Suppr超能文献

冠状动脉至肺动脉瘘合并显著冠状动脉粥样硬化及严重主动脉瓣狭窄:一例报告

Coronary to pulmonary artery fistula associated with significant coronary atherosclerosis and severe aortic valve stenosis: A Case Report.

作者信息

Krasniqi Xhevdet, Bakalli Aurora, Koçinaj Dardan

机构信息

Medical Faculty, University of Prishtina, Kosova Rep.

University Clinical Center of Kosova, Kosova Rep.

出版信息

Radiol Case Rep. 2022 Apr 8;17(6):1963-1967. doi: 10.1016/j.radcr.2022.03.002. eCollection 2022 Jun.

Abstract

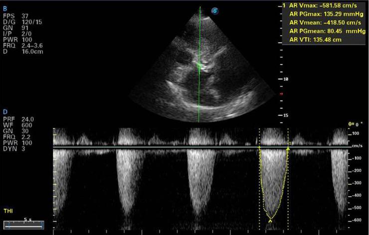
Coronary artery fistulas are anomalous connections between one or two coronary arteries with either a cardiac chamber or any major blood vessels (coronary sinus, superior vena cava, pulmonary veins and pulmonary artery). It is rarely reported, occurring only in 0.1%-0.2% of patients who undergo coronary angiography. We report a very rare case where myocardial ischaemia may have resulted from the presence of coronary artery fistula, significant coronary artery stenosis and severe aortic valve stenosis. Transthoracic echocardiography showed severe aortic stenosis, while coronary angiography showed a tortuous coronary artery fistula originating from the proximal left anterior descending artery, with a single opening in the main pulmonary artery. Angiography also showed significant stenosis in the middle of the left anterior descending artery. Coronary artery fistula with concomitant significant coronary atherosclerosis and severe aortic stenosis requires optimal therapeutic planning.

摘要

冠状动脉瘘是一条或两条冠状动脉与心腔或任何大血管(冠状窦、上腔静脉、肺静脉和肺动脉)之间的异常连接。其报道很少,仅在接受冠状动脉造影的患者中0.1%-0.2%出现。我们报告了一例非常罕见的病例,其中心肌缺血可能是由冠状动脉瘘、显著的冠状动脉狭窄和严重的主动脉瓣狭窄共同导致的。经胸超声心动图显示严重的主动脉狭窄,而冠状动脉造影显示一条迂曲的冠状动脉瘘起源于左前降支近端,在主肺动脉有单一开口。血管造影还显示左前降支中段有显著狭窄。伴有显著冠状动脉粥样硬化和严重主动脉狭窄的冠状动脉瘘需要优化治疗方案。

https://cdn.ncbi.nlm.nih.gov/pmc/blobs/71be/9010895/f2ea603f67c3/gr1.jpg

文献AI研究员

20分钟写一篇综述,助力文献阅读效率提升50倍。

立即体验

用中文搜PubMed

大模型驱动的PubMed中文搜索引擎

马上搜索

文档翻译

学术文献翻译模型,支持多种主流文档格式。

立即体验