Suppr超能文献

新型冠状病毒肺炎信使核糖核酸疫苗相关间质性肺疾病:两例病例报告及文献综述

COVID-19 mRNA vaccine-related interstitial lung disease: Two case reports and literature review.

作者信息

So Clara, Izumi Shinyu, Ishida Akane, Hirakawa Ryo, Kusaba Yusaku, Hashimoto Masao, Ishii Satoru, Miyazaki Hideki, Iikura Motoyasu, Hojo Masayuki

机构信息

Department of Respiratory Medicine National Center for Global Health and Medicine Shinjuku City Japan.

Division of Pathology National Center for Global Health and Medicine Shinjuku City Japan.

出版信息

Respirol Case Rep. 2022 Mar 23;10(4):e0938. doi: 10.1002/rcr2.938. eCollection 2022 Apr.

Abstract

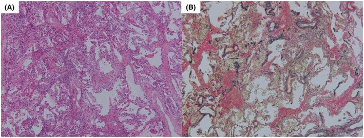
The Pfizer-BioNTech mRNA vaccine (BNT162b2) is an effective and well-tolerated coronavirus disease 2019 (COVID-19) vaccine. However, rare adverse events have been reported. We report two cases of COVID-19 mRNA vaccine-related interstitial lung disease (ILD). A 67-year-old man and a 70-year-old man with underlying ILD presented to our hospital with a few days of fever and respiratory symptoms after receiving the BNT162b2 vaccine. Drug-related pneumonitis due to the COVID-19 mRNA vaccine was diagnosed. One case was diagnosed with lymphocytic alveolitis by bronchoalveolar lavage fluid and transbronchial lung cryobiopsy. Both patients were successfully treated with corticosteroids, and they attended outpatient clinics thereafter. Although the safety and efficacy of COVID-19 vaccines have been established, further studies are needed to estimate long-term data and reports of rare adverse reactions. We present the clinical course of two cases, review previously published case reports on COVID-19 mRNA vaccine-related ILD and discuss the relevant findings.

摘要

辉瑞-生物科技mRNA疫苗(BNT162b2)是一种有效且耐受性良好的2019冠状病毒病(COVID-19)疫苗。然而,已有罕见不良事件的报告。我们报告两例与COVID-19 mRNA疫苗相关的间质性肺病(ILD)。一名67岁男性和一名70岁男性患有潜在ILD,在接种BNT162b2疫苗后数天因发热和呼吸道症状前来我院就诊。诊断为COVID-19 mRNA疫苗相关的药物性肺炎。其中一例经支气管肺泡灌洗和经支气管肺冷冻活检诊断为淋巴细胞性肺泡炎。两名患者均接受皮质类固醇成功治疗,此后前往门诊就诊。尽管COVID-19疫苗的安全性和有效性已得到证实,但仍需要进一步研究以评估长期数据和罕见不良反应报告。我们介绍两例的临床过程,回顾先前发表的关于COVID-19 mRNA疫苗相关ILD的病例报告并讨论相关发现。

https://cdn.ncbi.nlm.nih.gov/pmc/blobs/235c/8942814/699b83300d53/RCR2-10-e0938-g001.jpg

文献检索

告别复杂PubMed语法,用中文像聊天一样搜索,搜遍4000万医学文献。AI智能推荐,让科研检索更轻松。

立即免费搜索

文件翻译

保留排版,准确专业,支持PDF/Word/PPT等文件格式,支持 12+语言互译。

免费翻译文档

深度研究

AI帮你快速写综述,25分钟生成高质量综述,智能提取关键信息,辅助科研写作。

立即免费体验