• 文献检索
  • 文档翻译
  • 深度研究
  • 学术资讯
  • Suppr Zotero 插件Zotero 插件
  • 邀请有礼
  • 套餐&价格
  • 历史记录
应用&插件
Suppr Zotero 插件Zotero 插件浏览器插件Mac 客户端Windows 客户端微信小程序
定价
高级版会员购买积分包购买API积分包
服务
文献检索文档翻译深度研究API 文档MCP 服务
关于我们
关于 Suppr公司介绍联系我们用户协议隐私条款
关注我们

Suppr 超能文献

核心技术专利:CN118964589B侵权必究
粤ICP备2023148730 号-1Suppr @ 2026

文献检索

告别复杂PubMed语法,用中文像聊天一样搜索,搜遍4000万医学文献。AI智能推荐,让科研检索更轻松。

立即免费搜索

文件翻译

保留排版,准确专业,支持PDF/Word/PPT等文件格式,支持 12+语言互译。

免费翻译文档

深度研究

AI帮你快速写综述,25分钟生成高质量综述,智能提取关键信息,辅助科研写作。

立即免费体验

通过前庭成形术和游离龈瓣移植术增强牙龈形态:改善常规口腔卫生的维持

Enhancing Gingival Phenotype With Vestibuloplasty and Free Gingival Graft: Improving Maintenance of Regular Oral Hygiene.

作者信息

Gogoi Anootpal

机构信息

Periodontology, Regional Dental College, Guwahati, IND.

出版信息

Cureus. 2022 Mar 30;14(3):e23642. doi: 10.7759/cureus.23642. eCollection 2022 Mar.

DOI:10.7759/cureus.23642
PMID:35510014
原文链接:https://pmc.ncbi.nlm.nih.gov/articles/PMC9057313/
Abstract

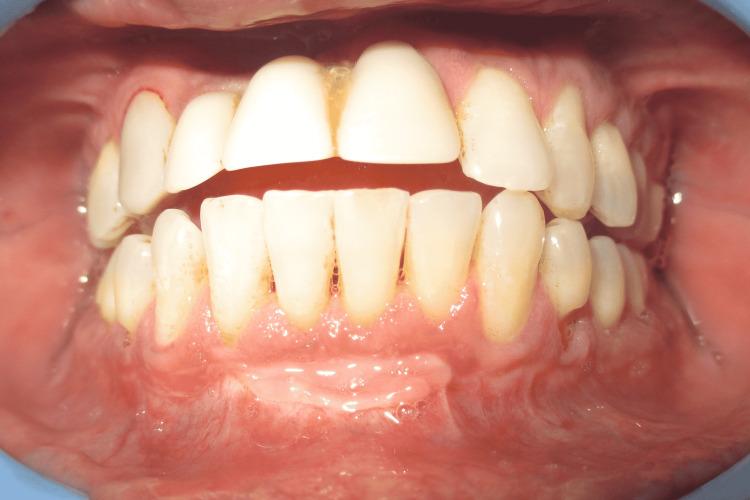
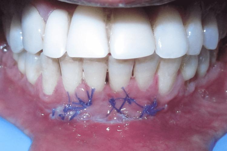
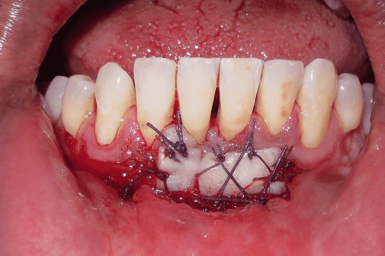
This case report describes Clark's technique of vestibuloplasty to treat shallow vestibule and, in addition, the use of free gingival autograft to augment attached gingiva to treat Miller's recession. Vestibuloplasty is performed to deepen a shallow vestibule. Different vestibuloplasty techniques are used to deepen the shallow vestibule by modifying the soft tissue attachment. A 29-year-old male presented to the Department of Periodontics and Oral Implantology, Regional Dental College, Guwahati, India with the chief complaint of bleeding from the lower anterior along with the gingival recession. Maintenance of regular oral hygiene was an added hindrance. The combined technique of vestibuloplasty and use of free gingival graft was performed to achieve dual benefits of increasing the vestibular depth and attainment of a thick gingival phenotype.

摘要

本病例报告描述了克拉克前庭成形术治疗浅前庭的技术,此外,还介绍了使用游离龈自体移植术增加附着龈以治疗米勒氏牙龈退缩的方法。前庭成形术用于加深浅前庭。通过改变软组织附着来加深浅前庭,采用了不同的前庭成形术技术。一名29岁男性因下前牙出血伴牙龈退缩,前往印度古瓦哈蒂地区牙科学院牙周病与口腔种植科就诊。保持规律的口腔卫生是一个额外的障碍。采用前庭成形术和游离龈移植术相结合的技术,以实现增加前庭深度和获得厚龈表型的双重益处。

https://cdn.ncbi.nlm.nih.gov/pmc/blobs/c0a4/9057313/8e8e4d107a66/cureus-0014-00000023642-i11.jpg
https://cdn.ncbi.nlm.nih.gov/pmc/blobs/c0a4/9057313/8cc290844cca/cureus-0014-00000023642-i01.jpg
https://cdn.ncbi.nlm.nih.gov/pmc/blobs/c0a4/9057313/aecbf372d48a/cureus-0014-00000023642-i02.jpg
https://cdn.ncbi.nlm.nih.gov/pmc/blobs/c0a4/9057313/79fe7b09a693/cureus-0014-00000023642-i03.jpg
https://cdn.ncbi.nlm.nih.gov/pmc/blobs/c0a4/9057313/a31a07c38723/cureus-0014-00000023642-i04.jpg
https://cdn.ncbi.nlm.nih.gov/pmc/blobs/c0a4/9057313/a2476adea1f0/cureus-0014-00000023642-i05.jpg
https://cdn.ncbi.nlm.nih.gov/pmc/blobs/c0a4/9057313/01d2f24142b4/cureus-0014-00000023642-i06.jpg
https://cdn.ncbi.nlm.nih.gov/pmc/blobs/c0a4/9057313/bea7639b06e0/cureus-0014-00000023642-i07.jpg
https://cdn.ncbi.nlm.nih.gov/pmc/blobs/c0a4/9057313/4b78f0a13d87/cureus-0014-00000023642-i08.jpg
https://cdn.ncbi.nlm.nih.gov/pmc/blobs/c0a4/9057313/aa39c04fca44/cureus-0014-00000023642-i09.jpg
https://cdn.ncbi.nlm.nih.gov/pmc/blobs/c0a4/9057313/f1644cc11cd6/cureus-0014-00000023642-i10.jpg
https://cdn.ncbi.nlm.nih.gov/pmc/blobs/c0a4/9057313/8e8e4d107a66/cureus-0014-00000023642-i11.jpg
https://cdn.ncbi.nlm.nih.gov/pmc/blobs/c0a4/9057313/8cc290844cca/cureus-0014-00000023642-i01.jpg
https://cdn.ncbi.nlm.nih.gov/pmc/blobs/c0a4/9057313/aecbf372d48a/cureus-0014-00000023642-i02.jpg
https://cdn.ncbi.nlm.nih.gov/pmc/blobs/c0a4/9057313/79fe7b09a693/cureus-0014-00000023642-i03.jpg
https://cdn.ncbi.nlm.nih.gov/pmc/blobs/c0a4/9057313/a31a07c38723/cureus-0014-00000023642-i04.jpg
https://cdn.ncbi.nlm.nih.gov/pmc/blobs/c0a4/9057313/a2476adea1f0/cureus-0014-00000023642-i05.jpg
https://cdn.ncbi.nlm.nih.gov/pmc/blobs/c0a4/9057313/01d2f24142b4/cureus-0014-00000023642-i06.jpg
https://cdn.ncbi.nlm.nih.gov/pmc/blobs/c0a4/9057313/bea7639b06e0/cureus-0014-00000023642-i07.jpg
https://cdn.ncbi.nlm.nih.gov/pmc/blobs/c0a4/9057313/4b78f0a13d87/cureus-0014-00000023642-i08.jpg
https://cdn.ncbi.nlm.nih.gov/pmc/blobs/c0a4/9057313/aa39c04fca44/cureus-0014-00000023642-i09.jpg
https://cdn.ncbi.nlm.nih.gov/pmc/blobs/c0a4/9057313/f1644cc11cd6/cureus-0014-00000023642-i10.jpg
https://cdn.ncbi.nlm.nih.gov/pmc/blobs/c0a4/9057313/8e8e4d107a66/cureus-0014-00000023642-i11.jpg

相似文献

1
Enhancing Gingival Phenotype With Vestibuloplasty and Free Gingival Graft: Improving Maintenance of Regular Oral Hygiene.通过前庭成形术和游离龈瓣移植术增强牙龈形态:改善常规口腔卫生的维持
Cureus. 2022 Mar 30;14(3):e23642. doi: 10.7759/cureus.23642. eCollection 2022 Mar.
2
Minimally invasive tunneling of a de-epithelialized connective tissue graft to improve gingival phenotype of lingual recession defects: A case report.去上皮结缔组织移植微创隧道技术改善舌侧牙龈退缩缺损的牙龈表型:一例报告。
Clin Adv Periodontics. 2023 Dec;13(4):235-240. doi: 10.1002/cap.10230. Epub 2023 Jan 10.
3
Periodontal condition of mandibular incisors treated with modified Kazanjian vestibuloplasty compared to untreated sites: A prospective study.改良 Kazanjian 前庭成形术治疗下颌切牙与未治疗部位的牙周状况比较:一项前瞻性研究。
Adv Clin Exp Med. 2021 Jul;30(7):681-690. doi: 10.17219/acem/133492.
4
Treatment of gingival recession using free gingival graft with fibrin fibronectin sealing system: A novel approach.使用纤维蛋白纤连蛋白封闭系统的游离龈瓣移植术治疗牙龈退缩:一种新方法。
J Pharm Bioallied Sci. 2015 Aug;7(Suppl 2):S734-9. doi: 10.4103/0975-7406.163524.
5
Innovative use of increasing the width of attached gingiva using chorion membrane along with platelet rich fibrin membrane.使用绒毛膜联合富血小板纤维蛋白膜增加附着龈宽度的创新应用。
Cell Tissue Bank. 2021 Sep;22(3):389-398. doi: 10.1007/s10561-020-09884-7. Epub 2020 Nov 24.
6
Treatment of Gingival Recession in Multiple Teeth Using Coronally Advanced Flap with Connective Tissue Graft: A Case Report.采用带结缔组织移植物的冠向推进瓣治疗多颗牙牙龈退缩:病例报告。
Bull Tokyo Dent Coll. 2023 Dec 28;64(4):125-133. doi: 10.2209/tdcpublication.2023-0003. Epub 2023 Nov 15.
7
Free gingival autograft for augmentation of keratinized tissue in apical to gingival recession - A case report.游离龈自体移植术用于牙龈退缩根尖部角化组织增量——病例报告
J Oral Biol Craniofac Res. 2012 May-Aug;2(2):135-7. doi: 10.1016/j.jobcr.2012.04.001. Epub 2012 Jun 18.
8
The subepithelial connective tissue graft with a vestibular releasing incision.带前庭松解切口的上皮下结缔组织移植术。
J Periodontol. 2003 Jun;74(6):893-8. doi: 10.1902/jop.2003.74.6.893.
9
Comparison of vestibular sulcus depth in vestibuloplasty using standard Clark's technique with and without amnion as graft material.使用标准克拉克技术进行前庭成形术时,以羊膜作为移植材料与不使用羊膜的情况下前庭沟深度的比较。
Ann Maxillofac Surg. 2012 Jan;2(1):30-5. doi: 10.4103/2231-0746.95313.
10
A Modification of Fenestration Technique (MOFT) to Increase Vestibular Depth: A Case Series.一种增加前庭深度的开窗技术改良法(MOFT):病例系列
Indian J Dent Res. 2024 Oct 7. doi: 10.4103/ijdr.ijdr_721_23.

引用本文的文献

1
Precision Vestibuloplasty in the Edentulous Maxilla: Integrating Clark's Technique With Anterior Laser-Assisted Soft Tissue Release.无牙上颌骨的精准前庭成形术:将克拉克技术与前部激光辅助软组织松解术相结合
Cureus. 2025 Jul 24;17(7):e88690. doi: 10.7759/cureus.88690. eCollection 2025 Jul.
2
A Review of Gingival Recession and the Surgical Managements According to Their Classification and Etiologic Backgrounds: A Clinical Case Study.根据牙龈退缩的分类和病因背景对其及手术治疗方法的综述:一项临床病例研究
Case Rep Dent. 2024 Jan 31;2024:5510846. doi: 10.1155/2024/5510846. eCollection 2024.

本文引用的文献

1
Efficacy of free gingival grafting to augment keratinized mucosa around dental implants in posterior regions after restorative procedures: A retrospective clinical study.修复术后游离龈移植增加后牙区牙种植体周围角化黏膜的疗效:一项回顾性临床研究。
J Prosthet Dent. 2023 Nov;130(5):715-722. doi: 10.1016/j.prosdent.2021.12.013. Epub 2022 Jan 6.
2
On-Bone Fixation of Free Gingival Graft Induces an Osteoinductive Effect in Human Alveolar Bone.游离龈移植片骨内固位可诱导人牙槽骨成骨作用。
Bull Exp Biol Med. 2021 Dec;172(2):276-281. doi: 10.1007/s10517-021-05375-1. Epub 2021 Dec 2.
3
The comparison of the efficacy of gingival unit graft with connective tissue graft in recession defect coverage: a randomized split-mouth clinical trial.
牙龈单位移植与结缔组织移植在牙龈退缩缺损覆盖中的疗效比较:一项随机分侧临床研究。
Clin Oral Investig. 2022 Mar;26(3):2761-2770. doi: 10.1007/s00784-021-04252-5. Epub 2021 Nov 17.
4
Clinical evaluation of xenogeneic collagen matrix versus free gingival grafts for keratinized mucosa augmentation around dental implants: A randomized controlled clinical trial.异种胶原基质与游离龈瓣移植在牙种植体周围角化黏膜增量中的临床评价:一项随机对照临床试验。
J Clin Periodontol. 2021 Oct;48(10):1293-1301. doi: 10.1111/jcpe.13518. Epub 2021 Jul 23.
5
Retrospective case series analysis of vestibuloplasty with free gingival graft and titanium mesh around dental implant.牙种植体周围采用游离龈瓣移植和钛网进行前庭成形术的回顾性病例系列分析。
J Korean Assoc Oral Maxillofac Surg. 2020 Dec 31;46(6):417-421. doi: 10.5125/jkaoms.2020.46.6.417.
6
Comparative analysis of methods to increase the amount of keratinized mucosa before stage-two surgery: a randomized controlled study.二期手术前增加角化黏膜量的方法的比较分析:一项随机对照研究。
Quintessence Int. 2020;51(5):374-387. doi: 10.3290/j.qi.a44216.
7
Management of Shallow Vestibule with Reduced Attached Gingiva in Fixed Prosthetic Intervention.固定修复干预中附着龈减少的浅前庭管理
Cureus. 2019 Jun 23;11(6):e4975. doi: 10.7759/cureus.4975.
8
Partly Deepithelialized Free Gingival Graft for Treatment of Lingual Recession.部分去上皮游离龈瓣移植术治疗舌侧牙龈退缩
Clin Adv Periodontics. 2019 Dec;9(4):160-165. doi: 10.1002/cap.10062. Epub 2019 Apr 22.
9
Periodontal manifestations of systemic diseases and developmental and acquired conditions: Consensus report of workgroup 3 of the 2017 World Workshop on the Classification of Periodontal and Peri-Implant Diseases and Conditions.系统疾病及发育和获得性状况的牙周表现:2017 年牙周病和种植体周围病分类世界研讨会第 3 工作组的共识报告。
J Periodontol. 2018 Jun;89 Suppl 1:S237-S248. doi: 10.1002/JPER.17-0733.
10
Treatment of gingival recession in 2 surgical stages: free gingival graft plus coronally positioned flap.两阶段手术治疗牙龈退缩:游离龈瓣移植术加冠向复位瓣术
Gen Dent. 2018 Jan-Feb;66(1):58-61.