Suppr超能文献

Secretory immune responses in human kidneys.

作者信息

Abramowsky C R, Swinehart G L

出版信息

Am J Pathol. 1986 Dec;125(3):571-7.

Abstract

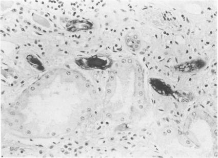
The secretory immune system has been well studied in the intestinal, bronchial, and biliary systems and breast. Tissue studies of secretory immunoglobulins in the kidney are scanty, mostly related to nephropathies with IgA. Renal tissues from 37 autopsies selected for any history of renal dysfunction were processed for immunohistologic studies on frozen sections with several antisera, including a purified rabbit anti-human secretory component (SC). By immunohistology, gel diffusion, and immunoblotting, the anti-SC antibody reacted appropriately with purified human SC, saliva, intestinal epithelium, and breast milk and did not cross-react with immunoglobulin heavy or light chains, lactoferrin, and other tissue proteins. IgA and SC were seen in tubular casts in 70% of patients, whereas less impressive staining with IgM, IgG, and albumin was seen, respectively, in 24%, 13%, and 22% of the patients. SC was present in the cytoplasm of distal tubule and Henle's loop cells in 78% of specimens. A control group of 10 healthy individuals who died suddenly showed minimal staining of casts and tubules in 2 specimens. Renal pathology in the group with IgA-SC+ casts included acute tubular necrosis (54%), severe chronic renal disease (61%), and mild chronic renal injury (38%). The group with negative IgA-SC casts included acute tubular necrosis (64%), infectious interstitial nephritis (36%), and negligible renal disease (36%). This study suggests that discrete distal segments of the nephron may have the capability of secreting SC, which is probably coupled with serum-derived IgA and incorporated into luminal tubular secretions. The low level of immunosecretions in kidneys which are normal or minimally damaged suggests that this system may need to be turned on by unknown, probably pathogenic stimulating factors.

摘要
https://cdn.ncbi.nlm.nih.gov/pmc/blobs/58d2/1888472/7b58075fcca7/amjpathol00153-0160-a.jpg

文献AI研究员

20分钟写一篇综述,助力文献阅读效率提升50倍。

立即体验

用中文搜PubMed

大模型驱动的PubMed中文搜索引擎

马上搜索

文档翻译

学术文献翻译模型,支持多种主流文档格式。

立即体验