Suppr超能文献

COVID-19 透析患者的腹膜后出血:三例报告。

Retroperitoneal Hemorrhage in Patients with COVID-19 Undergoing Hemodialysis: Three Case Reports.

机构信息

Division of Kidney Center, Matsuyama Red Cross Hospital, Japan.

Department of Infectious Diseases, Ehime Prefectural Central Hospital, Japan.

出版信息

Intern Med. 2022 Jun 15;61(12):1869-1876. doi: 10.2169/internalmedicine.8976-21. Epub 2022 Apr 9.

Abstract

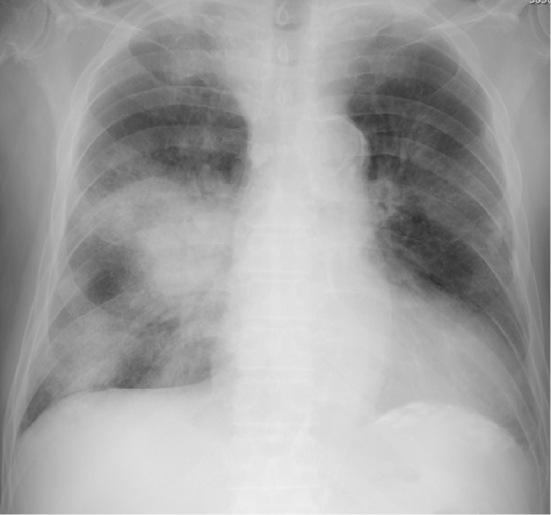
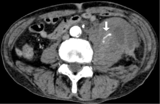
A 73-year-old man receiving hemodialysis and antiplatelets was admitted with a mild case of COVID-19. Heparin was added, and iliopsoas hemorrhage developed. He was successfully treated by interventional radiology. A 76-year-old man receiving hemodialysis and antiplatelets was admitted with mild COVID-19. Heparin was added, and iliacus hemorrhage developed. Despite heparin discontinuation, he died of worsening pneumonia. A 74-year-old man undergoing hemodialysis was admitted with severe COVID-19. Gastrointestinal bleeding developed during continuous hemodiafiltration with heparin. Upon switching to nafamostat and increasing the dose, iliopsoas hemorrhage developed. Despite interventional radiology, he died of infectious complications. Attention to hemorrhagic complications is therefore needed in patients with COVID-19.

摘要

一位 73 岁男性,正在接受血液透析和抗血小板治疗,因 COVID-19 轻度感染入院。给予肝素后,发生了髂腰肌血肿。通过介入放射学成功治疗。一位 76 岁男性,正在接受血液透析和抗血小板治疗,因 COVID-19 轻度感染入院。给予肝素后,发生了髂肌血肿。尽管停用了肝素,但他仍因肺炎恶化而死亡。一位 74 岁男性,正在接受血液透析,因 COVID-19 重度感染入院。在使用肝素进行连续性血液透析滤过过程中出现胃肠道出血。改为使用那屈肝素并增加剂量后,发生了髂腰肌血肿。尽管进行了介入放射学治疗,但他还是死于感染性并发症。因此,COVID-19 患者需要注意出血并发症。

https://cdn.ncbi.nlm.nih.gov/pmc/blobs/45ee/9259805/c2a1381131c3/1349-7235-61-1869-g001.jpg

文献AI研究员

20分钟写一篇综述,助力文献阅读效率提升50倍。

立即体验

用中文搜PubMed

大模型驱动的PubMed中文搜索引擎

马上搜索

文档翻译

学术文献翻译模型,支持多种主流文档格式。

立即体验