Suppr超能文献

伴有下腔静脉及右心房瘤栓的肝细胞癌

Hepatocellular Carcinoma with Inferior Vena Cava and Right Atrium Tumor Thrombus.

作者信息

Gunasekaran Arun Kumar, Malviya Amit, Ete Tony, Mishra Animesh, Barman Bhupen, Jamil Md, Lynser Donboklang

机构信息

Department of Cardiology, North Eastern Indira Gandhi Regional Institute of Health and Medical Sciences, Mawdiangdiang, Shillong, Meghalaya, India Orcid: https://orcid.org/0000-0002-7461-3518.

Department of Cardiology, North Eastern Indira Gandhi Regional Institute of Health and Medical Sciences, Mawdiangdiang, Shillong, Meghalaya, India. Orcid: https://orcid.org/0000-0002-3326-6177.

出版信息

Acta Med Litu. 2021;28(2):344-348. doi: 10.15388/Amed.2021.28.2.10. Epub 2021 Aug 18.

Abstract

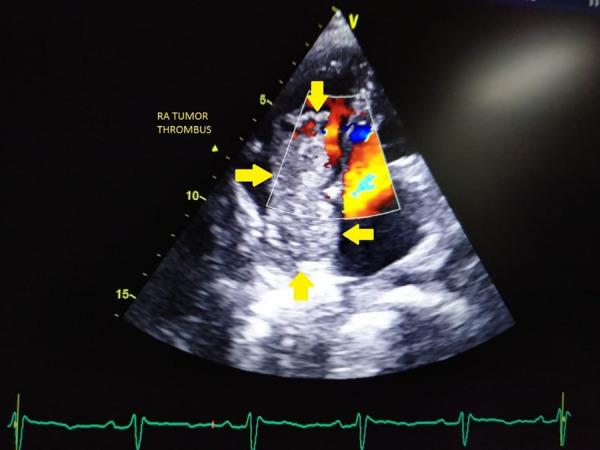
Hepatocellular carcinoma (HCC) is one of the leading causes of cancer and cancer related deaths worldwide. Metastasis of HCC into the cardiac cavity is mostly caused by direct tumor thrombus invasion through the major hepatic veins and of vena cava inferior with continuous extension into the right cardiac cavity. Right heart metastasis without invasion of inferior vena cava (IVC), which may be caused by haematogenous spread of cancer cells, is rarely reported. We report a case of HCC with IVC and right atrium (RA) thrombus in a patient who presented to us with decompensated cardiac failure. Strikingly, the patient was young and with negative serum HBsAg, and anti-HCV results. Our case highlights a rare presentation of metastatic intracardiac tumor thrombus involving the RA in advanced HCC without any symptoms of cardiac failure, and henceforth, the role of screening echocardiography for all patients with advanced HCC especially with vena caval involvement to rule out intracardiac thrombus.

摘要

肝细胞癌(HCC)是全球癌症及癌症相关死亡的主要原因之一。HCC转移至心腔大多是由于肿瘤血栓直接侵袭主要肝静脉和下腔静脉,并持续延伸至右心腔。由癌细胞血行播散引起的未侵犯下腔静脉(IVC)的右心转移很少见。我们报告一例HCC患者,其存在IVC和右心房(RA)血栓,该患者因失代偿性心力衰竭前来就诊。引人注目的是,该患者年轻,血清HBsAg及抗HCV结果均为阴性。我们的病例突出显示了晚期HCC中一种罕见的转移性心内肿瘤血栓累及RA的表现,且无任何心力衰竭症状,因此,对于所有晚期HCC患者,尤其是伴有腔静脉受累的患者,筛查超声心动图以排除心内血栓的作用。

https://cdn.ncbi.nlm.nih.gov/pmc/blobs/ff6b/8958648/7f6223b275e2/aml-28-344-g001.jpg

文献AI研究员

20分钟写一篇综述,助力文献阅读效率提升50倍。

立即体验

用中文搜PubMed

大模型驱动的PubMed中文搜索引擎

马上搜索

文档翻译

学术文献翻译模型,支持多种主流文档格式。

立即体验