• 文献检索
  • 文档翻译
  • 深度研究
  • 学术资讯
  • Suppr Zotero 插件Zotero 插件
  • 邀请有礼
  • 套餐&价格
  • 历史记录
应用&插件
Suppr Zotero 插件Zotero 插件浏览器插件Mac 客户端Windows 客户端微信小程序
定价
高级版会员购买积分包购买API积分包
服务
文献检索文档翻译深度研究API 文档MCP 服务
关于我们
关于 Suppr公司介绍联系我们用户协议隐私条款
关注我们

Suppr 超能文献

核心技术专利:CN118964589B侵权必究
粤ICP备2023148730 号-1Suppr @ 2026

文献检索

告别复杂PubMed语法,用中文像聊天一样搜索,搜遍4000万医学文献。AI智能推荐,让科研检索更轻松。

立即免费搜索

文件翻译

保留排版,准确专业,支持PDF/Word/PPT等文件格式,支持 12+语言互译。

免费翻译文档

深度研究

AI帮你快速写综述,25分钟生成高质量综述,智能提取关键信息,辅助科研写作。

立即免费体验

坏死性胰腺炎:是否抗凝?

Necrotizing Pancreatitis: To Anticoagulate or Not to Anticoagulate?

作者信息

Abi-Saleh Simon P, Miller Ethan A, Magge Anil, Perez Mario

机构信息

Internal Medicine, University of Connecticut School of Medicine, Farmington, USA.

Neurology, University of Connecticut School of Medicine, Farmington, USA.

出版信息

Cureus. 2022 Mar 17;14(3):e23267. doi: 10.7759/cureus.23267. eCollection 2022 Mar.

DOI:10.7759/cureus.23267
PMID:35449612
原文链接:https://pmc.ncbi.nlm.nih.gov/articles/PMC9012552/
Abstract

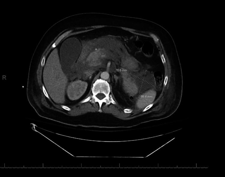
Necrotizing pancreatitis is an inflammatory process that poses a strong risk of systemic venous thromboembolism. However, it is often challenging to opt for systemic anticoagulation since the disease is also associated with an increased risk of hemorrhage. Given these opposing complications, a risk versus benefit analysis has to be employed in the management of necrotizing pancreatitis on a case-by-case basis. We discuss a case where the team was faced with a dilemma regarding anticoagulation in a patient with newly developed atrial fibrillation in the setting of necrotizing pancreatitis. We found that there is a lack of guidelines that address the time of initiation and the type of systemic anticoagulation that should be administered in such patients.

摘要

坏死性胰腺炎是一种炎症过程,具有发生全身性静脉血栓栓塞的高风险。然而,选择全身性抗凝治疗往往具有挑战性,因为该疾病也伴有出血风险增加。鉴于这些相反的并发症,在坏死性胰腺炎的管理中必须根据具体情况进行风险与获益分析。我们讨论了一个病例,在该病例中,团队在一名坏死性胰腺炎患者新发房颤的情况下,在抗凝治疗方面面临两难境地。我们发现,缺乏针对此类患者开始全身性抗凝治疗的时间和应给予的全身性抗凝类型的指南。

https://cdn.ncbi.nlm.nih.gov/pmc/blobs/bce7/9012552/c42851d80e31/cureus-0014-00000023267-i02.jpg
https://cdn.ncbi.nlm.nih.gov/pmc/blobs/bce7/9012552/0168ab3bc3bd/cureus-0014-00000023267-i01.jpg
https://cdn.ncbi.nlm.nih.gov/pmc/blobs/bce7/9012552/c42851d80e31/cureus-0014-00000023267-i02.jpg
https://cdn.ncbi.nlm.nih.gov/pmc/blobs/bce7/9012552/0168ab3bc3bd/cureus-0014-00000023267-i01.jpg
https://cdn.ncbi.nlm.nih.gov/pmc/blobs/bce7/9012552/c42851d80e31/cureus-0014-00000023267-i02.jpg

相似文献

1
Necrotizing Pancreatitis: To Anticoagulate or Not to Anticoagulate?坏死性胰腺炎:是否抗凝?
Cureus. 2022 Mar 17;14(3):e23267. doi: 10.7759/cureus.23267. eCollection 2022 Mar.
2
To anticoagulate or not to anticoagulate? A common dilemma for the provider: physicians' opinion poll based on a case study of an older long-term care facility resident with dementia and atrial fibrillation.抗凝还是不抗凝?这是医疗服务提供者常面临的两难困境:基于一位患有痴呆症和心房颤动的老年长期护理机构居民的案例研究进行的医生意见调查。
J Am Med Dir Assoc. 2006 Jan;7(1):23-8. doi: 10.1016/j.jamda.2005.08.002. Epub 2005 Oct 24.
3
Anticoagulation control in Sweden: reports of time in therapeutic range, major bleeding, and thrombo-embolic complications from the national quality registry AuriculA.瑞典的抗凝控制:来自国家质量登记处 AuriculA 的治疗范围内时间、大出血和血栓栓塞并发症的报告。
Eur Heart J. 2011 Sep;32(18):2282-9. doi: 10.1093/eurheartj/ehr134. Epub 2011 May 26.
4
Case Report: Splanchnic Vein Thrombosis as a Complication of Necrotizing Acute Pancreatitis in a Pediatric Patient.病例报告:一名儿科患者坏死性急性胰腺炎并发内脏静脉血栓形成
Front Surg. 2022 Apr 1;9:747671. doi: 10.3389/fsurg.2022.747671. eCollection 2022.
5
Analysis of the risk factors associated with endoscopic sphincterotomy techniques: preliminary results of a prospective study, with emphasis on the reduced risk of acute pancreatitis with low-dose anticoagulation treatment.内镜括约肌切开术相关危险因素分析:一项前瞻性研究的初步结果,重点关注低剂量抗凝治疗降低急性胰腺炎风险的情况。
Endoscopy. 2000 Jan;32(1):10-9. doi: 10.1055/s-2000-138.
6
Dissecting the effect of moxifloxacin in mice with infected necrosis in taurocholate induced necrotizing pancreatitis.剖析莫西沙星在牛磺胆酸盐诱导的坏死性胰腺炎感染性坏死小鼠中的作用。
Pancreatology. 2014 May-Jun;14(3):179-85. doi: 10.1016/j.pan.2014.02.003. Epub 2014 Feb 20.
7
Physician variation in the management of patients with atrial fibrillation.心房颤动患者管理中的医生差异。
Heart. 1996 Feb;75(2):200-5. doi: 10.1136/hrt.75.2.200.
8
Chemoprophylaxis to Prevent Deep Venous Thrombosis in Patients Hospitalized for Pancreatitis: Beneficial or Harmful?化学预防对预防胰腺炎住院患者深静脉血栓形成:有益还是有害?
Cureus. 2021 Nov 16;13(11):e19645. doi: 10.7759/cureus.19645. eCollection 2021 Nov.
9
Necrotizing pancreatitis: new definitions and a new era in surgical management.坏死性胰腺炎:新定义与外科治疗的新时代
Surg Infect (Larchmt). 2015 Feb;16(1):1-13. doi: 10.1089/sur.2014.123.
10
Safety and efficacy of enoxaparin compared with unfractionated heparin and oral anticoagulants for prevention of thromboembolic complications in cardioversion of nonvalvular atrial fibrillation: the Anticoagulation in Cardioversion using Enoxaparin (ACE) trial.依诺肝素与普通肝素及口服抗凝剂相比用于预防非瓣膜性心房颤动复律时血栓栓塞并发症的安全性和有效性:依诺肝素用于复律的抗凝治疗(ACE)试验
Circulation. 2004 Mar 2;109(8):997-1003. doi: 10.1161/01.CIR.0000120509.64740.DC. Epub 2004 Feb 16.

本文引用的文献

1
Risk of Venous Thromboembolism in Acute Necrotizing Pancreatitis: A Large Database Study.急性坏死性胰腺炎的静脉血栓栓塞风险:一项大型数据库研究。
Pancreas. 2021 Jan 1;50(1):71-76. doi: 10.1097/MPA.0000000000001714.
2
Efficacy and Safety of Early Systemic Anticoagulation for Preventing Splanchnic Thrombosis in Acute Necrotizing Pancreatitis.早期系统抗凝预防急性坏死性胰腺炎内脏血栓形成的疗效和安全性。
Pancreas. 2020 Oct;49(9):1220-1224. doi: 10.1097/MPA.0000000000001661.
3
Acute pancreatitis.急性胰腺炎。
Lancet. 2020 Sep 5;396(10252):726-734. doi: 10.1016/S0140-6736(20)31310-6.
4
Pancreatitis.胰腺炎。
Surg Clin North Am. 2018 Oct;98(5):895-913. doi: 10.1016/j.suc.2018.06.001. Epub 2018 Jul 17.
5
Necrotizing Pancreatitis: Current Management and Therapies.坏死性胰腺炎:当前的管理与治疗方法
Clin Endosc. 2017 Jul;50(4):357-365. doi: 10.5946/ce.2016.152. Epub 2017 May 16.
6
Severe Acute Pancreatitis and Necrotizing Pancreatitis.重症急性胰腺炎和坏死性胰腺炎。
Crit Care Clin. 2016 Apr;32(2):279-90. doi: 10.1016/j.ccc.2015.12.006. Epub 2016 Feb 18.
7
Treatment of severe acute pancreatitis and its complications.重症急性胰腺炎及其并发症的治疗。
World J Gastroenterol. 2014 Oct 14;20(38):13879-92. doi: 10.3748/wjg.v20.i38.13879.
8
Hemorrhage in acute pancreatitis: should gastrointestinal bleeding be considered an organ failure?急性胰腺炎中的出血:胃肠道出血应被视为器官衰竭吗?
Pancreas. 2008 Mar;36(2):141-5. doi: 10.1097/MPA.0b013e318158466e.
9
A clinically based classification system for acute pancreatitis. Summary of the International Symposium on Acute Pancreatitis, Atlanta, Ga, September 11 through 13, 1992.急性胰腺炎基于临床的分类系统。1992年9月11日至13日在佐治亚州亚特兰大召开的急性胰腺炎国际研讨会总结。
Arch Surg. 1993 May;128(5):586-90. doi: 10.1001/archsurg.1993.01420170122019.
10
Imaging and intervention in acute pancreatitis.急性胰腺炎的影像学检查与干预措施
Radiology. 1994 Nov;193(2):297-306. doi: 10.1148/radiology.193.2.7972730.