Suppr超能文献

麦基特里克-惠洛克综合征:一种导致电解质失衡的肿瘤性病因。

McKittrick-Wheelock Syndrome: A Neoplastic Cause of Electrolyte Imbalance.

作者信息

de Sousa Miranda Inês, Ferreira Joana Rodrigues, Rocha Sara, Monteiro Marta, Guillerme José, Domingos Raquel

机构信息

Internal Medicine Department, Hospital Egas Moniz, Centro Hospitalar Lisboa Ocidental, Lisbon, Portugal.

General Surgery Department, Hospital Egas Moniz, Centro Hospitalar Lisboa Ocidental, Lisbon, Portugal.

出版信息

Eur J Case Rep Intern Med. 2022 Mar 24;9(3):003231. doi: 10.12890/2022_003227. eCollection 2022.

Abstract

UNLABELLED

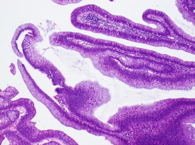
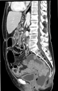
The authors present the case of a 79-year-old woman who presented with chronic secretory diarrhoea and severe electrolyte imbalance. A large rectal tubulovillous adenoma was discovered, leading to surgical resection of the tumour with complete resolution of the diarrhoea and electrolyte imbalance. The diagnosis of McKittrick-Wheelock syndrome was made. We hope this case report will contribute to a greater awareness among health professionals about this clinical condition. A multidisciplinary approach is essential for the best outcome.

LEARNING POINTS

McKittrick-Wheelock syndrome is an important differential diagnosis in patients presenting with electrolyte abnormalities and secretory diarrhoea.A multidisciplinary approach from the beginning is important for a timely diagnosis and better outcome.Surgical removal of the hypersecretory villous adenoma is the definitive treatment for McKittrick-Wheelock syndrome and can be life-saving.

摘要

未标注

作者报告了一例79岁女性患者,该患者表现为慢性分泌性腹泻和严重电解质失衡。发现一个巨大的直肠绒毛管状腺瘤,手术切除肿瘤后腹泻和电解质失衡完全缓解。诊断为麦基特里克 - 惠洛克综合征。我们希望本病例报告能提高卫生专业人员对这种临床病症的认识。多学科方法对于获得最佳治疗效果至关重要。

学习要点

麦基特里克 - 惠洛克综合征是出现电解质异常和分泌性腹泻患者的重要鉴别诊断。从一开始采用多学科方法对于及时诊断和更好的治疗效果很重要。手术切除分泌过多的绒毛状腺瘤是麦基特里克 - 惠洛克综合征的决定性治疗方法,且可挽救生命。

https://cdn.ncbi.nlm.nih.gov/pmc/blobs/9cd8/8988500/6ffa9a09ec80/3227_Fig1.jpg

文献检索

告别复杂PubMed语法,用中文像聊天一样搜索,搜遍4000万医学文献。AI智能推荐,让科研检索更轻松。

立即免费搜索

文件翻译

保留排版,准确专业,支持PDF/Word/PPT等文件格式,支持 12+语言互译。

免费翻译文档

深度研究

AI帮你快速写综述,25分钟生成高质量综述,智能提取关键信息,辅助科研写作。

立即免费体验