Suppr超能文献

耳梅毒:HIV 阴性患者急性双侧感音神经性听力损失的罕见病因。

Otosyphilis: A rare cause of acute bilateral sensorineural hearing loss in a HIV-negative patient.

作者信息

Sothmann Johan, Adam Shaun, van Tonder Gideon, Davis Razaan, van Rensburg Leon Janse

机构信息

Department of Medical Imaging and Clinical Oncology, Faculty of Medicine and Health Sciences, Stellenbosch University, Cape Town, South Africa.

Division of Otorhinolaryngology, Faculty of Medicine and Health Sciences, Stellenbosch University, Cape Town, South Africa.

出版信息

SA J Radiol. 2022 Mar 29;26(1):2351. doi: 10.4102/sajr.v26i1.2351. eCollection 2022.

Abstract

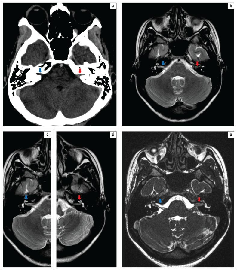
Bilateral acute hearing loss is rare, and the aetiology is poorly defined. Less common treatable pathologies such as otosyphilis must be part of the differential diagnosis and should be actively excluded. We present a case of a 23-year-old woman who developed acute bilateral hearing loss due to otosyphilis, confirmed on audiometry and laboratory tests. In this article, the CT, MRI and clinical findings are presented and discussed.

摘要

双侧急性听力损失较为罕见,其病因尚不明确。一些不太常见的可治疗病因,如耳梅毒,必须纳入鉴别诊断范围,且应积极排除。我们报告一例23岁女性因耳梅毒导致急性双侧听力损失的病例,听力测定和实验室检查确诊了该病。本文展示并讨论了该病例的CT、MRI及临床检查结果。

https://cdn.ncbi.nlm.nih.gov/pmc/blobs/22eb/8991266/9243e8d61b3e/SAJR-26-2351-g001.jpg

文献检索

告别复杂PubMed语法,用中文像聊天一样搜索,搜遍4000万医学文献。AI智能推荐,让科研检索更轻松。

立即免费搜索

文件翻译

保留排版,准确专业,支持PDF/Word/PPT等文件格式,支持 12+语言互译。

免费翻译文档

深度研究

AI帮你快速写综述,25分钟生成高质量综述,智能提取关键信息,辅助科研写作。

立即免费体验