• 文献检索
  • 文档翻译
  • 深度研究
  • 学术资讯
  • Suppr Zotero 插件Zotero 插件
  • 邀请有礼
  • 套餐&价格
  • 历史记录
应用&插件
Suppr Zotero 插件Zotero 插件浏览器插件Mac 客户端Windows 客户端微信小程序
定价
高级版会员购买积分包购买API积分包
服务
文献检索文档翻译深度研究API 文档MCP 服务
关于我们
关于 Suppr公司介绍联系我们用户协议隐私条款
关注我们

Suppr 超能文献

核心技术专利:CN118964589B侵权必究
粤ICP备2023148730 号-1Suppr @ 2026

文献检索

告别复杂PubMed语法,用中文像聊天一样搜索,搜遍4000万医学文献。AI智能推荐,让科研检索更轻松。

立即免费搜索

文件翻译

保留排版,准确专业,支持PDF/Word/PPT等文件格式,支持 12+语言互译。

免费翻译文档

深度研究

AI帮你快速写综述,25分钟生成高质量综述,智能提取关键信息,辅助科研写作。

立即免费体验

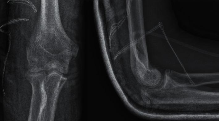
青少年肱骨小头骨折:6例采用可吸收钉切开复位内固定治疗的研究

Humeral Capitellum Fractures in Adolescents: A Study of 6 Cases Treated by Open Reduction and Internal Fixation with Bioabsorbable Nails.

作者信息

Wiktor Łukasz, Tomaszewski Ryszard

机构信息

Upper Silesian Children's Health Centre, Department of Trauma and Orthopaedic Surgery, Katowice, Poland.

Faculty of Science and Technology, Institute of Biomedical Engineering, University of Silesia in Katowice, Katowice, Poland.

出版信息

Adv Orthop. 2022 Apr 11;2022:4012125. doi: 10.1155/2022/4012125. eCollection 2022.

DOI:10.1155/2022/4012125
PMID:35449895
原文链接:https://pmc.ncbi.nlm.nih.gov/articles/PMC9017531/
Abstract

PURPOSE

The purpose of our study was to evaluate the clinical outcome following open reduction and internal fixation of humeral capitellum fractures in adolescents and to assess the usefulness of bioresorbable implants in that procedure. Due to the rarity of these fractures, there are not many studies dealing with the problem in the literature.

METHODS

We retrospectively evaluated a group of 6 skeletally immature patients aged 10.6-15.3 treated at our department from January 2015 to December 2021. Four type I and two type IV were diagnosed based on the Bryan and Morrey classification. Our patients underwent an open reduction and internal fixation of coronal shear fractures with the use of SmartNail®.

RESULTS

All patients were satisfied with the treatment outcome and had full pronation and flexion after surgery. Two patients presented minor deficits of extension and supination compared with the contralateral elbow. At the one-year follow-up, all patients scored 100 on the Mayo Elbow Performance Score.

CONCLUSIONS

Correct diagnosis and early surgical intervention in humeral capitellum fractures are crucial. That fractures should be anatomically reduced with no articular cartilage damage in order to prevent osteoarthritis. Based on our experience, SmartNail® implant is accurate for the osteochondral fragment fixation.

摘要

目的

我们研究的目的是评估青少年肱骨小头骨折切开复位内固定术后的临床疗效,并评估生物可吸收植入物在该手术中的实用性。由于这些骨折较为罕见,文献中处理该问题的研究并不多。

方法

我们回顾性评估了2015年1月至2021年12月在我院接受治疗的一组6例骨骼未成熟患者,年龄在10.6 - 15.3岁之间。根据Bryan和Morrey分类法,诊断出4例I型和2例IV型骨折。我们的患者使用SmartNail®对冠状面剪切骨折进行了切开复位内固定。

结果

所有患者对治疗结果满意,术后均有完全的旋前和屈曲功能。与对侧肘部相比,2例患者的伸展和旋后功能有轻微缺陷。在一年的随访中,所有患者的梅奥肘关节功能评分均为100分。

结论

肱骨小头骨折的正确诊断和早期手术干预至关重要。骨折应解剖复位且不损伤关节软骨,以预防骨关节炎。根据我们的经验,SmartNail®植入物对骨软骨碎片固定准确。

https://cdn.ncbi.nlm.nih.gov/pmc/blobs/ba66/9017531/7422b42674ee/AORTH2022-4012125.004.jpg
https://cdn.ncbi.nlm.nih.gov/pmc/blobs/ba66/9017531/fd6a5fd49315/AORTH2022-4012125.001.jpg
https://cdn.ncbi.nlm.nih.gov/pmc/blobs/ba66/9017531/7c8e7b5cb6ac/AORTH2022-4012125.002.jpg
https://cdn.ncbi.nlm.nih.gov/pmc/blobs/ba66/9017531/0dd037a1243d/AORTH2022-4012125.003.jpg
https://cdn.ncbi.nlm.nih.gov/pmc/blobs/ba66/9017531/7422b42674ee/AORTH2022-4012125.004.jpg
https://cdn.ncbi.nlm.nih.gov/pmc/blobs/ba66/9017531/fd6a5fd49315/AORTH2022-4012125.001.jpg
https://cdn.ncbi.nlm.nih.gov/pmc/blobs/ba66/9017531/7c8e7b5cb6ac/AORTH2022-4012125.002.jpg
https://cdn.ncbi.nlm.nih.gov/pmc/blobs/ba66/9017531/0dd037a1243d/AORTH2022-4012125.003.jpg
https://cdn.ncbi.nlm.nih.gov/pmc/blobs/ba66/9017531/7422b42674ee/AORTH2022-4012125.004.jpg

相似文献

1
Humeral Capitellum Fractures in Adolescents: A Study of 6 Cases Treated by Open Reduction and Internal Fixation with Bioabsorbable Nails.青少年肱骨小头骨折:6例采用可吸收钉切开复位内固定治疗的研究
Adv Orthop. 2022 Apr 11;2022:4012125. doi: 10.1155/2022/4012125. eCollection 2022.
2
Posterior fixation of type IV humeral capitellum fractures with fully threaded screws in adolescents.青少年IV型肱骨小头骨折采用全螺纹螺钉进行后路固定
Eur J Trauma Emerg Surg. 2014 Jun;40(3):379-85. doi: 10.1007/s00068-013-0332-0. Epub 2013 Sep 26.
3
Management of isolated coronal shear fractures of the humeral capitellum with Herbert screw fixation through anterolateral approach.经前外侧入路使用Herbert螺钉固定治疗肱骨小头孤立性冠状面剪切骨折
BMC Musculoskelet Disord. 2018 Apr 5;19(1):108. doi: 10.1186/s12891-018-2024-8.
4
Comparison of lateral approach versus anterolateral approach with Herbert screw fixation for isolated coronal shear fractures of humeral capitellum.外侧入路与前外侧入路联合 Herbert 螺钉固定治疗单纯肱骨滑车冠状面剪切骨折的比较。
J Orthop Surg Res. 2019 Jul 22;14(1):230. doi: 10.1186/s13018-019-1261-3.
5
Lasso plate - An original implant for fixation of type I and II Regan-Morrey coronoid fractures.套索钢板——一种用于固定I型和II型雷根-莫里冠状突骨折的原创植入物。
Orthop Traumatol Surg Res. 2017 May;103(3):447-451. doi: 10.1016/j.otsr.2016.12.017. Epub 2017 Feb 7.
6
Humeral capitellum fracture combined with humeral lateral column injury: A novel classification system and treatment algorithm.肱骨头骺端骨折合并肱骨外侧柱损伤:一种新的分类系统和治疗方案。
Injury. 2020 Apr;51(4):955-963. doi: 10.1016/j.injury.2020.02.111. Epub 2020 Feb 24.
7
Functional Outcomes of Capitellum Fractures Treated by Open Reduction and Internal Fixation with Herbert Screw: A Descriptive Cross-sectional Study.采用 Herbert 螺钉切开复位内固定治疗头状骨骨折的功能结果:一项描述性的横断面研究。
JNMA J Nepal Med Assoc. 2020 Oct 15;58(230):775-779. doi: 10.31729/jnma.5188.
8
Coronal shear fracture of the humeral trochlea.
J Orthop Surg (Hong Kong). 2013 Apr;21(1):82-6. doi: 10.1177/230949901302100121.
9
Arthroscopic osteosynthesis of capitellum fractures: Feasibility study and clinical study on 2 cases.关节镜下治疗肱骨小头骨骨折:2 例可行性研究及临床研究。
J Orthop Sci. 2021 Jul;26(4):604-609. doi: 10.1016/j.jos.2020.05.018. Epub 2020 Aug 16.
10
[Operative effect and treatment strategies for the low distal humerus fracture].[肱骨远端低位骨折的手术效果及治疗策略]
Zhonghua Wai Ke Za Zhi. 2020 Mar 1;58(3):213-219. doi: 10.3760/cma.j.issn.0529-5815.2020.03.009.

引用本文的文献

1
Analysis of characteristics and therapeutic outcomes in children with Dubberley type IIA capitellar fractures.杜伯利IIA型肱骨小头骨折患儿的特征及治疗结果分析
J Orthop Surg Res. 2025 Jul 15;20(1):655. doi: 10.1186/s13018-025-06053-y.
2
Management and outcomes of capitellum fractures in adolescents: A case series and review of the literature.青少年肱骨小头骨折的治疗与预后:病例系列及文献综述
Int J Surg Case Rep. 2025 Jun;131:111295. doi: 10.1016/j.ijscr.2025.111295. Epub 2025 Apr 12.
3
Shear fractures of the capitellum in children: a case report and narrative review.

本文引用的文献

1
Coronal shear fractures of the capitellum and trochlea: interobserver variability in classifying the fracture and the need for a computed tomography scan for the correct surgical planning.肱骨小头和滑车的冠状面剪切骨折:骨折分类中的观察者间差异以及正确手术规划对计算机断层扫描的需求。
JSES Int. 2020 Dec 15;5(2):314-319. doi: 10.1016/j.jseint.2020.10.015. eCollection 2021 Mar.
2
Biomechanical stability of simple coronal shear fracture fixation of the capitellum.简单冠状面剪力骨折固定头状骨的生物力学稳定性。
J Shoulder Elbow Surg. 2021 Aug;30(8):1768-1773. doi: 10.1016/j.jse.2020.12.011. Epub 2021 Jan 30.
3
Neglected Comminuted Fracture of the Capitellum.
儿童肱骨小头剪切骨折:一例报告及文献综述
Front Surg. 2024 Jul 4;11:1407577. doi: 10.3389/fsurg.2024.1407577. eCollection 2024.
Cureus. 2020 Apr 21;12(4):e7765. doi: 10.7759/cureus.7765.
4
Functional Outcome of a Coronal Shear Fracture of the Capitellum Managed by Herbert Screw Fixation Using the Anterolateral Surgical Approach.
Cureus. 2020 Jan 6;12(1):e6578. doi: 10.7759/cureus.6578.
5
Type IV capitellum fractures in children.儿童肱骨小头IV型骨折
BMJ Case Rep. 2019 Aug 4;12(8):e229957. doi: 10.1136/bcr-2019-229957.
6
Capitellum Fracture Open Reduction and Internal Fixation With Headless Screws.肱骨小头骨骨折切开复位无头螺钉内固定术。
J Orthop Trauma. 2019 Aug;33 Suppl 1:S5-S6. doi: 10.1097/BOT.0000000000001529.
7
Biomechanical Properties of Bioabsorbable Fixation for Osteochondral Shell Allografts.骨软骨壳同种异体移植生物可吸收固定的生物力学特性
J Knee Surg. 2020 Apr;33(4):365-371. doi: 10.1055/s-0039-1677837. Epub 2019 Feb 6.
8
Compression force and pullout strength comparison of bioabsorbable implants for osteochondral lesion fixation.用于骨软骨损伤固定的生物可吸收植入物的压缩力和拔出强度比较
Am J Orthop (Belle Mead NJ). 2011 Apr;40(4):E61-3.
9
Fractures of capitellum: a review of 14 cases treated by open reduction and internal fixation with Herbert screws.头状骨骨折:14 例切开复位 Herbert 螺钉内固定治疗的回顾性研究。
Int Orthop. 2010 Aug;34(6):897-901. doi: 10.1007/s00264-009-0896-9. Epub 2009 Nov 6.
10
Open reduction and internal fixation of capitellar fractures with headless screws.使用无头螺钉对肱骨小头骨折进行切开复位内固定术。
J Bone Joint Surg Am. 2008 Jun;90(6):1321-9. doi: 10.2106/JBJS.G.00940.