• 文献检索
  • 文档翻译
  • 深度研究
  • 学术资讯
  • Suppr Zotero 插件Zotero 插件
  • 邀请有礼
  • 套餐&价格
  • 历史记录
应用&插件
Suppr Zotero 插件Zotero 插件浏览器插件Mac 客户端Windows 客户端微信小程序
定价
高级版会员购买积分包购买API积分包
服务
文献检索文档翻译深度研究API 文档MCP 服务
关于我们
关于 Suppr公司介绍联系我们用户协议隐私条款
关注我们

Suppr 超能文献

核心技术专利:CN118964589B侵权必究
粤ICP备2023148730 号-1Suppr @ 2026

文献检索

告别复杂PubMed语法,用中文像聊天一样搜索,搜遍4000万医学文献。AI智能推荐,让科研检索更轻松。

立即免费搜索

文件翻译

保留排版,准确专业,支持PDF/Word/PPT等文件格式,支持 12+语言互译。

免费翻译文档

深度研究

AI帮你快速写综述,25分钟生成高质量综述,智能提取关键信息,辅助科研写作。

立即免费体验

免疫功能正常儿童轻微皮肤创伤后发生的皮肤毛霉病

Cutaneous Mucormycosis in an Immunocompetent Child following a Minor Skin Trauma.

作者信息

Shingde Rashmi, Cui Rebecca, Perera Ruwan

机构信息

Department of General Surgery, Dubbo Base Hospital, Dubbo, NSW 2830, Australia.

出版信息

Case Rep Surg. 2022 Mar 22;2022:7005024. doi: 10.1155/2022/7005024. eCollection 2022.

DOI:10.1155/2022/7005024
PMID:35359820
原文链接:https://pmc.ncbi.nlm.nih.gov/articles/PMC8964220/
Abstract

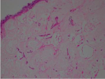
Cutaneous mucormycosis is a rare infection by the class of fungi, which carries significant morbidity and mortality. While typically associated in patients with underlying immunocompromise (especially in the current era of COVID-19), it may also be seen in immunocompetent patients. We report a case of a healthy 4-year-old girl with acute right leg cellulitis and abscess formation, who required surgical debridement following poor response to antibiotic therapy and initial incision and drainage. Tissue histopathology returned cutaneous zygomycosis despite negative tissue cultures. At four-week follow-up, her wound was healed well. Clinicians should maintain a high degree of clinical suspicion for cutaneous mucormycosis given its potential for rapidly progressive and disseminated disease. Currently, the mainstay of diagnostic investigations is tissue histopathology, with a growing role for tissue fungal PCR. Treatment involves multidisciplinary management between surgeons and Infectious Diseases team to guide the role for surgical debridement and antifungal therapy.

摘要

皮肤毛霉病是一种由真菌引起的罕见感染,具有较高的发病率和死亡率。虽然通常与潜在免疫功能低下的患者相关(尤其是在当前新冠疫情时代),但在免疫功能正常的患者中也可能出现。我们报告一例健康的4岁女童,患有急性右腿蜂窝织炎并形成脓肿,在对抗生素治疗以及初始切开引流反应不佳后,需要进行手术清创。尽管组织培养结果为阴性,但组织病理学检查显示为皮肤接合菌病。在四周的随访中,她的伤口愈合良好。鉴于皮肤毛霉病有迅速进展和播散性疾病的可能性,临床医生应保持高度的临床怀疑。目前,诊断性检查的主要手段是组织病理学检查,组织真菌PCR的作用也日益重要。治疗需要外科医生和感染病团队进行多学科管理,以指导手术清创和抗真菌治疗的作用。

https://cdn.ncbi.nlm.nih.gov/pmc/blobs/6760/8964220/30f56336c96d/CRIS2022-7005024.004.jpg
https://cdn.ncbi.nlm.nih.gov/pmc/blobs/6760/8964220/9e0270020b14/CRIS2022-7005024.001.jpg
https://cdn.ncbi.nlm.nih.gov/pmc/blobs/6760/8964220/4ce311b8d988/CRIS2022-7005024.002.jpg
https://cdn.ncbi.nlm.nih.gov/pmc/blobs/6760/8964220/b4d8876eb9ab/CRIS2022-7005024.003.jpg
https://cdn.ncbi.nlm.nih.gov/pmc/blobs/6760/8964220/30f56336c96d/CRIS2022-7005024.004.jpg
https://cdn.ncbi.nlm.nih.gov/pmc/blobs/6760/8964220/9e0270020b14/CRIS2022-7005024.001.jpg
https://cdn.ncbi.nlm.nih.gov/pmc/blobs/6760/8964220/4ce311b8d988/CRIS2022-7005024.002.jpg
https://cdn.ncbi.nlm.nih.gov/pmc/blobs/6760/8964220/b4d8876eb9ab/CRIS2022-7005024.003.jpg
https://cdn.ncbi.nlm.nih.gov/pmc/blobs/6760/8964220/30f56336c96d/CRIS2022-7005024.004.jpg

相似文献

1
Cutaneous Mucormycosis in an Immunocompetent Child following a Minor Skin Trauma.免疫功能正常儿童轻微皮肤创伤后发生的皮肤毛霉病
Case Rep Surg. 2022 Mar 22;2022:7005024. doi: 10.1155/2022/7005024. eCollection 2022.
2
Cutaneous Mucormycosis in a Young Immunocompetent Trauma Patient: A Case Report.一名年轻免疫功能正常的创伤患者的皮肤毛霉病:病例报告
Eur J Case Rep Intern Med. 2023 Oct 26;10(12):004068. doi: 10.12890/2023_004068. eCollection 2023.
3
[Necrotizing fasciitis caused by cutaneous mucormycosis. A case report].[皮肤毛霉菌病引起的坏死性筋膜炎。病例报告]
Cir Cir. 2012 Sep-Oct;80(5):462-5.
4
Cutaneous mucormycosis of the lower extremity leading amputation in two diabetic patients.两例糖尿病患者下肢皮肤毛霉病导致截肢
Arch Plast Surg. 2021 Mar;48(2):231-236. doi: 10.5999/aps.2020.00549. Epub 2021 Mar 4.
5
Mucormycosis.毛霉菌病。
Semin Respir Crit Care Med. 2020 Feb;41(1):99-114. doi: 10.1055/s-0039-3401992. Epub 2020 Jan 30.
6
[Evaluation of zygomycosis cases by pooled analysis method reported from Turkey].[通过土耳其报告的汇总分析方法对毛霉菌病病例进行评估]
Mikrobiyol Bul. 2013 Oct;47(4):708-16. doi: 10.5578/mb.5836.
7
Primary cutaneous mucormycosis in an immunocompetent host: report of a case.免疫功能正常宿主的原发性皮肤毛霉病:一例报告
Surg Today. 2003;33(4):319-22. doi: 10.1007/s005950300073.
8
Vacuum-Assisted Closure and Skin Grafting Combined with Amphotericin B for Successful Treatment of an Immunocompromised Patient with Cutaneous Mucormycosis Caused by Mucor irregularis: A Case Report and Literature Review.真空辅助闭合和皮肤移植联合两性霉素 B 成功治疗免疫功能低下患者由不规则毛霉引起的皮肤毛霉病:病例报告及文献复习。
Mycopathologia. 2021 Jun;186(3):449-459. doi: 10.1007/s11046-021-00551-3. Epub 2021 Jun 15.
9
Primary cutaneous mucormycosis: guide to surgical management.原发性皮肤毛霉病:手术治疗指南
Ann Plast Surg. 2002 Oct;49(4):385-90. doi: 10.1097/00000637-200210000-00009.
10
Saksenaea vasiformis Orbital Cellulitis in an Immunocompetent Child Treated With Posaconazole.免疫功能正常儿童的萨特西尼球腔菌眶内蜂窝织炎经泊沙康唑治疗。
J Pediatric Infect Dis Soc. 2018 Aug 17;7(3):e169-e171. doi: 10.1093/jpids/piy021.

引用本文的文献

1
Cutaneous mucormycosis in systemic lupus erythematosus: a case report.
Front Immunol. 2025 Sep 10;16:1602639. doi: 10.3389/fimmu.2025.1602639. eCollection 2025.
2
Cutaneous mucormycosis in a young immunocompetent host - a case report.一名免疫功能正常的年轻宿主的皮肤毛霉病——病例报告
J Surg Case Rep. 2025 Sep 8;2025(9):rjaf374. doi: 10.1093/jscr/rjaf374. eCollection 2025 Sep.

本文引用的文献

1
Mucormycosis in COVID-19: A systematic review of cases reported worldwide and in India.COVID-19 相关毛霉菌病:全球及印度病例报告的系统综述。
Diabetes Metab Syndr. 2021 Jul-Aug;15(4):102146. doi: 10.1016/j.dsx.2021.05.019. Epub 2021 May 21.
2
Global guideline for the diagnosis and management of mucormycosis: an initiative of the European Confederation of Medical Mycology in cooperation with the Mycoses Study Group Education and Research Consortium.全球毛霉病诊断和管理指南:欧洲医学真菌学会联合会与真菌感染研究组教育和研究联盟合作开展的一项倡议。
Lancet Infect Dis. 2019 Dec;19(12):e405-e421. doi: 10.1016/S1473-3099(19)30312-3. Epub 2019 Nov 5.
3
Necrotizing Mucormycosis of Wounds Following Combat Injuries, Natural Disasters, Burns, and Other Trauma.
战斗创伤、自然灾害、烧伤及其他创伤后伤口的坏死性毛霉病
J Fungi (Basel). 2019 Jul 4;5(3):57. doi: 10.3390/jof5030057.
4
The epidemiology and clinical manifestations of mucormycosis: a systematic review and meta-analysis of case reports.毛霉病的流行病学和临床表现:病例报告的系统评价和荟萃分析。
Clin Microbiol Infect. 2019 Jan;25(1):26-34. doi: 10.1016/j.cmi.2018.07.011. Epub 2018 Jul 21.
5
Cutaneous mucormycosis.皮肤毛霉病
Skinmed. 2013 May-Jun;11(3):155-9; quiz 159-60.
6
Cutaneous mucormycosis in a leukemic patient.一名白血病患者的皮肤毛霉菌病
J Coll Physicians Surg Pak. 2011 Feb;21(2):109-10.
7
Primary cutaneous mucormycosis caused by Rhizomucor variabilis in an immunocompetent patient.由多变根毛霉引起的免疫功能正常患者的原发性皮肤毛霉病。
Mycopathologia. 2009 Nov;168(5):243-7. doi: 10.1007/s11046-009-9219-3. Epub 2009 Jun 27.
8
Cutaneous mucormycosis in a young, immunocompetent girl.一名免疫功能正常的年轻女孩患皮肤毛霉病。
Med Mycol. 2006 Sep;44(6):567-70. doi: 10.1080/13693780600622411.
9
Epidemiology and outcome of zygomycosis: a review of 929 reported cases.毛霉菌病的流行病学与转归:929例报告病例的综述
Clin Infect Dis. 2005 Sep 1;41(5):634-53. doi: 10.1086/432579. Epub 2005 Jul 29.
10
Novel perspectives on mucormycosis: pathophysiology, presentation, and management.毛霉菌病的新视角:病理生理学、临床表现及治疗
Clin Microbiol Rev. 2005 Jul;18(3):556-69. doi: 10.1128/CMR.18.3.556-569.2005.