Suppr超能文献

阿帕琳-13预处理通过提高间充质干细胞的存活率来增强其对心肌梗死的心脏保护作用。

Apelin-13 Pretreatment Promotes the Cardioprotective Effect of Mesenchymal Stem Cells against Myocardial Infarction by Improving Their Survival.

作者信息

Chen Guona, Liang Xiaoting, Han Qian, Mai Cong, Shi Linli, Shao Zhuang, Hong Yimei, Lin Fang, Li Mimi, Hu Bei, Li Xin, Zhang Yuelin

机构信息

School of Medicine, South China University of Technology, Guangzhou, China.

Department of Emergency Medicine, Guangdong Provincial People's Hospital, Guangdong Academy of Medical Sciences, Guangzhou, China.

出版信息

Stem Cells Int. 2022 Mar 21;2022:3742678. doi: 10.1155/2022/3742678. eCollection 2022.

Abstract

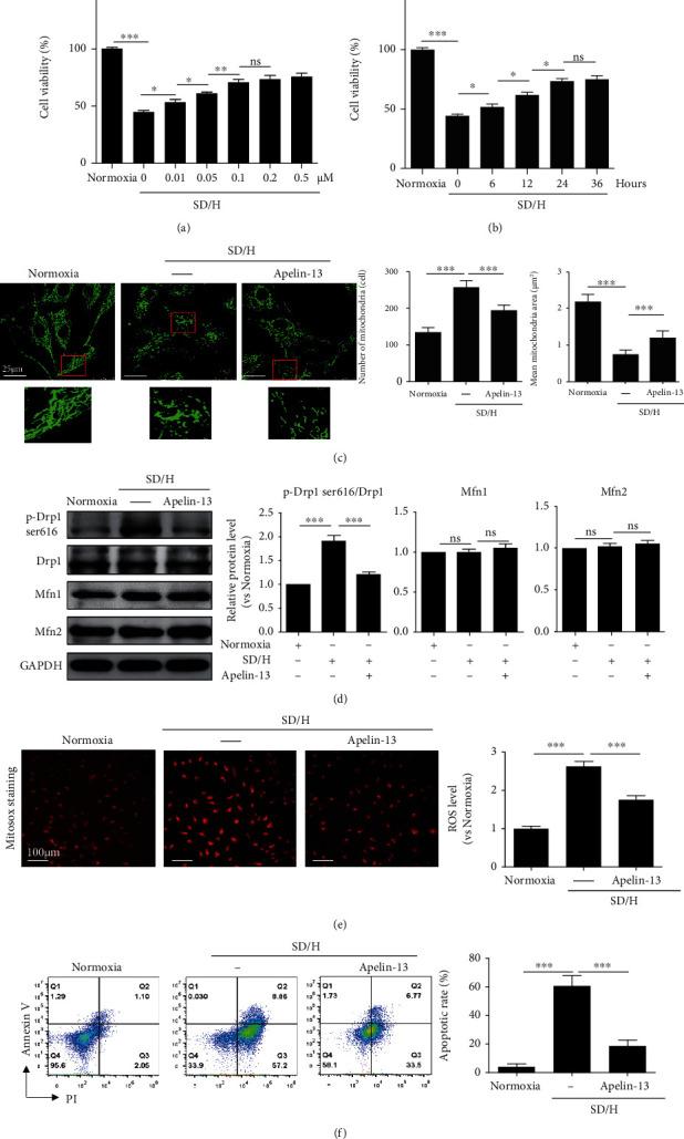
Although mesenchymal stem cell- (MSC-) based therapy has shown promising results for myocardial infarction (MI), low cell survival heavily limits its beneficial effects. Apelin plays an essential regulatory role in cell proliferation. This study was aimed at determining whether Apelin-13 pretreatment could improve the survival of MSCs in the ischemic heart and enhance their cardioprotective efficacy against MI. MSCs were pretreated with or without Apelin-13 for 24 hours and then exposed to serum deprivation and hypoxia (SD/H) for 48 hours. The mitochondrial morphology of MSCs was assessed by MitoTracker staining. The apoptosis of MSCs was determined by TUNEL staining. The level of mitochondrial reactive oxygen species (ROS) of MSCs was detected by Mito-Sox staining. MSCs and Apelin-13-pretreated MSCs were transplanted into the peri-infarct region in a mouse MI model. Apelin-13 pretreatment protected MSCs against SD/H-induced mitochondrial fragmentation and apoptosis. Apelin-13 pretreatment reduced ROS generation induced by SD/H in MSCs. Furthermore, Apelin-13 pretreatment enhanced the angiogenesis of MSCs under SD/H conditions. Mechanistically, Apelin-13 pretreatment inhibited SD/H-induced MSC apoptosis by downregulating mitochondrial fission via activation of the ERK pathway, and these effects were partially abrogated by ERK inhibitor U0126. Apelin-13 pretreatment promoted the survival of MSCs in the ischemic heart. Moreover, transplantation with Apelin-13-pretreated MSCs improved heart function and increased angiogenesis accompanied by decreased fibrosis compared with MSC transplantation at 28 days following MI. These findings reveal that pretreatment with Apelin-13 improves MSCs survival and enhances their therapeutic efficacy for MI. Our study provides a novel approach to improve MSC-based therapy for cardiovascular disease.

摘要

尽管基于间充质干细胞(MSC)的疗法在心肌梗死(MI)治疗中已显示出有前景的结果,但低细胞存活率严重限制了其有益效果。Apelin在细胞增殖中起重要调节作用。本研究旨在确定Apelin-13预处理是否能提高缺血心脏中MSC的存活率,并增强其对MI的心脏保护功效。将MSC在有或无Apelin-13的情况下预处理24小时,然后暴露于血清剥夺和缺氧(SD/H)环境48小时。通过MitoTracker染色评估MSC的线粒体形态。通过TUNEL染色确定MSC的凋亡。通过Mito-Sox染色检测MSC的线粒体活性氧(ROS)水平。将MSC和经Apelin-13预处理的MSC移植到小鼠MI模型的梗死周边区域。Apelin-13预处理可保护MSC免受SD/H诱导的线粒体碎片化和凋亡。Apelin-13预处理减少了SD/H诱导的MSC中ROS的产生。此外,Apelin-13预处理增强了SD/H条件下MSC的血管生成。机制上,Apelin-13预处理通过激活ERK途径下调线粒体分裂来抑制SD/H诱导的MSC凋亡,而ERK抑制剂U0126可部分消除这些作用。Apelin-13预处理促进了缺血心脏中MSC的存活。此外,与MI后28天的MSC移植相比,移植经Apelin-13预处理的MSC可改善心脏功能、增加血管生成并伴有纤维化减少。这些发现表明,Apelin-13预处理可提高MSC的存活率并增强其对MI的治疗功效。我们的研究为改善基于MSC的心血管疾病治疗提供了一种新方法。

https://cdn.ncbi.nlm.nih.gov/pmc/blobs/4c31/8960019/c72cda86ecd4/SCI2022-3742678.001.jpg

文献AI研究员

20分钟写一篇综述,助力文献阅读效率提升50倍。

立即体验

用中文搜PubMed

大模型驱动的PubMed中文搜索引擎

马上搜索

文档翻译

学术文献翻译模型,支持多种主流文档格式。

立即体验