• 文献检索
  • 文档翻译
  • 深度研究
  • 学术资讯
  • Suppr Zotero 插件Zotero 插件
  • 邀请有礼
  • 套餐&价格
  • 历史记录
应用&插件
Suppr Zotero 插件Zotero 插件浏览器插件Mac 客户端Windows 客户端微信小程序
定价
高级版会员购买积分包购买API积分包
服务
文献检索文档翻译深度研究API 文档MCP 服务
关于我们
关于 Suppr公司介绍联系我们用户协议隐私条款
关注我们

Suppr 超能文献

核心技术专利:CN118964589B侵权必究
粤ICP备2023148730 号-1Suppr @ 2026

文献检索

告别复杂PubMed语法,用中文像聊天一样搜索,搜遍4000万医学文献。AI智能推荐,让科研检索更轻松。

立即免费搜索

文件翻译

保留排版,准确专业,支持PDF/Word/PPT等文件格式,支持 12+语言互译。

免费翻译文档

深度研究

AI帮你快速写综述,25分钟生成高质量综述,智能提取关键信息,辅助科研写作。

立即免费体验

一例严重饥饿继发难治性低血糖所致应激性心肌病的致死病例:尸检报告

A Fatal Case of Takotsubo Cardiomyopathy Secondary to Refractory Hypoglycemia in Severe Starvation: An Autopsy Case Report.

作者信息

Kirigaya Jin, Iwahashi Noriaki, Tanaka Reiko, Inayama Yoshiaki, Takeuchi Ichiro

机构信息

Advanced Critical Care and Emergency Center, Yokohama City University Medical Center, Yokohama, JPN.

Division of Cardiology, Yokohama City University Medical Center, Yokohama, JPN.

出版信息

Cureus. 2022 Mar 18;14(3):e23287. doi: 10.7759/cureus.23287. eCollection 2022 Mar.

DOI:10.7759/cureus.23287
PMID:35449611
原文链接:https://pmc.ncbi.nlm.nih.gov/articles/PMC9012600/
Abstract

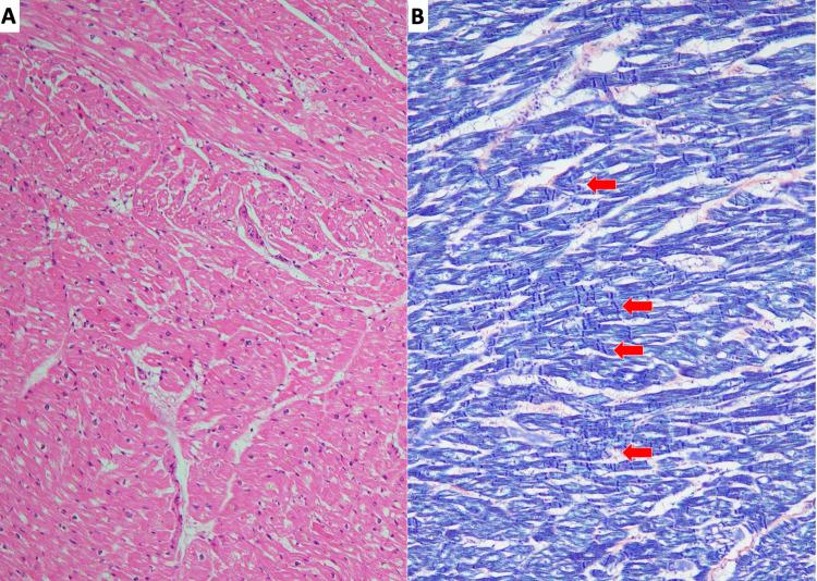
A 56-year-old, severely malnourished man presented with loss of consciousness due to hypoglycemia. Echocardiography revealed left ventricular apical ballooning, indicating takotsubo cardiomyopathy. Although his caloric intake was gradually increased to avoid refeeding syndrome, hypoglycemia was refractory, and repetitive glucose administration was required. On day 4 of admission, he developed severe refractory hypoglycemia with a progressive decrease in blood pressure. Consequently, pulseless ventricular tachycardia followed by pulseless electrical activity developed. Although venoarterial extracorporeal membrane oxygenation was introduced, the patient did not respond to the treatment and died. Autopsy revealed myocardial degeneration and contraction-band necrosis, indicative of takotsubo cardiomyopathy. No coronary stenosis was observed. The liver showed moderate hepatocyte atrophy and autophagosomes, consistent with starvation and not with refeeding syndrome. We speculated that refractory hypoglycemia induced extreme catecholamine secretion, which led to severe complications of takotsubo cardiomyopathy, such as fatal arrhythmia and extremely low cardiac output. Early recognition of these critically ill patients and timely therapeutic interventions, including strict glycemic control and adequate caloric intake, may improve patient outcomes.

摘要

一名56岁、严重营养不良的男性因低血糖导致意识丧失。超声心动图显示左心室心尖部气球样改变,提示应激性心肌病。尽管逐渐增加其热量摄入以避免再喂养综合征,但低血糖难以纠正,需要反复给予葡萄糖。入院第4天,他出现严重难治性低血糖,血压逐渐下降。随后出现无脉性室性心动过速,继之出现无脉性电活动。尽管进行了静脉-动脉体外膜肺氧合治疗,但患者对治疗无反应,最终死亡。尸检显示心肌变性和收缩带坏死,提示应激性心肌病。未观察到冠状动脉狭窄。肝脏显示中度肝细胞萎缩和自噬体,符合饥饿表现而非再喂养综合征。我们推测难治性低血糖诱发了极端的儿茶酚胺分泌,进而导致应激性心肌病的严重并发症,如致命性心律失常和极低的心输出量。早期识别这些危重症患者并及时进行治疗干预,包括严格控制血糖和给予充足的热量摄入,可能会改善患者的预后。

https://cdn.ncbi.nlm.nih.gov/pmc/blobs/92ad/9012600/409f9614911c/cureus-0014-00000023287-i06.jpg
https://cdn.ncbi.nlm.nih.gov/pmc/blobs/92ad/9012600/e0ca8a75c913/cureus-0014-00000023287-i01.jpg
https://cdn.ncbi.nlm.nih.gov/pmc/blobs/92ad/9012600/acc291336b64/cureus-0014-00000023287-i02.jpg
https://cdn.ncbi.nlm.nih.gov/pmc/blobs/92ad/9012600/17c648460e5f/cureus-0014-00000023287-i03.jpg
https://cdn.ncbi.nlm.nih.gov/pmc/blobs/92ad/9012600/b470d2727209/cureus-0014-00000023287-i04.jpg
https://cdn.ncbi.nlm.nih.gov/pmc/blobs/92ad/9012600/d602e518a162/cureus-0014-00000023287-i05.jpg
https://cdn.ncbi.nlm.nih.gov/pmc/blobs/92ad/9012600/409f9614911c/cureus-0014-00000023287-i06.jpg
https://cdn.ncbi.nlm.nih.gov/pmc/blobs/92ad/9012600/e0ca8a75c913/cureus-0014-00000023287-i01.jpg
https://cdn.ncbi.nlm.nih.gov/pmc/blobs/92ad/9012600/acc291336b64/cureus-0014-00000023287-i02.jpg
https://cdn.ncbi.nlm.nih.gov/pmc/blobs/92ad/9012600/17c648460e5f/cureus-0014-00000023287-i03.jpg
https://cdn.ncbi.nlm.nih.gov/pmc/blobs/92ad/9012600/b470d2727209/cureus-0014-00000023287-i04.jpg
https://cdn.ncbi.nlm.nih.gov/pmc/blobs/92ad/9012600/d602e518a162/cureus-0014-00000023287-i05.jpg
https://cdn.ncbi.nlm.nih.gov/pmc/blobs/92ad/9012600/409f9614911c/cureus-0014-00000023287-i06.jpg

相似文献

1
A Fatal Case of Takotsubo Cardiomyopathy Secondary to Refractory Hypoglycemia in Severe Starvation: An Autopsy Case Report.一例严重饥饿继发难治性低血糖所致应激性心肌病的致死病例:尸检报告
Cureus. 2022 Mar 18;14(3):e23287. doi: 10.7759/cureus.23287. eCollection 2022 Mar.
2
Refractory hypoglycemia and subsequent cardiogenic shock in starvation and refeeding: report of three cases.饥饿与再喂养过程中难治性低血糖及随后的心源性休克:三例报告
Nutrition. 2014 Sep;30(9):1090-2. doi: 10.1016/j.nut.2014.01.007. Epub 2014 Feb 15.
3
Paraganglioma-induced reverse takotsubo syndrome treated with extracorporeal membrane oxygenation in a young patient with a history of malignancy: a case report.一名有恶性肿瘤病史的年轻患者因副神经节瘤诱发的反向应激性心肌病接受体外膜肺氧合治疗:病例报告
Eur Heart J Case Rep. 2023 Nov 24;7(12):ytad591. doi: 10.1093/ehjcr/ytad591. eCollection 2023 Dec.
4
Paraganglioma-induced inverted takotsubo-like cardiomyopathy leading to cardiogenic shock successfully treated with extracorporeal membrane oxygenation.副神经节瘤诱发的倒塔综合征样心肌病导致心源性休克,经体外膜肺氧合成功治疗。
Open Med (Wars). 2022 Aug 10;17(1):1368-1375. doi: 10.1515/med-2022-0535. eCollection 2022.
5
Serious takotsubo cardiomyopathy: an autopsy case presenting severe irreversible myocardial damage after frequent episodes of recurrence.严重应激性心肌病:频繁复发后出现严重不可逆心肌损伤的尸检病例。
Diagn Pathol. 2020 Jul 21;15(1):90. doi: 10.1186/s13000-020-01006-x.
6
Reverse or inverted apical ballooning in a case of refeeding syndrome.再喂养综合征病例中的反向或倒置心尖球囊样变。
World J Cardiol. 2015 Jun 26;7(6):361-6. doi: 10.4330/wjc.v7.i6.361.
7
Takotsubo cardiomyopathy developed during rewarming of accidental hypothermia with extracorporeal membrane oxygenation.在体外膜肺氧合复温意外低温过程中发生了应激性心肌病。
Acute Med Surg. 2019 Mar 1;6(2):201-205. doi: 10.1002/ams2.399. eCollection 2019 Apr.
8
Coronary artery myointimal dysplasia in patients with pheochromocytoma-possible causal relationship: pathophysiology and clinical implication with reference to Takotsubo cardiomyopathy and spontaneous coronary dissection.患者嗜铬细胞瘤中的冠状动脉血管平滑肌细胞发育不良:可能的因果关系:参考 Takotsubo 心肌病和自发性冠状动脉夹层的病理生理学和临床意义。
Cardiovasc Pathol. 2018 Nov-Dec;37:45-53. doi: 10.1016/j.carpath.2018.10.001. Epub 2018 Oct 11.
9
Stress-Induced (Takotsubo) Cardiomyopathy After Liver Transplant Rescued with Venoarterial Extracorporeal Membrane Oxygenation.肝移植后应激性(章鱼壶样)心肌病经静脉-动脉体外膜肺氧合治疗成功救治
ASAIO J. 2022 Apr 1;68(4):e66-e68. doi: 10.1097/MAT.0000000000001453.
10
Zumba-induced Takotsubo cardiomyopathy: a case report.尊巴引发的应激性心肌病:一例报告
J Med Case Rep. 2018 Jun 10;12(1):160. doi: 10.1186/s13256-018-1696-x.

引用本文的文献

1
Summary of the best evidence for perioperative enteral nutrition management in patients with laryngeal cancer.喉癌患者围手术期肠内营养管理的最佳证据总结
Support Care Cancer. 2025 May 29;33(6):512. doi: 10.1007/s00520-025-09546-y.
2
Takotsubo cardiomyopathy associated with pneumatosis cystoides intestinalis and postprandial hypoglycemia of anorexia nervosa.与小肠气囊样积气症及神经性厌食症餐后低血糖相关的应激性心肌病
PCN Rep. 2022 Aug 3;1(3):e33. doi: 10.1002/pcn5.33. eCollection 2022 Sep.
3
Mechanical Circulatory Support Strategies in Takotsubo Syndrome with Cardiogenic Shock: A Systematic Review.

本文引用的文献

1
Takotsubo cardiomyopathy after hypoglycemia in a patient with anorexia nervosa.一名神经性厌食症患者低血糖后发生应激性心肌病。
Ann Gen Psychiatry. 2021 Sep 4;20(1):39. doi: 10.1186/s12991-021-00364-0.
2
Continuous Glucose Monitoring in the Intensive Care Unit During the COVID-19 Pandemic.COVID-19 大流行期间重症监护病房中的连续血糖监测。
Diabetes Care. 2021 Mar;44(3):847-849. doi: 10.2337/dc20-2219. Epub 2020 Dec 23.
3
ASPEN Consensus Recommendations for Refeeding Syndrome.ASPEN 复喂综合征共识推荐意见。
Takotsubo综合征合并心源性休克的机械循环支持策略:一项系统评价
J Clin Med. 2024 Jan 15;13(2):473. doi: 10.3390/jcm13020473.
4
Recurrent Takotsubo Syndrome Due to Hypoglycemic Attacks.低血糖发作所致复发性应激性心肌病
Cureus. 2022 Dec 14;14(12):e32527. doi: 10.7759/cureus.32527. eCollection 2022 Dec.
5
Right thyrocervical trunk rupture after right internal jugular vein puncture: a case report and systematic review of the literature.右颈内静脉穿刺后右甲状腺颈干破裂:一例报告并文献系统综述
JA Clin Rep. 2022 Sep 16;8(1):74. doi: 10.1186/s40981-022-00565-w.
Nutr Clin Pract. 2020 Apr;35(2):178-195. doi: 10.1002/ncp.10474. Epub 2020 Mar 2.
4
Cardiac arrest in takotsubo syndrome: results from the InterTAK Registry.心肌梗死后心尖球形综合征导致的心搏骤停:InterTAK 注册研究结果。
Eur Heart J. 2019 Jul 1;40(26):2142-2151. doi: 10.1093/eurheartj/ehz170.
5
Association of Endocrine Conditions With Takotsubo Cardiomyopathy: A Comprehensive Review.内分泌疾病与应激性心肌病的关联:一项综述
J Am Heart Assoc. 2018 Oct 2;7(19):e009003. doi: 10.1161/JAHA.118.009003.
6
International Expert Consensus Document on Takotsubo Syndrome (Part I): Clinical Characteristics, Diagnostic Criteria, and Pathophysiology.国际 Takotsubo 综合征专家共识文件(第一部分):临床特征、诊断标准和病理生理学。
Eur Heart J. 2018 Jun 7;39(22):2032-2046. doi: 10.1093/eurheartj/ehy076.
7
Nutritional management in head and neck cancer: United Kingdom National Multidisciplinary Guidelines.头颈癌的营养管理:英国国家多学科指南
J Laryngol Otol. 2016 May;130(S2):S32-S40. doi: 10.1017/S0022215116000402.
8
Hyperglycemia and subsequent torsades de pointes with marked QT prolongation during refeeding.再喂养期间出现高血糖以及随后伴有显著QT间期延长的尖端扭转型室速。
Nutrition. 2017 Jan;33:145-148. doi: 10.1016/j.nut.2016.05.012. Epub 2016 Jun 5.
9
Clinical Features and Outcomes of Takotsubo (Stress) Cardiomyopathy.Takotsubo(应激性)心肌病的临床特征和转归。
N Engl J Med. 2015 Sep 3;373(10):929-38. doi: 10.1056/NEJMoa1406761.
10
Liver autophagy in anorexia nervosa and acute liver injury.神经性厌食症与急性肝损伤中的肝脏自噬
Biomed Res Int. 2014;2014:701064. doi: 10.1155/2014/701064. Epub 2014 Aug 27.