• 文献检索
  • 文档翻译
  • 深度研究
  • 学术资讯
  • Suppr Zotero 插件Zotero 插件
  • 邀请有礼
  • 套餐&价格
  • 历史记录
应用&插件
Suppr Zotero 插件Zotero 插件浏览器插件Mac 客户端Windows 客户端微信小程序
定价
高级版会员购买积分包购买API积分包
服务
文献检索文档翻译深度研究API 文档MCP 服务
关于我们
关于 Suppr公司介绍联系我们用户协议隐私条款
关注我们

Suppr 超能文献

核心技术专利:CN118964589B侵权必究
粤ICP备2023148730 号-1Suppr @ 2026

文献检索

告别复杂PubMed语法,用中文像聊天一样搜索,搜遍4000万医学文献。AI智能推荐,让科研检索更轻松。

立即免费搜索

文件翻译

保留排版,准确专业,支持PDF/Word/PPT等文件格式,支持 12+语言互译。

免费翻译文档

深度研究

AI帮你快速写综述,25分钟生成高质量综述,智能提取关键信息,辅助科研写作。

立即免费体验

为改善社会福祉,为低收入阶层患者提供可负担的美学管理:病例报告

Affordable aesthetic management for a patient from low income strata to improve social well-being: A case report.

作者信息

Anusha K S, Chinnan Ravindranath, Ahmed Shakir, Natarajan Shanmuganathan

机构信息

Department of Prosthodontics, Sri Ramachandra Institute of Higher Education and Research, Chennai, Tamil Nadu, India.

Department of Prosthodontics, Tamil Nadu Government Dental College, Chennai, Tamil Nadu, India.

出版信息

J Family Med Prim Care. 2022 Mar;11(3):1208-1211. doi: 10.4103/jfmpc.jfmpc_642_21. Epub 2022 Mar 10.

DOI:10.4103/jfmpc.jfmpc_642_21
PMID:35495835
原文链接:https://pmc.ncbi.nlm.nih.gov/articles/PMC9051707/
Abstract

BACKGROUND

Aesthetic correction involves a holistic approach which considers the oral cavity as a whole by the norms of the treatment. Aesthetics enhance the facial profile and also the smile line of the patient which improves the quality of life of a patient enabling them to a better socioeconomic status. Smile correction of a patient paves the path for a systematic approach to the treatment and also imparts an improved level of confidence which leads to new opportunities both in the personal and professional field. AeEsthetic correction provides challenging aspects concerning patient satisfaction and functional demands. This is the most affordable treatment for patients' who are not financially sound in developing countries like India. The other treatment modalities such as Veneers or All-ceramic crowns are aesthetically pleasing but are quite expensive for people in the lower income strata. Due to this, direct composite treatment is very economical and it also improves the patient's overall confidence and it helps them to socialise well and carry out their daily routine activities without any hindrance and difficulty.

CASE REPORT

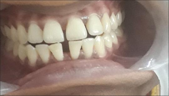
This case report deals with the esthetic correction of midline diastema and spacing in the maxillary and mandibular anterior region. Conclusion: Aesthetic correction involves meticulous treatment planning to revive the essence of lost beauty as well as improve the functional aspect for the patient.

CONCLUSION

Aesthetic correction involves meticulous treatment planning to revive the essence of lost beauty as well as improve the functional aspect for the patient.

摘要

背景

美学矫正需要一种整体方法,该方法根据治疗规范将口腔视为一个整体。美学可改善面部轮廓以及患者的微笑线,从而提高患者的生活质量,使他们获得更好的社会经济地位。患者的微笑矫正为系统治疗奠定了基础,还能提升自信心,为个人和职业领域带来新机遇。美学矫正存在与患者满意度和功能需求相关的挑战性问题。对于像印度这样的发展中国家经济状况不佳的患者来说,这是最经济实惠的治疗方法。其他治疗方式,如贴面或全瓷冠,在美学上令人满意,但对低收入阶层的人来说相当昂贵。因此,直接复合树脂治疗非常经济,还能提高患者的整体自信心,帮助他们顺利社交并毫无障碍和困难地进行日常活动。

病例报告

本病例报告涉及上颌和下颌前部区域中线间隙和牙间隙的美学矫正。结论:美学矫正需要精心的治疗计划,以恢复失去的美的本质,并改善患者的功能状况。

结论

美学矫正需要精心的治疗计划,以恢复失去的美的本质,并改善患者的功能状况。

https://cdn.ncbi.nlm.nih.gov/pmc/blobs/cc9f/9051707/148f37cfb452/JFMPC-11-1208-g004.jpg
https://cdn.ncbi.nlm.nih.gov/pmc/blobs/cc9f/9051707/99443be8a5a5/JFMPC-11-1208-g001.jpg
https://cdn.ncbi.nlm.nih.gov/pmc/blobs/cc9f/9051707/9dd0452a5bd1/JFMPC-11-1208-g002.jpg
https://cdn.ncbi.nlm.nih.gov/pmc/blobs/cc9f/9051707/73828623ecc2/JFMPC-11-1208-g003.jpg
https://cdn.ncbi.nlm.nih.gov/pmc/blobs/cc9f/9051707/148f37cfb452/JFMPC-11-1208-g004.jpg
https://cdn.ncbi.nlm.nih.gov/pmc/blobs/cc9f/9051707/99443be8a5a5/JFMPC-11-1208-g001.jpg
https://cdn.ncbi.nlm.nih.gov/pmc/blobs/cc9f/9051707/9dd0452a5bd1/JFMPC-11-1208-g002.jpg
https://cdn.ncbi.nlm.nih.gov/pmc/blobs/cc9f/9051707/73828623ecc2/JFMPC-11-1208-g003.jpg
https://cdn.ncbi.nlm.nih.gov/pmc/blobs/cc9f/9051707/148f37cfb452/JFMPC-11-1208-g004.jpg

相似文献

1
Affordable aesthetic management for a patient from low income strata to improve social well-being: A case report.为改善社会福祉,为低收入阶层患者提供可负担的美学管理:病例报告
J Family Med Prim Care. 2022 Mar;11(3):1208-1211. doi: 10.4103/jfmpc.jfmpc_642_21. Epub 2022 Mar 10.
2
Bridging Gaps: A Comparative Approach to Managing Midline Diastema.弥合差距:治疗中线牙缝的比较方法
Cureus. 2022 Aug 24;14(8):e28355. doi: 10.7759/cureus.28355. eCollection 2022 Aug.
3
Management of an Adult with Class III Malocclusion, Gummy Smile, and Spaced Dentition.成人Ⅲ类错颌、露龈笑和牙列间隙的治疗
Dent Clin North Am. 2015 Jul;59(3):665-74. doi: 10.1016/j.cden.2015.03.002.
4
Aesthetic rehabilitation in a patient with skeletal mandibular deficiency and open bite: journey from splinted metalloceramic prosthesis to all-ceramic crowns.一名患有下颌骨骨骼发育不全和开颌的患者的美学修复:从夹板式金属陶瓷修复体到全瓷冠的历程。
J Pak Med Assoc. 2021 Jan;71(1(A)):159-163. doi: 10.47391/JPMA.860.
5
Orthodontic treatment and aesthetic rehabilitation in a patient with Turner syndrome: A case report.特纳综合征患者的正畸治疗和美学修复:一例报告。
Spec Care Dentist. 2020 Sep;40(5):498-505. doi: 10.1111/scd.12495. Epub 2020 Aug 16.
6
Comparison of the influence of dental and facial aesthetics in determining overall attractiveness.牙齿与面部美学在决定整体吸引力方面的影响比较。
Int Orthod. 2018 Dec;16(4):684-697. doi: 10.1016/j.ortho.2018.09.013. Epub 2018 Oct 29.
7
Aesthetic Rehabilitation of a Patient with Bruxism Using Ceramic Veneers and Overlays Combined with Four-Point Monolithic Zirconia Crowns for Occlusal Stabilization: A 4-Year Follow-Up.使用陶瓷贴面和覆盖物结合四点式整体氧化锆全冠进行咬合稳定治疗磨牙症患者的美学修复:4年随访
Case Rep Dent. 2019 Aug 20;2019:1640563. doi: 10.1155/2019/1640563. eCollection 2019.
8
Aesthetic smile evaluation--a non-invasive solution.美学微笑评估——一种非侵入性解决方案。
Dent Update. 2011 Sep;38(7):452-4, 456-8. doi: 10.12968/denu.2011.38.7.452.
9
Digital Smile Design-An innovative tool in aesthetic dentistry.数字化微笑设计——美学牙科中的创新工具。
J Oral Biol Craniofac Res. 2020 Apr-Jun;10(2):194-198. doi: 10.1016/j.jobcr.2020.04.010. Epub 2020 Apr 18.
10
An harmonic smile resulted from the use of ceramic prosthesis with zirconia structure: a case report.使用氧化锆结构陶瓷假体带来和谐笑容:一例报告
J Int Oral Health. 2014 Jun;6(3):90-2. Epub 2014 Jun 26.

本文引用的文献

1
Should my composite restorations last forever? Why are they failing?我的复合树脂修复体应该能永久使用吗?它们为什么会失败?
Braz Oral Res. 2017 Aug 28;31(suppl 1):e56. doi: 10.1590/1807-3107BOR-2017.vol31.0056.
2
Evaluation of a technique for color correction in restoring anterior teeth.评价一种用于前牙修复的颜色校正技术。
J Esthet Restor Dent. 2017 Sep;29(5):309-316. doi: 10.1111/jerd.12320. Epub 2017 Jul 22.
3
Esthetic smile rehabilitation of anterior teeth by treatment with biomimetic restorative materials: a case report.
采用仿生修复材料治疗前牙的美学微笑重建:病例报告
Clin Cosmet Investig Dent. 2017 May 11;9:27-31. doi: 10.2147/CCIDE.S130698. eCollection 2017.
4
Anterior composite restorations: A systematic review on long-term survival and reasons for failure.前牙复合树脂修复体:长期生存及失败原因的系统评价。
Dent Mater. 2015 Oct;31(10):1214-24. doi: 10.1016/j.dental.2015.07.005. Epub 2015 Aug 21.
5
Esthetic anterior composite resin restorations using a single shade: Step-by-step technique.使用单一色度的美学前牙复合树脂修复:分步技术。
J Prosthet Dent. 2015 Jul;114(1):9-12. doi: 10.1016/j.prosdent.2015.02.013. Epub 2015 Apr 24.
6
Anterior composite restorations in clinical practice: findings from a survey with general dental practitioners.临床中前牙复合树脂修复体的应用:一项针对普通牙科医生的调查结果。
J Appl Oral Sci. 2013 Nov-Dec;21(6):497-504. doi: 10.1590/1679-775720130013.
7
Clinical strategies for esthetic excellence in anterior tooth restorations: understanding color and composite resin selection.前牙修复的美学卓越临床策略:理解颜色和复合树脂选择。
J Appl Oral Sci. 2012 Mar-Apr;20(2):151-6. doi: 10.1590/s1678-77572012000200005.
8
In situ evaluation of a new silorane-based composite resin's bioadhesion properties.原位评价一种新型硅烷醇基复合树脂的生物黏附性能。
Dent Mater. 2011 Dec;27(12):1238-45. doi: 10.1016/j.dental.2011.08.401. Epub 2011 Oct 17.
9
Recent advances and developments in composite dental restorative materials.复合牙科修复材料的最新进展和发展。
J Dent Res. 2011 Apr;90(4):402-16. doi: 10.1177/0022034510381263. Epub 2010 Oct 5.
10
Recontouring teeth and closing diastemas with direct composite buildups: a clinical evaluation of survival and quality parameters.直接复合树脂堆积重塑牙齿和关闭牙间隙:生存和质量参数的临床评估。
J Dent. 2010 Dec;38(12):1001-9. doi: 10.1016/j.jdent.2010.08.017. Epub 2010 Sep 6.