• 文献检索
  • 文档翻译
  • 深度研究
  • 学术资讯
  • Suppr Zotero 插件Zotero 插件
  • 邀请有礼
  • 套餐&价格
  • 历史记录
应用&插件
Suppr Zotero 插件Zotero 插件浏览器插件Mac 客户端Windows 客户端微信小程序
定价
高级版会员购买积分包购买API积分包
服务
文献检索文档翻译深度研究API 文档MCP 服务
关于我们
关于 Suppr公司介绍联系我们用户协议隐私条款
关注我们

Suppr 超能文献

核心技术专利:CN118964589B侵权必究
粤ICP备2023148730 号-1Suppr @ 2026

文献检索

告别复杂PubMed语法,用中文像聊天一样搜索,搜遍4000万医学文献。AI智能推荐,让科研检索更轻松。

立即免费搜索

文件翻译

保留排版,准确专业,支持PDF/Word/PPT等文件格式,支持 12+语言互译。

免费翻译文档

深度研究

AI帮你快速写综述,25分钟生成高质量综述,智能提取关键信息,辅助科研写作。

立即免费体验

腹腔镜下松解治疗与腹腔干-肠系膜上动脉相关的正中弓状韧带压迫综合征

Laparoscopic Release for Median Arcuate Ligament Compression Syndrome Associated with a Celiac-Mesenteric Trunk.

作者信息

Cawich Shamir O, Harnanan Dave, Pran Lemuel

机构信息

Department of Surgery, University of the West Indies, St. Augustine Campus, Trinidad and Tobago West Indies.

出版信息

Case Rep Vasc Med. 2022 Apr 22;2022:3595603. doi: 10.1155/2022/3595603. eCollection 2022.

DOI:10.1155/2022/3595603
PMID:35494098
原文链接:https://pmc.ncbi.nlm.nih.gov/articles/PMC9054496/
Abstract

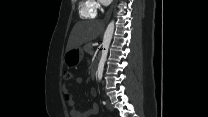
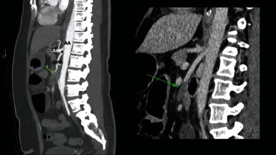
The median arcuate ligament compression syndrome is a rare entity that occurs in 2 per 100,000 unselected individuals. We present a case where the median arcuate ligament compression syndrome was associated with an equally uncommon anatomic variation-a celiac-mesenteric trunk, which occurs in 0.42-2.7% of unselected individuals. We could find no prior report of a celiac-mesenteric trunk being associated with the median arcuate ligament compression syndrome. This report also adds to the literature to show that a laparoscopic approach to median arcuate ligament release is feasible.

摘要

正中弓状韧带压迫综合征是一种罕见疾病,在每10万名未经筛选的个体中约有2人发病。我们报告了一例正中弓状韧带压迫综合征合并同样罕见的解剖变异——腹腔干-肠系膜上动脉共干的病例,该解剖变异在未经筛选的个体中发生率为0.42%-2.7%。我们未发现此前有腹腔干-肠系膜上动脉共干与正中弓状韧带压迫综合征相关的报道。本报告还补充了文献资料,表明腹腔镜下正中弓状韧带松解术是可行的。

https://cdn.ncbi.nlm.nih.gov/pmc/blobs/8db6/9054496/968dec5fc37f/CRIVAM2022-3595603.006.jpg
https://cdn.ncbi.nlm.nih.gov/pmc/blobs/8db6/9054496/d5fec2b3cc30/CRIVAM2022-3595603.001.jpg
https://cdn.ncbi.nlm.nih.gov/pmc/blobs/8db6/9054496/512250d2e8aa/CRIVAM2022-3595603.002.jpg
https://cdn.ncbi.nlm.nih.gov/pmc/blobs/8db6/9054496/0b435557a1f5/CRIVAM2022-3595603.003.jpg
https://cdn.ncbi.nlm.nih.gov/pmc/blobs/8db6/9054496/e3750f1ea8e4/CRIVAM2022-3595603.004.jpg
https://cdn.ncbi.nlm.nih.gov/pmc/blobs/8db6/9054496/48a16d5a0ba0/CRIVAM2022-3595603.005.jpg
https://cdn.ncbi.nlm.nih.gov/pmc/blobs/8db6/9054496/968dec5fc37f/CRIVAM2022-3595603.006.jpg
https://cdn.ncbi.nlm.nih.gov/pmc/blobs/8db6/9054496/d5fec2b3cc30/CRIVAM2022-3595603.001.jpg
https://cdn.ncbi.nlm.nih.gov/pmc/blobs/8db6/9054496/512250d2e8aa/CRIVAM2022-3595603.002.jpg
https://cdn.ncbi.nlm.nih.gov/pmc/blobs/8db6/9054496/0b435557a1f5/CRIVAM2022-3595603.003.jpg
https://cdn.ncbi.nlm.nih.gov/pmc/blobs/8db6/9054496/e3750f1ea8e4/CRIVAM2022-3595603.004.jpg
https://cdn.ncbi.nlm.nih.gov/pmc/blobs/8db6/9054496/48a16d5a0ba0/CRIVAM2022-3595603.005.jpg
https://cdn.ncbi.nlm.nih.gov/pmc/blobs/8db6/9054496/968dec5fc37f/CRIVAM2022-3595603.006.jpg

相似文献

1
Laparoscopic Release for Median Arcuate Ligament Compression Syndrome Associated with a Celiac-Mesenteric Trunk.腹腔镜下松解治疗与腹腔干-肠系膜上动脉相关的正中弓状韧带压迫综合征
Case Rep Vasc Med. 2022 Apr 22;2022:3595603. doi: 10.1155/2022/3595603. eCollection 2022.
2
Median Arcuate Ligament Syndrome - Literature Review and Case Report.正中弓状韧带综合征——文献综述与病例报告
Rev Port Cir Cardiotorac Vasc. 2017 Jul-Dec;24(3-4):111.
3
Laparoscopic Division of Median Arcuate Ligament for the Celiac Axis Compression Syndrome-Two Case Reports with Review of Literature.腹腔镜下正中弓状韧带松解治疗腹腔干压迫综合征——两例报告并文献复习
Indian J Surg. 2016 Apr;78(2):163-5. doi: 10.1007/s12262-016-1448-3. Epub 2016 Feb 10.
4
Median Arcuate Ligament Syndrome of Diaphragm - Literature Review and Case Report.膈肌正中弓状韧带综合征——文献综述与病例报告
Rev Port Cir Cardiotorac Vasc. 2017 Jan-Jun;24(1-2):57-61.
5
A cadaveric study of the anatomical variation of the origins of the celiac trunk and the superior mesenteric artery: a role in median arcuate ligament syndrome?腹腔干和肠系膜上动脉起始部解剖变异的尸体研究:在正中弓状韧带综合征中起作用?
Clin Anat. 2013 Nov;26(8):971-4. doi: 10.1002/ca.22243. Epub 2013 Apr 1.
6
Median arcuate ligament syndrome (Dunbar syndrome).正中弓状韧带综合征(邓巴综合征)。
Cardiovasc Diagn Ther. 2021 Oct;11(5):1172-1176. doi: 10.21037/cdt-20-846.
7
Median Arcuate Ligament Syndrome-Review of This Rare Disease.正中弓状韧带综合征——这种罕见疾病的综述。
JAMA Surg. 2016 May 1;151(5):471-7. doi: 10.1001/jamasurg.2016.0002.
8
Videolaparoscopic management of arcuate ligament syndrome in pediatric patients.小儿弓状韧带综合征的腹腔镜治疗。
Cir Pediatr. 2021 Jan 1;34(1):47-50.
9
Superior mesenteric aneurysm associated with median arcuate ligament syndrome and a single celiacomesenteric trunk.肠系膜上动脉瘤合并正中弓状韧带综合征及单一腹腔干肠系膜干。
J Vasc Surg Cases Innov Tech. 2023 Oct 10;9(4):101348. doi: 10.1016/j.jvscit.2023.101348. eCollection 2023 Dec.
10
[Celiac trunk compression syndrome by the median arcuate ligament. Laparoscopic approach].[正中弓状韧带压迫腹腔干综合征。腹腔镜手术入路]
Medicina (B Aires). 2015;75(3):169-72.

引用本文的文献

1
Laparoscopic median arcuate ligament section for median arcuate ligament compression syndrome initially detected as splenic infarction: a case report.腹腔镜下正中弓状韧带切开术治疗最初表现为脾梗死的正中弓状韧带压迫综合征:一例报告
Surg Case Rep. 2024 Feb 15;10(1):41. doi: 10.1186/s40792-024-01817-w.

本文引用的文献

1
Clinico-pathologic findings in patients with median arcuate ligament syndrome (celiac artery compression syndrome).中弓状韧带综合征(腹腔动脉压迫综合征)患者的临床病理表现。
Ann Diagn Pathol. 2021 Jun;52:151732. doi: 10.1016/j.anndiagpath.2021.151732. Epub 2021 Mar 22.
2
Median arcuate ligament syndrome.正中弓状韧带综合征。
J Vasc Surg. 2020 Jun;71(6):2170-2176. doi: 10.1016/j.jvs.2019.11.012. Epub 2019 Dec 25.
3
Laparoscopic treatment of median arcuate ligament syndrome.腹腔镜治疗正中弓状韧带综合征
Intractable Rare Dis Res. 2019 May;8(2):108-112. doi: 10.5582/irdr.2019.01031.
4
Median Arcuate Ligament Syndrome-Review of This Rare Disease.正中弓状韧带综合征——这种罕见疾病的综述。
JAMA Surg. 2016 May 1;151(5):471-7. doi: 10.1001/jamasurg.2016.0002.
5
Laparoscopic decompression as treatment for median arcuate ligament syndrome.腹腔镜减压术治疗正中弓状韧带综合征
Ann R Coll Surg Engl. 2015 Sep;97(6):e96-9. doi: 10.1308/rcsann.2015.0025.
6
Surgical treatment of median arcuate ligament syndrome: case report and review of literature.正中弓状韧带综合征的外科治疗:病例报告及文献复习
Srp Arh Celok Lek. 2015 Jan-Feb;143(1-2):74-8. doi: 10.2298/sarh1502074k.
7
Anatomical variations in the origins of the celiac axis and the superior mesenteric artery: MDCT angiographic findings and their probable embryological mechanisms.腹腔干和肠系膜上动脉起源的解剖变异:MDCT血管造影表现及其可能的胚胎学机制。
Eur Radiol. 2014 Aug;24(8):1777-84. doi: 10.1007/s00330-014-3215-9. Epub 2014 May 24.
8
Celiac axis and common hepatic artery variations in 5002 patients: systematic analysis with spiral CT and DSA.5002 例患者腹腔干和肝总动脉变异的螺旋 CT 和 DSA 系统分析。
Radiology. 2010 Apr;255(1):278-88. doi: 10.1148/radiol.09090389.
9
Celiac artery compression syndrome managed by laparoscopy.腹腔镜治疗腹腔动脉压迫综合征
J Vasc Surg. 2009 Jul;50(1):134-9. doi: 10.1016/j.jvs.2008.11.124.
10
Median arcuate ligament syndrome.正中弓状韧带综合征
Curr Treat Options Cardiovasc Med. 2008 Apr;10(2):112-6. doi: 10.1007/s11936-008-0012-2.