• 文献检索
  • 文档翻译
  • 深度研究
  • 学术资讯
  • Suppr Zotero 插件Zotero 插件
  • 邀请有礼
  • 套餐&价格
  • 历史记录
应用&插件
Suppr Zotero 插件Zotero 插件浏览器插件Mac 客户端Windows 客户端微信小程序
定价
高级版会员购买积分包购买API积分包
服务
文献检索文档翻译深度研究API 文档MCP 服务
关于我们
关于 Suppr公司介绍联系我们用户协议隐私条款
关注我们

Suppr 超能文献

核心技术专利:CN118964589B侵权必究
粤ICP备2023148730 号-1Suppr @ 2026

文献检索

告别复杂PubMed语法,用中文像聊天一样搜索,搜遍4000万医学文献。AI智能推荐,让科研检索更轻松。

立即免费搜索

文件翻译

保留排版,准确专业,支持PDF/Word/PPT等文件格式,支持 12+语言互译。

免费翻译文档

深度研究

AI帮你快速写综述,25分钟生成高质量综述,智能提取关键信息,辅助科研写作。

立即免费体验

碳酸酐酶 XII 介导人肝癌巨噬细胞的存活和促转移功能。

Carbonic anhydrase XII mediates the survival and prometastatic functions of macrophages in human hepatocellular carcinoma.

机构信息

Guangdong Province Key Laboratory of Pharmaceutical Functional Genes, MOE Key Laboratory of Gene Function and Regulation, School of Life Sciences, Sun Yat-sen University, Guangzhou, China.

State Key Laboratory of Oncology in Southern China, Collaborative Innovation Center for Cancer Medicine, Sun Yat-sen University Cancer Center, Guangzhou, China.

出版信息

J Clin Invest. 2022 Apr 1;132(7). doi: 10.1172/JCI153110.

DOI:10.1172/JCI153110
PMID:35362480
原文链接:https://pmc.ncbi.nlm.nih.gov/articles/PMC8970669/
Abstract

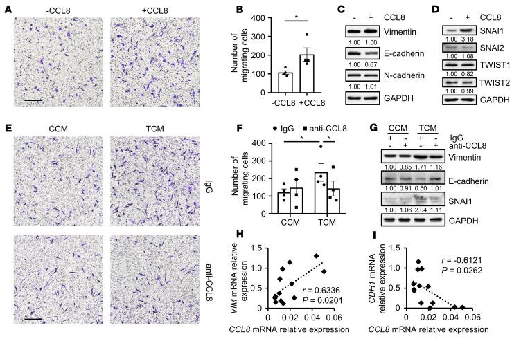
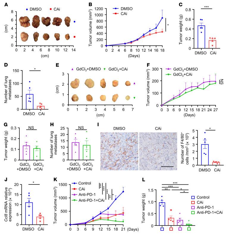
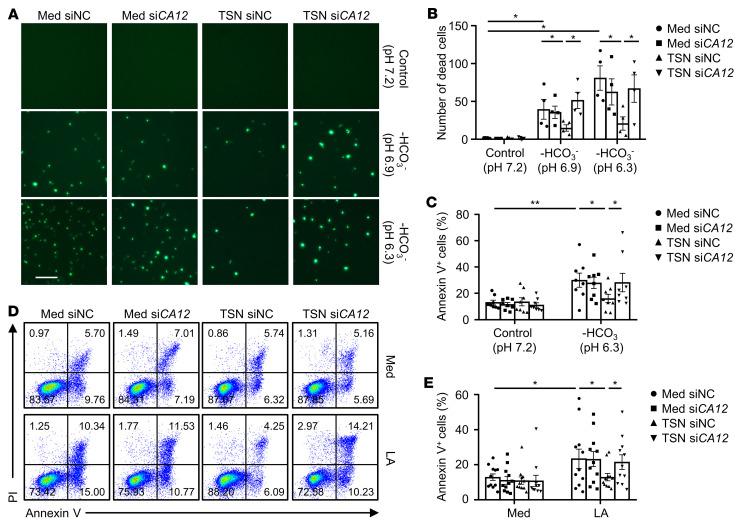
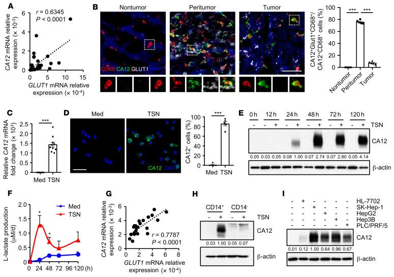
Macrophages constitute a major immune component in tumor tissues, but how these cells adapt to and survive in the nutrient-depleted and lactic acid-induced acidic tumor microenvironments is not yet fully understood. Here, we found that levels of carbonic anhydrase XII (CA12) expression were significantly and selectively upregulated on macrophages in human hepatocellular carcinoma (HCC). Transient glycolytic activation of peritumoral monocytes induced sustained expression of CA12 on tumor-infiltrating macrophages via autocrine cytokines and HIF1α pathways. On the one hand, CA12 mediated the survival of macrophages in relatively acidic tumor microenvironments, while on the other hand, it induced macrophage production of large amounts of C-C motif chemokine ligand 8 (CCL8), which enhanced cancer cell epithelial-mesenchymal transition (EMT) and facilitated tumor metastasis. Consistently, the accumulation of CA12+ macrophages in tumor tissues was associated with increased tumor metastatic potential and reduced survival of patients with HCC. Selective targeting of tumor-infiltrating macrophages with a CA12 inhibitor reduced tumor growth in mice and was sufficient to synergistically enhance the therapeutic efficacy of immune-checkpoint blockade. We suggest that CA12 activity is a previously unappreciated mechanism regulating the accumulation and functions of macrophages in tumor microenvironments and therefore represents a selective vulnerability that could be exploited in future designs for antitumor immunotherapeutic strategies.

摘要

肿瘤组织中的巨噬细胞构成了主要的免疫成分,但这些细胞如何适应和在营养匮乏且乳酸诱导的酸性肿瘤微环境中存活尚不完全清楚。在这里,我们发现人肝癌 (HCC) 中的巨噬细胞上碳酸酐酶 XII (CA12) 的表达水平显著且选择性地上调。肿瘤周围单核细胞的短暂糖酵解激活通过自分泌细胞因子和 HIF1α 途径诱导肿瘤浸润巨噬细胞持续表达 CA12。一方面,CA12 介导了巨噬细胞在相对酸性肿瘤微环境中的存活,另一方面,它诱导巨噬细胞大量产生 C-C 基序趋化因子配体 8 (CCL8),从而增强癌细胞上皮-间充质转化 (EMT) 并促进肿瘤转移。一致地,肿瘤组织中 CA12+巨噬细胞的积累与增加的肿瘤转移潜力和 HCC 患者的生存减少有关。用 CA12 抑制剂选择性靶向肿瘤浸润巨噬细胞可减少小鼠的肿瘤生长,并足以协同增强免疫检查点阻断的治疗效果。我们认为,CA12 活性是调节肿瘤微环境中巨噬细胞积累和功能的以前未被认识的机制,因此代表了一种选择性脆弱性,可以在未来的抗肿瘤免疫治疗策略设计中加以利用。

https://cdn.ncbi.nlm.nih.gov/pmc/blobs/624c/8970669/f47978c70bc2/jci-132-153110-g127.jpg
https://cdn.ncbi.nlm.nih.gov/pmc/blobs/624c/8970669/487a1d4bdc46/jci-132-153110-g121.jpg
https://cdn.ncbi.nlm.nih.gov/pmc/blobs/624c/8970669/c34296b94da9/jci-132-153110-g122.jpg
https://cdn.ncbi.nlm.nih.gov/pmc/blobs/624c/8970669/4a465d5c5cd8/jci-132-153110-g123.jpg
https://cdn.ncbi.nlm.nih.gov/pmc/blobs/624c/8970669/7cdf4d6e0d4d/jci-132-153110-g124.jpg
https://cdn.ncbi.nlm.nih.gov/pmc/blobs/624c/8970669/310e0556951a/jci-132-153110-g125.jpg
https://cdn.ncbi.nlm.nih.gov/pmc/blobs/624c/8970669/2686058dfe37/jci-132-153110-g126.jpg
https://cdn.ncbi.nlm.nih.gov/pmc/blobs/624c/8970669/f47978c70bc2/jci-132-153110-g127.jpg
https://cdn.ncbi.nlm.nih.gov/pmc/blobs/624c/8970669/487a1d4bdc46/jci-132-153110-g121.jpg
https://cdn.ncbi.nlm.nih.gov/pmc/blobs/624c/8970669/c34296b94da9/jci-132-153110-g122.jpg
https://cdn.ncbi.nlm.nih.gov/pmc/blobs/624c/8970669/4a465d5c5cd8/jci-132-153110-g123.jpg
https://cdn.ncbi.nlm.nih.gov/pmc/blobs/624c/8970669/7cdf4d6e0d4d/jci-132-153110-g124.jpg
https://cdn.ncbi.nlm.nih.gov/pmc/blobs/624c/8970669/310e0556951a/jci-132-153110-g125.jpg
https://cdn.ncbi.nlm.nih.gov/pmc/blobs/624c/8970669/2686058dfe37/jci-132-153110-g126.jpg
https://cdn.ncbi.nlm.nih.gov/pmc/blobs/624c/8970669/f47978c70bc2/jci-132-153110-g127.jpg

相似文献

1
Carbonic anhydrase XII mediates the survival and prometastatic functions of macrophages in human hepatocellular carcinoma.碳酸酐酶 XII 介导人肝癌巨噬细胞的存活和促转移功能。
J Clin Invest. 2022 Apr 1;132(7). doi: 10.1172/JCI153110.
2
An acid trip activates protumoral macrophages to promote hepatocellular carcinoma malignancy.酸旅激活促肿瘤巨噬细胞促进肝癌恶性进展。
J Clin Invest. 2022 Apr 1;132(7). doi: 10.1172/JCI158562.
3
Glycolytic activation of peritumoral monocytes fosters immune privilege via the PFKFB3-PD-L1 axis in human hepatocellular carcinoma.肿瘤周围单核细胞的糖酵解激活通过 PFKFB3-PD-L1 轴促进人肝癌中的免疫特权。
J Hepatol. 2019 Aug;71(2):333-343. doi: 10.1016/j.jhep.2019.04.007. Epub 2019 May 7.
4
Glycolytic activation of monocytes regulates the accumulation and function of neutrophils in human hepatocellular carcinoma.糖酵解激活单核细胞调节中性粒细胞在人肝癌中的积累和功能。
J Hepatol. 2020 Oct;73(4):906-917. doi: 10.1016/j.jhep.2020.05.004. Epub 2020 May 12.
5
Carbonic anhydrases reduce the acidity of the tumor microenvironment, promote immune infiltration, decelerate tumor growth, and improve survival in ErbB2/HER2-enriched breast cancer.碳酸酐酶降低肿瘤微环境酸度,促进免疫浸润,减缓肿瘤生长,提高 ErbB2/HER2 富集型乳腺癌患者的生存率。
Breast Cancer Res. 2023 Apr 25;25(1):46. doi: 10.1186/s13058-023-01644-1.
6
Essential role of carbonic anhydrase XII in secretory gland fluid and HCO3 (-) secretion revealed by disease causing human mutation.致病人类突变揭示碳酸酐酶XII在分泌腺液和HCO3(-)分泌中的重要作用。
J Physiol. 2015 Dec 15;593(24):5299-312. doi: 10.1113/JP271378. Epub 2015 Dec 7.
7
Targeting of tumour-infiltrating macrophages via CCL2/CCR2 signalling as a therapeutic strategy against hepatocellular carcinoma.通过 CCL2/CCR2 信号靶向肿瘤浸润巨噬细胞作为一种治疗肝细胞癌的策略。
Gut. 2017 Jan;66(1):157-167. doi: 10.1136/gutjnl-2015-310514. Epub 2015 Oct 9.
8
Plasma Cell Polarization to the Immunoglobulin G Phenotype in Hepatocellular Carcinomas Involves Epigenetic Alterations and Promotes Hepatoma Progression in Mice.肝癌中浆细胞向 IgG 表型的极化涉及表观遗传改变,并促进小鼠肝癌进展。
Gastroenterology. 2019 May;156(6):1890-1904.e16. doi: 10.1053/j.gastro.2019.01.250. Epub 2019 Jan 31.
9
CAXII inhibitors: Potential sensitizers for immune checkpoint inhibitors in HCC treatment.钙信号调节蛋白 II 抑制剂:肝癌治疗中免疫检查点抑制剂的潜在增敏剂。
Front Immunol. 2023 Mar 16;14:1052657. doi: 10.3389/fimmu.2023.1052657. eCollection 2023.
10
IL-6 promotes PD-L1 expression in monocytes and macrophages by decreasing protein tyrosine phosphatase receptor type O expression in human hepatocellular carcinoma.白细胞介素 6 通过降低人肝癌细胞中蛋白酪氨酸磷酸酶受体型 O 的表达促进单核细胞和巨噬细胞中 PD-L1 的表达。
J Immunother Cancer. 2020 Jun;8(1). doi: 10.1136/jitc-2019-000285.

引用本文的文献

1
Cooperative Role of Carbonic Anhydrase IX/XII in Driving Tumor Invasion and Metastasis: A Novel Targeted Therapeutic Strategy.碳酸酐酶IX/ XII在驱动肿瘤侵袭和转移中的协同作用:一种新型靶向治疗策略
Cells. 2025 May 11;14(10):693. doi: 10.3390/cells14100693.
2
Identification of regulatory cell death-related genes during MASH progression using bioinformatics analysis and machine learning strategies.使用生物信息学分析和机器学习策略鉴定MASH进展过程中与调节性细胞死亡相关的基因。
Front Immunol. 2025 May 8;16:1542524. doi: 10.3389/fimmu.2025.1542524. eCollection 2025.
3
Targeted plasma proteomics reveals organ damage signatures of AIDS- and noncommunicable disease-related deaths in people with HIV.

本文引用的文献

1
GOLM1 exacerbates CD8 T cell suppression in hepatocellular carcinoma by promoting exosomal PD-L1 transport into tumor-associated macrophages.GOLM1 通过促进外泌体 PD-L1 向肿瘤相关巨噬细胞的转运来加剧肝癌中 CD8 T 细胞的抑制作用。
Signal Transduct Target Ther. 2021 Nov 19;6(1):397. doi: 10.1038/s41392-021-00784-0.
2
β-microglobulin triggers NLRP3 inflammasome activation in tumor-associated macrophages to promote multiple myeloma progression.β-微球蛋白在肿瘤相关巨噬细胞中触发 NLRP3 炎性小体的激活,从而促进多发性骨髓瘤的进展。
Immunity. 2021 Aug 10;54(8):1772-1787.e9. doi: 10.1016/j.immuni.2021.07.002. Epub 2021 Jul 20.
3
靶向血浆蛋白质组学揭示了艾滋病毒感染者中与艾滋病和非传染性疾病相关死亡的器官损伤特征。
Nat Commun. 2025 Apr 24;16(1):3877. doi: 10.1038/s41467-025-59242-y.
4
Metabolic Dialogue Shapes Immune Response in the Tumor Microenvironment.代谢对话塑造肿瘤微环境中的免疫反应。
Eur J Immunol. 2025 Apr;55(4):e202451102. doi: 10.1002/eji.202451102.
5
Myeloid cells: key players in tumor microenvironments.髓系细胞:肿瘤微环境中的关键参与者。
Front Med. 2025 Apr;19(2):265-296. doi: 10.1007/s11684-025-1124-8. Epub 2025 Mar 6.
6
Clinical Proteomics Reveals Vulnerabilities in Noninvasive Breast Ductal Carcinoma and Drives Personalized Treatment Strategies.临床蛋白质组学揭示非侵袭性乳腺导管癌的脆弱性并推动个性化治疗策略
Cancer Res Commun. 2025 Jan 1;5(1):138-149. doi: 10.1158/2767-9764.CRC-24-0287.
7
Single-cell dissection of multifocal bladder cancer reveals malignant and immune cells variation between primary and recurrent tumor lesions.多灶性膀胱癌的单细胞剖析揭示了原发性和复发性肿瘤病灶之间恶性细胞和免疫细胞的差异。
Commun Biol. 2024 Dec 19;7(1):1659. doi: 10.1038/s42003-024-07343-7.
8
Targeting of TAMs: can we be more clever than cancer cells?靶向肿瘤相关巨噬细胞:我们能否比癌细胞更聪明?
Cell Mol Immunol. 2024 Dec;21(12):1376-1409. doi: 10.1038/s41423-024-01232-z. Epub 2024 Nov 8.
9
CRISPRi/a screens in human iPSC-cardiomyocytes identify glycolytic activation as a druggable target for doxorubicin-induced cardiotoxicity.在人诱导多能干细胞衍生的心肌细胞中进行的CRISPR干扰/激活筛选确定糖酵解激活是阿霉素诱导的心脏毒性的一个可药物靶向。
Cell Stem Cell. 2024 Dec 5;31(12):1760-1776.e9. doi: 10.1016/j.stem.2024.10.007. Epub 2024 Nov 7.
10
A new perspective on the therapeutic potential of tumor metastasis: targeting the metabolic interactions between TAMs and tumor cells.从新视角探讨肿瘤转移的治疗潜力:针对 TAMs 与肿瘤细胞之间的代谢相互作用。
Int J Biol Sci. 2024 Sep 23;20(13):5109-5126. doi: 10.7150/ijbs.99680. eCollection 2024.
Tumor-associated myeloid cells: diversity and therapeutic targeting.
肿瘤相关髓系细胞:多样性与治疗靶点
Cell Mol Immunol. 2021 Mar;18(3):566-578. doi: 10.1038/s41423-020-00613-4. Epub 2021 Jan 20.
4
Mitochondrial stress induced by continuous stimulation under hypoxia rapidly drives T cell exhaustion.低氧持续刺激诱导的线粒体应激会迅速导致 T 细胞耗竭。
Nat Immunol. 2021 Feb;22(2):205-215. doi: 10.1038/s41590-020-00834-9. Epub 2021 Jan 4.
5
Inhibition of PCSK9 potentiates immune checkpoint therapy for cancer.抑制 PCSK9 可增强癌症的免疫检查点治疗。
Nature. 2020 Dec;588(7839):693-698. doi: 10.1038/s41586-020-2911-7. Epub 2020 Nov 11.
6
Amino Acids and Their Transporters in T Cell Immunity and Cancer Therapy.氨基酸及其转运体在 T 细胞免疫和癌症治疗中的作用。
Mol Cell. 2020 Nov 5;80(3):384-395. doi: 10.1016/j.molcel.2020.09.006. Epub 2020 Sep 29.
7
Glycolytic activation of monocytes regulates the accumulation and function of neutrophils in human hepatocellular carcinoma.糖酵解激活单核细胞调节中性粒细胞在人肝癌中的积累和功能。
J Hepatol. 2020 Oct;73(4):906-917. doi: 10.1016/j.jhep.2020.05.004. Epub 2020 May 12.
8
The Acidic Tumor Microenvironment as a Driver of Cancer.酸性肿瘤微环境作为癌症的驱动因素。
Annu Rev Physiol. 2020 Feb 10;82:103-126. doi: 10.1146/annurev-physiol-021119-034627. Epub 2019 Nov 15.
9
Landscape and Dynamics of Single Immune Cells in Hepatocellular Carcinoma.肝癌中单免疫细胞的景观和动态。
Cell. 2019 Oct 31;179(4):829-845.e20. doi: 10.1016/j.cell.2019.10.003.
10
The immunobiology of hepatocellular carcinoma in humans and mice: Basic concepts and therapeutic implications.人类和小鼠肝细胞癌的免疫生物学:基本概念和治疗意义。
J Hepatol. 2020 Jan;72(1):167-182. doi: 10.1016/j.jhep.2019.08.014. Epub 2019 Aug 23.