Suppr超能文献

酷似腹股沟疝的输精管炎:诊断难题。

Vasitis mimicking an inguinal hernia: A diagnostic dilemma.

作者信息

Bahadori Arya, Bray Gerard, Sharma Pooja

机构信息

The Tweed Hospital, Tweed Heads, NSW, 2485, Australia.

Gold Coast University Hospital, QLD, 4215, Australia.

出版信息

Urol Case Rep. 2022 Apr 25;43:102097. doi: 10.1016/j.eucr.2022.102097. eCollection 2022 Jul.

Abstract

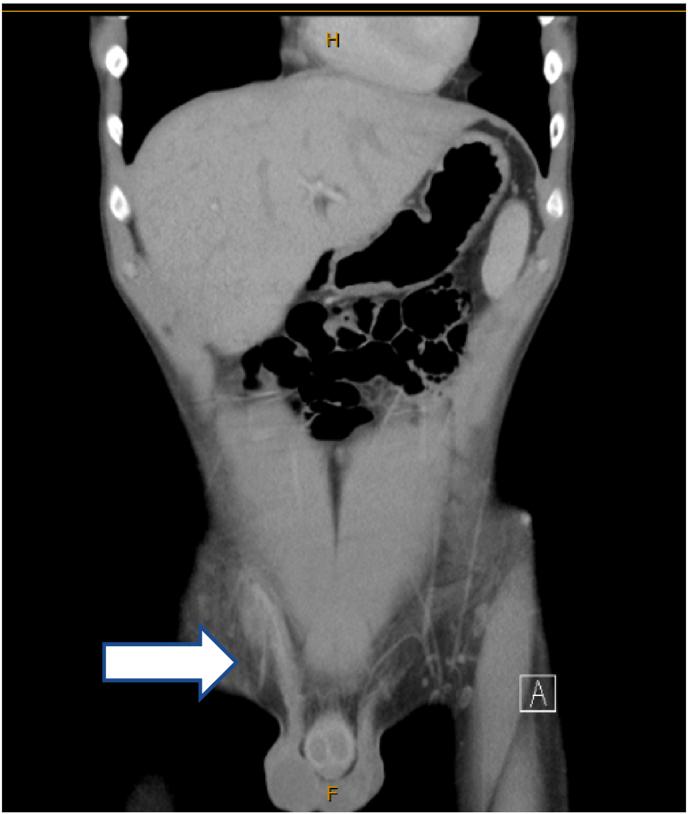
Vasitis is a rare disorder characterised by inflammation of the vas deferens. It presents with scrotal or inguinal pain/swelling, mimicking the more commonly occurring conditions such as epididymitis, orchitis, testicular torsion or an incarcerated inguinal hernia. While ultrasound may exclude some of these differential diagnoses, computed tomography (CT) or Magnetic resonance imaging (MRI) is needed to distinguish vasitis from an incarcerated inguinal hernia. Vasitis is classically treated with antibiotics so proper diagnosis is essential to avoid unnecessary surgery. We present the case of a 20-year-old male with CT diagnosed vasitis, whose condition resolved within six weeks without administering antibiotics.

摘要

输精管炎是一种罕见的疾病,其特征为输精管炎症。它表现为阴囊或腹股沟疼痛/肿胀,类似于附睾炎、睾丸炎、睾丸扭转或嵌顿性腹股沟疝等更常见的病症。虽然超声检查可能排除一些鉴别诊断,但需要计算机断层扫描(CT)或磁共振成像(MRI)来区分输精管炎和嵌顿性腹股沟疝。输精管炎的经典治疗方法是使用抗生素,因此正确诊断对于避免不必要的手术至关重要。我们报告一例20岁男性,经CT诊断为输精管炎,其病情在六周内未经抗生素治疗即得到缓解。

https://cdn.ncbi.nlm.nih.gov/pmc/blobs/5e71/9065614/c75ce3d5e7e6/gr1.jpg

文献检索

告别复杂PubMed语法,用中文像聊天一样搜索,搜遍4000万医学文献。AI智能推荐,让科研检索更轻松。

立即免费搜索

文件翻译

保留排版,准确专业,支持PDF/Word/PPT等文件格式,支持 12+语言互译。

免费翻译文档

深度研究

AI帮你快速写综述,25分钟生成高质量综述,智能提取关键信息,辅助科研写作。

立即免费体验