RIP)和 RNA 下拉实验表明,SNHG5 通过结合 UPF1 来调节 HCC 的增殖和 CSC 样特性。进一步的研究表明,在肝 CSCs 中,Wnt/β-catenin 通路的关键成分(β-catenin、TCF4、c-myc、cyclinD1 和 c-Jun)的表达上调,而在 SNHG5 耗尽时下调。使用 Wnt/β-catenin 通路抑制剂后,肝 CSCs 球体的形成减少。总之,SNHG5 通过 UPF1 和 Wnt/β-catenin 通路在促进 HCC 细胞增殖和癌症干细胞样特性方面发挥关键作用。

https://cdn.ncbi.nlm.nih.gov/pmc/blobs/4b14/9576592/a5f178f5f596/41417_2022_456_Fig7_HTML.jpg
https://cdn.ncbi.nlm.nih.gov/pmc/blobs/4b14/9576592/29822a3ca3bd/41417_2022_456_Fig1_HTML.jpg
https://cdn.ncbi.nlm.nih.gov/pmc/blobs/4b14/9576592/66402726f6ab/41417_2022_456_Fig2_HTML.jpg
https://cdn.ncbi.nlm.nih.gov/pmc/blobs/4b14/9576592/009e7b7fe623/41417_2022_456_Fig3_HTML.jpg
https://cdn.ncbi.nlm.nih.gov/pmc/blobs/4b14/9576592/03c762e19cce/41417_2022_456_Fig4_HTML.jpg
https://cdn.ncbi.nlm.nih.gov/pmc/blobs/4b14/9576592/7a3af8a1d9b8/41417_2022_456_Fig5_HTML.jpg
https://cdn.ncbi.nlm.nih.gov/pmc/blobs/4b14/9576592/de1dfae60402/41417_2022_456_Fig6_HTML.jpg
https://cdn.ncbi.nlm.nih.gov/pmc/blobs/4b14/9576592/a5f178f5f596/41417_2022_456_Fig7_HTML.jpg
https://cdn.ncbi.nlm.nih.gov/pmc/blobs/4b14/9576592/29822a3ca3bd/41417_2022_456_Fig1_HTML.jpg
https://cdn.ncbi.nlm.nih.gov/pmc/blobs/4b14/9576592/66402726f6ab/41417_2022_456_Fig2_HTML.jpg
https://cdn.ncbi.nlm.nih.gov/pmc/blobs/4b14/9576592/009e7b7fe623/41417_2022_456_Fig3_HTML.jpg
https://cdn.ncbi.nlm.nih.gov/pmc/blobs/4b14/9576592/03c762e19cce/41417_2022_456_Fig4_HTML.jpg
https://cdn.ncbi.nlm.nih.gov/pmc/blobs/4b14/9576592/7a3af8a1d9b8/41417_2022_456_Fig5_HTML.jpg
https://cdn.ncbi.nlm.nih.gov/pmc/blobs/4b14/9576592/de1dfae60402/41417_2022_456_Fig6_HTML.jpg
https://cdn.ncbi.nlm.nih.gov/pmc/blobs/4b14/9576592/a5f178f5f596/41417_2022_456_Fig7_HTML.jpg

相似文献

1
LncRNA SNHG5 promotes the proliferation and cancer stem cell-like properties of HCC by regulating UPF1 and Wnt-signaling pathway.长链非编码 RNA SNHG5 通过调控 UPF1 和 Wnt 信号通路促进肝癌的增殖和肿瘤干细胞样特性。
Cancer Gene Ther. 2022 Oct;29(10):1373-1383. doi: 10.1038/s41417-022-00456-3. Epub 2022 Mar 25.
2
Long non-coding RNA SNHG5 promotes human hepatocellular carcinoma progression by regulating miR-26a-5p/GSK3β signal pathway.长链非编码 RNA SNHG5 通过调控 miR-26a-5p/GSK3β 信号通路促进人肝癌进展。
Cell Death Dis. 2018 Aug 30;9(9):888. doi: 10.1038/s41419-018-0882-5.
3
LncRNA NUTM2A-AS1 aggravates the progression of hepatocellular carcinoma by activating the miR-186-5p/KLF7-mediated Wnt/beta-catenin pathway.长链非编码RNA NUTM2A-AS1通过激活miR-186-5p/KLF7介导的Wnt/β-连环蛋白信号通路促进肝细胞癌进展。
Hum Cell. 2023 Jan;36(1):312-328. doi: 10.1007/s13577-022-00802-5. Epub 2022 Oct 15.
4
Downregulation of Cancer Stemness by Novel Diterpenoid Ovatodiolide Inhibits Hepatic Cancer Stem Cell-Like Traits by Repressing Wnt/[Formula: see text]-Catenin Signaling.新型二萜化合物 ovatodiolide 通过抑制 Wnt/β-catenin 信号通路下调肝癌干细胞干性抑制肝癌干细胞样特性。
Am J Chin Med. 2018;46(4):891-910. doi: 10.1142/S0192415X18500477. Epub 2018 May 24.
5
EGR1-induced upregulation of lncRNA FOXD2-AS1 promotes the progression of hepatocellular carcinoma via epigenetically silencing DKK1 and activating Wnt/β-catenin signaling pathway.EGR1 诱导的长链非编码 RNA FOXD2-AS1 上调促进肝细胞癌的进展,通过表观遗传沉默 DKK1 并激活 Wnt/β-catenin 信号通路。
Cancer Biol Ther. 2019;20(7):1007-1016. doi: 10.1080/15384047.2019.1595276. Epub 2019 Mar 31.
6
Linc00210 drives Wnt/β-catenin signaling activation and liver tumor progression through CTNNBIP1-dependent manner.Linc00210 通过 CTNNBIP1 依赖性方式驱动 Wnt/β-catenin 信号激活和肝肿瘤进展。
Mol Cancer. 2018 Mar 14;17(1):73. doi: 10.1186/s12943-018-0783-3.
7
A positive feedback loop involving the LINC00346/β-catenin/MYC axis promotes hepatocellular carcinoma development.LINC00346/β-catenin/MYC 轴的正反馈环促进肝细胞癌的发展。
Cell Oncol (Dordr). 2020 Feb;43(1):137-153. doi: 10.1007/s13402-019-00478-4. Epub 2019 Nov 5.
8
Long Noncoding RNA lncCAMTA1 Promotes Proliferation and Cancer Stem Cell-Like Properties of Liver Cancer by Inhibiting CAMTA1.长链非编码RNA lncCAMTA1通过抑制CAMTA1促进肝癌细胞增殖及类癌干细胞特性
Int J Mol Sci. 2016 Sep 23;17(10):1617. doi: 10.3390/ijms17101617.
9
Long non-coding RNA SNHG5 promotes human hepatocellular carcinoma progression by regulating miR-363-3p/RNF38 axis.长链非编码 RNA SNHG5 通过调控 miR-363-3p/RNF38 轴促进人肝癌进展。
Eur Rev Med Pharmacol Sci. 2020 Apr;24(7):3592-3604. doi: 10.26355/eurrev_202004_20821.
10
Long non-coding RNA SNAI3-AS1 promotes the proliferation and metastasis of hepatocellular carcinoma by regulating the UPF1/Smad7 signalling pathway.长链非编码 RNA SNAI3-AS1 通过调控 UPF1/Smad7 信号通路促进肝癌的增殖和转移。
J Cell Mol Med. 2019 Sep;23(9):6271-6282. doi: 10.1111/jcmm.14513. Epub 2019 Jul 2.

引用本文的文献

1
LncRNA SNHG5 modulates cell proliferation and migration through the miR-92a-3p/BTG2 axis in gastric cancer by the PI3K/AKT pathway.长链非编码RNA SNHG5通过PI3K/AKT途径,经miR-92a-3p/BTG2轴调控胃癌细胞的增殖和迁移。
World J Gastrointest Oncol. 2025 Aug 15;17(8):105321. doi: 10.4251/wjgo.v17.i8.105321.
2
Bioinformatic analysis and retrospective clinical study identifying DNAJB4 as a pan-cancer biomarker with a highlight on kidney cancer.生物信息学分析和回顾性临床研究确定DNAJB4作为一种泛癌生物标志物,重点关注肾癌。
Clin Exp Med. 2025 Jul 22;25(1):260. doi: 10.1007/s10238-025-01806-9.
3
Long noncoding RNA promotes 5-fluorouracil resistance in colorectal cancer by regulating miR-26b/p-glycoprotein axis.

本文引用的文献

1
LncRNA SNHG5 regulates imatinib resistance in chronic myeloid leukemia via acting as a CeRNA against MiR-205-5p.长链非编码RNA SNHG5通过作为微小RNA-205-5p的竞争性内源RNA来调节慢性髓性白血病中的伊马替尼耐药性。
Am J Cancer Res. 2017 Aug 1;7(8):1704-1713. eCollection 2017.
长链非编码RNA通过调控miR-26b/p-糖蛋白轴促进结直肠癌对5-氟尿嘧啶的耐药性。
World J Gastrointest Oncol. 2025 May 15;17(5):102417. doi: 10.4251/wjgo.v17.i5.102417.
4
Unlocking the life code: a review of SnoRNA functional diversity and disease relevance.解锁生命密码:小核仁RNA功能多样性及与疾病相关性综述
Cell Commun Signal. 2025 Jun 4;23(1):266. doi: 10.1186/s12964-025-02274-0.
5
Wnt signaling in cancer: from biomarkers to targeted therapies and clinical translation.癌症中的Wnt信号传导:从生物标志物到靶向治疗及临床转化
Mol Cancer. 2025 Apr 2;24(1):107. doi: 10.1186/s12943-025-02306-w.
6
Highly expressed GCN1 is associated with cancer progression and poor prognosis in hepatocellular carcinoma patients.高表达的GCN1与肝细胞癌患者的癌症进展及不良预后相关。
Cancer Cell Int. 2025 Mar 20;25(1):107. doi: 10.1186/s12935-025-03732-y.
7
YY1-mediated DUXAP8 facilitates HCC progression via modulating DEPDC1 expression.YY1介导的DUXAP8通过调节DEPDC1的表达促进肝癌进展。
Clin Exp Med. 2025 Feb 24;25(1):65. doi: 10.1007/s10238-025-01572-8.
8
Construction and Validation of a Novel Butyrylation-Related Gene Signature Related to Prognosis, Clinical Implications, and Immune Microenvironment Characterization of Hepatocellular Carcinoma.一种与肝细胞癌预后、临床意义及免疫微环境特征相关的新型丁酰化相关基因特征的构建与验证
ACS Omega. 2025 Jan 18;10(4):3375-3388. doi: 10.1021/acsomega.4c06496. eCollection 2025 Feb 4.
9
Expression study of Wnt/β-catenin signaling pathway associated lncRNAs in schizophrenia.精神分裂症中Wnt/β-连环蛋白信号通路相关长链非编码RNA的表达研究
Ann Gen Psychiatry. 2025 Jan 13;24(1):4. doi: 10.1186/s12991-025-00545-1.
10
LINC02466 promotes the progression of hepatocellular carcinoma through the mTOR pathway.LINC02466通过mTOR途径促进肝细胞癌的进展。
Discov Oncol. 2024 Nov 6;15(1):623. doi: 10.1007/s12672-024-00999-x.